医影在线
标题: CT5553:腹部外伤--有病理 [打印本页]
作者: 天南地北 时间: 2006-12-8 20:31
标题: CT5553:腹部外伤--有病理
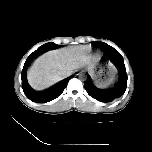
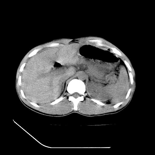
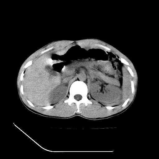
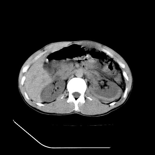
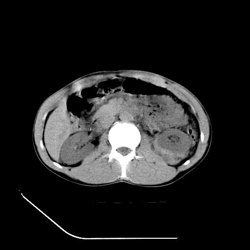
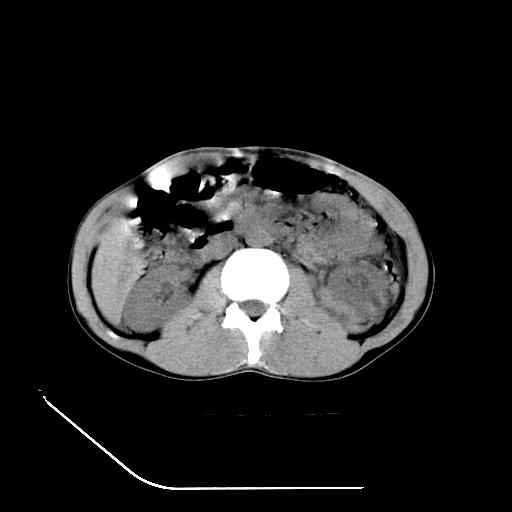
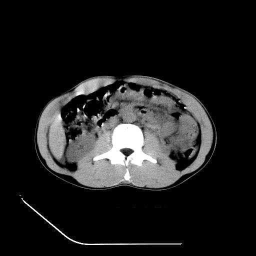
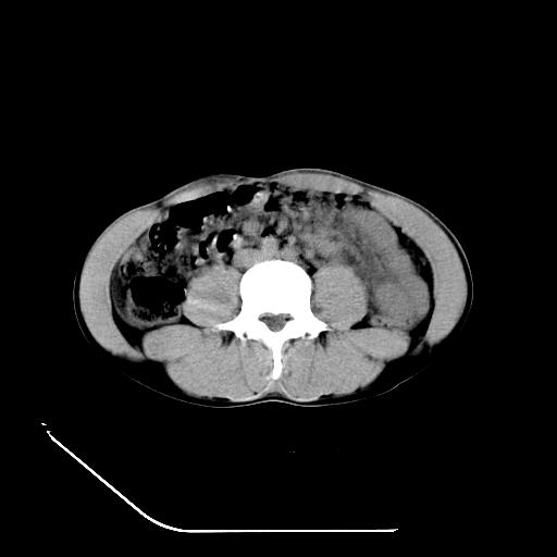
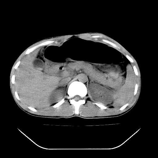
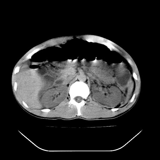
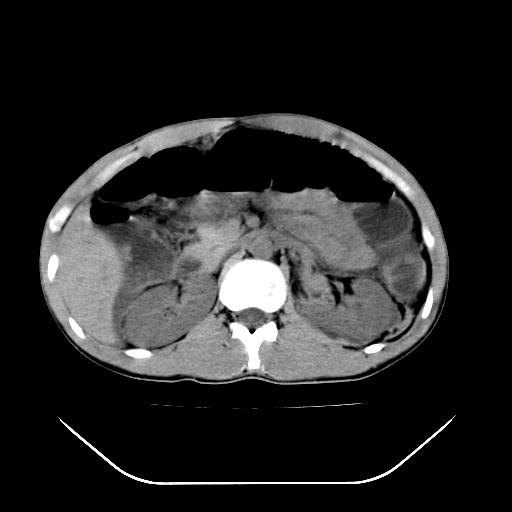
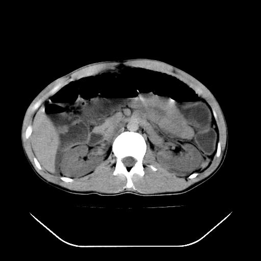
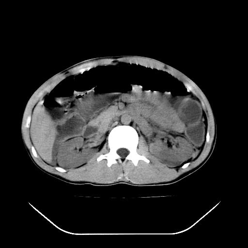
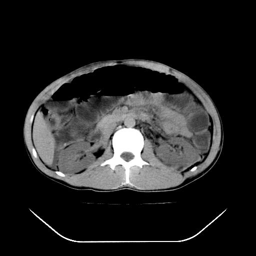
