医影在线
标题: CT5663:女、83岁,轻微咳嗽、左下胸痛。 [打印本页]
作者: zjzjr 时间: 2006-12-17 18:09
标题: CT5663:女、83岁,轻微咳嗽、左下胸痛。





















[本贴已被 jiajie 于 2006-12-17 10:31:44 修改过]
作者: hhcckk 时间: 2006-12-17 18:22
标题: 回复:女、83岁,轻微咳嗽、左下胸痛。

作者: 13081830109 时间: 2006-12-17 18:40
支持楼上
作者: 红樱枪 时间: 2006-12-17 19:14
同意1楼意见
作者: dyqct 时间: 2006-12-17 19:30
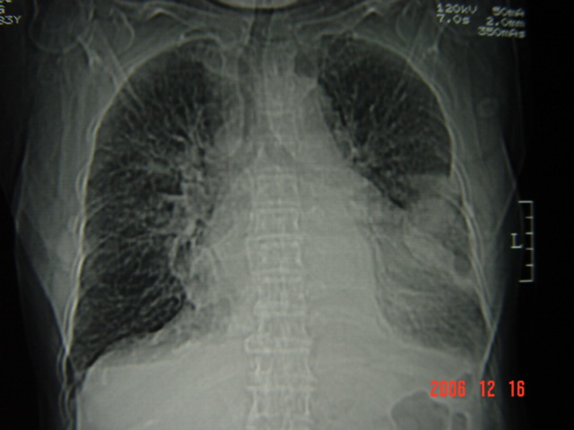
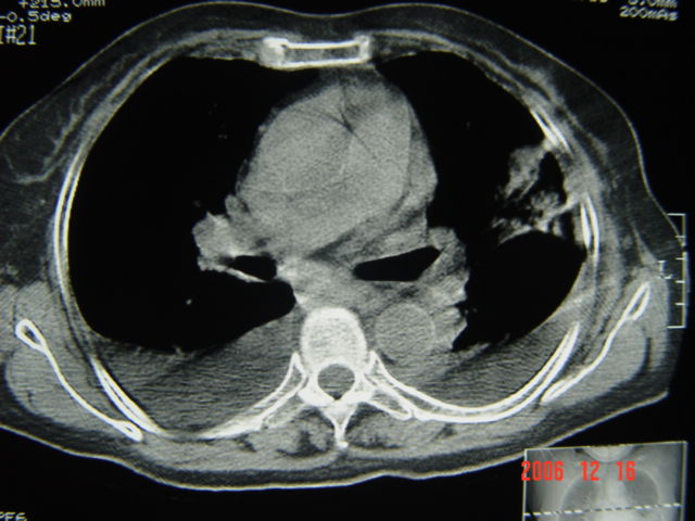
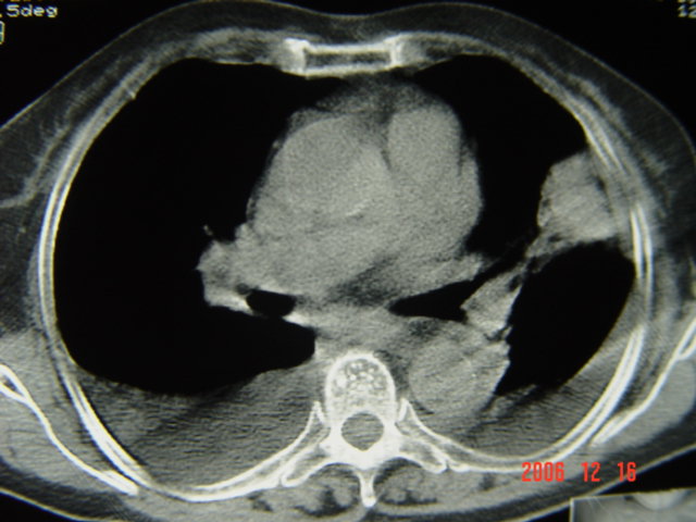
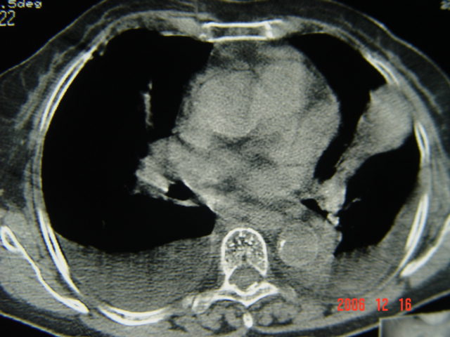
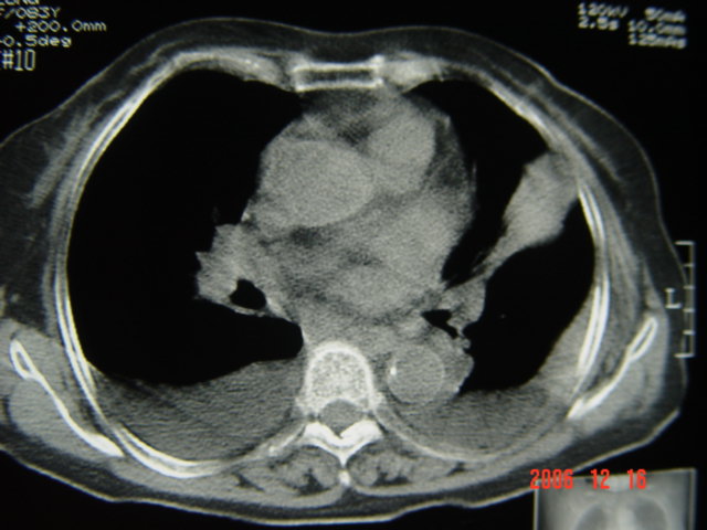
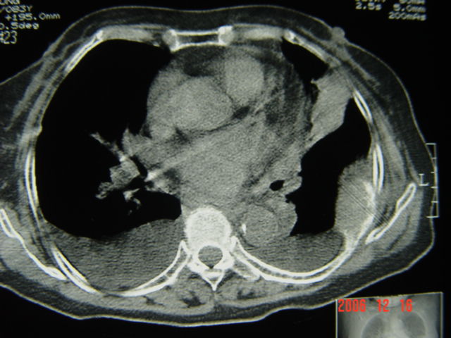
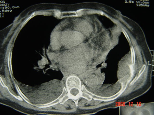
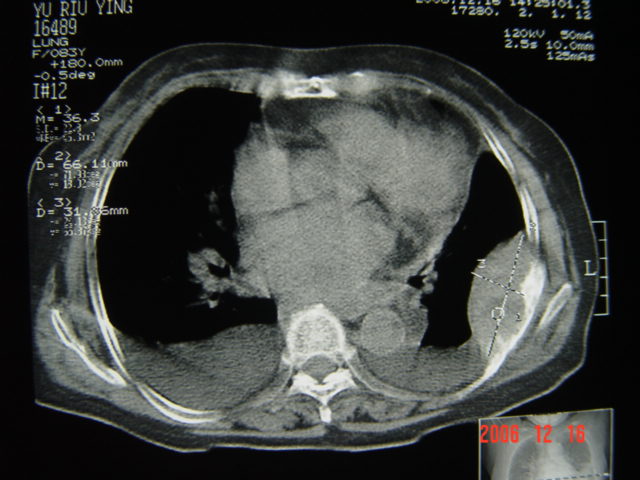
左第八肋腋侧呈膨胀性骨质破坏,内侧见软组织密度肿块。左肺舌段呈楔形实变,基底近胸壁,尖端向肺门。双侧胸壁后缘见新月形水样密度区。
考虑:1、左第8肋骨转移瘤;
2、左肺舌叶肺栓塞可能性大;
3、双侧中量胸腔积液。
作者: 晓杰 时间: 2006-12-17 20:36
