










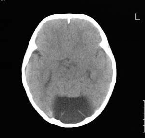
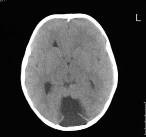
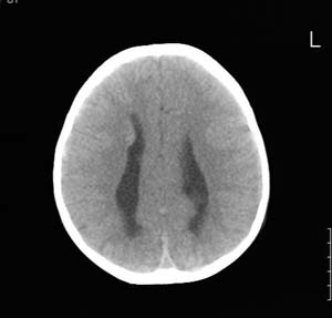
以下是引用lixi在2006-12-5 21:06:00的发言:[br]1、dandy-walker变异。2、胼胝体发育不良。
以下是引用zhuoshandiao在2006-12-5 21:41:00的发言:[br]胼胝体发育不良应该是肯定的。另外考虑dand-walker畸形。
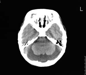
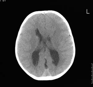
以下是引用wxy7406在2006-12-5 21:02:00的发言:[br]后颅窝囊性低密度灶,双侧小脑半球缩小,蚓部几乎缺失,考虑dandy-walker畸形,建议mri明确。
以下是引用卜一在2006-12-5 22:30:00的发言:[br]支持考虑:1、dandy-walker变异。2、胼胝体发育不良
以下是引用dyqct在2006-12-6 8:35:00的发言:[br][quote]以下是引用卜一在2006-12-5 22:30:00的发言:[br]支持考虑:1、dandy-walker变异。2、胼胝体发育不良


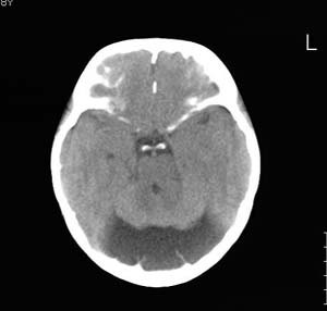
以下是引用wangzhanshuang在2006-12-5 21:03:00的发言:[br]后颅窝蛛网膜囊肿,胼胝体发育不良
以下是引用阿圣在2006-12-5 20:55:00的发言:[br]后颅窝囊性低密度灶,双侧小脑半球缩小,蚓部几乎缺失,考虑dandy-walker畸形,建议mri明确
| 欢迎光临 医影在线 (http://bbs.radida.com/bbs/) | Powered by Discuz! X3.2 |