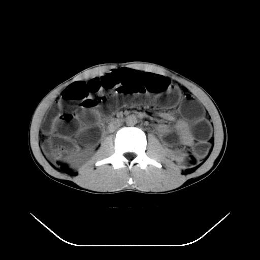
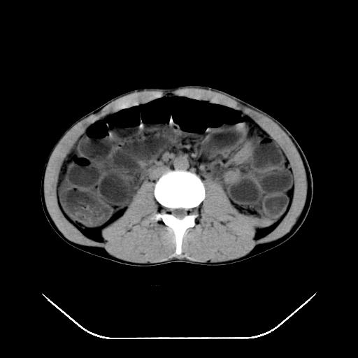
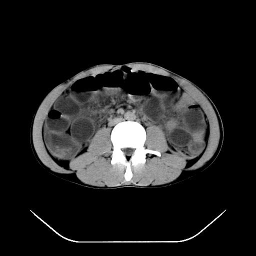
m-25y 高空堕落 12 月5号



















12月7号病人尿量200ml/24h 急查双肾ct




















[本贴已被 jiajie 于 2006-12-8 21:24:10 修改过]
作者: ysxyy 时间: 2006-12-8 21:06
标题: 回复:腹部外伤--有病理
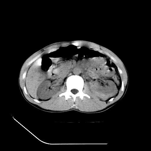
m-25y 高空堕落 12 月5号

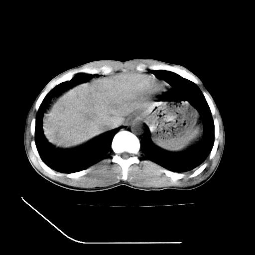
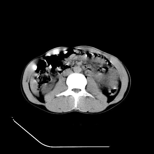
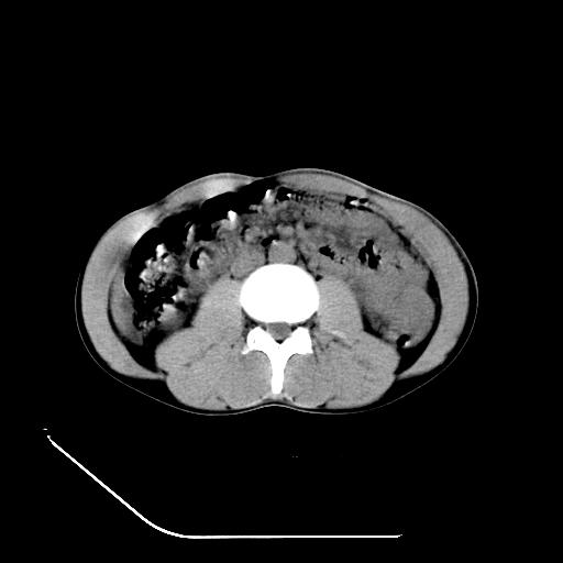
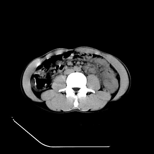
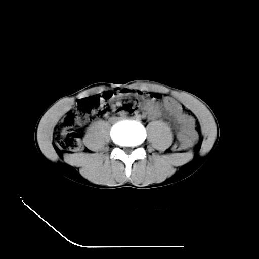
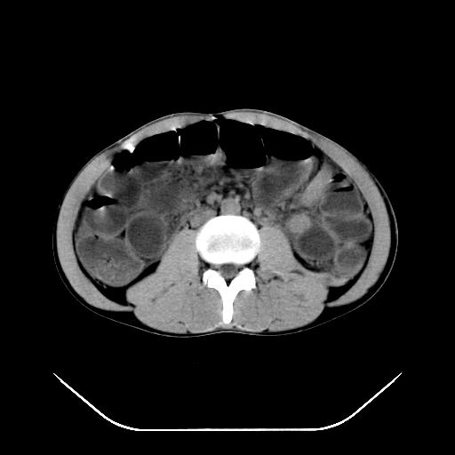
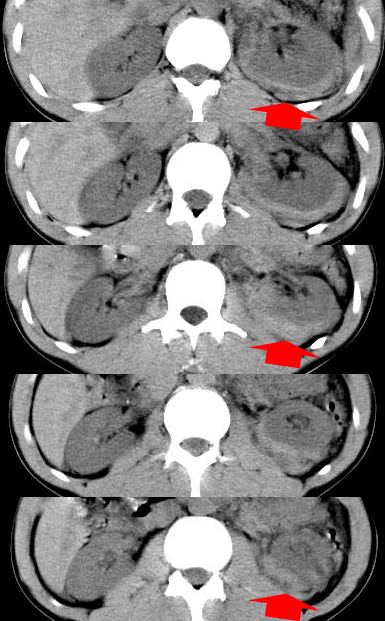
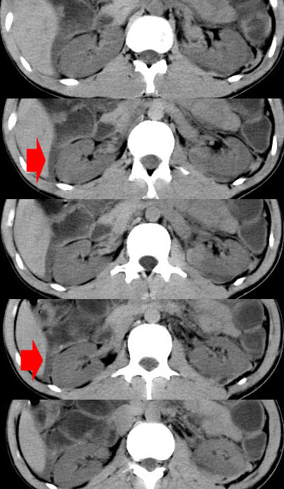
