医影在线
标题: CT5609:胸部:女77 病史不详 [打印本页]
作者: 太阳雨1970 时间: 2006-12-14 03:31
标题: CT5609:胸部:女77 病史不详















































[本贴已被 jiajie 于 2006-12-13 21:13:15 修改过]
作者: 聂新建 时间: 2006-12-14 03:43
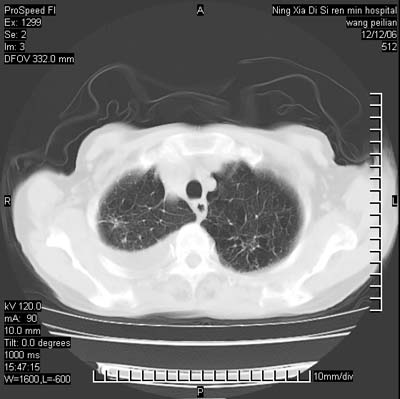
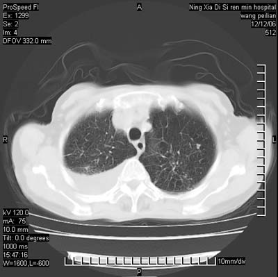
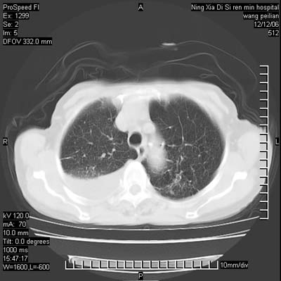
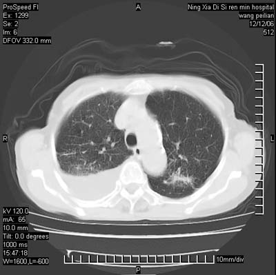
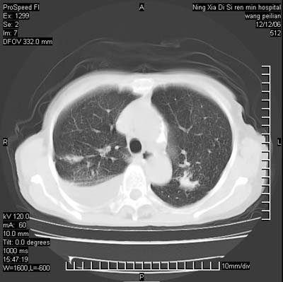
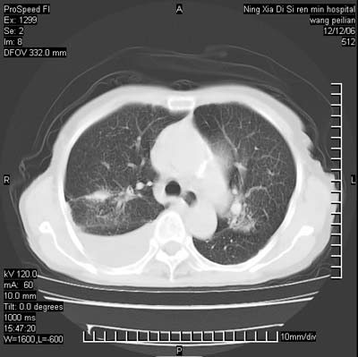
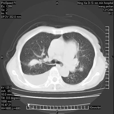
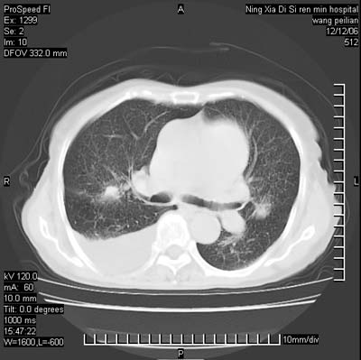
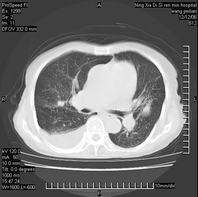
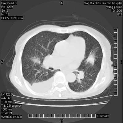
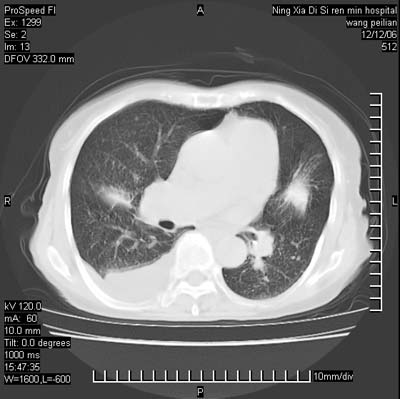
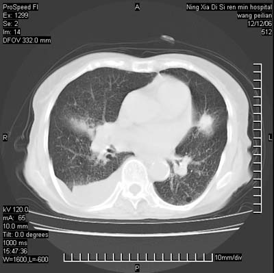
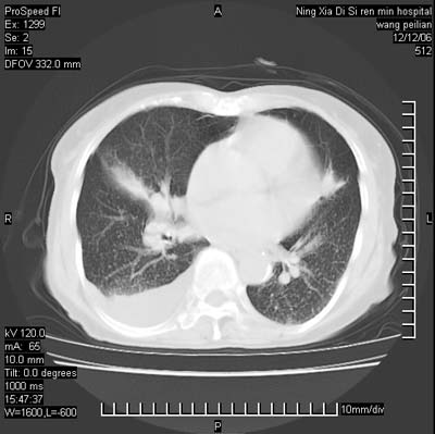
