医影在线
标题: CT5526:腹部典型病例—共同学习 [打印本页]
作者: 卜一 时间: 2006-12-7 01:48
标题: CT5526:腹部典型病例—共同学习
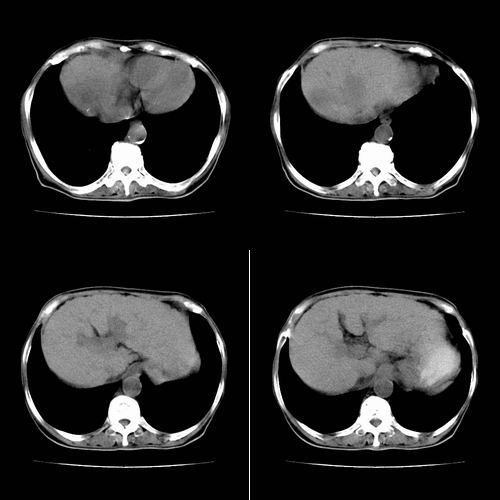
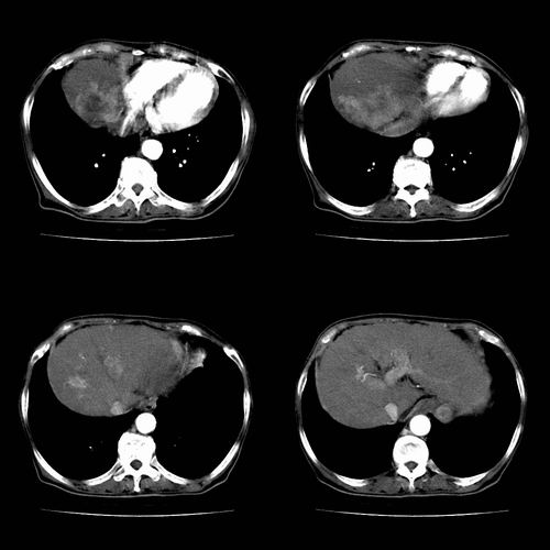
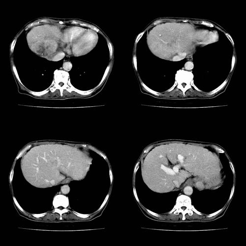
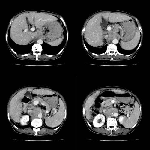
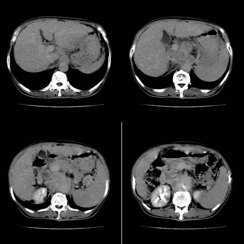
患者 女性 58岁,家族有乙肝病史,(并姊妹中已有3人确诊肝癌,真是不幸!乙肝病毒真是害死人!)近期明显消瘦,乏力,右上腹疼痛.行ct结果非常典型,请诸位老师会诊!








[本贴已被 jiajie 于 2006-12-6 19:15:30 修改过]
作者: sdqzwyx 时间: 2006-12-7 02:21
标题: 回复:腹部典型病例—共同学习




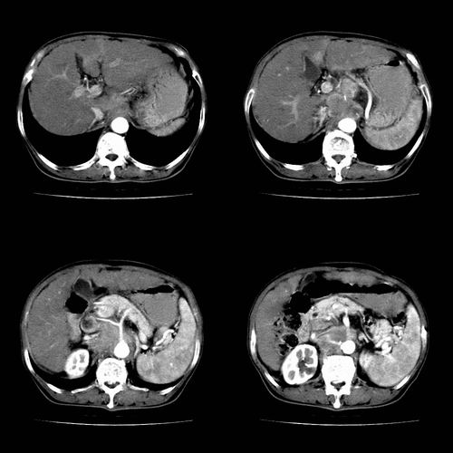
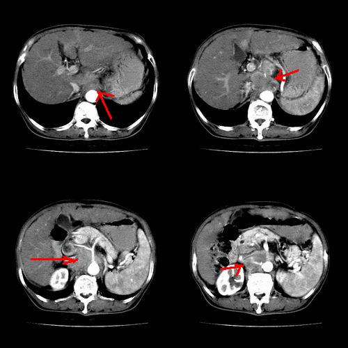
图片非常漂亮!肝内病灶符合较典型肝癌的强化方式,速升速降,其内可见坏死,腹膜后示肿大淋巴结融合成团,包绕腹主动脉、腹腔干动脉、肠系膜动脉。右肾小囊性病灶,未见明显强化。
诊断:肝癌并腹膜后淋巴结转移。
符合右肾囊肿
[本贴已被 sdqzwyx 于 2006-12-6 18:29:41 修改过]
作者: 13081830109 时间: 2006-12-7 02:25
腹部典型病例—共同学习
收藏了,图象也很清晰
作者: 子期 时间: 2006-12-7 02:30
肝癌伴门静脉及下腔静脉癌栓形成,腹膜后淋巴结转移.
