医影在线
标题: CT5664:我也发一个肝脏的片子大家看看 [打印本页]
作者: 固体胶 时间: 2006-12-17 18:12
标题: CT5664:我也发一个肝脏的片子大家看看



























[本贴已被 jiajie 于 2006-12-17 10:33:43 修改过]
作者: 尚峰 时间: 2006-12-17 18:21
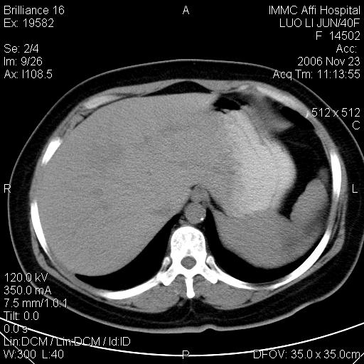
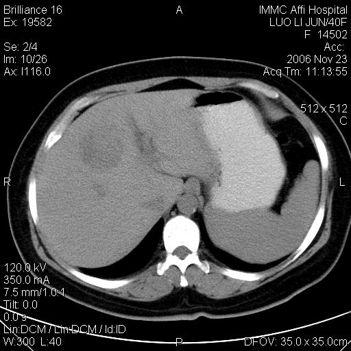
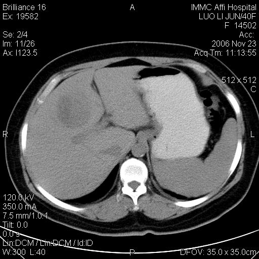
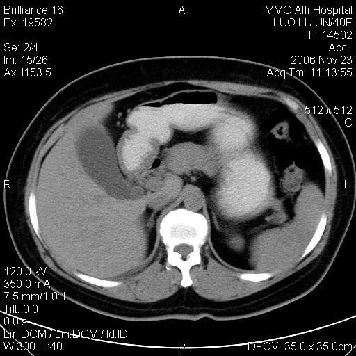
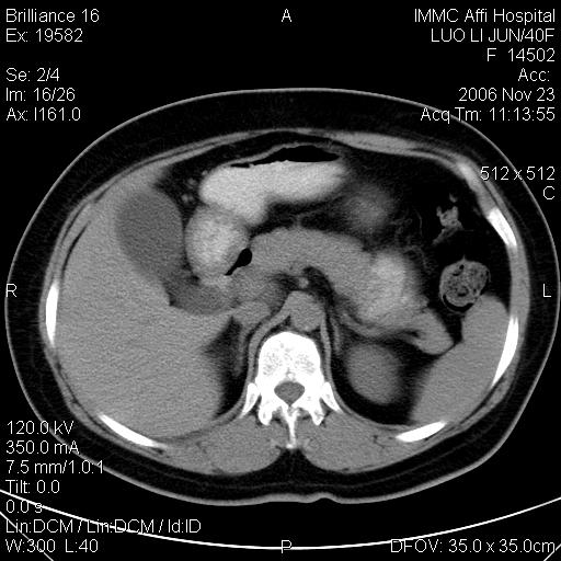
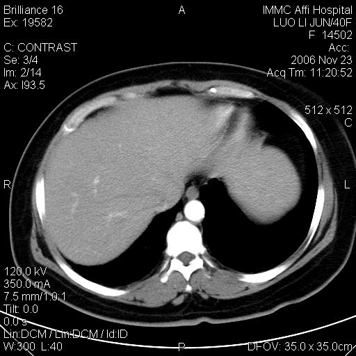
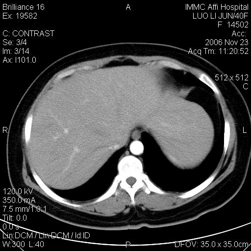
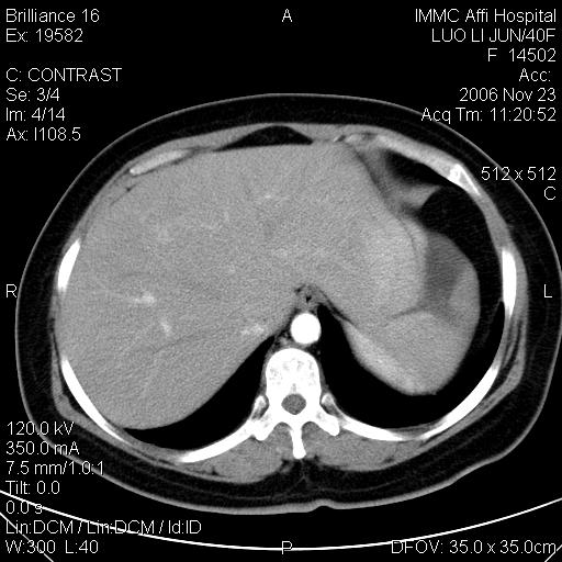