左第八肋腋侧呈膨胀性骨质破坏,内侧见软组织密度肿块。左肺舌段呈楔形实变,基底近胸壁,尖端向肺门。双侧胸壁后缘见新月形水样密度区。
考虑:1、左第8肋骨转移瘤;恶性间皮瘤?
2、左肺舌叶肺栓塞可能性大;
3、双侧中量胸腔积液。
作者: jiangjing 时间: 2006-12-17 23:56
考虑1左侧肋骨破坏考虑转移瘤。2左下肺部分肺不张或实变,左肺舌段片团影考虑肺癌可能性大[肺梗塞--往往有明显的胸痛,呼吸急促或困难等表现]。3双侧肺淤血及双侧胸腔积液考虑心功能不全所致可能性大
作者: 守望可可 时间: 2006-12-18 00:25
标题: 回复:ct5663:女、83岁,轻微咳嗽、左下胸痛。
以下是引用晓杰在2006-12-17 12:36:00的发言:[br]左第八肋腋侧呈膨胀性骨质破坏,内侧见软组织密度肿块。左肺舌段呈楔形实变,基底近胸壁,尖端向肺门。双侧胸壁后缘见新月形水样密度区。[br]考虑:1、左第8肋骨转移瘤;恶性间皮瘤?[br] 2、左肺舌叶肺栓塞可能性大;[br] 3、双侧中量胸腔积液。
邓老师的意见经过晓杰老师一修改,让我不得不跟风、支持!呵呵
作者: wqs571018 时间: 2006-12-18 00:25
1.左舌叶肿物,支持:肺癌肋骨转移.2.心功能不全,双胸腔积液.
作者: jinguoji 时间: 2006-12-18 00:40
标题: 回复:ct5663:女、83岁,轻微咳嗽、左下胸痛。
以下是引用dyqct在2006-12-17 11:30:00的发言:[br]左第八肋腋侧呈膨胀性骨质破坏,内侧见软组织密度肿块。左肺舌段呈楔形实变,基底近胸壁,尖端向肺门。双侧胸壁后缘见新月形水样密度区。[br]考虑:1、左第8肋骨转移瘤;[br] 2、左肺舌叶肺栓塞可能性大;[br] 3、双侧中量胸腔积液。
支持!
