



















































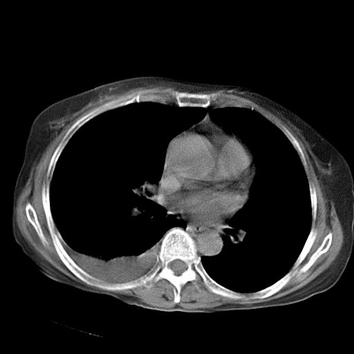
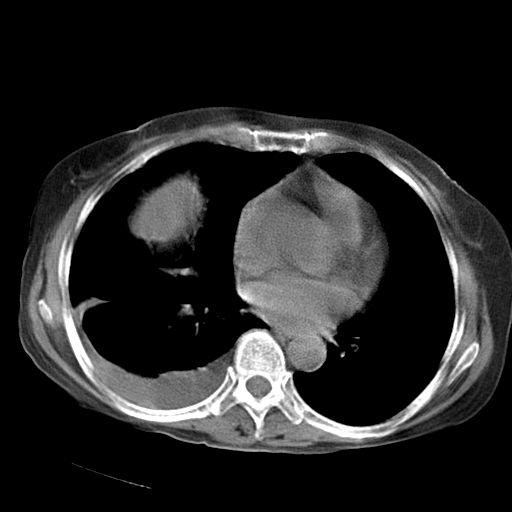
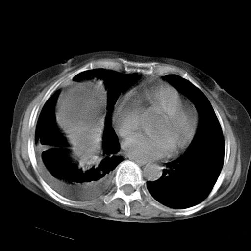
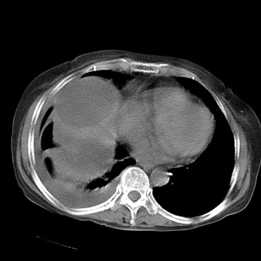
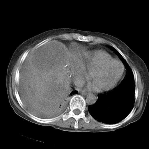
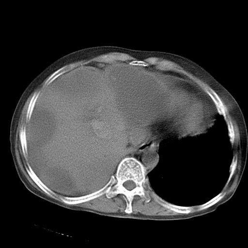
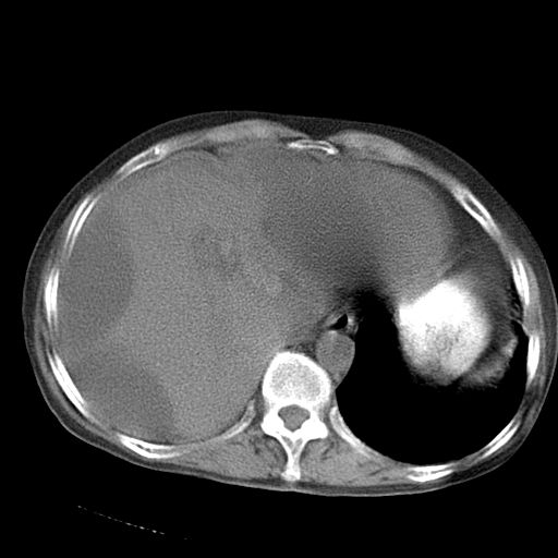
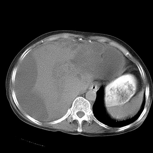
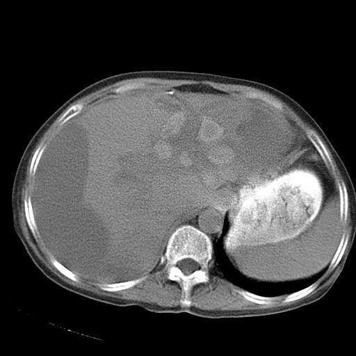
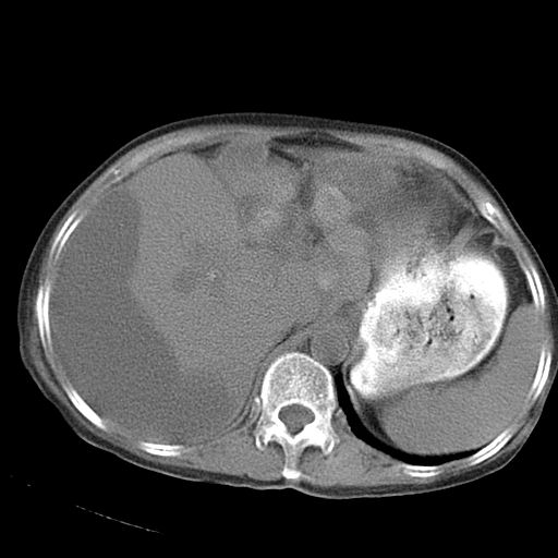
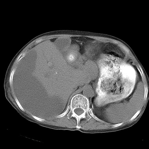
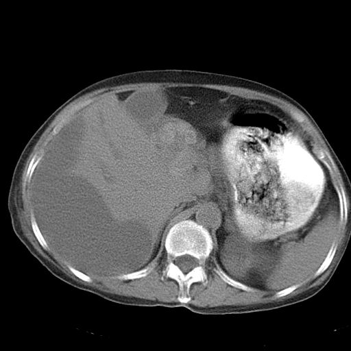
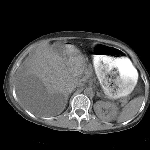
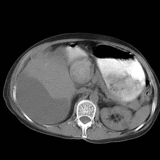