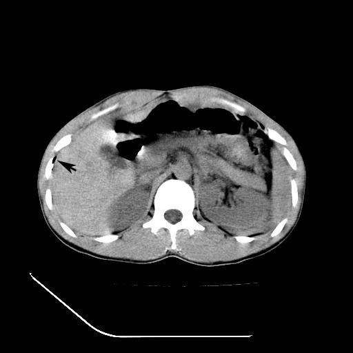
左肾挫裂伤并肾周血肿;
12月7号

肝肾间隙可见液区,建议手术探查;
作者: wangzhanshuang 时间: 2006-12-8 21:12
左肾挫裂伤并肾周血肿
作者: 卜一 时间: 2006-12-8 21:40
支持 : 左肾挫裂伤并肾周血肿
作者: dyqct 时间: 2006-12-8 22:45
标题: 外伤
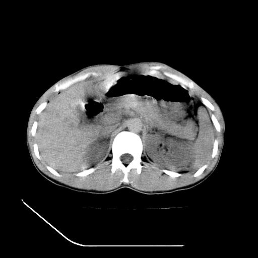
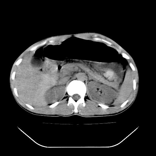
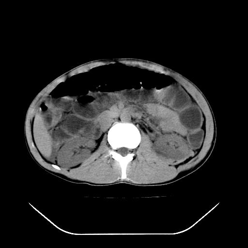
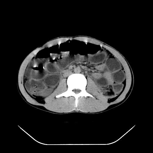
支持:1、左肾挫裂伤并肾周血肿;
2、少量腹水;
3、左肾旋转不良;
4、反射性肠淤张。
[本贴已被 dyqct 于 2006-12-8 15:04:56 修改过]
作者: 晓杰 时间: 2006-12-8 23:19
支持:1、左肾挫裂伤并肾周血肿;
2、少量腹水;
3、反射性肠淤张。
作者: 守望可可 时间: 2006-12-8 23:35
标题: 回复:腹部外伤--有病理

作者: zjzjr 时间: 2006-12-9 00:05
支持:1、左肾挫裂伤并肾周血肿;
2、少量腹水;
3、左肾旋转不良;
4、反射性肠淤张。
左肾没有积水,输尿管位置应该靠内侧.所以守望可可西里老师所指左侧输尿管血凝块,连续看应该是肠管.
