医影在线

标题: CT5492:[讨论]女59岁. [打印本页]

作者: 天地睹狭    时间: 2006-12-5 00:33
标题: CT5492:[讨论]女59岁.
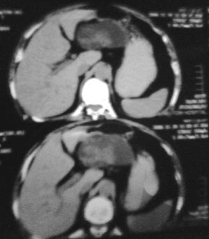
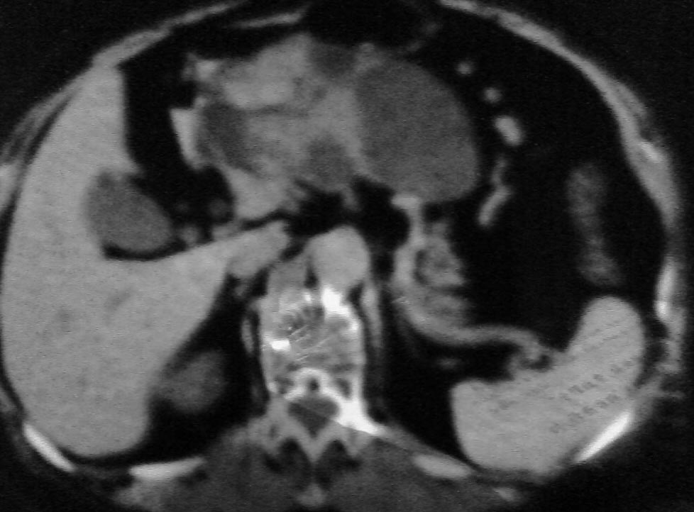