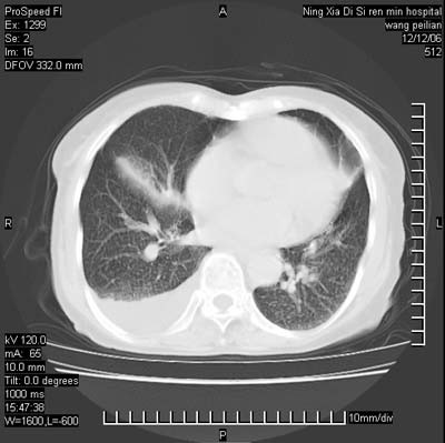
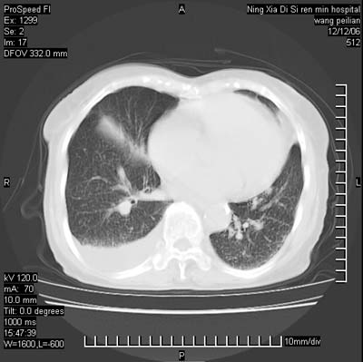
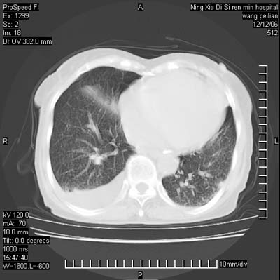
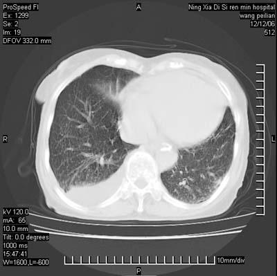
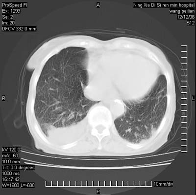
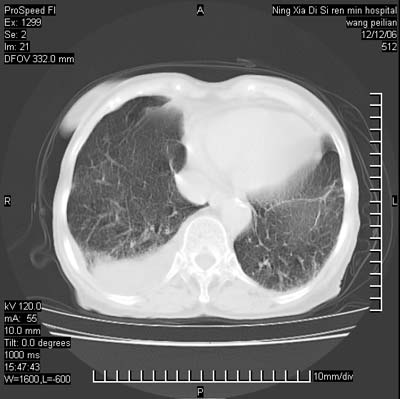
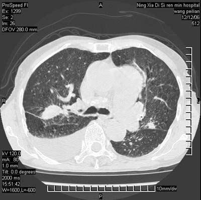
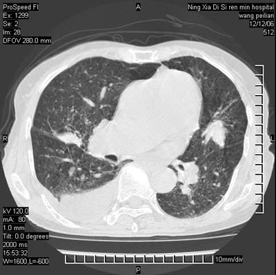
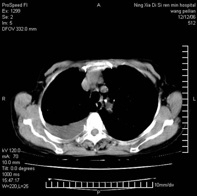
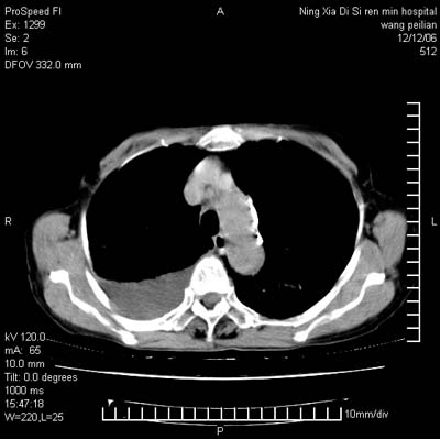
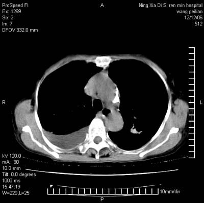
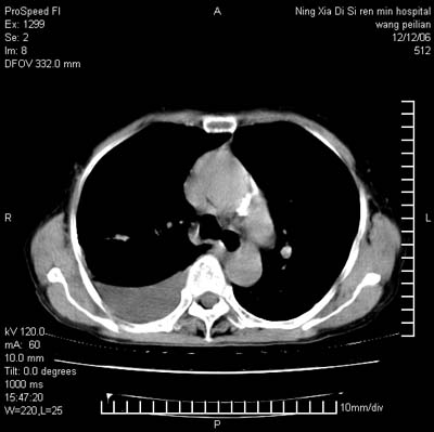
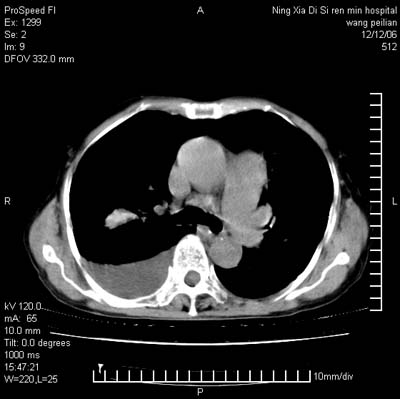
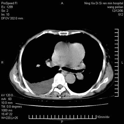
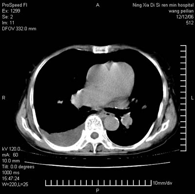
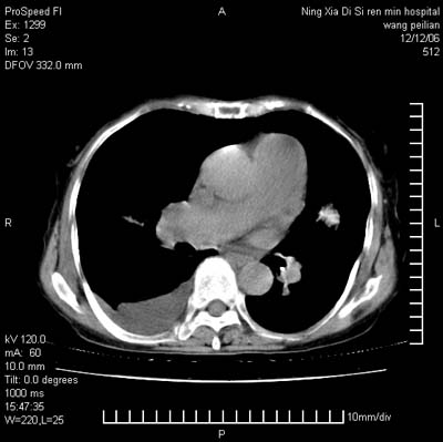
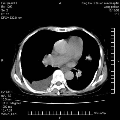
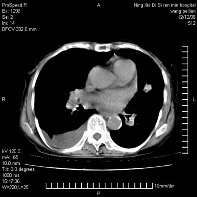
