医影在线
标题: CT5511:[原创]腔梗? [打印本页]
作者: 815989 时间: 2006-12-6 01:41
标题: CT5511:[原创]腔梗?
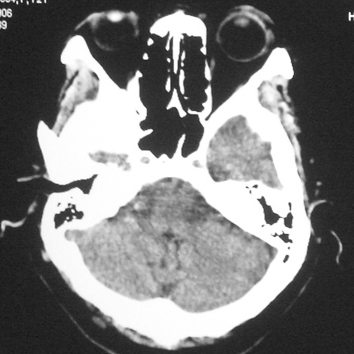
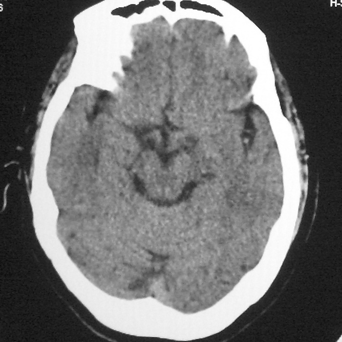
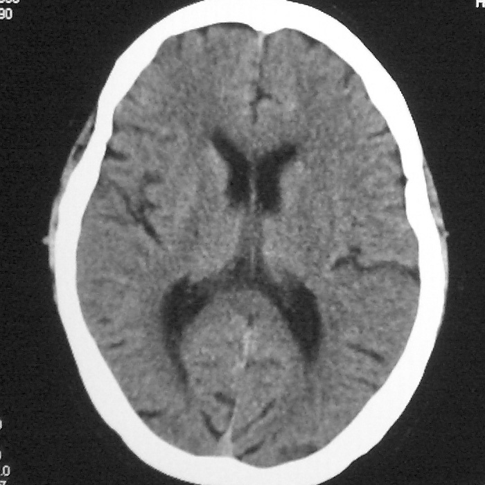
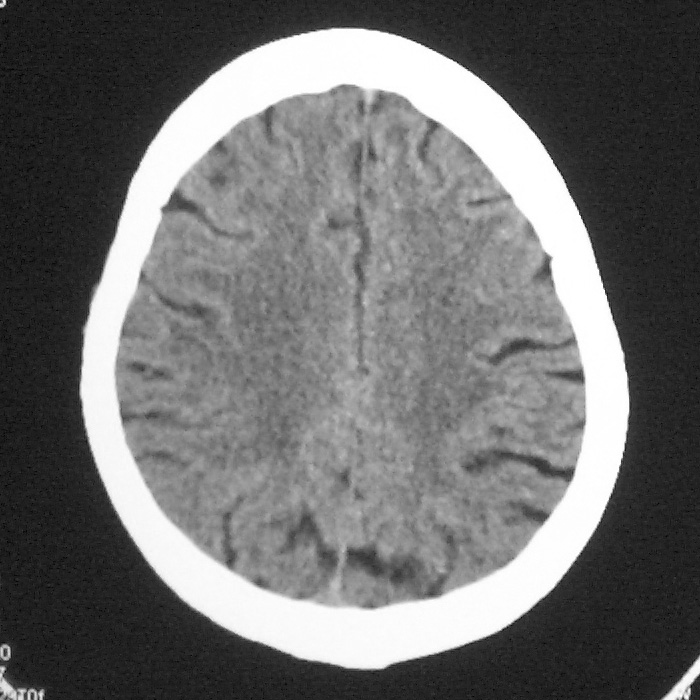
f,70y,口角歪斜、流涎、吐词不清三天


















[本贴已被 jiajie 于 2006-12-5 19:43:56 修改过]
作者: 月满蓝江 时间: 2006-12-6 02:14
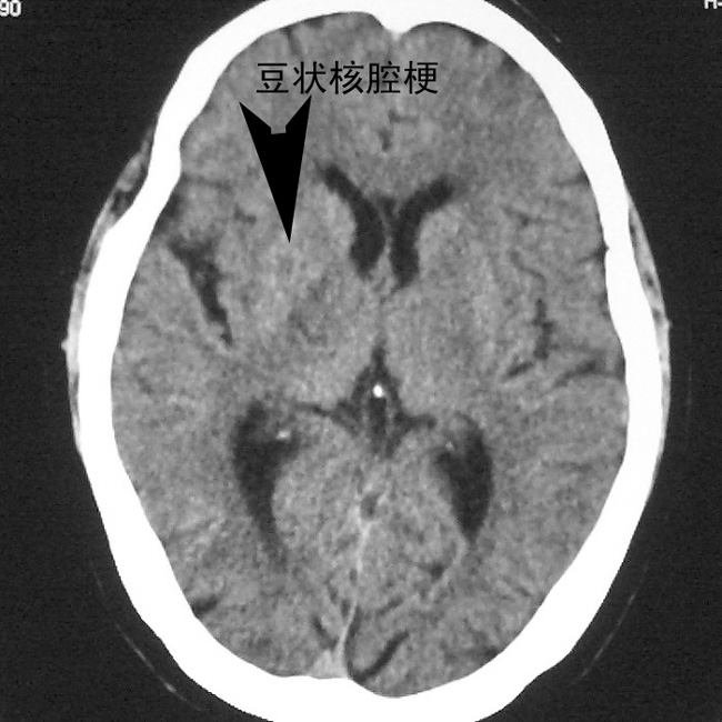
