医影在线
标题: CT5613:颅脑病变,恳请大家指教(急!!!!!) [打印本页]
作者: 借酒温书 时间: 2006-12-14 05:52
标题: CT5613:颅脑病变,恳请大家指教(急!!!!!)
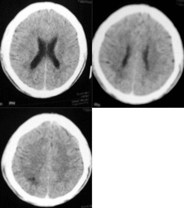
妄想,想打人一月,三年前被人砍伤,头颅ct当时正常



[本贴已被 翁志蓬 于 2006-12-13 22:17:28 修改过]



[本贴已被 借酒温书 于 2006-12-13 22:27:27 修改过]
作者: dyqct 时间: 2006-12-14 06:06
右枕顶叶见斑片状低密度区,边界清楚,有轻度负占位效应。
考虑:脑软化灶。
作者: qian 时间: 2006-12-14 06:11
支持右顶枕叶脑软化灶。
作者: 守望可可 时间: 2006-12-14 06:20
右侧枕叶囊实混杂密度病灶,病灶的形态非常符合胶质细胞瘤的。只是怎么会没有占位效应,反而有负性吸引力,导致侧脑室后角轻度扩大?
“妄想,想打人一月,三年前被人砍伤,头颅ct当时正常”,首先可以排除动静脉畸形,难道是软化灶?很奇怪的病例,建议增强或mri。
作者: zjzjr 时间: 2006-12-14 06:34
支持脑软化灶.
作者: 如醉卧风 时间: 2006-12-14 06:40
标题: 回复:ct5613:颅脑病变,恳请大家指教(急!!!!!)
以下是引用守望可可西里在2006-12-13 22:20:00的发言:[br][br] 右侧枕叶囊实混杂密度病灶,病灶的形态非常符合胶质细胞瘤的。只是怎么会没有占位效应,反而有负性吸引力,导致侧脑室后角轻度扩大?[br] “妄想,想打人一月,三年前被人砍伤,头颅ct当时正常”,首先可以排除动静脉畸形,难道是软化灶?很奇怪的病例,建议增强或mri。
作者: 借酒温书 时间: 2006-12-14 06:41
我想问一下大家颞枕叶交界处和颞顶叶的那一小片状低密度影都考虑软化灶么??
作者: 守望可可 时间: 2006-12-14 06:43
楼主又补充了3张图片,显示右侧顶叶也有类似的病灶,而且与枕叶病灶间相连。再结合病人临床症状,这就彻底不能用软化灶来解释了,考虑肉芽肿性病变,的确需要增强或mri检查!
作者: 清风照影来 时间: 2006-12-14 07:04
标题: 回复:ct5613:颅脑病变,恳请大家指教(急!!!!!)

结合临床有精神症状,考虑炎性肉芽肿,建议增强,看有没有结节状强化。
作者: 尚峰 时间: 2006-12-14 07:07
标题: 回复:ct5613:颅脑病变,恳请大家指教(急!!!!!)
以下是引用守望可可西里在2006-12-13 22:20:00的发言:[br][br] 右侧枕叶囊实混杂密度病灶,病灶的形态非常符合胶质细胞瘤的。只是怎么会没有占位效应,反而有负性吸引力,导致侧脑室后角轻度扩大?[br] “妄想,想打人一月,三年前被人砍伤,头颅ct当时正常”,首先可以排除动静脉畸形,难道是软化灶?很奇怪的病例,建议增强或mri。
你是怎么先把动静脉畸形排除的呢?avm的畸形血管在ct上可能完全不显影,或者可以看见钙化或软化灶,如果mri没有看见avm的话倒是基本可以排除。
作者: chmb 时间: 2006-12-14 07:14
脑软化灶
作者: xcct 时间: 2006-12-14 07:14
考虑炎性肉芽肿,建议增强或mri。
另外楼主那里有没有地方病,比如囊虫病、血吸虫病等?
作者: 拾荒者 时间: 2006-12-14 07:34
右侧顶枕叶不规则、不均匀等低低密度,周围有轻度负占位效应,考虑动静脉畸形,建议增强检查。
作者: liuyue 时间: 2006-12-14 07:55
期待结果
作者: 宝天曼 时间: 2006-12-14 15:06
支持脑软化灶.
作者: 卜一 时间: 2006-12-14 16:27
右枕顶叶见斑片状低密度区,内见脑回样致密影,边界清楚,有轻度负占位效应。考虑: 动静脉畸形。建议 mri
作者: zyx168 时间: 2006-12-14 17:03
建议mri排除胶质细胞瘤或炎性肉芽肿
作者: hhcckk 时间: 2006-12-14 17:18
我考虑软化灶,至于是外伤,还是动静脉畸形出血之后形成的软化灶,我趋向于外伤引起的,三年前头颅ct未见异常,有可能外伤当时还没发生出血,这在临床工作中也比较常见,假如用动静脉畸形解释的话,那这个软化灶就是三年之前那次外伤之后到现在这段时间发生的,而且病人没有多大的症状,这种解释好象有点勉强
作者: haha215315 时间: 2006-12-14 19:05
支持右顶枕叶脑软化灶.
作者: chen123 时间: 2006-12-14 19:14
先增强看看
作者: 迎客松abc 时间: 2006-12-14 20:44
结合临床有精神症状,考虑炎性肉芽肿
作者: zh-gq 时间: 2006-12-16 03:37
标题: 回复:ct5613:颅脑病变,恳请大家指教(急!!!!!)
以下是引用清风照影来在2006-12-13 23:04:00的发言:[br]
[br]结合临床有精神症状,考虑炎性肉芽肿,建议增强,看有没有结节状强化。
作者: jinguoji 时间: 2006-12-17 07:30
考虑炎性肉芽肿,建议增强或mri。
作者: 愚人佳好 时间: 2006-12-17 18:18
感觉还是像软化灶.期待结果!
作者: wqs571018 时间: 2006-12-17 19:00
倾向于软化灶.建议增强.
作者: 红樱枪 时间: 2006-12-17 19:49
低密度灶无明显占位还是考虑脑软化灶,其待结果
作者: yuhg 时间: 2006-12-18 04:20
建议mri 增强扫描
作者: lizhenhua_00 时间: 2006-12-18 05:17
支持脑软化灶. 考虑原来外伤所致。
作者: shibing 时间: 2015-7-15 10:00
右侧枕叶囊实混杂密度病灶,病灶的形态非常符合胶质细胞瘤的。只是怎么会没有占位效应,反而有负性吸引力,导致侧脑室后角轻度扩大?[br] “妄想,想打人一月,三年前被人砍伤,头颅ct当时正常”,首先可以排除动静脉畸形,难道是软化灶?很奇怪的病例,建议增强或mri。
| 欢迎光临 医影在线 (http://bbs.radida.com/bbs/) |
Powered by Discuz! X3.2 |