医影在线
标题: CT5520:[原创]上腹部CT平扫 [打印本页]
作者: 同 时间: 2006-12-6 20:58
标题: CT5520:[原创]上腹部CT平扫
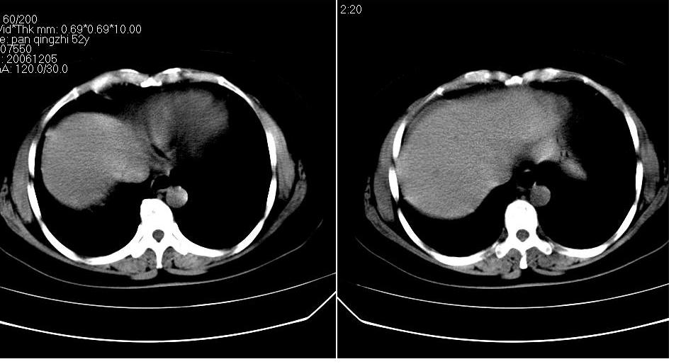
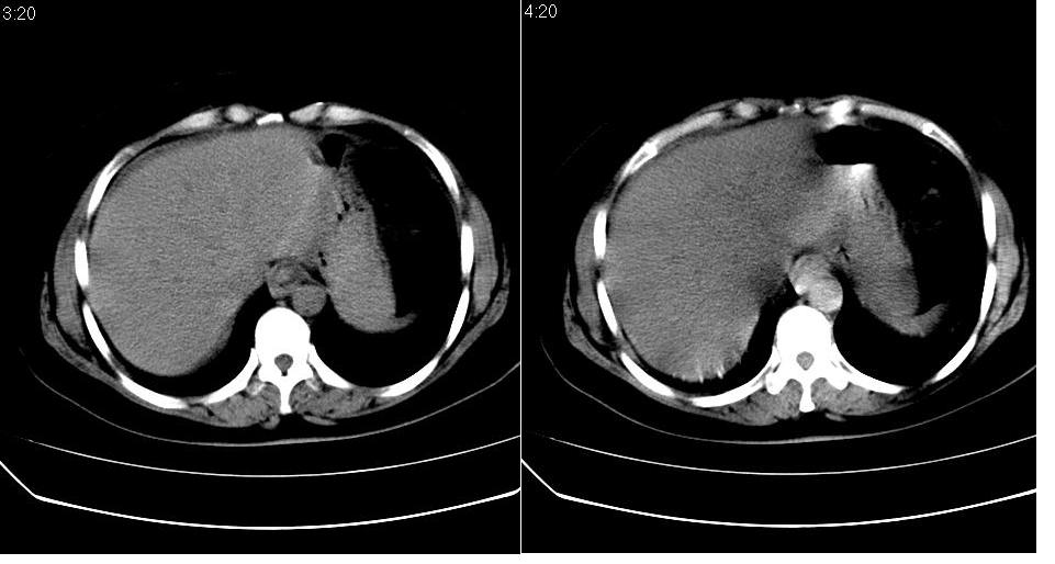
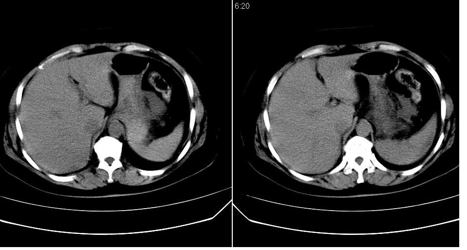
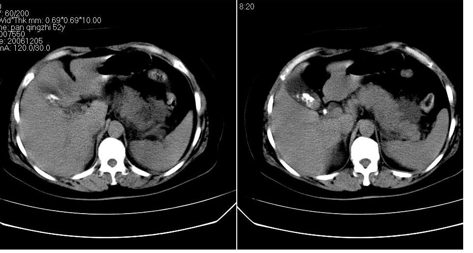
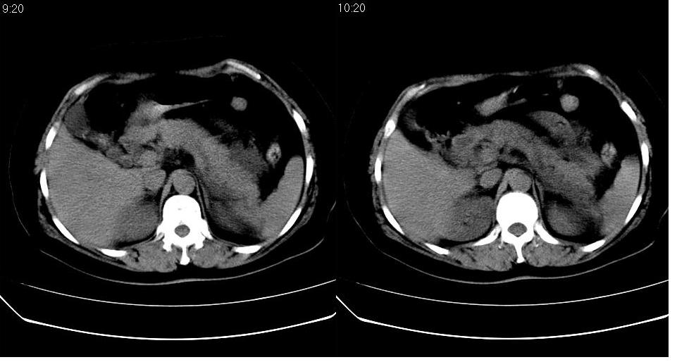
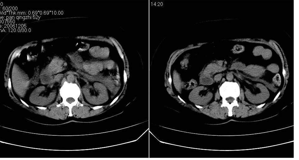
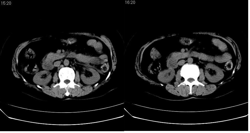
女 52岁,腹痛两天,无其它不适。








[本贴已被 jiajie 于 2006-12-6 15:18:02 修改过]
作者: 一棵树 时间: 2006-12-6 21:11
慢性胆囊炎,胆囊结石,胆源性胰腺炎考虑假囊肿形成。
作者: yang4132 时间: 2006-12-6 21:12
胆囊、胆总管结石,胰腺炎,少量腹水。
作者: hhcckk 时间: 2006-12-6 21:28
左肾周筋膜增厚,肾前间隙积液,胰腺肿大,胆囊结石,胰腺炎
作者: 卜一 时间: 2006-12-6 22:10
胆囊结石 胰腺炎伴胰尾假性囊肿形成.