左侧大脑基底节区点状低密度影,边缘清楚,左侧腔梗或软化灶,没什么问题啊?
如果只是楼主说的症状,有可能是面神经问题
作者: 尚峰 时间: 2006-12-6 02:37
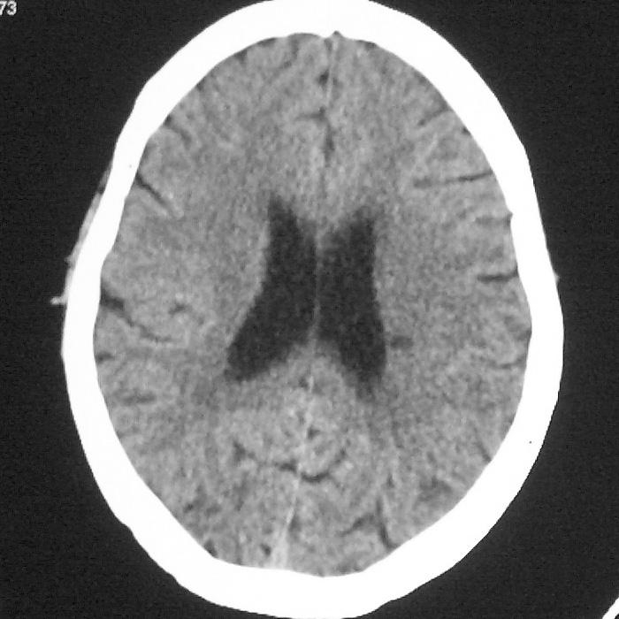
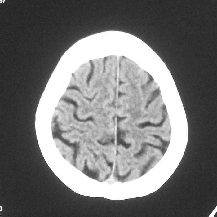
症状这么明显的话一般不会是单纯面神经麻痹引起的,最好做个mri,如果确实没有问题的话才能考虑面神经麻痹,毕竟这两种病的治疗和预后不一样,这个病人还有脑白质疏松。
作者: dyqct 时间: 2006-12-6 02:40
标题: 梗塞
支持楼主意见。


[本贴已被 dyqct 于 2006-12-5 19:21:16 修改过]
作者: zyx168 时间: 2006-12-6 03:20
标题: 回复:[原创]腔梗?

