


















以下是引用zyx168在2006-12-4 15:30:00的发言:[br]经典!支气管肺囊肿并感染。
以下是引用dyqct在2006-12-4 17:11:00的发言:[br]典型的囊状支扩合并感染。
以下是引用dyqct在2006-12-4 17:11:00的发言:[br]典型的囊状支扩合并感染。
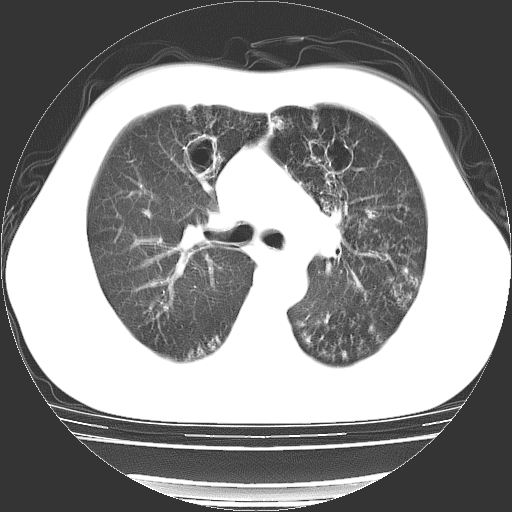
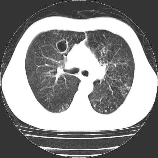
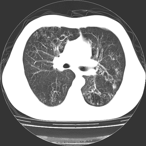
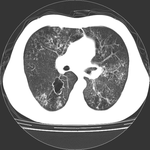
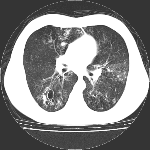
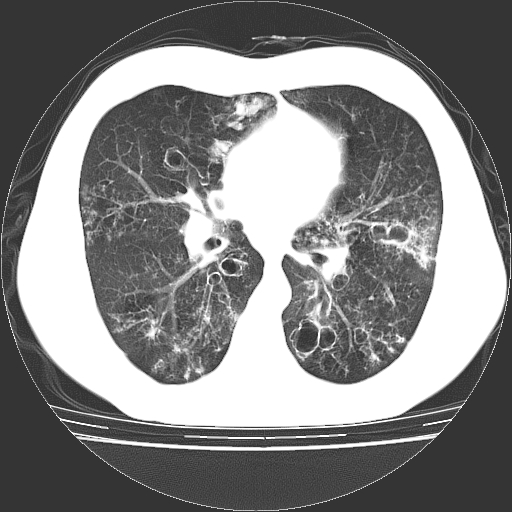
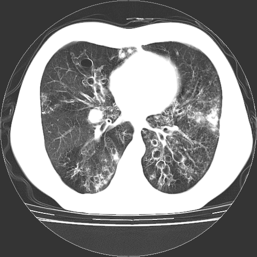
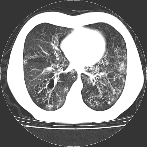
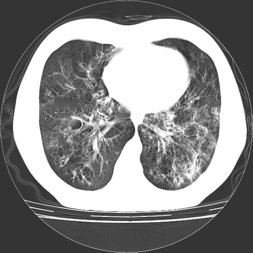
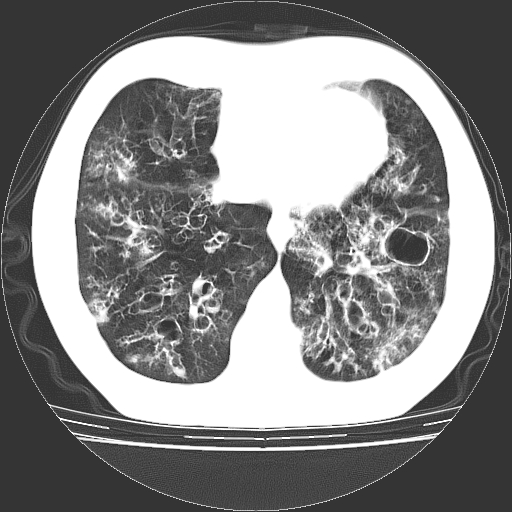
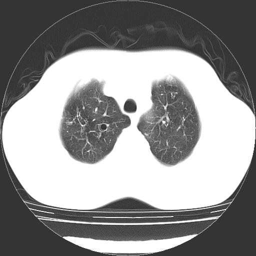
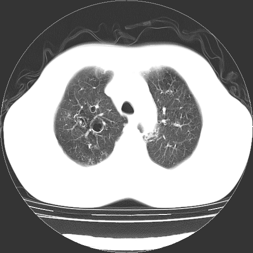
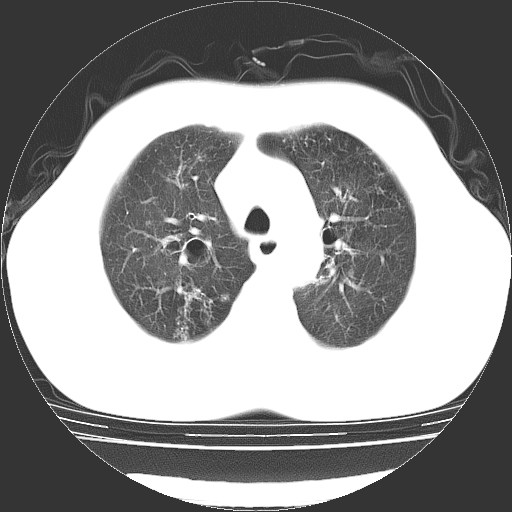
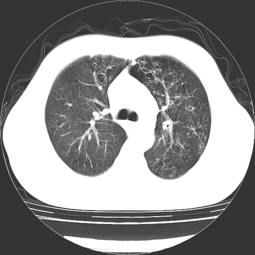
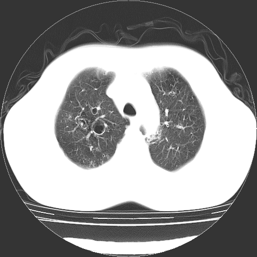
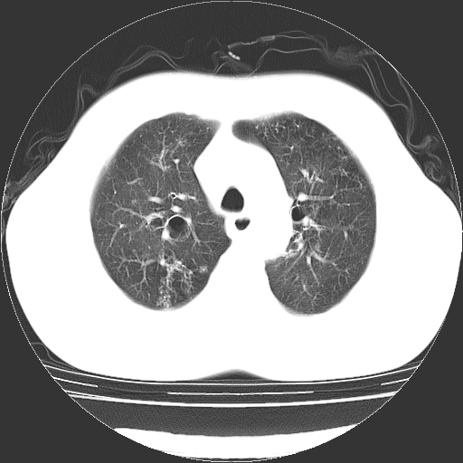
以下是引用liaoqiang在2006-12-4 16:12:00的发言:[br]局部肺叶内可见扩张的支气管壁,考虑为支扩。部份囊样影内有小液平和肺内散布斑片征影、小结节及纤维灶,提示支扩伴感染,且由于局部呈现有树芽征感染以结核可能性大。
以下是引用zhoucan076在2006-12-4 16:48:00的发言:[br]囊状支扩合并感染


| 欢迎光临 医影在线 (http://bbs.radida.com/bbs/) | Powered by Discuz! X3.2 |