医影在线

标题: X1347:胸片一张 [打印本页]

作者: 潘X    时间: 2006-12-17 07:05
标题: X1347:胸片一张
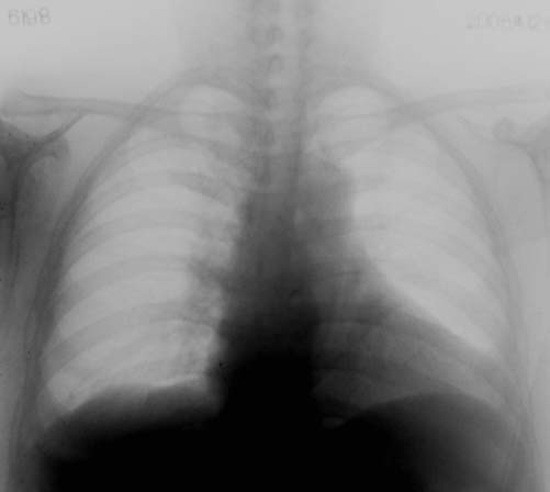
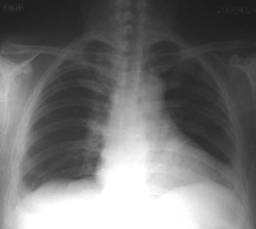
患者,女,63岁,胸闷,气促月余。请看左下肺是正常吗?还是心脏影还是胸膜反应?




[本贴已被 翁志蓬 于 2006-12-17 0:19:20 修改过]

作者: 受了点伤    时间: 2006-12-17 10:07
照个侧位撒。
作者: wuxin7374    时间: 2006-12-17 12:40
只有正位患者横位心,再看也是猜.不过隐约可见肋膈角,应该没问题,是心包脂肪重叠的吧.最好透视转一下,就放心了.
作者: heidaoren    时间: 2006-12-17 16:16
正常的!
作者: dyqct    时间: 2006-12-17 17:43
病人是不是较肥,心脏呈横位,可在透视下观察看是否有异常。
作者: 珍惜拥有    时间: 2006-12-17 18:06
赞同3楼的看法。肋膈角隐约可见,应当不是胸膜的病变。考虑为横位心及心包脂肪垫所致。
作者: haha215315    时间: 2006-12-17 18:10
应该是心脏影.
作者: 晓方    时间: 2006-12-17 18:40
透视看下呀
作者: 潘X    时间: 2006-12-17 19:15
谢谢各位同行的指导!该病人是较胖的一个人,我用12x15胶片照的时候增感屏都是横起放的,要不是都照不起,当时我也考虑是心脏的重影,现在有各位的看法,也证实的我的这一点,因为停电,所以病人一照好以后便走了,所以没有照侧位,也没有机会透视看了。这一张片子我都是点着烟边抽边照边洗的。所以不怎么好看,呵呵!
作者: chaocheng    时间: 2006-12-17 19:31
考虑为横位心及心包脂肪垫所致
作者: 华英雄    时间: 2006-12-17 20:11
考虑:横位心+心包脂肪垫,透视旋转观察一下就准确。
作者: wll79500    时间: 2006-12-17 22:03
横位心、心包脂肪垫,
透视下观察
作者: abmwc    时间: 2006-12-17 23:12
标题: 回复:x1347:胸片一张
[face=新宋体][/face]最好在透视下转动看。透视和胸片的互补性就在于此。
作者: jinguoji    时间: 2006-12-18 00:34
考虑为横位心及心包脂肪垫所致,好在透视下转动看看.
作者: zhangxiangjun    时间: 2006-12-18 04:24
正常的横位心,在透视下改变体味可鉴别。
作者: gaoxing7777    时间: 2006-12-18 05:03
正常
作者: ssmmxx    时间: 2006-12-18 06:37
应该是心脏影.
作者: yytbzjw    时间: 2006-12-18 15:32
同意横位心及心包脂肪垫的诊断
作者: elity69    时间: 2006-12-18 21:18
赞同3楼的看法。肋膈角隐约可见,应当不是胸膜的病变。考虑为横位心及心包脂肪垫所致
作者: 迎客松abc    时间: 2006-12-18 21:57
正常的
作者: chmb    时间: 2006-12-18 23:56
心包脂肪垫
作者: 阿狼    时间: 2006-12-19 01:19
还是考虑心包脂肪垫
作者: zhangkening    时间: 2006-12-19 02:39
我感觉你这张胸片正位太少了,能不能再麻烦一下照张侧位片呀!
作者: 落叶    时间: 2006-12-19 02:43
同意3楼意见
作者: 仲景传人    时间: 2006-12-19 04:16
支持三楼
作者: zhw974247    时间: 2006-12-19 04:45
标题: 回复:x1347:胸片一张
以下是引用dyqct在2006-12-17 9:43:00的发言:[br]病人是不是较肥,心脏呈横位,可在透视下观察看是否有异常。

作者: 欧阳双全    时间: 2006-12-20 00:24
正常
作者: 医土    时间: 2006-12-20 06:59
为啥没人说左心室增大呢?
作者: shibing    时间: 2013-1-1 13:43
还是考虑心包脂肪垫
作者: lyming00    时间: 2013-1-1 14:39
考虑为横位心及心包脂肪垫所致




欢迎光临 医影在线 (http://bbs.radida.com/bbs/) Powered by Discuz! X3.2