医影在线
标题: CT5515:请教 [打印本页]
作者: 努力 时间: 2006-12-6 06:36
标题: CT5515:请教
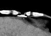
请大家看一下,肝左叶前缘低密度影考虑什么?只有这一层。

[本贴已被 jiajie 于 2006-12-6 8:54:37 修改过]
作者: 清风照影来 时间: 2006-12-6 06:47
标题: 回复:请教
有没有外伤史?
作者: 守望可可 时间: 2006-12-6 06:52
标题: 回复:请教

又搞错了?![emb14]看来是的哦,
幸好是在老师们面前丢丑,[emb9]如果是诊断错问题就大了[emb5]
[本贴已被 守望可可西里 于 2006-12-6 7:40:26 修改过]
作者: 清风照影来 时间: 2006-12-6 07:14
标题: 回复:请教


我随意在论坛里找了两个图片,所以不同意可可西里老师的说法,我认为是肝脏的包膜有点厚的原因
作者: 9876543210 时间: 2006-12-6 07:22
少量腹水? 包膜下脂肪?建议mr定性。
作者: liuyue 时间: 2006-12-6 07:40
肝脏左叶不象病变。
椎体骨质增生、椎管狭窄,椎体骨质破坏?
作者: 卜一 时间: 2006-12-6 14:11
包膜下正常组织,并非积液.
作者: 宝天曼 时间: 2006-12-6 14:20
不考虑啥病变
作者: ILIKECT 时间: 2006-12-6 15:26
测ct值,可能是伪影,脂肪组织,积液
作者: chen123 时间: 2006-12-6 16:16
韧带附着有可能
作者: haha215315 时间: 2006-12-6 17:10
包膜下正常组织.
作者: zyx168 时间: 2006-12-6 18:25
标题: 回复:ct5515:请教

作者: 迎客松abc 时间: 2006-12-6 20:56
我个人认为本片正常,可能是容积效应引起的.
作者: 乡医 时间: 2006-12-6 22:53
建议b超鉴别.
作者: chmb 时间: 2006-12-6 23:08
脂肪组织
作者: dyqct 时间: 2006-12-7 00:04
未见明显异常。
作者: zbf1964724 时间: 2006-12-7 00:14
我认为本片正常,可能是容积效应引起的.
作者: jin_zj 时间: 2006-12-7 01:35
只知道是正常表现,具体是什么我讲不来,有那位高手指教一下。
作者: 拾荒者 时间: 2006-12-7 03:22
标题: [原创]
经各位老师一说,我还真拿不准了,最好连续层面观察就能鉴别是否是膈肌及容积效应所致。细节决定成败,期待高手帮忙解惑!!!不过本人还是支持正常表现的。
[本贴已被 拾荒者 于 2006-12-6 20:50:16 修改过]
作者: 汪涛同志 时间: 2006-12-7 08:32
标题: !
学习了!看了大家发言,总结一下战友的意见:
1有可能为 积液
2正常增厚肝包膜
3腹腔脂肪
4容积效应
5膈肌
6韧带附着点
7感觉正常,但说不好原因。
如果有潜水的论坛前辈高手看到,还请不惜吝教,指点迷津!
[本贴已被 汪涛同志 于 2006-12-7 0:34:06 修改过]
作者: zh-gq 时间: 2006-12-7 18:38
标题: 回复:ct5515:请教
小心撞破头啊 呵呵
作者: shibing 时间: 2015-7-14 15:24
包膜下正常组织,并非积液.
| 欢迎光临 医影在线 (http://bbs.radida.com/bbs/) |
Powered by Discuz! X3.2 |