作者: 守望可可 时间: 2006-12-6 22:11
标题: 回复:[原创]上腹部ct平扫
以下是引用一棵树在2006-12-6 13:11:00的发言:[br]慢性胆囊炎,胆囊结石,胆源性胰腺炎考虑假囊肿形成。
支持除胰腺假性囊肿外的一切诊断,胰腺低密度应该是坏死。
作者: venzasy 时间: 2006-12-6 22:42
标题: 回复:[原创]上腹部ct平扫
胆囊结石,胆总管结石,胰头部囊肿性质侍定。
作者: jinguoji 时间: 2006-12-6 23:14
慢性胆囊炎,胆囊结石,胆源性胰腺炎,少量腹水。
作者: 乡医 时间: 2006-12-6 23:20
标题: 回复:ct5520:[原创]上腹部ct平扫
以下是引用一棵树在2006-12-6 13:11:00的发言:[br]慢性胆囊炎,胆囊结石,胆源性胰腺炎考虑假囊肿形成。
作者: dyqct 时间: 2006-12-6 23:51
支持:左肾周筋膜增厚,肾前间隙积液,胰腺肿大,胆囊结石,胰腺炎。
作者: zyx168 时间: 2006-12-7 00:34
标题: 回复:ct5520:[原创]上腹部ct平扫
左肾周筋膜增厚,肾前间隙积液,胰腺肿大,胆囊结石,胰腺炎。
作者: 余辉 时间: 2006-12-7 01:08
左肾周筋膜增厚,肾前间隙积液,胰腺肿大,胆囊结石,胰腺炎
作者: 13081830109 时间: 2006-12-7 02:06
胆囊、胆总管结石,胰腺炎,少量腹水。
作者: 宝天曼 时间: 2006-12-7 02:08
胆囊、胆总管结石,胰腺炎,少量腹水
作者: zhanglixian1985 时间: 2006-12-7 02:13
标题: 回复:ct5520:[原创]上腹部ct平扫
以下是引用hhcckk在2006-12-6 13:28:00的发言:[br]左肾周筋膜增厚,肾前间隙积液,胰腺肿大,胆囊结石,胰腺炎
作者: wqs571018 时间: 2006-12-7 02:21
胆囊结石,胆总管结石.胰腺炎,胰尾假囊肿形成.
作者: 拾荒者 时间: 2006-12-7 04:16
标题: 回复:ct5520:[原创]上腹部ct平扫
以下是引用venzasy在2006-12-6 14:42:00的发言:[br]胆囊结石,胆总管结石,胰头部囊肿性质侍定。
胰头部囊状影是十二指肠。左侧肾前筋膜增厚、少量积液,胰腺增大,边缘模糊,支持胰腺炎。
作者: wang20017 时间: 2006-12-7 05:48
标题: 回复
1、慢性胆囊炎,胆囊结石、胆总管结石。诊断依据:胆囊内、胆总管内见高密度影,胆囊已有萎缩,说明时间已较长,胆囊壁有增厚。
2、胆源性胰腺炎,诊断依据:同1外+左肾周筋膜增厚,肾前间隙积液,胰腺肿大。
[本贴已被 wang20017 于 2006-12-6 21:52:03 修改过]
作者: zh-gq 时间: 2006-12-7 19:13
标题: 回复:ct5520:[原创]上腹部ct平扫
以下是引用yang4132在2006-12-6 13:12:00的发言:[br]胆囊、胆总管结石,胰腺炎,少量腹水。
作者: shibing 时间: 2015-7-14 15:20
持:左肾周筋膜增厚,肾前间隙积液,胰腺肿大,胆囊结石,胰腺炎。
| 欢迎光临 医影在线 (http://bbs.radida.com/bbs/) |
Powered by Discuz! X3.2 |