作者: 宝天曼 时间: 2006-12-7 02:32
来自基层的学习了
多谢楼住
作者: shiyuanl 时间: 2006-12-7 02:35
地一个图是双期扫描`~~~~动脉期肿瘤强化~~静脉期肝实质强化`~肿瘤不强化`~很典型是个肝ca~~
肝脏80%左右有静脉供血~~~所以地一个强化肯定不是肝实质~~~平扫有个低密度的`~结合临床可以肯定
~不知道我说的对吗~~各位老师我是个小屁股天天被人欺负我觉得不想在医院搞了`~~没前途要饿死~~
作者: zwx 时间: 2006-12-7 03:24
肝癌并腹膜后淋巴结转移。
作者: 光线 时间: 2006-12-7 03:34
是了!
作者: zjzjr 时间: 2006-12-7 03:36
肝癌伴腹膜后淋巴结转移,肝硬化伴脾大,好像没有发现门静脉及下腔静脉瘤栓形成.
作者: 毓鸿 时间: 2006-12-7 03:38
根据增强的特点看,应该是肝癌,腹膜后胰头区低密度占位应该是腹膜后淋巴结增大,多考虑转移
作者: muxinhua 时间: 2006-12-7 03:45
典型病例,谢谢楼主。
作者: 余辉 时间: 2006-12-7 03:49
肝癌伴腹膜后淋巴结转移,肝硬化伴脾大,好像没有发现门静脉及下腔静脉瘤栓形成.看腹腔干是不是有浸润
作者: liuyue 时间: 2006-12-7 03:51
肝癌伴腹膜后淋巴结转移,肝硬化伴脾大,
典型病例,学习了,谢谢!
作者: dyqct 时间: 2006-12-7 03:53
已到晚期,很不幸。
作者: 同 时间: 2006-12-7 03:54
肝癌伴腹膜后淋巴结转移。
作者: liruixing 时间: 2006-12-7 03:55
支持肝癌并腹膜后淋巴结转移
作者: wangzhanshuang 时间: 2006-12-7 04:49
肝癌并腹膜后淋巴结转移
作者: jiazh 时间: 2006-12-7 05:04
标题: 回复:ct5526:腹部典型病例—共同学习
典型肝硬化、肝脏右后叶肝癌。动脉期、静脉期很好,不知是否用高压注射器?
作者: 拾荒者 时间: 2006-12-7 05:20
家族中又多了一个,给留下的人又多了一层恐慌。真是不幸!
作者: shuangjidao111 时间: 2006-12-7 05:31
1、肝右叶肝癌,后腹膜淋巴结转移(包绕腹腔干及肠系膜上动脉,推压门静脉、下腔静脉及胰头)
2、肝硬化、脾肿大
3、右肾小囊肿
作者: wang20017 时间: 2006-12-7 05:33
标题: [讨论]
典型病例:
1、肝硬化,脾肿大
2、肝癌,动静脉瘘(动脉期门静脉内造影剂进入)
3、后腹膜淋巴结转移,下腔静脉推移
[本贴已被 wang20017 于 2006-12-6 21:37:15 修改过]
作者: liuqiang 时间: 2006-12-7 05:41
很好太典型了,做的三期扫描也很漂亮啊。
作者: 守望可可 时间: 2006-12-7 05:45
支持大家、谢谢楼主!卜一老师有好病例总是及时拿出来与大家共享,深表感谢!
作者: 雪狼141 时间: 2006-12-7 06:09
标题: 回复:ct5526:腹部典型病例—共同学习
以下是引用守望可可西里在2006-12-6 21:45:00的发言:[br]支持大家、谢谢楼主!卜一老师有好病例总是及时拿出来与大家共享,深表感谢!
作者: shibing 时间: 2015-7-14 16:04
肝癌并腹膜后淋巴结转移。
| 欢迎光临 医影在线 (http://bbs.radida.com/bbs/) |
Powered by Discuz! X3.2 |