医影在线

标题: CT5517:女性、24岁,反复胸痛、气促不能平卧半月。 [打印本页]

作者: zjzjr    时间: 2006-12-6 07:12
标题: CT5517:女性、24岁,反复胸痛、气促不能平卧半月。





































[本贴已被 jiajie 于 2006-12-6 9:59:51 修改过]

作者: 9876543210    时间: 2006-12-6 07:38
液气胸
作者: liuyue    时间: 2006-12-6 08:09
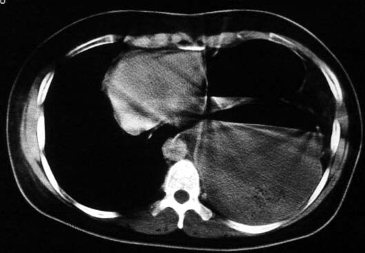
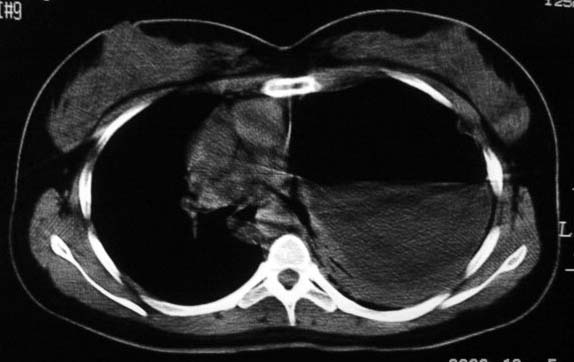
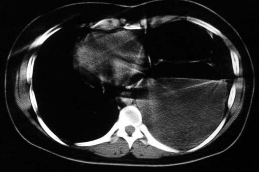
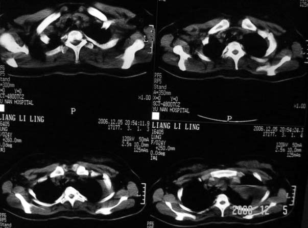
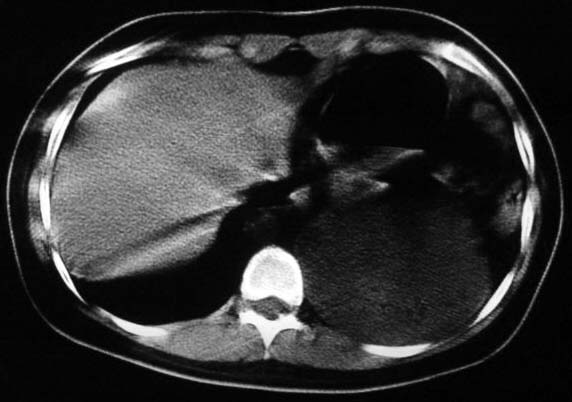
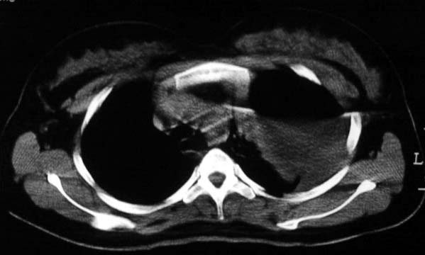
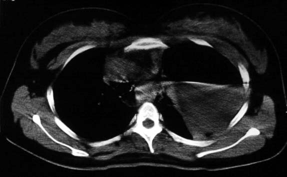
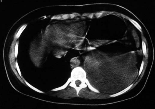
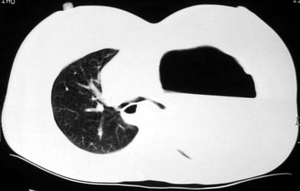
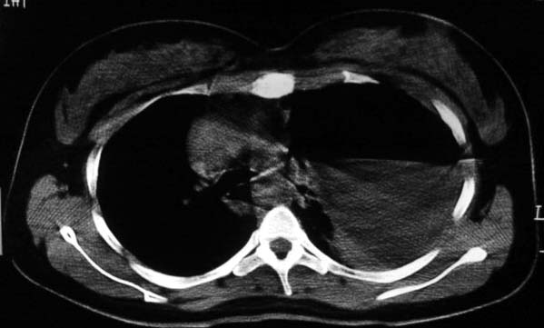
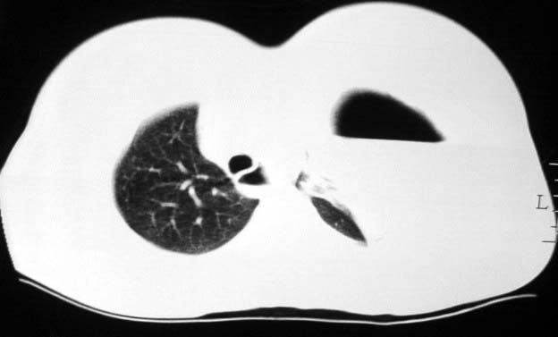
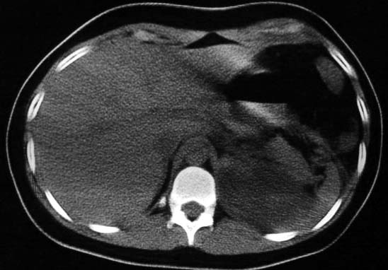
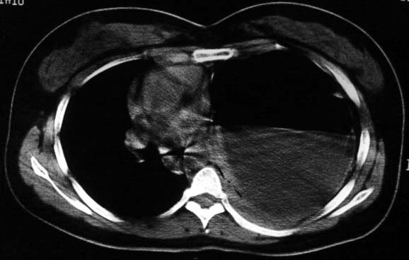
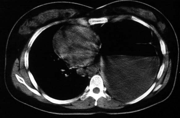
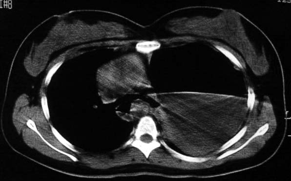
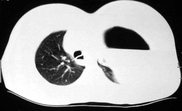
左肺可见二个含气或液气的囊状影,左肺段支气管、左肺动脉显示不清,纵隔右移,考虑:左肺支气管肺囊肿,左肺发育不良,纵隔疝。
作者: lizhjie    时间: 2006-12-6 13:54
膈疝
作者: 卜一    时间: 2006-12-6 14:15
支持膈疝!
作者: 宝天曼    时间: 2006-12-6 14:15
膈疝
作者: hhcckk    时间: 2006-12-6 16:35
标题: 回复:女性、24岁,反复胸痛、气促不能平卧半月。

