医影在线

标题: CT5516:大家看一下(肝脏CT) [打印本页]

作者: 努力    时间: 2006-12-6 06:56
标题: CT5516:大家看一下(肝脏CT)
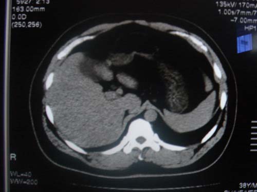
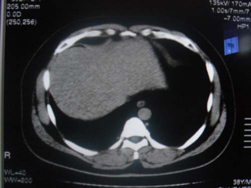
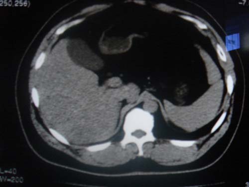
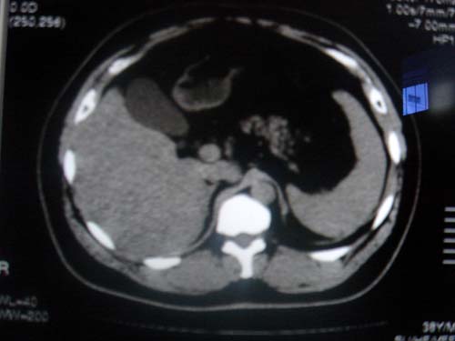
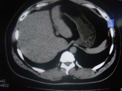
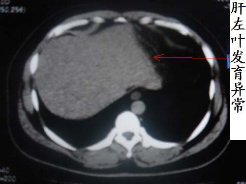
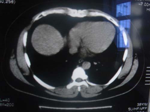
患者 男 40 右上腹不适 有胆囊息肉病史2年

















[本贴已被 jiajie 于 2006-12-6 8:54:53 修改过]

作者: 守望可可    时间: 2006-12-6 07:09
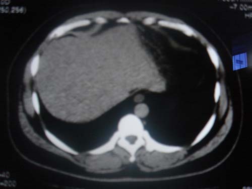
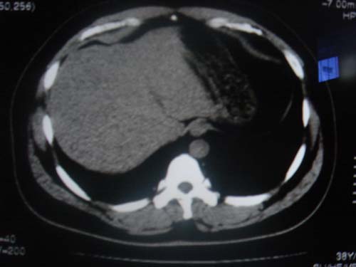
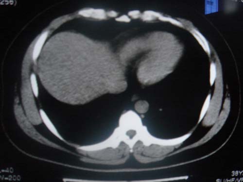
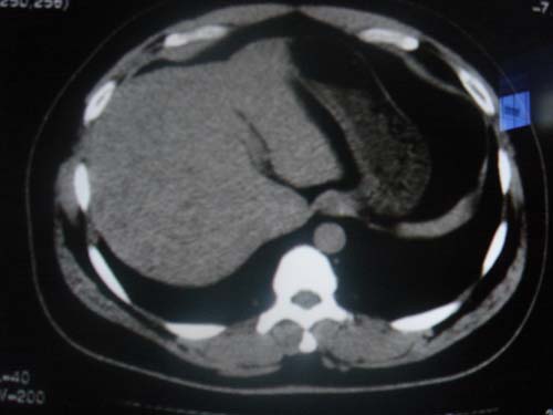
本例就是胆囊比较大,内密度不很均匀,疑有砂砾状结石,未见息肉以及其他异常。
作者: 9876543210    时间: 2006-12-6 07:10
肝脏增大,
作者: liuyue    时间: 2006-12-6 07:33
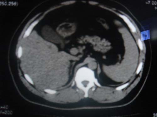
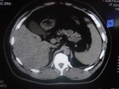
最后二副图像示胆囊壁增厚,与肝分界欠清,建议强化ct或磁共振
作者: luoshaojun    时间: 2006-12-6 07:44
肝胆疾病不能做平扫+c的话,让病人做超声去吧!
作者: 卜一    时间: 2006-12-6 14:13
平扫怀疑肝或胆囊病变,建议行增强吧!
作者: liaoqiang    时间: 2006-12-6 16:51
片中示肝脏的ct值低于脾脏,肝脏右叶外缘部份凹凸不平,考虑脂肪肝,肝硬化可能。结合其检查如b超或ct增强检查。
作者: fumaogui    时间: 2006-12-6 17:00
胆内胆管结石,第十二幅肝内似类圆形等密度灶.强化后再说吧或者做其它检查.
作者: haha215315    时间: 2006-12-6 17:15
增强.
作者: zyx168    时间: 2006-12-6 18:43
标题: 回复:ct5516:大家看一下(肝脏ct)


作者: yang4132    时间: 2006-12-6 21:01
未见异常。
作者: 迎客松abc    时间: 2006-12-6 21:02
胆囊未见明显异常,肝脏密度似比脾脏密度低,测量一下ct值排除一下脂肪肝.当然做一下增强或mr就更好了.
作者: chmb    时间: 2006-12-6 23:05
未发现异常。
作者: jinguoji    时间: 2006-12-6 23:06
标题: 回复:ct5516:大家看一下(肝脏ct)
以下是引用zyx168在2006-12-6 10:43:00的发言:[br][br][br]

支持!
作者: dyqct    时间: 2006-12-7 00:02
肝右叶密度不均,脾大。强烈要求增强扫描除外浸润型肝癌。
作者: 兰兰    时间: 2006-12-7 00:10
谢谢zyx168
作者: 拾荒者    时间: 2006-12-7 03:31
标题: 回复:ct5516:大家看一下(肝脏ct)
以下是引用dyqct在2006-12-6 16:02:00的发言:[br]肝右叶密度不均,脾大。强烈要求增强扫描除外浸润型肝癌。

作者: 毓鸿    时间: 2006-12-7 03:53
建议薄层增强扫描
作者: zh-gq    时间: 2006-12-7 19:31
肝大   密度降低  脾大  脂肪肝?
作者: shibing    时间: 2015-7-14 15:23
增强.




欢迎光临 医影在线 (http://bbs.radida.com/bbs/) Powered by Discuz! X3.2