医影在线
标题: CT5587:肺部病变x,CT都有,请各位高手给些意见,病理要明天 [打印本页]
作者: wjzly2004 时间: 2006-12-12 04:49
标题: CT5587:肺部病变x,CT都有,请各位高手给些意见,病理要明天
男,65









[本贴已被 jiajie 于 2006-12-11 21:46:14 修改过]
作者: zjzjr 时间: 2006-12-12 06:08
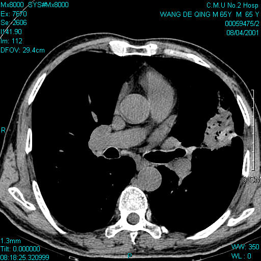
左肺舌叶可见不规则形高密度影,密度不均,其内可见小泡征,边缘呈浅叶,有毛刺及胸膜凹陷征.考虑周围型肺癌.
作者: 如醉卧风 时间: 2006-12-12 06:24
1肺梗塞.2机化性肺炎.
作者: 13081830109 时间: 2006-12-12 06:50
症状 体征全没有不知该如何下结论
考虑 结核吧
作者: lkc8963 时间: 2006-12-12 07:05
首选考虑左上肺舌段慢性炎性肿块,依据:周边肺野欠清,病灶与胸膜牵扯太多,周边见多发细支气管扩张,局部可见纤维条块及瘢痕旁气肿,左肺门不大。但还是要与肺癌区别。
作者: 清风照影来 时间: 2006-12-12 07:08
左肺舌叶不规则肿块影,内可见小泡影,边缘见浅分叶,可见血管集束征,胸膜牵拉征,考虑周围性肺癌
作者: liuyue 时间: 2006-12-12 08:16
先考虑肺癌;机化性肺炎不除外
作者: 守望可可 时间: 2006-12-12 08:42
标题: 回复:ct5587:肺部病变x,ct都有,请各位高手给些意见,病理
以下是引用lkc8963在2006-12-11 23:05:00的发言:[br]首选考虑左上肺舌段慢性炎性肿块,依据:周边肺野欠清,病灶与胸膜牵扯太多,周边见多发细支气管扩张,局部可见纤维条块及瘢痕旁气肿,左肺门不大。但还是要与肺癌区别。
很支持lkc8963的高见!周边见多发细支气管扩张基本可以排除周围型肺癌(原来有过沉痛的教训,对这个印象比较深刻,呵呵。)。
当然,不能完全排除周围型肺癌。如果是肺癌的话,那么腺癌的可能性略大一些。
作者: lgm660927 时间: 2006-12-12 16:05
病灶形态不规则,周围见纤维条索,胸膜牵拉,左侧胸廓略塌陷,考虑是慢性过程,支持慢性炎症。
作者: HNYZDJB 时间: 2006-12-12 16:56
病灶形态不规则,周围见纤维条索,胸膜牵拉,左侧胸廓略塌陷,考虑是慢性过程,支持慢性炎症
作者: zyx168 时间: 2006-12-12 17:14
病灶内见多发小空洞,首先考虑结核,建议查痰
作者: 迎客松abc 时间: 2006-12-12 17:51
病灶形态不规则,周围见纤维条索,胸膜牵拉,左侧胸廓略塌陷,考虑是慢性过程,支持慢性炎症。
作者: chmb 时间: 2006-12-12 19:48
考虑机化性肺炎,周边不规则,呈长毛刺状,与肺癌的毛刺征还是有区别的。
作者: 西凡 时间: 2006-12-12 21:53
首先考虑炎性肿块,依据:病灶大体呈梭形,虽有长短不一的毛刺,但边缘大部较清晰,且毛刺多较长,不是那种细密毛刺,并有索条影与肺门及邻近胸膜粘连,肺门和纵隔内未见明显肿大淋巴结。
但考虑到病人年龄、发病率及没有明显慢性炎症史,不完全排除周围型肺癌。
期待楼主的病理结果!
作者: 拾荒者 时间: 2006-12-13 05:10
图像够清晰,但临床资料太少,但从图像看炎症还是周围型肺癌鉴别有困难。期待病理结果。
作者: yytbzjw 时间: 2006-12-13 16:00
病灶形态不规则,内见细支气管扩张,周围见纤维条索,胸膜牵拉,左侧胸廓略塌陷,考虑是慢性过程,支持慢性炎症
作者: 马永强myq 时间: 2006-12-13 16:22
考虑 结核合并感染
作者: shibing 时间: 2015-7-15 09:24
首选考虑左上肺舌段慢性炎性肿块,依据:周边肺野欠清,病灶与胸膜牵扯太多,周边见多发细支气管扩张,局部可见纤维条块及瘢痕旁气肿,左肺门不大。但还是要与肺癌区别。
| 欢迎光临 医影在线 (http://bbs.radida.com/bbs/) |
Powered by Discuz! X3.2 |