作者: zhangxiangjun 时间: 2006-12-9 00:51
支持:1、左肾挫裂伤并肾周血肿;
2、少量腹水;
3、左肾旋转不良;
4、反射性肠淤张。
作者: zyx168 时间: 2006-12-9 01:20
标题: 回复:腹部外伤--有病理
以下是引用zhangxiangjun在2006-12-8 16:51:00的发言:[br]支持:1、左肾挫裂伤并肾周血肿;[br] 2、少量腹水;[br] 3、左肾旋转不良;[br] 4、反射性肠淤张。
作者: 清风照影来 时间: 2006-12-9 01:23
标题: 回复:腹部外伤--有病理
以下是引用dyqct在2006-12-8 14:45:00的发言:[br]支持:1、左肾挫裂伤并肾周血肿;[br] 2、少量腹水;[br] 3、左肾旋转不良;[br] 4、反射性肠淤张。[br][br][本贴已被 dyqct 于 2006-12-8 15:04:56 修改过]
反射性肠郁张是指许多原因造成肠道吸收气体和液 功能障碍,也可造成分泌功能与动力的障碍,以致肠道内有过量的气体和液体潴积,有时只有过量的气体潴积。肠道较舒张,但不扩大,或有部分肠道轻度的扩大,这种情况叫做反射性肠郁张 ,这个病人的肠管扩张太明显了。

提示有肠梗阻的可能性?

我不同意守望可西里老师所说的有输尿管的血液凝积一说,首先从这个图像来看输尿管的走行太偏外了,输尿管是肾盂向下延续的部分,开始在腰大肌的外缘,逐渐向内偏移,接近或越过腰椎横突的外端。而守望可可西里老师所指的这段图像位置太靠外了,且总是伴行在一段肠管的前缘。第二,如果有血液的凝积,可造成肾盂肾盏的扩张积水,而这个病人的肾盂肾盏的形态一直很好。
综上所述,考虑1:左肾挫伤并包膜下血肿2:少量腹腔积液3:肠梗阻的可能
作者: nbczero 时间: 2006-12-9 01:27
支持各位老师!
左肾挫裂伤伴肾周血肿
左侧少量腹水
作者: wanghs001 时间: 2006-12-9 01:28
标题: 回复:腹部外伤--有病理
[quote]以下是引用zjzjr在2006-12-8 16:05:00的发言:[br]支持:1、左肾挫裂伤并肾周血肿;[br] 2、少量腹水;[br] 3、左肾旋转不良;[br] 4、反射性肠淤张。quote]
作者: 天南地北 时间: 2006-12-9 01:35
标题: 1
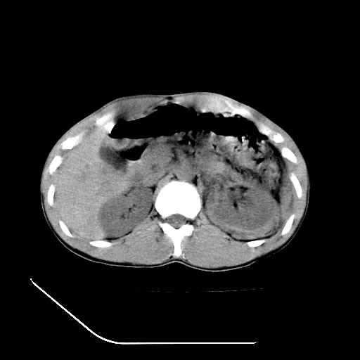
除了1:左肾挫裂伤并肾周血肿;
2:少量腹水
第二次ct检查后:临床医生腹水穿刺后考虑肠系膜动脉破裂,后实行剖腹探查:于空肠距离十二指肠90cm处发现肠管破裂,破裂口较小;修补后关腹。
谢谢各位老师精彩的讨论
这也是我发的第一个有病理的病例。谢谢
[本贴已被 天南地北 于 2006-12-8 17:37:59 修改过]
作者: 风云01 时间: 2006-12-9 01:36
支持:1、左肾挫裂伤并肾周血肿;
2、少量腹水;
3、左肾旋转不良;
4、反射性肠淤张。
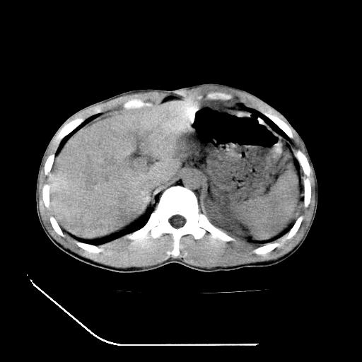
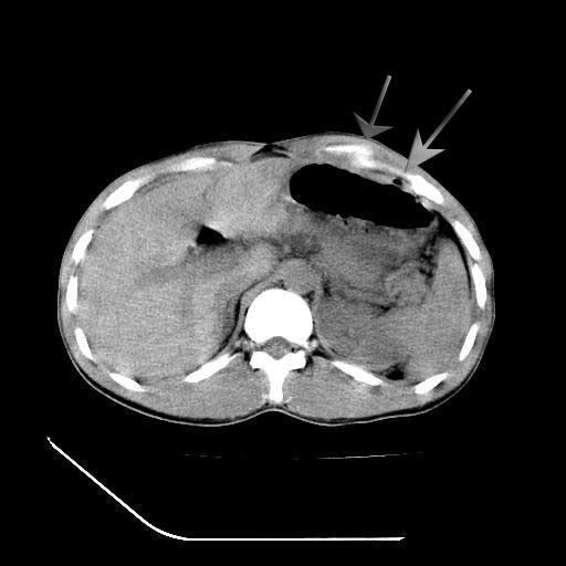
脾脏是问题还是伪影?