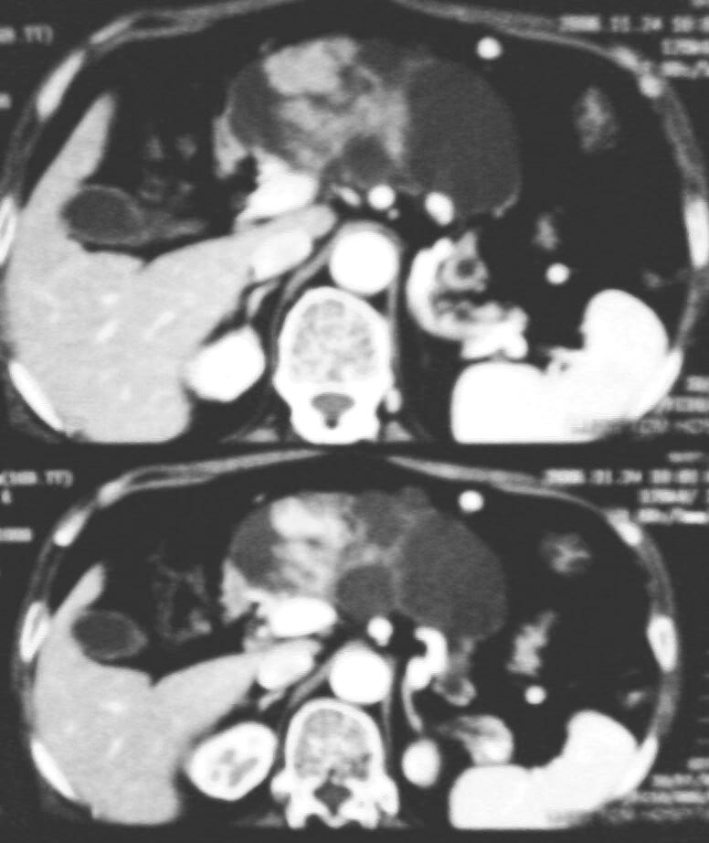
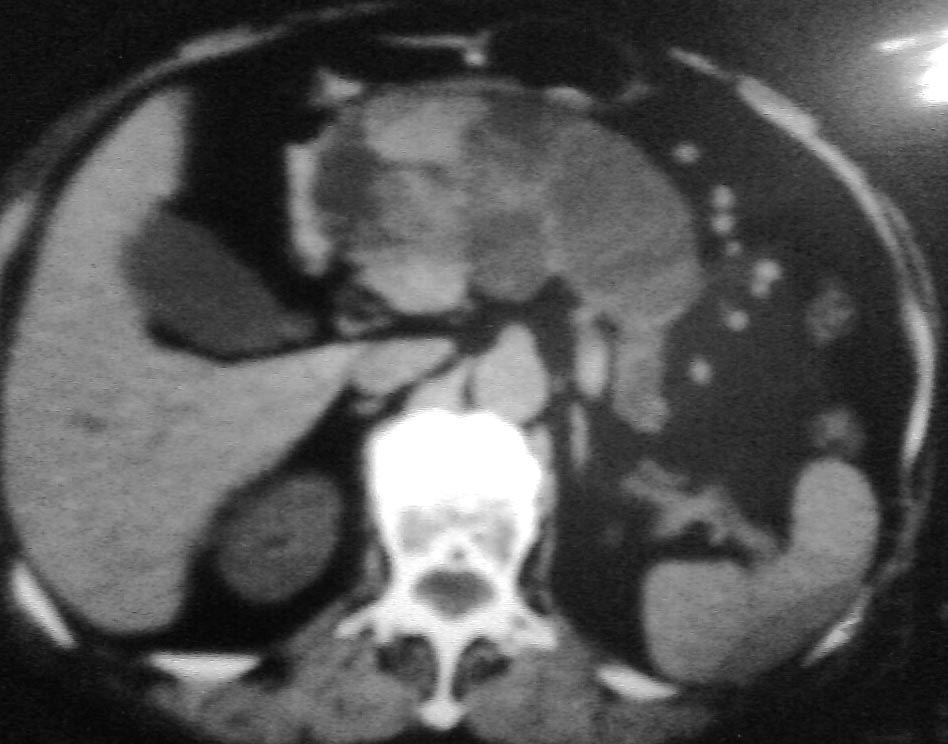
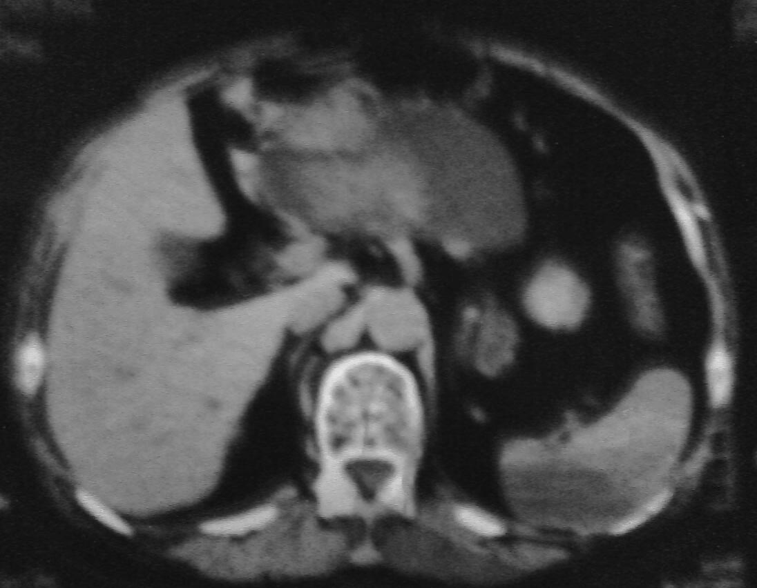
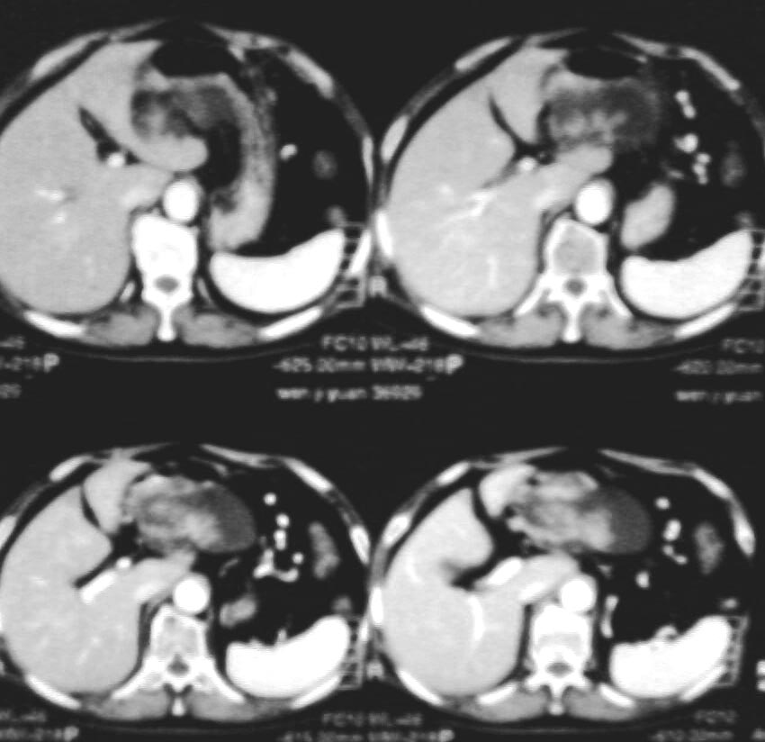
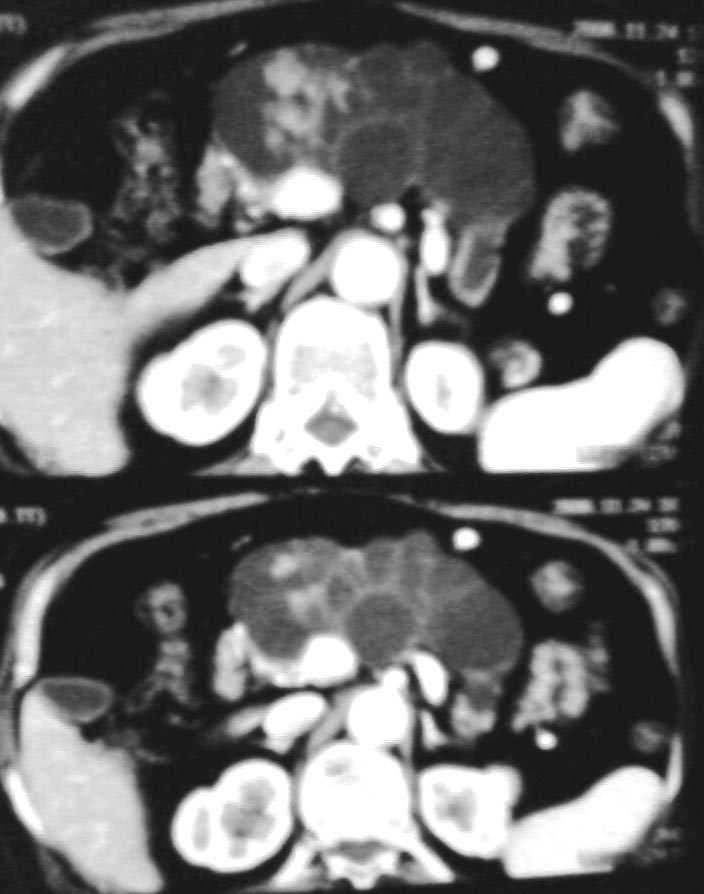