作者: xclzq_910 时间: 2006-12-6 03:43
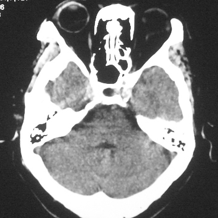
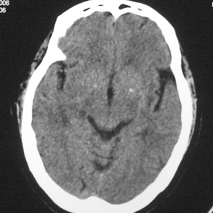
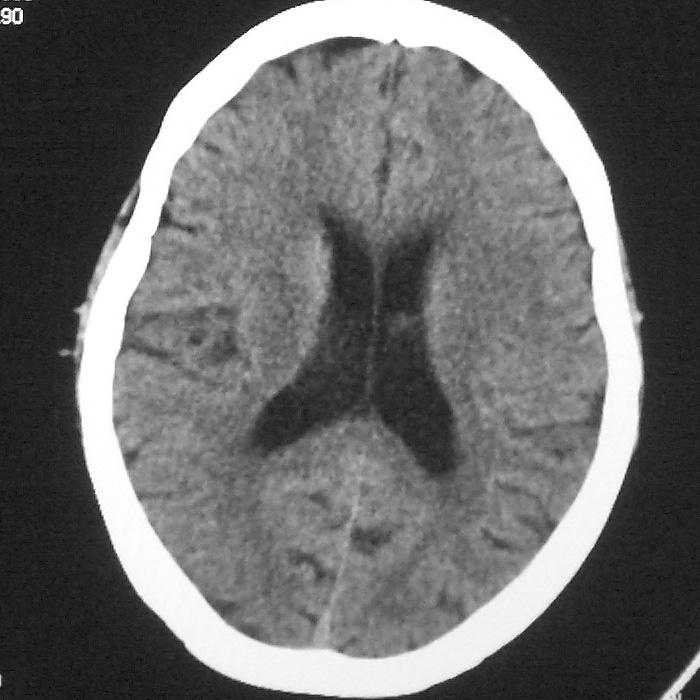
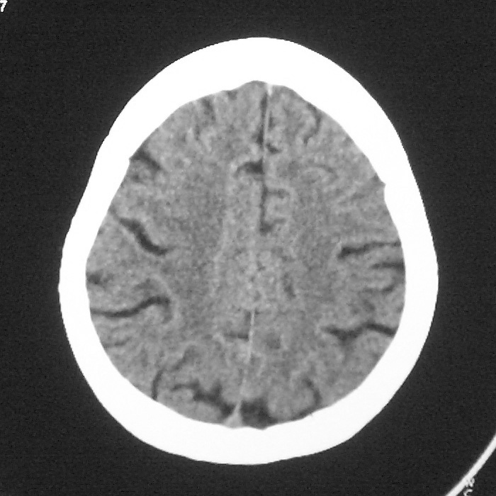
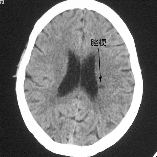
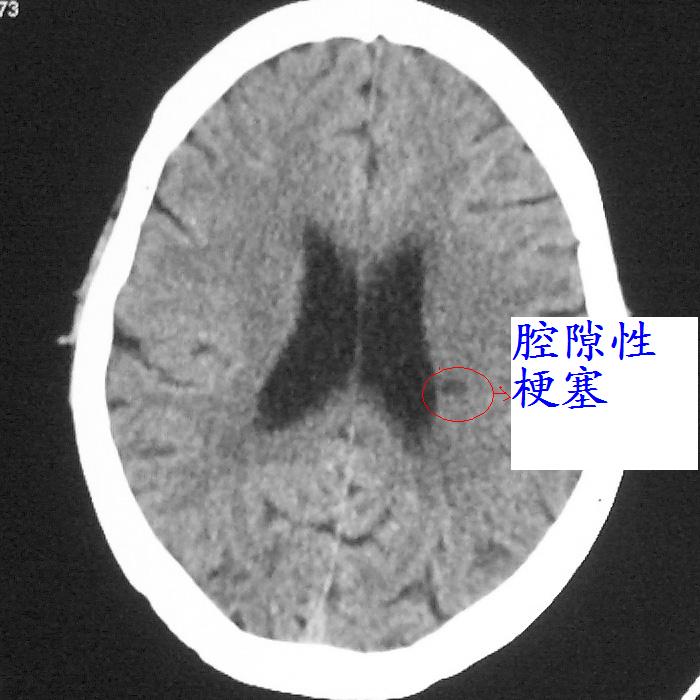
左侧半卵圆中心腔梗应当比较明确,右侧基底节好象不明显,不好说,做个mri明确吧
作者: 余辉 时间: 2006-12-6 03:48
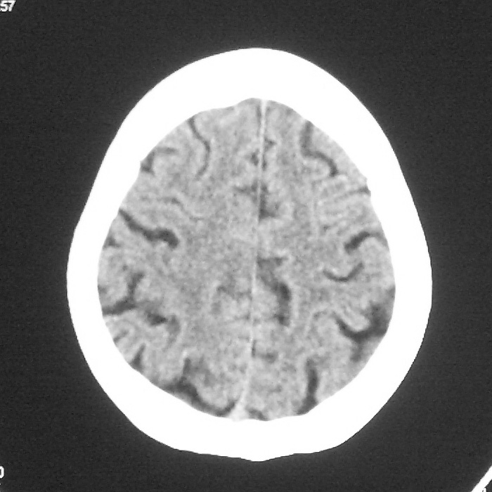
双侧多发腔梗
作者: 宝天曼 时间: 2006-12-6 03:56
双侧多发腔梗
作者: 晓杰 时间: 2006-12-6 04:04
双侧多发腔梗
建议作mri检查
作者: 清风照影来 时间: 2006-12-6 04:11
右侧基底,左侧半卵圆中心腔梗
作者: zwx 时间: 2006-12-6 04:28
腔梗
作者: zjzjr 时间: 2006-12-6 04:31
1、右侧基底,左侧半卵圆中心腔梗。2脑萎缩。
作者: YaoYY 时间: 2006-12-6 04:56
左侧腔隙性梗塞灶,脑萎缩。
作者: 阿圣 时间: 2006-12-6 05:01
腔梗