作者: 乡医 时间: 2006-12-9 01:37
标题: 回复:腹部外伤--有病理
以下是引用dyqct在2006-12-8 14:45:00的发言:[br]支持:1、左肾挫裂伤并肾周血肿;[br] 2、少量腹水;[br] 3、左肾旋转不良;[br] 4、反射性肠淤张。[br][br][本贴已被 dyqct 于 2006-12-8 15:04:56 修改过]
第4点我到考虑为高空坠落后引起的动力性肠梗阻.
作者: 天南地北 时间: 2006-12-9 01:43
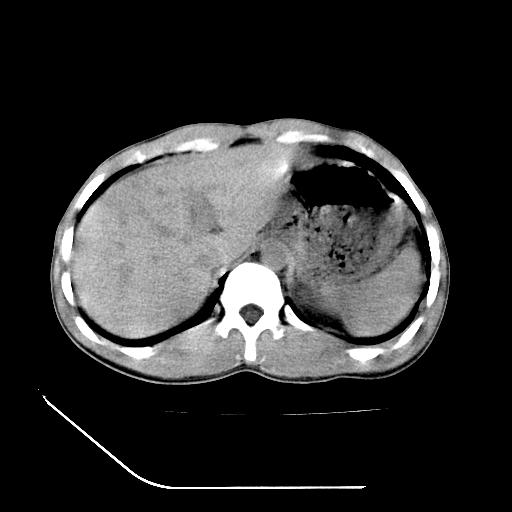
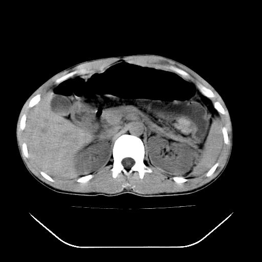
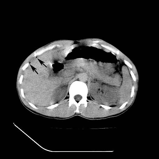
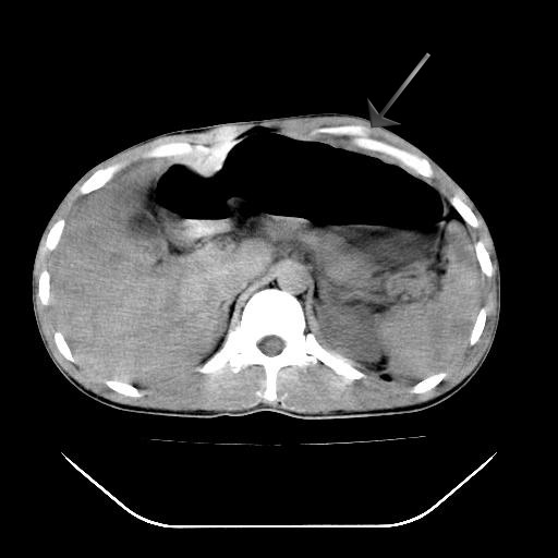
顺便请各位老师认真看看7号片
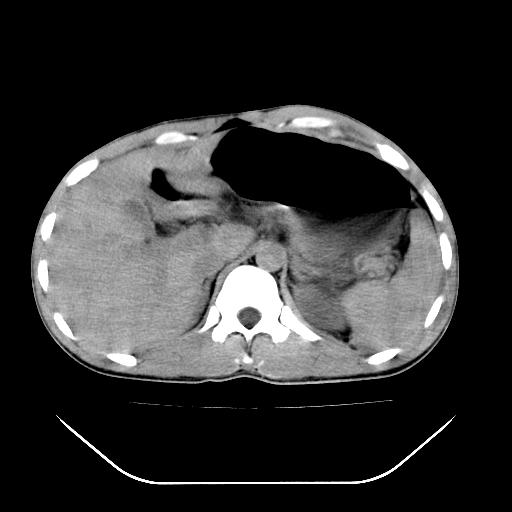
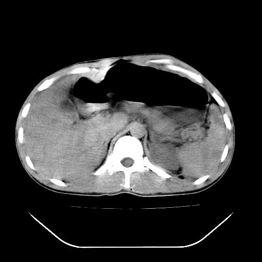
各位老师觉得胆囊是不是有点积血。我在原始片看胆囊密度不均,似有小液平面
作者: 清风照影来 时间: 2006-12-9 03:02
结果收到,谢谢楼主
作者: venzasy 时间: 2006-12-9 03:28
标题: 回复:腹部外伤--有病理

作者: 守望可可 时间: 2006-12-9 06:14
标题: 回复:ct5553:腹部外伤--有病理
以下是引用天南地北在2006-12-8 17:35:00的发言:[br]除了1:左肾挫裂伤并肾周血肿;[br]2:少量腹水[br]第二次ct检查后:临床医生腹水穿刺后考虑肠系膜动脉破裂,后实行剖腹探查:于空肠距离十二指肠90cm处发现肠管破裂,破裂口较小;修补后关腹。[br]谢谢各位老师精彩的讨论[br]这也是我发的第一个有病理的病例。谢谢[br][br][本贴已被 天南地北 于 2006-12-8 17:37:59 修改过]
以下是引用天南地北在2006-12-8 17:43:00的发言:[br]顺便请各位老师认真看看7号片[br]各位老师觉得胆囊是不是有点积血。我在原始片看胆囊密度不均,似有小液平面
感谢天南地北老师的好病例以及及时的结果告知!感谢zjzjr和清风照影老师批评指正!
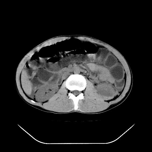
我的确搞错了,我指出的那个影像应该是小肠管。其内侧、腰大肌前方见有一个小圆形密度,那个才应该是真正的输尿管。对不起各位老师,我错的有点离谱。
这个病例让我学习了很多,不仅是输尿管的正常走向,还有肾周血肿与肾包膜下血肿的鉴别,更有反射性肠淤张......再次衷心的感谢各位老师的厚爱与博学!
再有就是支持楼主,胆囊7日片比5日片不仅增大许多,靠后下更见液液分层,应该是有积血。
认真、再认真才可以不出错,汗颜、学习、感动......
作者: 拾荒者 时间: 2006-12-9 06:14
结果收到,谢谢楼主及各位站友的精彩点评。
作者: zjzjr 时间: 2006-12-9 07:24