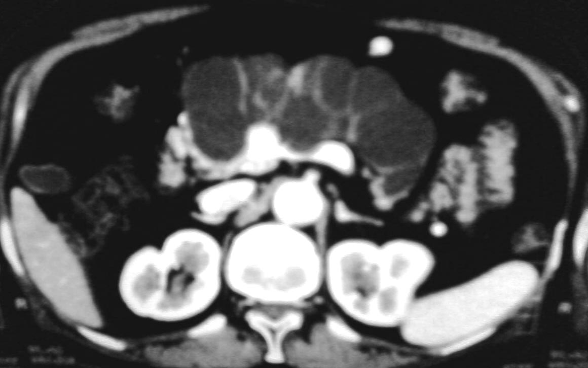
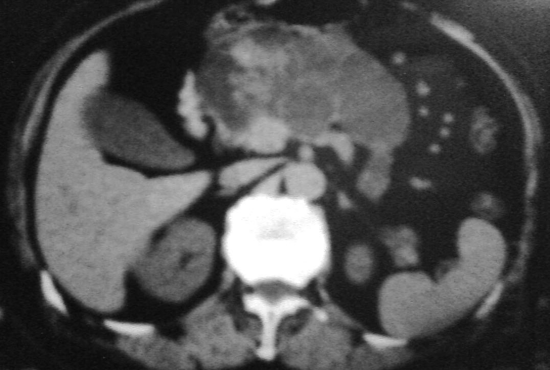
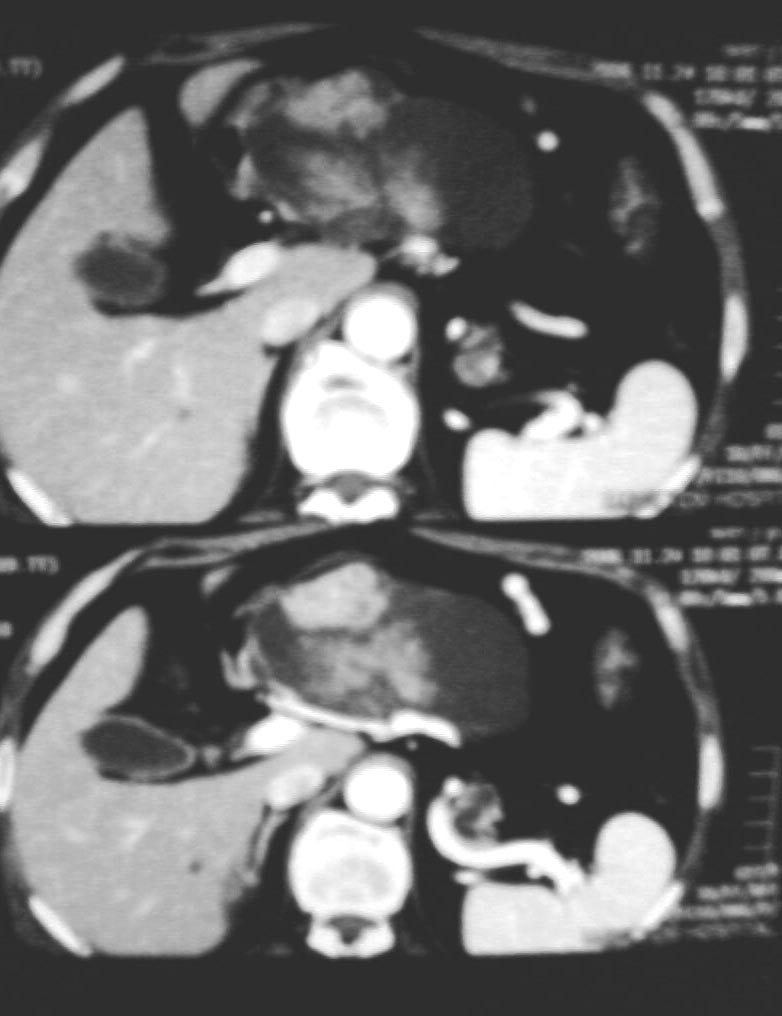
上腹部不适半年左右,体检此区压痛,精神状态很好,谢各位给个意见!















