医影在线

标题: CT5512:[原创]典型病例鉴赏 [打印本页]

作者: 艺术家    时间: 2006-12-6 02:59
标题: CT5512:[原创]典型病例鉴赏
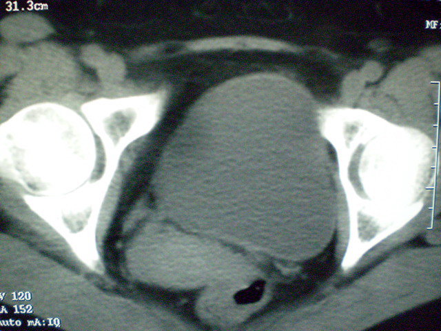
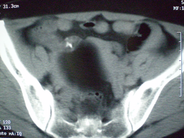
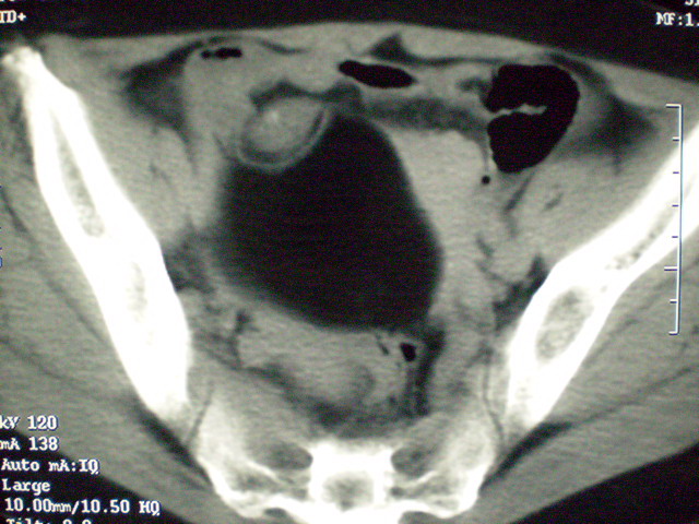
f 60y,b超提示脂肪瘤.[img][/img]



















[本贴已被 jiajie 于 2006-12-5 19:47:15 修改过]

作者: wangjj555    时间: 2006-12-6 03:15
右侧附件囊性畸胎瘤,三种组织均见.
作者: dyqct    时间: 2006-12-6 03:24
支持!!典型的畸胎瘤。
作者: 13081830109    时间: 2006-12-6 03:27
标题: 回复:[原创]典型病例鉴赏
以下是引用dyqct在2006-12-5 19:24:00的发言:[br]支持!!典型的畸胎瘤。

作者: wangjj555    时间: 2006-12-6 03:27
右侧附件囊性畸胎瘤.
作者: sdllxu    时间: 2006-12-6 03:36
标题: 回复:[原创]典型病例鉴赏
支持畸胎瘤
作者: xclzq_910    时间: 2006-12-6 03:37
那个高密度灶形状好象牙齿。典型,收藏了
作者: whero1    时间: 2006-12-6 03:40
支持畸胎瘤
作者: wangzhanshuang    时间: 2006-12-6 03:44
支持!!典型的畸胎瘤
作者: 余辉    时间: 2006-12-6 03:44
脂肪密度肿块,内可见团块状影,典型皮样囊肿
作者: 宝天曼    时间: 2006-12-6 03:55
支持!!典型的畸胎瘤
作者: 清风照影来    时间: 2006-12-6 04:08
畸胎瘤
作者: zwx    时间: 2006-12-6 04:23
右侧附件囊性畸胎瘤.
作者: zjzjr    时间: 2006-12-6 04:29
支持!!典型的畸胎瘤。
作者: 晓杰    时间: 2006-12-6 04:30
支持!!典型的畸胎瘤
作者: realzyc    时间: 2006-12-6 04:36
支持!!典型的畸胎瘤
作者: YaoYY    时间: 2006-12-6 04:49
畸胎瘤
作者: zhoucan076    时间: 2006-12-6 05:34
畸胎瘤
作者: 雪狼141    时间: 2006-12-6 05:40
典型的畸胎瘤
作者: 如醉卧风    时间: 2006-12-6 06:06
标题: 回复:ct5512:[原创]典型病例鉴赏
以下是引用dyqct在2006-12-5 19:24:00的发言:[br]支持!!典型的畸胎瘤。

作者: 卜一    时间: 2006-12-6 06:11
支持!!典型的畸胎瘤。
作者: 拾荒者    时间: 2006-12-6 06:33
右侧附件囊性畸胎瘤。
作者: 9876543210    时间: 2006-12-6 07:28
支持畸胎瘤
作者: liuyue    时间: 2006-12-6 07:43
支持!!典型的畸胎瘤
作者: fengsx    时间: 2006-12-6 08:34
典型畸胎瘤
作者: 守望可可    时间: 2006-12-6 17:00
的确比较典型的畸胎瘤!不过,应该确切的说是盆腔畸胎瘤,右侧附件来源的可能性比较大。
作者: zyx168    时间: 2006-12-6 17:40
标题: 回复:ct5512:[原创]典型病例鉴赏

作者: jinguoji    时间: 2006-12-6 18:12
支持!!典型的畸胎瘤。
作者: 迎客松abc    时间: 2006-12-6 20:38
支持畸胎瘤
作者: chmb    时间: 2006-12-6 23:25
畸胎瘤
作者: 兰兰    时间: 2006-12-7 00:06
有钙化,畸胎瘤
作者: zh-gq    时间: 2006-12-7 21:00
标题: 回复:ct5512:[原创]典型病例鉴赏
以下是引用wangjj555在2006-12-5 19:15:00的发言:[br]右侧附件囊性畸胎瘤,三种组织均见.

作者: shibing    时间: 2015-7-14 15:25
脂肪密度肿块,内可见团块状影,典型皮样囊肿




欢迎光临 医影在线 (http://bbs.radida.com/bbs/) Powered by Discuz! X3.2