医影在线
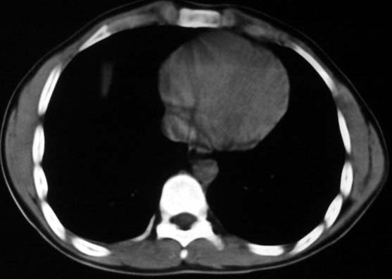
标题: CT5614:外伤病人男,20岁,右上腹痛.余肺野(-) [打印本页]
作者: zjzjr 时间: 2006-12-14 06:22
标题: CT5614:外伤病人男,20岁,右上腹痛.余肺野(-)














[本贴已被 翁志蓬 于 2006-12-13 23:59:25 修改过]
作者: 如醉卧风 时间: 2006-12-14 06:36
如果与外伤有关的话应该考虑右下肺挫伤.
作者: 0668qiugh 时间: 2006-12-14 06:54
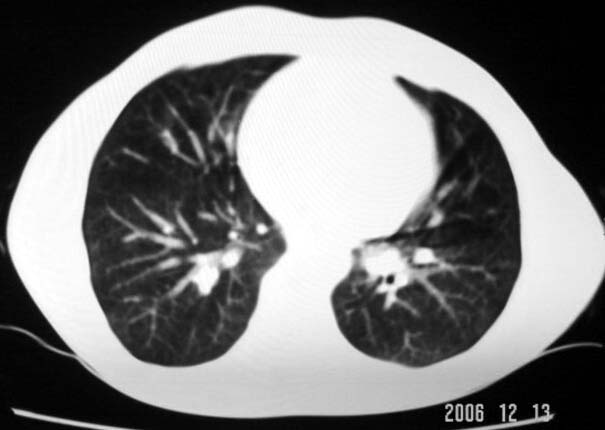
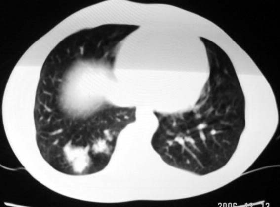
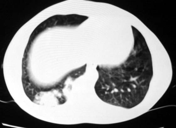
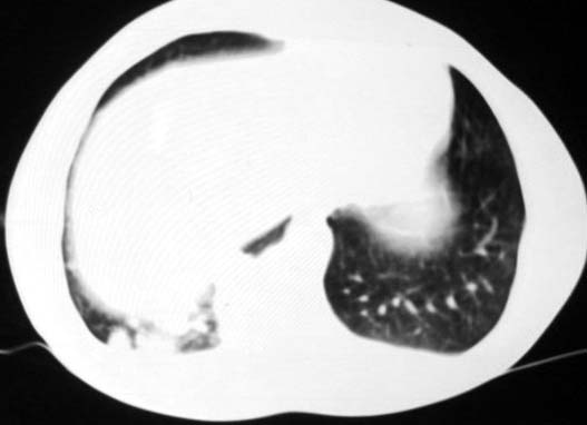
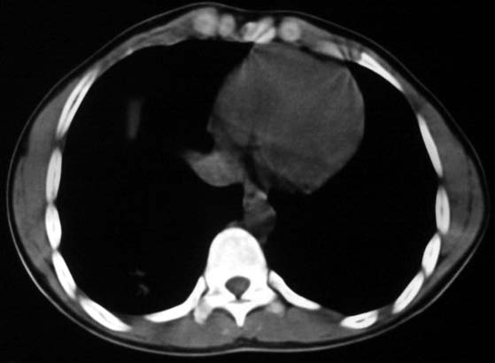
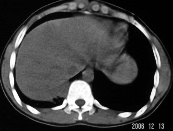
最后一幅图像病灶区可分椎旁肋骨骨折可能?请示骨窗,结合外伤史考虑右下肺挫伤。
作者: 守望可可 时间: 2006-12-14 07:05
首先可以肯定的是与外伤无关。
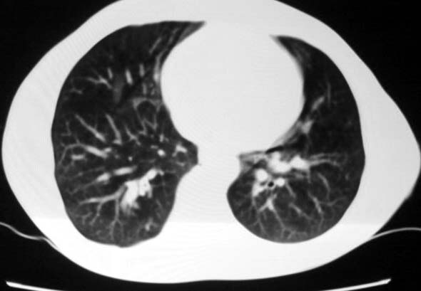
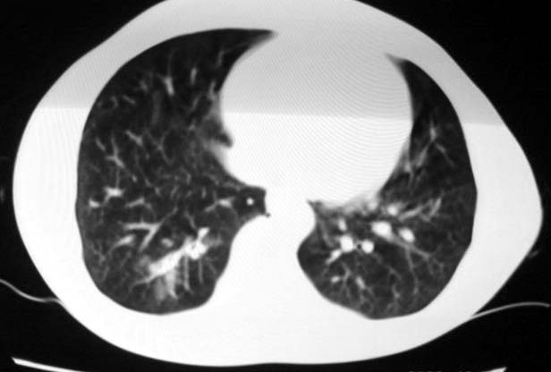
其次,病灶较多并散布在右下肺底,纵肺比例明显小于50%,与膈肌以及后壁胸膜有轻度粘连。且其内密度不均匀,最大的那个结节影里面有较致密密度,胸椎旁似乎还有液平面。也就是说右下肺炎性改变可以肯定。
但下肺毕竟不是结核的好发部位,而且病灶形态、密度也不怎么符合,我大胆猜测一下:因为右侧主支气管较左侧短而直,如果有异物容易掉落入右肺。更因为重力关系容易进而掉入右下叶支气管,继而沉积在肺底引起炎症。这个诊断需要临床病史,建议楼主详细追问有无异物吸入史以及反复肺部感染病史,特别是有无米饭之类的异物吸入病史。
作者: 万水千山 时间: 2006-12-14 07:07
结合病史,应首先考虑右下肺挫裂伤,但也不能完全排除感染性病变。还需进一步询问临床症状!