作者: 雪狼141 时间: 2006-12-6 05:37
支持腔梗
作者: nbczero 时间: 2006-12-6 05:49
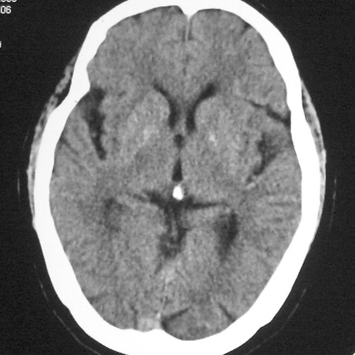
左侧基底节区示点状低密度灶,边界清楚,密度均匀,余所示无著变。
意见:腔隙性脑梗塞(左基底节区)
各位老师,报告这么写可以吗?右侧我没有看出来。
作者: 卜一 时间: 2006-12-6 06:09
双侧多发腔梗
建议作mri检查
作者: 如醉卧风 时间: 2006-12-6 06:10
散在腔隙性脑梗塞.
作者: 拾荒者 时间: 2006-12-6 06:29
皮层下动脉硬化性脑病。
作者: 借酒温书 时间: 2006-12-6 06:39
具体位置我认为应该写左侧放射冠腔梗
作者: Fngclihm 时间: 2006-12-6 06:52
左侧半卵圆中心,右侧基底节腔梗。再加个脑萎缩吧
作者: 9876543210 时间: 2006-12-6 07:20
双侧多发腔梗
建议作mri复查
作者: jinguoji 时间: 2006-12-6 18:10
双侧多发腔梗 脑萎缩
作者: ping2 时间: 2006-12-6 20:54
腔梗
作者: zh-gq 时间: 2006-12-7 21:32
腔梗
作者: shibing 时间: 2015-7-14 15:26
右侧基底,左侧半卵圆中心腔梗
欢迎光临 医影在线 (http://bbs.radida.com/bbs/) |
Powered by Discuz! X3.2 |