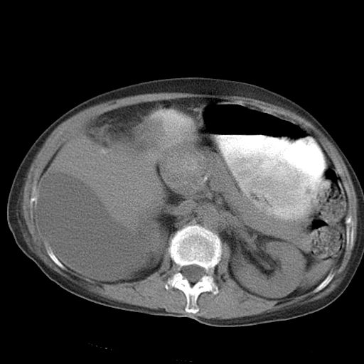
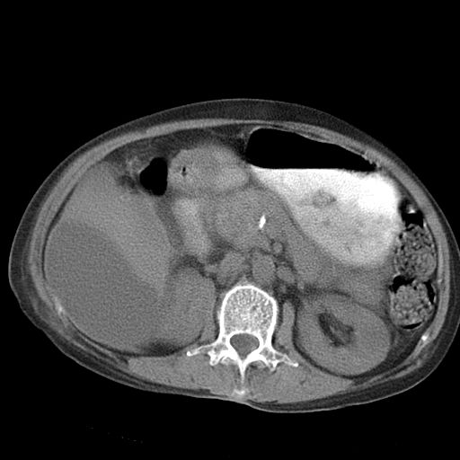
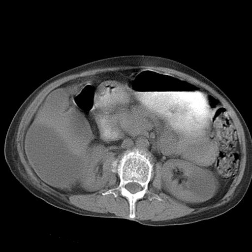
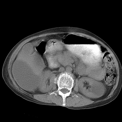
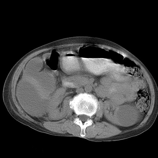
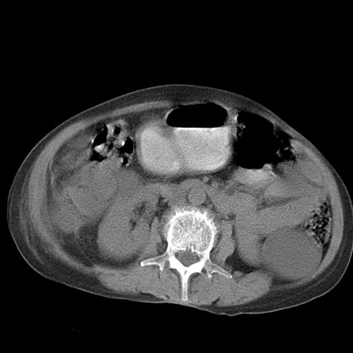
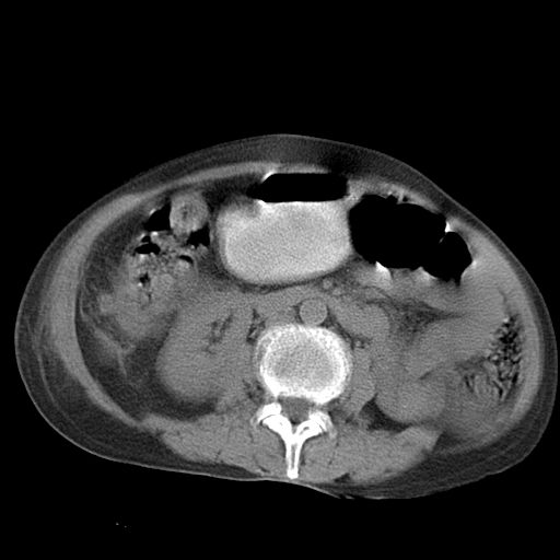
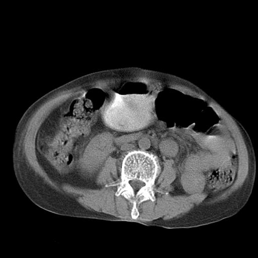
以下是引用dyqct在2006-12-7 21:08:00的发言:[br]考虑:1、肝内外胆管多发性结石伴肝左叶外侧段肝萎缩;[br] 2、右膈下多发脓肿;[br] 3、右侧少量胸腔积液、斜裂积液;[br] 4、左肾囊肿。
以下是引用dyqct在2006-12-7 21:08:00的发言:[br]考虑:1、肝内外胆管多发性结石伴肝左叶外侧段肝萎缩;[br] 2、右膈下多发脓肿;[br] 3、右侧少量胸腔积液、斜裂积液;[br] 4、左肾囊肿。
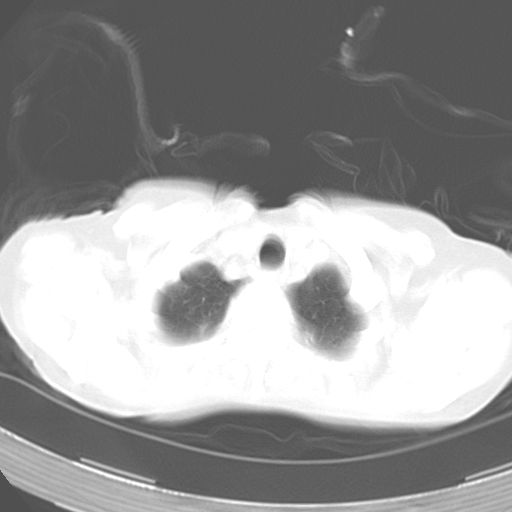
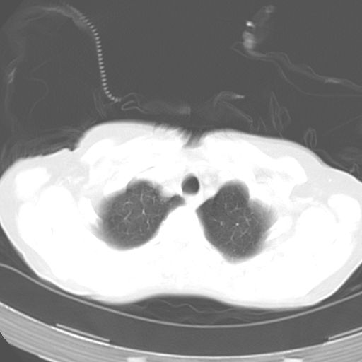
