

















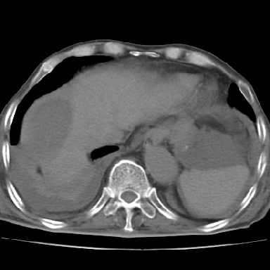
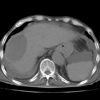
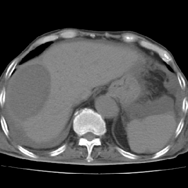
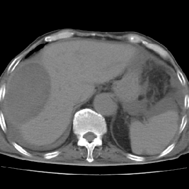
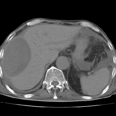
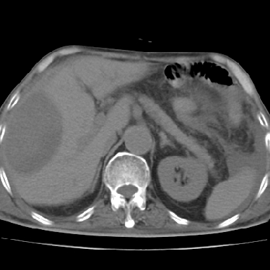
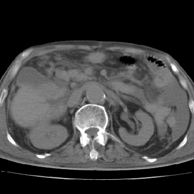
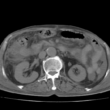
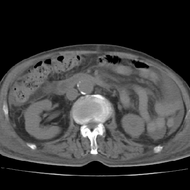
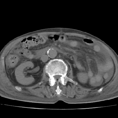
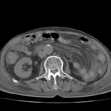
以下是引用qian在2006-12-4 19:11:00的发言:[br]胸腔和腹腔内均见有液性影,肝上极包膜下有一较大椭圆形低密度影,密度均匀,边缘清晰,结合病史考虑术后肝脓肿并胸腹腔积液。
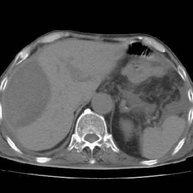
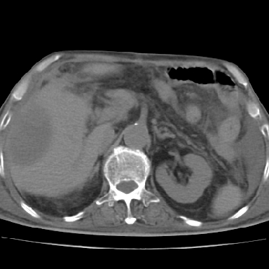
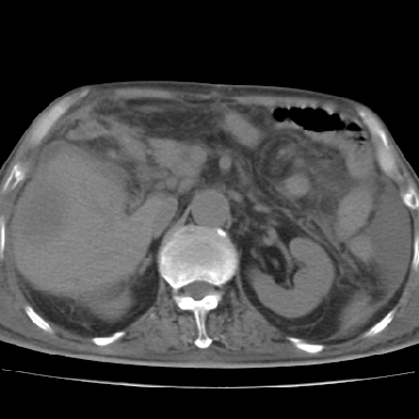
以下是引用chry3在2006-12-4 21:05:00的发言:[br]应该往上扫几层,我考虑膈下脓肿。[br]大家考虑:胃部手术怎会造成肝内脓肿,隔下脓肿到是会造成的
以下是引用dyqct在2006-12-4 19:54:00的发言:[br]考虑:1、肝包膜下脓肿;[br] 2、少量腹水;[br] 3、右侧少量胸膜腔积液。
| 欢迎光临 医影在线 (http://bbs.radida.com/bbs/) | Powered by Discuz! X3.2 |