作者: 守望可可    时间: 2006-12-6 16:40
的确是膈疝,可以钡餐透视,一目了然
作者: liaoqiang    时间: 2006-12-6 16:40
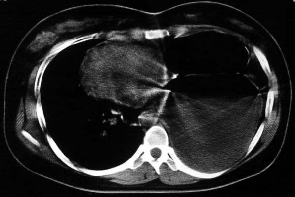
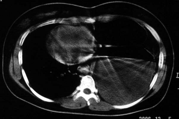
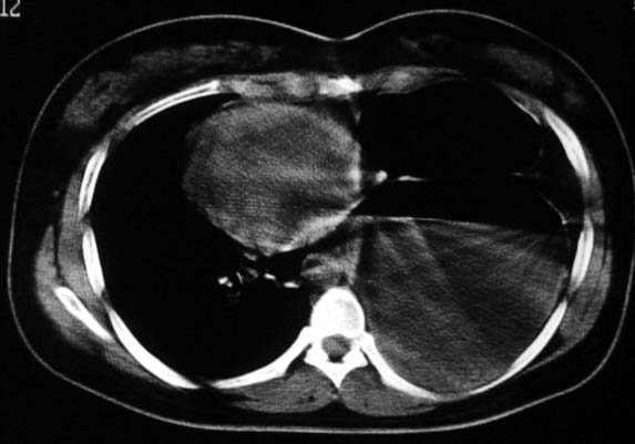
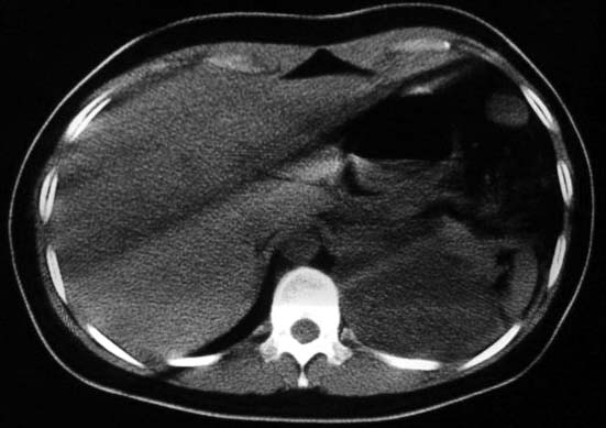
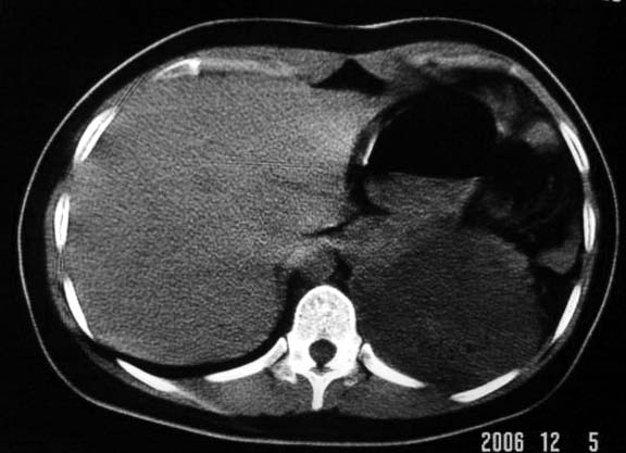
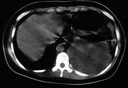
左侧气液腔与胃腔影相连,考虑膈疝。钡餐检查有助于诊断。
作者: fumaogui    时间: 2006-12-6 16:55
膈疝.
作者: haha215315    时间: 2006-12-6 17:20
膈疝,可以钡餐透视。
作者: zyx168    时间: 2006-12-6 19:04
标题: 回复:ct5517:女性、24岁,反复胸痛、气促不能平卧半月。