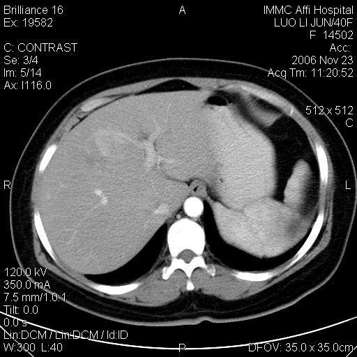
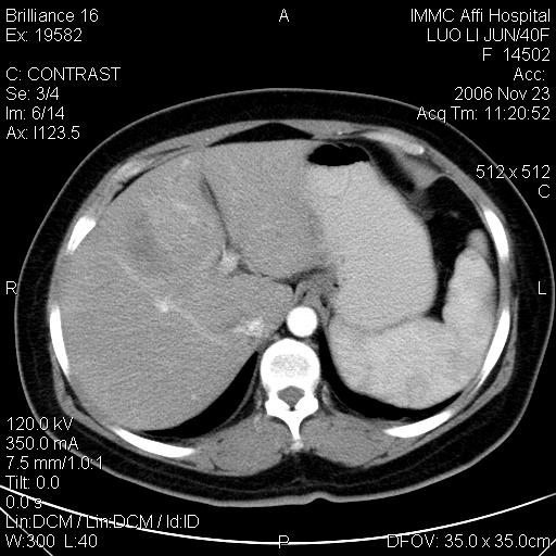
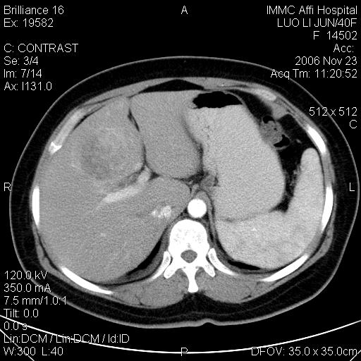
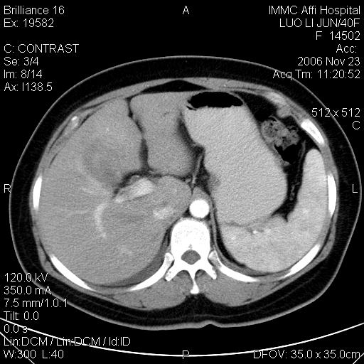
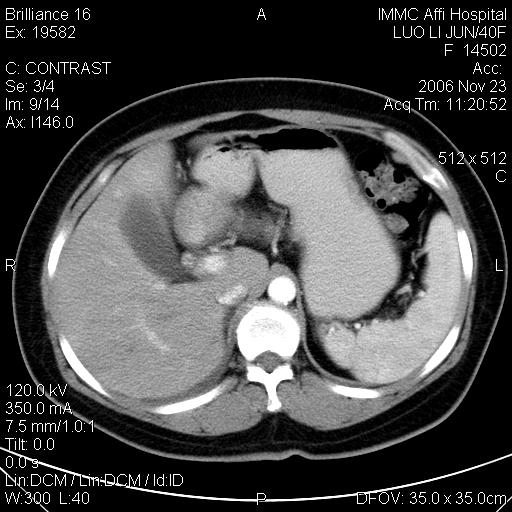
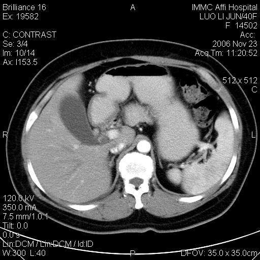
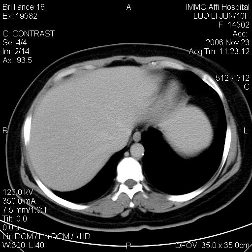
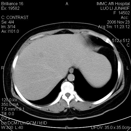
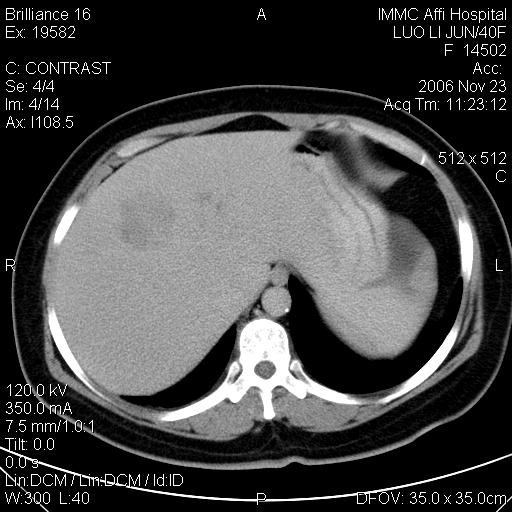
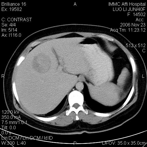
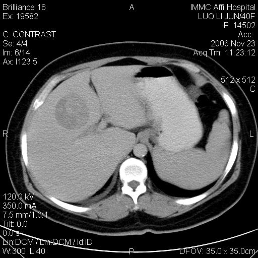
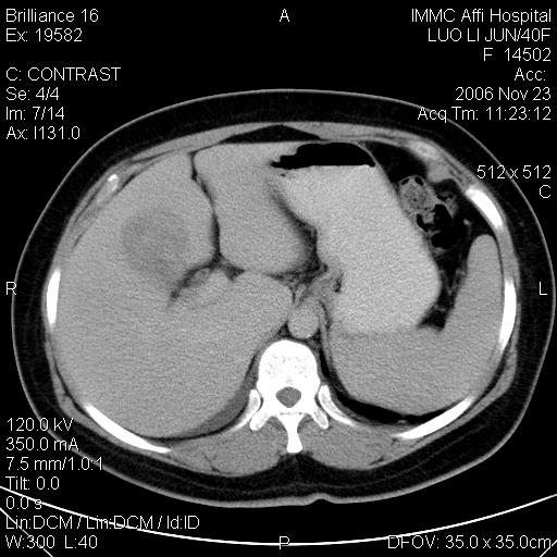
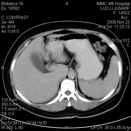
