










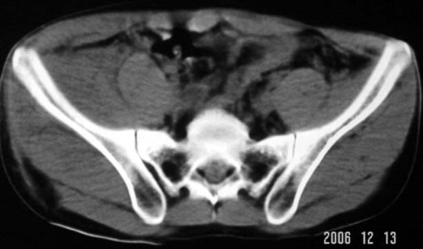
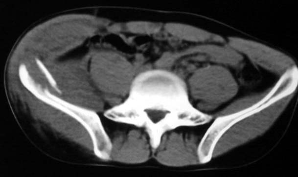
以下是引用守望可可西里在2006-12-13 22:25:00的发言:[br]再明确不过的右侧髂骨骨折,呵呵,这回总不会被忽悠了!
以下是引用liuyue在2006-12-13 23:45:00的发言:[br]右侧髂骨骨折伴局部软组织及腹壁肿胀

以下是引用xiaoniu在2006-12-13 22:22:00的发言:[br]右侧髂前上嵴骨折伴局部腹壁血肿。[br][br][本贴已被 xiaoniu 于 2006-12-13 22:24:13 修改过]
| 欢迎光临 医影在线 (http://bbs.radida.com/bbs/) | Powered by Discuz! X3.2 |