作者: zhangwenge    时间: 2006-12-6 19:09
膈疝
作者: yang4132    时间: 2006-12-6 20:57
支持膈疝。
作者: 子期    时间: 2006-12-6 21:10
支持液气胸的诊断.
作者: 迎客松abc    时间: 2006-12-6 21:11
我看这是膈疝,在纵隔窗第六\\七幅图像上可见胃粘膜影,再者可见两个腔影,这在液气胸是不会有的.
作者: 同    时间: 2006-12-6 21:12
支持膈疝
作者: jone-baby    时间: 2006-12-6 21:45
左侧气液腔与胃腔影相连,考虑膈疝。钡餐检查有助于诊断
作者: tzw136    时间: 2006-12-6 22:55
这两皆有可能,对,喝钡证实一下.
作者: chmb    时间: 2006-12-6 23:02
支持膈疝,纵隔窗内可见消化道的内容物。
作者: 乡医    时间: 2006-12-6 23:02
标题: 回复:ct5517:女性、24岁,反复胸痛、气促不能平卧半月。
“反复胸痛、气促不能平卧半月”。+影像学表现=膈疝
作者: jinguoji    时间: 2006-12-6 23:09
支持液气胸的诊断.
作者: venzasy    时间: 2006-12-6 23:12
标题: 回复:ct5517:女性、24岁,反复胸痛、气促不能平卧半月。

支持膈疝
作者: 程军建    时间: 2006-12-6 23:26
考虑:液气胸和膈疝两者都有。
建议:做个钡剂透视。
作者: dyqct    时间: 2006-12-6 23:45
支持胀力性液气胸。
右以做个消化道造影除外膈疝。
作者: zbf1964724    时间: 2006-12-7 00:00
综合分析考虑:1左侧包裹性液气胸。2左侧胸膜肥厚。3左肺膨胀不全
作者: zhanglixian1985    时间: 2006-12-7 01:52
膈疝  的可能性还是大
作者: wqs571018    时间: 2006-12-7 02:32
膈疝,喝点钡既可确诊.
作者: sdllxu    时间: 2006-12-7 02:54
标题: 回复:ct5517:女性、24岁,反复胸痛、气促不能平卧半月。
支持液气胸!
作者: 拾荒者    时间: 2006-12-7 03:40
标题: 回复:ct5517:女性、24岁,反复胸痛、气促不能平卧半月。
以下是引用乡医在2006-12-6 15:02:00的发言:[br]“反复胸痛、气促不能平卧半月”。+影像学表现=膈疝

作者: luoshaojun    时间: 2006-12-7 04:16
左侧气液腔与胃腔影相连,考虑膈疝。口服urografin检查有助于诊断。
作者: 汪涛同志    时间: 2006-12-7 08:54
谨慎!喝钡透视一下吧。冒然报一液气胸,临床再穿刺引流结果把胃戳个大洞就麻烦了!
作者: zh-gq    时间: 2006-12-7 18:04
液气胸 怎么会有2 个大腔?
左肺发育不良、支气管囊肿 应该纵隔左移的多吧
还是个膈疝
作者: lizhenhua_00    时间: 2006-12-12 00:47
膈疝,可以钡餐透视。
作者: 清风照影来    时间: 2006-12-12 01:28
标题: 回复:ct5517:女性、24岁,反复胸痛、气促不能平卧半月。

作者: liuzheng_9326    时间: 2006-12-12 01:38
“反复胸痛、气促不能平卧半月,”资料太简单!有无呕吐、进食加重?既往有无气促史?
不排除先天畸形,1.左肺支气管肺囊肿,左肺发育不良,2.左纵隔先天畸形?3.胸腔胃?
钡餐检查有助于诊断。
  刘峥.男.40岁.内科副主任医师.向各位学习。
作者: wuxin7374    时间: 2006-12-12 01:52
肺先天性囊肿,包虫囊肿,膈疝。建议,1喝口钡,2问家在牧区?,咳啥痰,物。
作者: xiazhuzhu    时间: 2006-12-12 03:32
标题: 回复:ct5517:女性、24岁,反复胸痛、气促不能平卧半月。
以下是引用fumaogui在2006-12-6 8:55:00的发言:[br]膈疝.

作者: shibing    时间: 2015-7-14 15:23
膈疝.




欢迎光临 医影在线 (http://bbs.radida.com/bbs/) Powered by Discuz! X3.2