医影在线
标题: V0155(CT):[转帖]江西省第13届放射学年会疑难读片资料-3 [打印本页]
作者: lzdyjg 时间: 2006-12-17 08:21
标题: V0155(CT):[转帖]江西省第13届放射学年会疑难读片资料-3
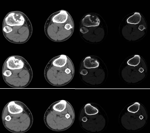
男,38岁,右膝下方剧烈运动后疼痛1年3个月,疼痛加重并局部隆起1个月。查体见轻度跛行,右胫骨近端前内侧轻度隆起,隆起部位压痛明显,皮温略有增高。右膝关节活动度基本正常,麦氏征、膝关节抽屉试验(-)。




[本贴已被 jiajie 于 2006-12-17 17:53:52 修改过]
作者: jiangjing 时间: 2006-12-17 18:18
胫骨近端前内分局限性骨质破坏,边缘硬化明显,其间有少许残陈骨或边缘增硬化突起。考虑1骨组织细胞瘤。2骨内腱鞘囊肿。3非骨化性纤维瘤。4成骨细胞瘤???
作者: 卜一 时间: 2006-12-18 00:25
胫骨近端前内分局限性骨质破坏,呈囊状透光区,边缘硬化明显,其内有少许残余骨。考虑:1 组织细胞增生症—骨嗜酸性肉芽肿。2 关节软骨下骨囊肿。
作者: dyqct 时间: 2006-12-18 00:34
胫骨近端、骨骺前内侧见局限性骨质破坏,边缘硬化明显,其间有少许残陈骨,边缘增生硬化,并可见嵴状突起,皮质部分断裂,无骨膜反应。
考虑:1、骨内腱鞘囊肿(邻关节囊肿);
2、骨巨细胞瘤?
3、非骨化性纤维瘤?
作者: hhcckk 时间: 2006-12-18 02:02
骨巨细胞瘤>软粘纤>非骨化性纤维瘤
骨巨细胞瘤内部并没有真正的骨性间隔,而且它的一个显著特点是病灶向横的方向及纵的方向扩展程度是差不多的,这个病人很象,不支持的是病灶内边缘部分好象有可疑的钙化,骨巨细胞瘤一般是没有钙化的
软粘纤的显著特点是病灶分叶,他的内部也没有真正的骨性间隔,钙化也少见,这个病人的分叶好象不是那么太明显的,把他放在第二位吧
另一个需要考虑的是非骨化性纤维瘤,他一般多紧靠皮质下方生长与本病也有一定的区别
作者: yzh9939 时间: 2006-12-19 00:43
标题: 回复:v0155(ct):[转帖]江西省第13届放射学年会疑难读片资料
征象:胫骨上干骺端偏心性类圆形骨质破坏,边缘硬化,可见病理性骨折,内有残留骨嵴。未见明显骨膜反应及软组织肿块。
诊断:动脉瘤样骨囊肿可能性大。
鉴别:(主要与骨巨细胞瘤鉴别)
1. gct多发生于骨骺部,关节面易侵犯。
2. gct常横轴较大。
3. gct膨胀明显,如“皂泡”样,但病理性骨折少见。
4. gct硬化边少见,但有骨间隔或分房。
另外,嗜酸性肉芽肿不排除。

作者: zyx168 时间: 2006-12-20 01:01
标题: 回复:v0155(ct):[转帖]江西省第13届放射学年会疑难读片资料
胫骨近端、骨骺前内侧见局限性骨质破坏,边缘硬化明显,其间有少许残陈骨,边缘增生硬化,并可见嵴状突起,皮质部分断裂,无骨膜反应。[br]
考虑:1,brodie脓肿;
2,囊肿;
3,骨纤?
作者: shibing 时间: 2015-7-15 10:05
胫骨近端、骨骺前内侧见局限性骨质破坏,边缘硬化明显,其间有少许残陈骨,边缘增生硬化,并可见嵴状突起,皮质部分断裂,无骨膜反应。[br]
考虑:1,brodie脓肿;
2,囊肿;
3,骨纤?
| 欢迎光临 医影在线 (http://bbs.radida.com/bbs/) |
Powered by Discuz! X3.2 |