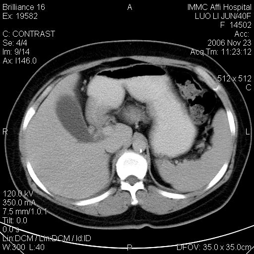
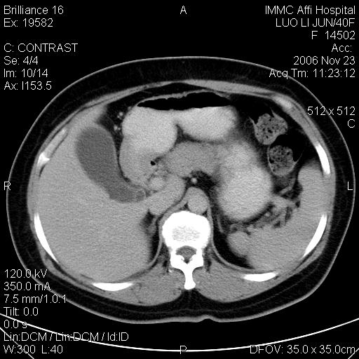
很典型的肝癌。
作者: hhcckk 时间: 2006-12-17 18:33
标题: 回复:我也发一个肝脏的片子大家看看

作者: 13081830109 时间: 2006-12-17 18:41
标题: 回复:ct5664:我也发一个肝脏的片子大家看看
以下是引用hhcckk在2006-12-17 10:33:00的发言:[br]
[br]
作者: wqs571018 时间: 2006-12-17 19:04
典型肝癌
作者: 红樱枪 时间: 2006-12-17 19:08
肝癌
作者: dyqct 时间: 2006-12-17 19:32
标题: 回复:ct5664:我也发一个肝脏的片子大家看看
以下是引用13081830109在2006-12-17 10:41:00的发言:[br][quote]以下是引用hhcckk在2006-12-17 10:33:00的发言:[br]
[br]
[br][/quote]
支持!!