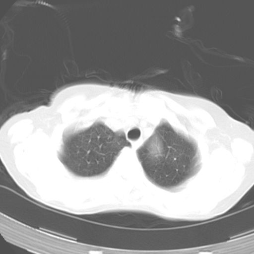
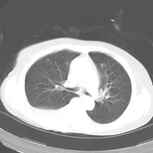
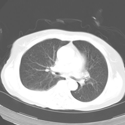
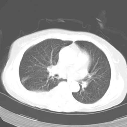
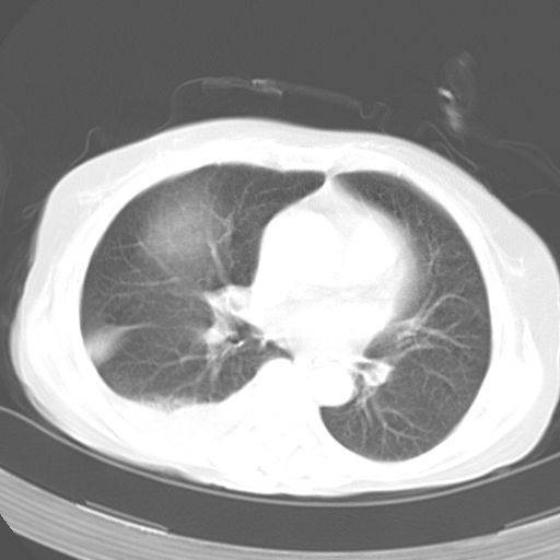
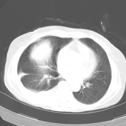
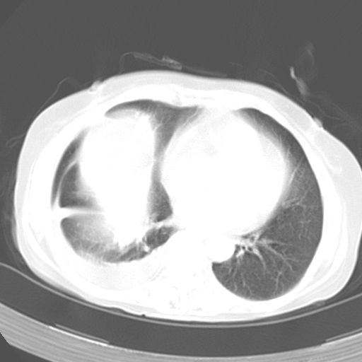
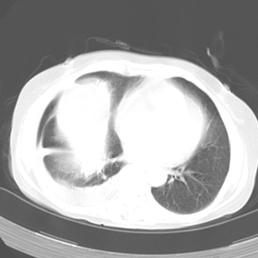
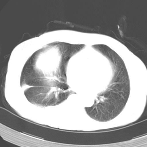
以下是引用jiazh在2006-12-7 20:37:00的发言:[br]肝脏周围半狐形低密度影,肝脏表面受压推移,考虑膈下脓肿可能性大;2、右侧胸腔积液

以下是引用拾荒者在2006-12-7 21:44:00的发言:[br]肝内外胆管多发结石,右膈下多发脓肿,右胸膜腔及叶间裂积液,左肾囊肿。[br] [br]
以下是引用守望可可西里在2006-12-7 23:45:00的发言:[br][br]
| 欢迎光临 医影在线 (http://bbs.radida.com/bbs/) | Powered by Discuz! X3.2 |