

































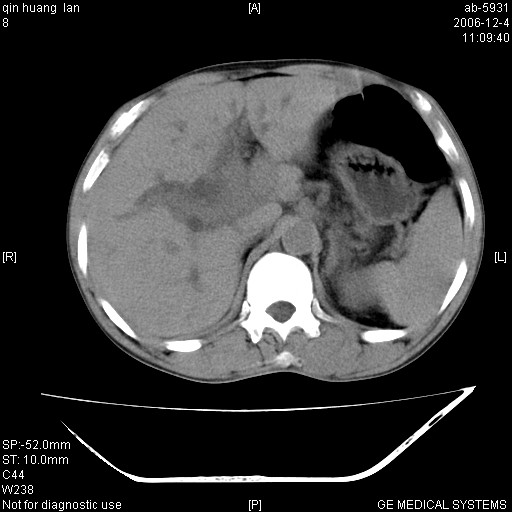
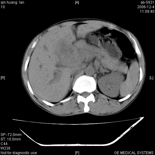
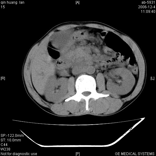
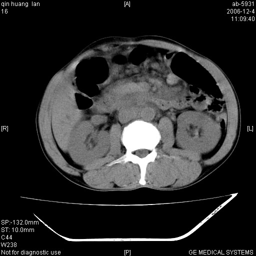
以下是引用liaoqiang在2006-12-4 15:49:00的发言:[br]1.考虑肝门区胆管细胞癌伴肝门区和腹后淋巴结肿大。2.胆总管胰腺段扩张,其下端管腔狭窄,壁厚,胰头大。考虑胆总管下段有转移灶或肿大淋巴结压迫所致。
以下是引用qiuleiyu在2006-12-4 19:07:00的发言:[br]1、无基础肝硬化表现。[br]2、左右肝内胆管明显软藤样扩张。[br]3、肝门区肿块,呈现延时花瓣样强化。而非快进快出强化。[br]4、胰头大,然密度较均,未见双管征。[br]5、后腹膜多发淋巴肿大。[br]考虑肝门部胆管ca伴胰头及后腹膜广泛淋巴转移及胆总管扩张。必要时mrcp进一步检查。
以下是引用liaoqiang在2006-12-4 15:49:00的发言:[br]1.考虑肝门区胆管细胞癌伴肝门区和腹后淋巴结肿大。2.胆总管胰腺段扩张,其下端管腔狭窄,壁厚,胰头大。考虑胆总管下段有转移灶或肿大淋巴结压迫所致。
以下是引用liaoqiang在2006-12-4 15:49:00的发言:[br]1.考虑肝门区胆管细胞癌伴肝门区和腹后淋巴结肿大。2.胆总管胰腺段扩张,其下端管腔狭窄,壁厚,胰头大。考虑胆总管下段有转移灶或肿大淋巴结压迫所致。
以下是引用jinguoji在2006-12-5 13:08:00的发言:[br][br]肝门区胆管细胞癌 并肝门、胰头周围、腹后淋巴结肿大转移。
以下是引用守望可可西里在2006-12-7 8:44:00的发言:[br][quote]以下是引用liaoqiang在2006-12-4 15:49:00的发言:[br]1.考虑肝门区胆管细胞癌伴肝门区和腹后淋巴结肿大。2.胆总管胰腺段扩张,其下端管腔狭窄,壁厚,胰头大。考虑胆总管下段有转移灶或肿大淋巴结压迫所致。
以下是引用守望可可西里在2006-12-7 8:44:00的发言:[br][quote]以下是引用liaoqiang在2006-12-4 15:49:00的发言:[br]1.考虑肝门区胆管细胞癌伴肝门区和腹后淋巴结肿大。2.胆总管胰腺段扩张,其下端管腔狭窄,壁厚,胰头大。考虑胆总管下段有转移灶或肿大淋巴结压迫所致。
| 欢迎光临 医影在线 (http://bbs.radida.com/bbs/) | Powered by Discuz! X3.2 |