作者: wangzhongliang 时间: 2006-12-18 00:58
左第八肋腋侧呈膨胀性骨质破坏,内侧见软组织密度肿块。左肺舌段呈楔形实变,基底近胸壁,尖端向肺门。双侧胸壁后缘见新月形水样密度区。
考虑:1、左第8肋骨转移瘤;
2、左肺舌叶肺栓塞可能性大;
3、双侧中量胸腔积液。
作者: 宝天曼 时间: 2006-12-18 02:47
1.左舌叶肿物,支持:肺癌肋骨转移
2.心功能不全,双胸腔积液.
作者: 胡生启 时间: 2006-12-18 03:38
左第八肋腋侧呈膨胀性骨质破坏,内侧见软组织密度肿块。左肺舌段呈楔形实变,基底近胸壁,尖端向肺门。双侧胸壁后缘见新月形水样密度区。
考虑:1、左第8肋骨转移瘤;
2、左肺舌叶肺栓塞可能性大;
3、双侧中量胸腔积液。
作者: yuhg 时间: 2006-12-18 03:42
肺癌伴转移
作者: 拾荒者 时间: 2006-12-18 04:06
标题: 回复:ct5663:女、83岁,轻微咳嗽、左下胸痛。
以下是引用jiangjing在2006-12-17 15:56:00的发言:[br]考虑1左侧肋骨破坏考虑转移瘤。2左下肺部分肺不张或实变,左肺舌段片团影考虑肺癌可能性大[肺梗塞--往往有明显的胸痛,呼吸急促或困难等表现]。3双侧肺淤血及双侧胸腔积液考虑心功能不全所致可能性大
支持。
作者: fengdongdong 时间: 2006-12-18 04:39
肋骨转移,肺不张。胸腔积液
作者: lizhenhua_00 时间: 2006-12-18 04:52
支持:肺癌肋骨转移.2.双胸腔积液
作者: liuyue 时间: 2006-12-18 04:58
以下是引用dyqct在2006-12-17 11:30:00的发言:
左第八肋腋侧呈膨胀性骨质破坏,内侧见软组织密度肿块。左肺舌段呈楔形实变,基底近胸壁,尖端向肺门。双侧胸壁后缘见新月形水样密度区。
考虑:1、左第8肋骨转移瘤;
2、左肺舌叶肺栓塞可能性大;
3、双侧中量胸腔积液。
支持!
作者: 求知若渴 时间: 2006-12-18 05:03
不要考虑的过于复杂,就是个肺癌,肋骨转移,隆突下淋巴结肿大,双胸腔积液
作者: ssmmxx 时间: 2006-12-18 05:11
考虑1左侧肋骨破坏考虑转移瘤。2左下肺部分肺不张或实变,左肺舌段片团影考虑肺癌可能性大[肺梗塞--往往有明显的胸痛,呼吸急促或困难等表现]。3双侧肺淤血及双侧胸腔积液考虑心功能不全所致可能性大
作者: 卜一 时间: 2006-12-18 14:03
以下是引用晓杰在2006-12-17 12:36:00的发言:
左第八肋腋侧呈膨胀性骨质破坏,内侧见软组织密度肿块。左肺舌段呈楔形实变,基底近胸壁,尖端向肺门。双侧胸壁后缘见新月形水样密度区。
考虑:1、左第8肋骨转移瘤;恶性间皮瘤?
2、左肺舌叶肺栓塞可能性大;
3、双侧中量胸腔积液。
支持!
作者: dqq766 时间: 2006-12-18 15:57
现在女性肺癌发病特别早!!很多都小于癌龄(40y)可能与环境污染有关!三十多肺癌不少!!
作者: myx1985 时间: 2006-12-19 02:02
左肺舌段片团影考虑肺癌可能性大
左下肺部分肺不张
左第8肋骨转移瘤
作者: ldzq 时间: 2006-12-19 06:56
双侧胸膜间皮瘤 肺淤血心衰可能 左肺局段性不张(栓塞)
作者: tangtianheng 时间: 2006-12-19 23:05
肺癌肋骨转移,双侧肺门淋巴结肿大及积液,考虑双侧转移。
作者: 欧阳双全 时间: 2006-12-19 23:12
恶性间皮瘤
作者: zylcq608 时间: 2006-12-19 23:14
支持6楼。
作者: 青莲居士 时间: 2006-12-21 18:57
同意1楼意见
作者: shibing 时间: 2015-7-15 10:05
左第八肋腋侧呈膨胀性骨质破坏,内侧见软组织密度肿块。左肺舌段呈楔形实变,基底近胸壁,尖端向肺门。双侧胸壁后缘见新月形水样密度区。[br]考虑:1、左第8肋骨转移瘤;[br] 2、左肺舌叶肺栓塞可能性大;[br] 3、双侧中量胸腔积液。
| 欢迎光临 医影在线 (http://bbs.radida.com/bbs/) |
Powered by Discuz! X3.2 |