医影在线

标题: CT5488:强直性脊柱炎 [打印本页]

作者: glyy    时间: 2006-12-4 19:29
标题: CT5488:强直性脊柱炎
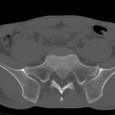
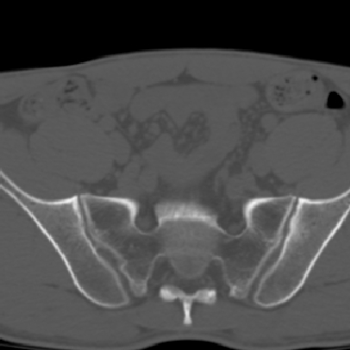
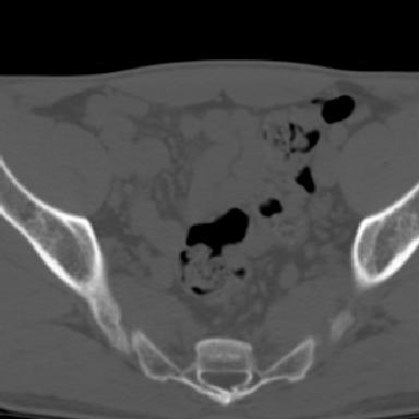
m 30 腰背部不适半年; 清晨时僵硬; 活动症状有所改善



























[本贴已被 jiajie 于 2006-12-4 18:19:11 修改过]

作者: dyqct    时间: 2006-12-4 19:33
支持:早期强直性脊柱炎骶髂关节早期改变。
作者: haiyei    时间: 2006-12-4 21:29
支持:早期强直性脊柱炎骶髂关节早期改变。
作者: zjzjr    时间: 2006-12-4 21:36
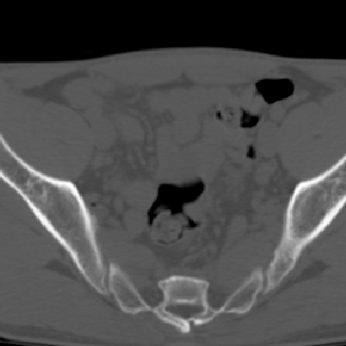
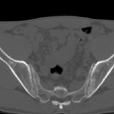
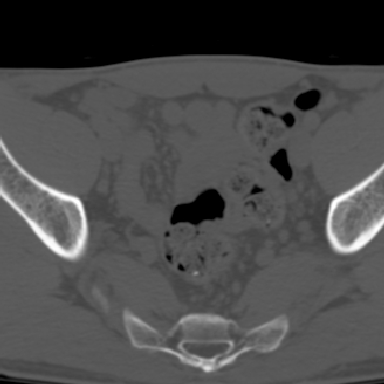
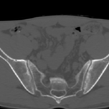
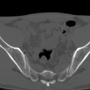
双侧骶髂关节下2/3关节面模糊,毛糙,可见小囊状骨质破坏区.支持强直性脊柱炎.
作者: jacsibank    时间: 2006-12-4 21:44
引用zjzjr所说:
双侧骶髂关节下2/3关节面模糊,毛糙,可见小囊状骨质破坏区.支持强直性脊柱炎.
作者: jinguoji    时间: 2006-12-4 21:46
支持:早期强直性脊柱炎骶髂关节早期改变。
作者: 卜一    时间: 2006-12-4 22:02
支持:强直性脊柱炎的早期改变.
作者: 小雨宝贝    时间: 2006-12-4 22:18
双侧骶髂关节下2/3关节面模糊,毛糙,可见小囊状骨质破坏区.支持强直性脊柱炎
作者: liaoqiang    时间: 2006-12-4 22:34
支持:强直性脊柱炎的早期改变.
作者: 守望可可    时间: 2006-12-4 22:36
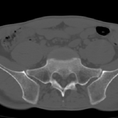
强直性脊柱炎的早期改变!不仅表现为双侧骶髂关节,第5腰椎与骶椎间的关节突关节也有类似改变。
作者: 迎客松abc    时间: 2006-12-4 23:13
双侧骶髂关节下2/3关节面模糊,毛糙,可见小囊状骨质破坏区.支持强直性脊柱炎.
作者: zyx168    时间: 2006-12-4 23:19
未见明显异常,建议定期复查,排除强直性脊椎炎。
作者: zhoucan076    时间: 2006-12-5 01:07
支持:强直性脊柱炎的早期改变.
作者: 尚峰    时间: 2006-12-5 01:51
首先考虑强柱。
作者: 拾荒者    时间: 2006-12-5 02:07
双侧骶髂关节下2/3关节面模糊,毛糙,髂骨侧可见小囊状骨质破坏区,骶髂关节间隙增宽(软骨破坏期)。支持早期强直性脊柱炎。
作者: 宝天曼    时间: 2006-12-5 02:31
支持:早期强直性脊柱炎骶髂关节早期改变。
作者: zbf1964724    时间: 2006-12-5 03:14
双侧骶髂关节下2/3关节面模糊,毛糙,可见小囊状骨质破坏区.支持强直性脊柱炎.
作者: lyue2621    时间: 2006-12-5 03:38
双侧骶髂关节下2/3关节面模糊、毛糙,可见小囊状骨质破坏区,呈虫咬状改变,周围可见增生硬化.支持强直性脊柱炎早期表现.
作者: 李世军    时间: 2006-12-5 03:53
支持:早期强直性脊柱炎骶髂关节早期改变。  
  
双侧骶髂关节下2/3关节面模糊,毛糙,可见小囊状骨质破坏区.支持强直性脊柱炎  
   
强直性脊柱炎的早期改变!不仅表现为双侧骶髂关节,第5腰椎与骶椎间的关节突关节也有类似改变。
作者: 22222222    时间: 2006-12-5 06:57
双侧骶髂关节髂骨面硬化,毛糙,小囊变,属于早期强直性脊柱炎
作者: shibing    时间: 2015-7-14 15:16
支持:早期强直性脊柱炎骶髂关节早期改变。




欢迎光临 医影在线 (http://bbs.radida.com/bbs/) Powered by Discuz! X3.2