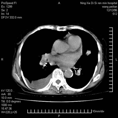
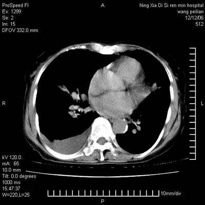
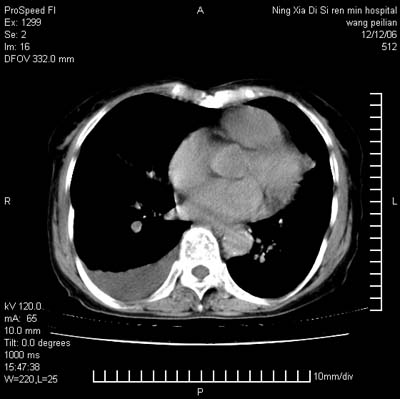
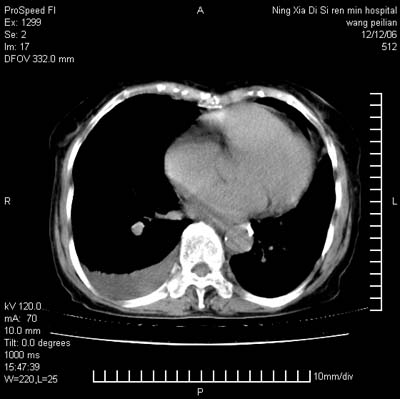
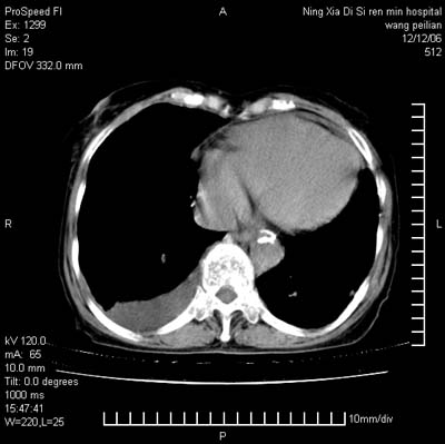
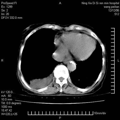
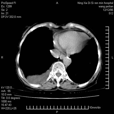
两肺可见多个大小不等的结节,左侧有胸水,纵隔淋巴结增大,考虑是细支气管肺泡癌
作者: only 时间: 2006-12-14 04:05
结核
作者: lizhenhua_00 时间: 2006-12-14 04:12
两肺尖纤维索状影,两下肺结节块状影,且有钙化灶,右胸腔积液。考虑肺结核并胸膜炎。
作者: 胖胖 时间: 2006-12-14 04:12
结核考虑
作者: beyondlsq 时间: 2006-12-14 04:15
考虑是细支气管癌,由于肺气肿所演变的
作者: 13081830109 时间: 2006-12-14 04:24
考虑结核可能性较大
作者: wlq66556 时间: 2006-12-14 04:31
两肺尖纤维索状影,两下肺结节块状影,且有钙化灶,右胸腔积液。考虑肺结核并胸膜炎。
作者: 清风照影来 时间: 2006-12-14 04:33
标题: 回复:胸部:女77 病史不详

作者: zjzjr 时间: 2006-12-14 04:39
双侧肺结核伴右侧胸腔积液.