标题: 回复:ct5553:腹部外伤--有病理
结果收到,谢谢楼主,另外反过来看这个地方是不是游离气体影


作者: dbndp 时间: 2006-12-9 09:20
病人尿量200ml/24h,是否用反射性肠淤张可以解释。
作者: 守望可可 时间: 2006-12-10 06:00
标题: 回复:ct5553:腹部外伤--有病理
以下是引用天南地北在2006-12-8 17:43:00的发言:[br]顺便请各位老师认真看看7号片[br]各位老师觉得胆囊是不是有点积血。我在原始片看胆囊密度不均,似有小液平面
今天晚上看2006-12-07的《健康报》第8版,才明白胆囊为什么会有如此变化,应该是跟临床治疗用头孢曲松纳有关,建议楼主了解临床治疗用药情况。附全文如下:
注意排除“胆囊结石”
---湖南长沙第七医院超声科副主任医师 熊青云
临床上偶尔会遇到这样的现象:一些使用了头孢曲松纳(一种消炎药物,通用名:罗氏芬、菌必治)的病人,在进行腹部b超检查时,胆囊超声图显示胆囊内有强光团伴声应对声像图改变(是一种典型的胆囊结石的超声影像),被诊断为:胆囊结石“。但是随着头孢曲松纳治疗的结束或终止用药10~30天,再次复查b超又会发现胆囊是正常的,“结石”神奇地消失了。
这是什么原因呢?原来头孢曲松纳是随肝脏分泌的胆汁一起排出。头孢曲松纳溶解在胆汁中,胆汁在胆囊内浓缩,头孢曲松纳在胆汁肿大浓度增高,超过饱和度后,头孢曲松纳盐沉积在胆囊内,形成团块胶冻样物质,b超检查时表现为胆囊结石影像。然而停药后,胆汁中的头孢曲松纳的浓度逐渐下降,头孢曲松纳盐再溶解在胆汁中,逐步随胆汁从胆囊内经过胆总管排入肠道,所以“结石”影也就逐渐消失了。
b超检查中发现胆囊结石病人时,尤其是原来没有胆囊结石病史的住院病人如果发现有胆囊结石,应该注意询问病人近期是否使用过头孢曲松纳等药物。如果使用了,就应该注意观察,耐心跟病人解释,并提醒临床医生,待停药后10~30天再复查,以避免因为错位的b超报告而造成不必要的手术创伤,同时也可以减少病人的痛苦和经济负担。临床医生和病人都应该注意因药物引起的短暂的“胆囊结石”的假象。
尽管上诉资料说的是b超,但其原理也同样使用于本例病人。12-05片胆囊没有问题,12-07却有类似于出血的高密度,不能 不说是非常奇怪和匪夷所思的现象。特意摘录出来与大家共勉,至少我们在诊断胆囊结石或出血的时候应该划过这样的印象。
已收录到“影像文摘”中
[本贴已被 翁志蓬 于 2006-12-11 0:06:06 修改过]
作者: 清风照影来 时间: 2006-12-10 06:05
真的要学习守望可可西里老师这种精神,不停的探索,不停的反思
作者: ysxyy 时间: 2006-12-10 08:51
标题: 回复:ct5553:腹部外伤--有病理
以下是引用守望可可西里在2006-12-9 22:00:00的发言:[br][quote]以下是引用天南地北在2006-12-8 17:43:00的发言:[br]顺便请各位老师认真看看7号片[br]各位老师觉得胆囊是不是有点积血。我在原始片看胆囊密度不均,似有小液平面