作者: 如醉卧风 时间: 2006-12-14 07:15
此次不能认同守望可可西里的观点,太主断了.
作者: wangzhanshuang 时间: 2006-12-14 07:16
如果与外伤有关的话应该考虑右下肺挫伤
作者: 清风照影来 时间: 2006-12-14 07:19
我看了守望可可西里老师的回复,认为不能赞同,这个地方应是右下叶支气管的最下层了,如果异物的吸入不应能走到这么下面的层面,所以我认为诊断中不能走难,怪,奇的思路,这样可能会引起误诊的
作者: 医博云天 时间: 2006-12-14 07:20
不象与外伤相关,请多给几幅图片和窗口?
作者: cheky 时间: 2006-12-14 07:27
外伤病人男,20岁,右上腹痛,ct显示:右肺下叶后基地段见斑片状高密度影,密度不均,边界清,考虑1,右肺下叶肺挫伤;2,炎症。
作者: liuyue 时间: 2006-12-14 07:40
最后一幅图像示椎旁肋骨走形欠自然,请示骨窗,结合外伤史考虑右下肺挫伤。
作者: 欧阳双全 时间: 2006-12-14 10:49
肺挫
作者: 13081830109 时间: 2006-12-14 13:52
这个部位的结核咱网站里就有一例
故结核也不能说就完全除外
作者: lushijun 时间: 2006-12-14 14:35
结合临床考虑右下湿肺。
作者: ILIKECT 时间: 2006-12-14 14:45
标题: 回复:ct5614:外伤病人男,20岁,右上腹痛.余肺野(-)
以下是引用万水千山在2006-12-13 23:07:00的发言:[br]结合病史,应首先考虑右下肺挫裂伤,但也不能完全排除感染性病变。还需进一步询问临床症状!
作者: 宝天曼 时间: 2006-12-14 15:15
1,右肺下叶肺挫伤;2,炎症。
作者: dyqct 时间: 2006-12-14 16:06
标题: 挫伤
支持肋骨骨折,肺挫裂伤。

[本贴已被 dyqct 于 2006-12-14 8:06:59 修改过]
作者: hhcckk 时间: 2006-12-14 17:04
考虑肺挫伤>结核>感染
有明确的外伤史,首先考虑肺挫伤,再考虑结核,我就曾经遇到过一例最后手术证实是结核的,最后考虑炎症,炎症临床上感染症状应该很明显,当然如果有纠纷的话,病人不一定肯提供我们真实的症状
作者: 卜一 时间: 2006-12-14 17:06
结合病史,应首先考虑右下肺挫裂伤。很简单,几天后复查就明确了。
作者: zyx168 时间: 2006-12-14 17:07
结合临床,考虑右下肺挫伤
作者: bingyu 时间: 2006-12-14 17:17
我是初学者,请问上方提到“纵肺比例”方法、意义?
作者: sjing 时间: 2006-12-14 18:39
标题: 回复:ct5614:外伤病人男,20岁,右上腹痛.余肺野(-)
以下是引用卜一在2006-12-14 9:06:00的发言:[br]结合病史,应首先考虑右下肺挫裂伤。很简单,几天后复查就明确了。
作者: haha215315 时间: 2006-12-14 19:13
不像肺挫伤.还是考虑结核和感染性改变.
作者: chen123 时间: 2006-12-14 19:23
如果外伤的部位符合首先考虑肺挫伤,肺内血肿形成。
作者: jinguoji 时间: 2006-12-14 21:37
结合病史,首先考虑右下肺挫裂伤。
作者: chmb 时间: 2006-12-14 21:44
考虑肺挫伤,治疗后复查吧,肺挫伤吸收期一般要比炎症快。
作者: 余辉 时间: 2006-12-14 23:50
结合病史,应首先考虑右下肺挫裂伤,其它事以后再办
作者: hejie 时间: 2006-12-15 03:26
可以肯定的是与外伤无关。肺挫伤是片状渗出影:边缘比中心密度低,呈毛玻璃状,如果是结节状肺挫伤(肺内血肿)应该边缘光滑,不会与后壁胸膜有轻度粘连。此病灶分叶状,周围有卫星灶(纤维条索影及小结结影),考虑结核.
作者: 拾荒者 时间: 2006-12-15 04:37
标题: 回复:ct5614:外伤病人男,20岁,右上腹痛.余肺野(-)
以下是引用hejie在2006-12-14 19:26:00的发言:[br]可以肯定的是与外伤无关。肺挫伤是片状渗出影:边缘比中心密度低,呈毛玻璃状,如果是结节状肺挫伤(肺内血肿)应该边缘光滑,不会与后壁胸膜有轻度粘连。此病灶分叶状,周围有卫星灶(纤维条索影及小结结影),考虑结核.
有理、有据。
作者: lizhenhua_00 时间: 2006-12-16 03:19
应该考虑右下肺挫伤
作者: zh-gq 时间: 2006-12-16 03:39
标题: 回复:ct5614:外伤病人男,20岁,右上腹痛.余肺野(-)
以下是引用wangzhanshuang在2006-12-13 23:16:00的发言:[br]如果与外伤有关的话应该考虑右下肺挫伤
作者: shibing 时间: 2015-7-15 09:58
结合病史,应首先考虑右下肺挫裂伤,但也不能完全排除感染性病变。还需进一步询问临床症状!
| 欢迎光临 医影在线 (http://bbs.radida.com/bbs/) |
Powered by Discuz! X3.2 |