















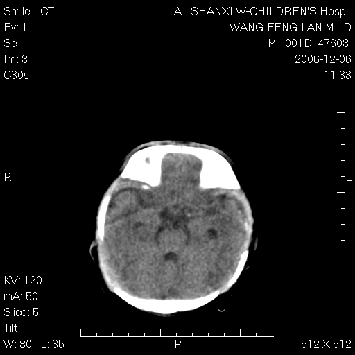
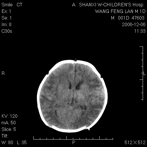
以下是引用husiling在2006-12-6 18:14:00的发言:[br]1\\hie[br]2\\蛛血.
以下是引用husiling在2006-12-6 18:14:00的发言:[br]1\\hie[br]2\\蛛血.
以下是引用zjzjr在2006-12-6 19:29:00的发言:[br]支持新生儿缺血缺氧性脑病伴少量蛛网膜下腔出血.
以下是引用卜一在2006-12-6 21:38:00的发言:[br][br] 支持:新生儿缺血缺氧性脑病伴少量蛛网膜下腔出血 [br]
| 欢迎光临 医影在线 (http://bbs.radida.com/bbs/) | Powered by Discuz! X3.2 |