作者: 余辉 时间: 2006-12-14 05:05
两肺尖纤维索状影,两下肺结节块状影,且有钙化灶,右胸腔积液。考虑肺结核并胸膜炎肺间质纤维化
作者: jiujiu2008 时间: 2006-12-14 05:06
从图中见许多致密的结节影,增强后明显强化,考虑血管炎症肉芽肿.
作者: 9876543210 时间: 2006-12-14 05:08
考虑结核
作者: jyhe 时间: 2006-12-14 05:17
两肺以间质性病变为主,并有胸腔积液,考虑结核
作者: jiujiu2008 时间: 2006-12-14 05:17
从图中见许多致密的结节影,,增强后明显强化,考虑血管炎症肉芽肿.当然还有慢支并小叶中央型肺气肿以及陈旧结核,胸腔积液.
作者: dyqct 时间: 2006-12-14 05:48
考虑:1、慢性支气管炎合并全小叶型肺气肿、间质纤维化;
2、双肺结核;
3、右侧胸膜炎(积液)。
作者: gejunjian 时间: 2006-12-14 05:57
1、双肺继发型肺结核(以纤维、增殖灶为主);
2、右侧胸腔积液;
3、其余符合老年肺改变。
作者: 如醉卧风 时间: 2006-12-14 06:51
标题: 回复:ct5609:胸部:女77 病史不详
以下是引用lizhenhua_00在2006-12-13 20:12:00的发言:[br]两肺尖纤维索状影,两下肺结节块状影,且有钙化灶,右胸腔积液。考虑肺结核并胸膜炎。
作者: 拾荒者 时间: 2006-12-14 07:16
两肺尖纤维索状影,两下肺结节块状影,且有钙化灶,右胸腔积液。考虑肺结核并胸膜炎。
作者: 守望可可 时间: 2006-12-14 08:18
标题: 回复:ct5609:胸部:女77 病史不详
以下是引用dyqct在2006-12-13 21:48:00的发言:[br]考虑:1、慢性支气管炎合并全小叶型肺气肿、间质纤维化;[br] 2、双肺结核;[br] 3、右侧胸膜炎(积液)。
支持邓老师!不知道怎么了,这个病例怎么总感觉看过,但是又没有查到。如果真是这样,建议楼主兄弟别和大家开玩笑,兄弟们都不容易啊!
作者: liuyue 时间: 2006-12-14 08:21
考虑结核可能性较大
作者: 宝天曼 时间: 2006-12-14 14:58
考虑结核可能性较大
作者: 卜一 时间: 2006-12-14 16:11
两肺尖纤维索状影,两下肺结节块状影,且有钙化灶,右胸腔积液。考虑肺结核并胸膜炎。
作者: zyx168 时间: 2006-12-14 16:48
考虑两肺结核,右侧胸膜炎(积液)
作者: jinguoji 时间: 2006-12-14 18:22
考虑肺结核并胸膜炎。
作者: chen123 时间: 2006-12-14 18:43
双肺见多个结节状及条索状影,双侧胸腔积液,右侧叶间积液,考虑结核性胸膜炎
作者: sjing 时间: 2006-12-14 18:54
肺结核并右侧结核性胸膜炎
作者: haha215315 时间: 2006-12-14 18:56
双侧肺结核伴右侧胸腔积液.
作者: zh-gq 时间: 2006-12-16 18:17
支持结核的诊断
作者: yuhg 时间: 2006-12-17 06:52
矽肺可能,问病史
作者: shibing 时间: 2015-7-15 10:02
双侧肺结核伴右侧胸腔积液.
| 欢迎光临 医影在线 (http://bbs.radida.com/bbs/) |
Powered by Discuz! X3.2 |