[br][br] 今天晚上看2006-12-07的《健康报》第8版,才明白胆囊为什么会有如此变化,应该是跟临床治疗用头孢曲松纳有关,建议楼主了解临床治疗用药情况。附全文如下:[br] [br] 注意排除“胆囊结石”[br] ---湖南长沙第七医院超声科副主任医师 熊青云[br] [br] 临床上偶尔会遇到这样的现象:一些使用了头孢曲松纳(一种消炎药物,通用名:罗氏芬、菌必治)的病人,在进行腹部b超检查时,胆囊超声图显示胆囊内有强光团伴声应对声像图改变(是一种典型的胆囊结石的超声影像),被诊断为:胆囊结石“。但是随着头孢曲松纳治疗的结束或终止用药10~30天,再次复查b超又会发现胆囊是正常的,“结石”神奇地消失了。[br] 这是什么原因呢?原来头孢曲松纳是随肝脏分泌的胆汁一起排出。头孢曲松纳溶解在胆汁中,胆汁在胆囊内浓缩,头孢曲松纳在胆汁肿大浓度增高,超过饱和度后,头孢曲松纳盐沉积在胆囊内,形成团块胶冻样物质,b超检查时表现为胆囊结石影像。然而停药后,胆汁中的头孢曲松纳的浓度逐渐下降,头孢曲松纳盐再溶解在胆汁中,逐步随胆汁从胆囊内经过胆总管排入肠道,所以“结石”影也就逐渐消失了。[br] b超检查中发现胆囊结石病人时,尤其是原来没有胆囊结石病史的住院病人如果发现有胆囊结石,应该注意询问病人近期是否使用过头孢曲松纳等药物。如果使用了,就应该注意观察,耐心跟病人解释,并提醒临床医生,待停药后10~30天再复查,以避免因为错位的b超报告而造成不必要的手术创伤,同时也可以减少病人的痛苦和经济负担。临床医生和病人都应该注意因药物引起的短暂的“胆囊结石”的假象。[br][br] 尽管上诉资料说的是b超,但其原理也同样使用于本例病人。12-05片胆囊没有问题,12-07却有类似于出血的高密度,不能 不说是非常奇怪和匪夷所思的现象。特意摘录出来与大家共勉,至少我们在诊断胆囊结石或出血的时候应该划过这样的印象。[/quote]
再次感谢守往可可西里老师,又学了一个新知识;
作者: jinguoji 时间: 2006-12-10 22:12
标题: 回复:ct5553:腹部外伤--有病理
以下是引用天南地北在2006-12-8 17:35:00的发言:[br]除了1:左肾挫裂伤并肾周血肿;[br]2:少量腹水[br]第二次ct检查后:临床医生腹水穿刺后考虑肠系膜动脉破裂,后实行剖腹探查:于空肠距离十二指肠90cm处发现肠管破裂,破裂口较小;修补后关腹。[br]谢谢各位老师精彩的讨论[br]这也是我发的第一个有病理的病例。谢谢[br][br][本贴已被 天南地北 于 2006-12-8 17:37:59 修改过]
结果收到,谢谢楼主
作者: zhanglixian1985 时间: 2006-12-11 01:37
标题: 回复:ct5553:腹部外伤--有病理
以下是引用dyqct在2006-12-8 14:45:00的发言:[br]支持:1、左肾挫裂伤并肾周血肿;[br] 2、少量腹水;[br] 3、左肾旋转不良;[br] 4、反射性肠淤张。[br][br][本贴已被 dyqct 于 2006-12-8 15:04:56 修改过]
作者: zhw974247 时间: 2006-12-11 05:09
谢谢楼主的精彩病例和守望可可西里老师的执著探索!