作者: 晓杰 时间: 2006-12-17 20:34
标题: 回复:ct5664:我也发一个肝脏的片子大家看看
以下是引用hhcckk在2006-12-17 10:33:00的发言:[br]
[br]
作者: zjzjr 时间: 2006-12-17 20:51
速升速降,典型肝癌.
作者: kbzyycm 时间: 2006-12-17 22:18
典型肝癌.
作者: 守望可可 时间: 2006-12-17 23:19
标题: 回复:ct5664:我也发一个肝脏的片子大家看看
以下是引用hhcckk在2006-12-17 10:33:00的发言:[br]
[br]
比较经典的病例,比较经典的解说,支持!
作者: jiangjing 时间: 2006-12-17 23:44
支持-----考虑肝癌----[-从片上看增强早期应该是动脉晚期即门脉早期]
作者: 阿狼 时间: 2006-12-18 00:14
是啊,典型的早出早归!
作者: jinguoji 时间: 2006-12-18 00:36
支持考虑肝癌.
作者: wangzhongliang 时间: 2006-12-18 00:56
原发性肝癌
作者: 宝天曼 时间: 2006-12-18 03:03
快进快出典型肝癌.
作者: shuangjidao111 时间: 2006-12-18 03:08
标题: 回复:ct5664:我也发一个肝脏的片子大家看看
以下是引用晓杰在2006-12-17 12:34:00的发言:[br][quote]以下是引用hhcckk在2006-12-17 10:33:00的发言:[br]
[br]
[br][/quote]
作者: 胡生启 时间: 2006-12-18 03:41
典型肝癌
作者: yuhg 时间: 2006-12-18 03:46
肝癌
作者: zwx 时间: 2006-12-18 04:03
肝癌
作者: 拾荒者 时间: 2006-12-18 04:09
比较典型的肝癌。
作者: lizhenhua_00 时间: 2006-12-18 04:49
典型肝癌.
作者: ssmmxx 时间: 2006-12-18 05:13
速升速降,典型肝癌.
作者: liuyue 时间: 2006-12-18 05:13
典型肝癌
作者: 1983 时间: 2006-12-18 05:30
很典型的肝癌。
作者: 清风照影来 时间: 2006-12-18 06:10
快进快出,肝癌
作者: 卜一 时间: 2006-12-18 14:05
符合肝癌的增强特征。支持肝癌!
作者: dqq766 时间: 2006-12-18 16:00
病灶好圆!可能恶性度不高。
作者: haha215315 时间: 2006-12-18 16:56
典型肝癌.
作者: zyx168 时间: 2006-12-18 17:11
标题: 回复:ct5664:我也发一个肝脏的片子大家看看
典型肝癌.
作者: zydct 时间: 2006-12-18 17:51
支持肝癌
作者: 9876543210 时间: 2006-12-18 19:53
不能除外肝细胞腺瘤吧,还是得结合病史。
作者: 汪涛同志 时间: 2006-12-19 07:53
很好的片子,可惜增强做的比较失败,a期时间没有把我好,实际到了静脉早期了,否则会更典型。
作者: wfq2222 时间: 2006-12-19 23:05
肝癌
作者: zylcq608 时间: 2006-12-19 23:16
典型肝癌
作者: 固体胶 时间: 2006-12-19 23:40
最终考虑是肝腺瘤
作者: shibing 时间: 2015-7-15 10:04
肝癌.
| 欢迎光临 医影在线 (http://bbs.radida.com/bbs/) |
Powered by Discuz! X3.2 |