[本贴已被 jiajie 于 2006-12-4 18:23:11 修改过]

作者: yzh9939    时间: 2006-12-5 00:52
与中国医学影像网中“今日病例”(12-2)类似——胰管乳头状粘液瘤。
作者: dyqct    时间: 2006-12-5 01:13
支持楼上意见。
作者: 羊皮    时间: 2006-12-5 01:25
同意楼上说法
作者: duguo    时间: 2006-12-5 01:47
考虑胰腺黏液腺癌.低度恶性.
作者: shiqingfa    时间: 2006-12-5 02:32
考虑胰管乳头状粘液瘤
作者: 陈志华    时间: 2006-12-5 02:54
tong yi
作者: 13081830109    时间: 2006-12-5 03:05
考虑胰腺黏液腺癌.低度恶性.
作者: 李世军    时间: 2006-12-5 03:39
胰腺占位病灶
1与中国医学影像网中“今日病例”(12-2)类似——胰管乳头状粘液瘤
2考虑胰腺黏液腺癌.低度恶性.
作者: 宝天曼    时间: 2006-12-5 04:01
考虑胰腺黏液腺癌.低度恶性
作者: liuyue    时间: 2006-12-5 04:41
考虑胰腺黏液腺癌可能性大
作者: 同    时间: 2006-12-5 04:59
标题: 回复:ct5492:[讨论]女59岁.
以下是引用李世军在2006-12-4 19:39:00的发言:[br]胰腺占位病灶[br]1与中国医学影像网中“今日病例”(12-2)类似——胰管乳头状粘液瘤[br]2考虑胰腺黏液腺癌.低度恶性.  [br]   [br]

作者: 拾荒者    时间: 2006-12-5 05:00
考虑胰管乳头状粘液瘤。
作者: chry3    时间: 2006-12-5 05:22
附和大家
作者: 羊皮、    时间: 2006-12-5 06:06
1.胰腺囊腺ca
作者: wlq66556    时间: 2006-12-5 06:08
考虑胰管乳头状粘液瘤
作者: 815989    时间: 2006-12-5 17:19
第一次见,谢谢楼主
作者: jinguoji    时间: 2006-12-5 20:56
考虑胰管乳头状粘液瘤
作者: 守望可可    时间: 2006-12-6 19:05
标题: 回复:ct5492:[讨论]女59岁.
以下是引用yzh9939在2006-12-4 16:52:00的发言:[br]与中国医学影像网中“今日病例”(12-2)类似——胰管乳头状粘液瘤。

没有见过,能否恳请yzh9939老师转帖其中几幅图片一饱眼福?还有,它与多囊胰腺除了家族史、多伴有多囊肝、多囊肾甚至于脾外还可以怎么鉴别?先谢谢您了!
作者: 兰兰    时间: 2006-12-7 00:15
谢谢
作者: zh-gq    时间: 2006-12-7 20:54
真是没有见过    受到
作者: shibing    时间: 2015-7-14 15:14
考虑胰腺黏液腺癌.低度恶性




欢迎光临 医影在线 (http://bbs.radida.com/bbs/) Powered by Discuz! X3.2