作者: xcct 时间: 2006-12-11 05:13
标题: 回复:ct5553:腹部外伤--有病理
看了各位老师的精彩点评,学到了很多东西,另外还有一点疑问,不知对否?
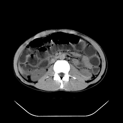
左胸部前肋有没有骨折?
胃大弯侧是否在5号就已经有游离气体了?
请楼主在机器上再看看,并请答复

作者: 朱磊 时间: 2006-12-11 23:15
标题: ct5553
谢谢楼主的精彩病例和守望可可西里老师的执著探索,又学了一个新的知识点,非常感谢守往可可西里老师。
祝愿可可西里老师
[emb20][emb20]
[本贴已被 朱磊 于 2006-12-11 15:17:31 修改过]
作者: wqs571018 时间: 2006-12-12 00:56
图片漂亮,分析的精彩.谢谢各位老师!
作者: wsg 时间: 2006-12-22 09:31
左肾挫裂伤并左肾薄膜下血肿;
左脾挫裂伤;
腹水;
肋骨骨折;
肠管胀气;
肠管破裂?
病理在哪?
作者: 求知若渴 时间: 2006-12-23 04:51
标题: 回复:ct5553:腹部外伤--有病理
以下是引用dyqct在2006-12-8 14:45:00的发言:[br]支持:1、左肾挫裂伤并肾周血肿;[br] 2、少量腹水;[br] 3、左肾旋转不良;[br] 4、反射性肠淤张。[br][br][本贴已被 dyqct 于 2006-12-8 15:04:56 修改过]
作者: 甲子114 时间: 2007-11-23 19:22
精彩讨论,学习了
作者: ssmmxx 时间: 2007-12-16 23:24
谢谢楼主的精彩病例和守望可可西里老师的执著探索,又学了一个新的知识点,非常感谢守往可可西里老师。
祝愿可可西里老师
[本贴已被 朱磊 于 2006-12-11 15:17:31 修改过]
作者: 童医生 时间: 2009-4-24 23:01
楼主的病例非常有价值,可可西里老师的执着探索精神尤为可嘉!从两位身上学到的东西另人终身受用!向两位致以崇高的敬意!
作者: ct诊断高手 时间: 2009-4-25 08:41
标题: 回复:ct5553:腹部外伤--有病理
以下是引用zjzjr在2006-12-8 16:05:00的发言:[br]支持:1、左肾挫裂伤并肾周血肿;[br] 2、少量腹水;[br] 3、左肾旋转不良;[br] 4、反射性肠淤张。[br]左肾没有积水,输尿管位置应该靠内侧.所以守望可可西里老师所指左侧输尿管血凝块,连续看应该是肠管.[br]
作者: yuhongjun 时间: 2009-4-25 13:57
非常感谢各位的精彩论述。
作者: 杀毒软件 时间: 2009-4-26 02:39
学习
作者: dr.yang 时间: 2012-6-24 16:28
好贴,学习了。
| 欢迎光临 医影在线 (http://bbs.radida.com/bbs/) |
Powered by Discuz! X3.2 |