医影在线
标题: X1320:胸部 [打印本页]
作者: rf 时间: 2006-12-10 23:42
标题: X1320:胸部
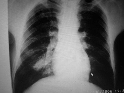
男,44,胸痛,咳嗽月余。



[本贴已被 rf 于 2006-12-10 18:08:44 修改过]
[本贴已被 翁志蓬 于 2006-12-10 20:00:22 修改过]
作者: 潘X 时间: 2006-12-11 01:06
胸部症状,腓骨病变?
作者: huhong1111111 时间: 2006-12-11 01:08
1创伤性关节炎2小关节增生
作者: shilong 时间: 2006-12-11 01:13
从本片看不象肿瘤样改变请问有没有烧伤或外伤或其它病史,至于寻痛请做相关检查后再做诊断
作者: zyx168 时间: 2006-12-11 01:14
是不是楼主搞错了???
作者: 余辉 时间: 2006-12-11 03:10
考虑周围型肺癌
作者: dyqct 时间: 2006-12-11 03:30
支持典型的周围型肺癌,该有的都有了。
作者: venzasy 时间: 2006-12-11 03:35
标题: 回复:胸部
以下是引用dyqct在2006-12-10 19:30:00的发言:[br]支持典型的周围型肺癌,该有的都有了。
支持!
作者: wlq66556 时间: 2006-12-11 03:41
支持典型的周围型肺癌
作者: jian-5587 时间: 2006-12-11 03:41
周围型肺癌,没说的.
作者: 宝天曼 时间: 2006-12-11 03:45
支持典型的周围型肺癌
作者: 求知若渴 时间: 2006-12-11 03:51
结核球基础上发生肺癌
作者: kannan 时间: 2006-12-11 04:25
肺癌可能性较大
作者: elity69 时间: 2006-12-11 04:44
浮云掩月征
是肺癌所致阻塞性肺炎的特征性x线征象,多见于周围型肺癌。当癌肿在支气管腔内生长到一定程度时,管腔狭窄或阻塞,引起阻塞性肺炎。在胸部x线相上呈密度较淡的云絮状阴影。如果肿块同时向管腔外生长,则出现较浓的肿块阴影。当两者投影连成一片时,在云絮状阴影肿隐约可见一密度较浓的肿块阴影,宛如浮云掩月一样,故称为浮云掩月征。
作者: jinguoji 时间: 2006-12-11 06:16
支持典型的周围型肺癌
作者: jiangjing 时间: 2006-12-11 06:18
胸片上病灶成条柱状,ct病灶内见钙化影,可见分叶与毛刺和胸膜凹陷征,考虑1感染病变[结核或炎性假瘤]。2肺癌。建议结合临床及进一步检查[如穿刺活检]
作者: 如醉卧风 时间: 2006-12-11 06:28
1错构瘤.2肿瘤?
作者: zhangxiangjun 时间: 2006-12-11 07:27
浮云掩月征
是肺癌所致阻塞性肺炎的特征性x线征象,多见于周围型肺癌。当癌肿在支气管腔内生长到一定程度时,管腔狭窄或阻塞,引起阻塞性肺炎。在胸部x线相上呈密度较淡的云絮状阴影。如果肿块同时向管腔外生长,则出现较浓的肿块阴影。当两者投影连成一片时,在云絮状阴影肿隐约可见一密度较浓的肿块阴影,宛如浮云掩月一样,故称为浮云掩月征。
作者: lizhenhua_00 时间: 2006-12-11 16:16
周围型肺癌.
作者: xiazhuzhu 时间: 2006-12-11 16:44
标题: 回复:x1320:胸部
以下是引用dyqct在2006-12-10 19:30:00的发言:[br]支持典型的周围型肺癌,该有的都有了。
作者: marong888 时间: 2006-12-11 17:19
zhou wei xing fei ca
作者: wuxin7374 时间: 2006-12-11 17:45
年轻,别那么狠,结核也加上吧,给点希望.
作者: zyx168 时间: 2006-12-11 17:52
周围型肺癌!!!!!
作者: hhcckk 时间: 2006-12-11 18:20
标题: 回复:x1320:胸部
以下是引用elity69在2006-12-10 20:44:00的发言:[br]浮云掩月征[br]是肺癌所致阻塞性肺炎的特征性x线征象,多见于周围型肺癌。当癌肿在支气管腔内生长到一定程度时,管腔狭窄或阻塞,引起阻塞性肺炎。在胸部x线相上呈密度较淡的云絮状阴影。如果肿块同时向管腔外生长,则出现较浓的肿块阴影。当两者投影连成一片时,在云絮状阴影肿隐约可见一密度较浓的肿块阴影,宛如浮云掩月一样,故称为浮云掩月征。[br] [br]
学习,周围性肺癌,分叶毛刺
作者: 迎客松abc 时间: 2006-12-11 19:06
考虑周围型肺癌
作者: haha215315 时间: 2006-12-11 20:10
典型的周围型肺癌.
作者: 清风无痕 时间: 2006-12-12 03:09
支持6楼
作者: liuyue 时间: 2006-12-12 04:12
以下是引用dyqct在2006-12-10 19:30:00的发言:
支持典型的周围型肺癌,该有的都有了。
支持!
作者: xingyouzhen 时间: 2006-12-12 04:17
典型的周围型肺癌
作者: jiaju 时间: 2006-12-12 04:37
右肺下叶内野高密度影,边缘欠清.
考虑1 右下肺感染,建议疗后复查
2 右下肺周围型肺癌
作者: real520 时间: 2006-12-12 05:33
周围性肺癌!
作者: zhw974247 时间: 2006-12-12 14:44
支持典型的周围型肺癌
作者: wz86100315 时间: 2006-12-12 20:00
周围型肺ca
作者: 呆子 时间: 2006-12-13 04:19
周围型肺癌
作者: 欧阳双全 时间: 2006-12-17 04:37
就不考虑结核吗?
作者: whp 时间: 2006-12-19 00:54
除看到分叶、毛刺、空洞外.不知钙化该如何解释!
作者: shibing 时间: 2012-12-31 10:12
周围型肺癌
作者: lyming00 时间: 2013-1-3 06:10
周围型肺癌
| 欢迎光临 医影在线 (http://bbs.radida.com/bbs/) |
Powered by Discuz! X3.2 |