医影在线
标题: X1349:[原创]男五十岁,,母趾胀痛二十余年,,来院外科医生 [打印本页]
作者: cyy136 时间: 2006-12-17 20:08
标题: X1349:[原创]男五十岁,,母趾胀痛二十余年,,来院外科医生

[本贴已被 jiajie 于 2006-12-17 13:06:56 修改过]
作者: pp 时间: 2006-12-17 21:55
血管球瘤可能!
作者: wll79500 时间: 2006-12-17 22:29
1、趾骨表皮样囊肿?
2、血管瘤?
作者: hhcckk 时间: 2006-12-17 23:27
骨发育不全,由于在年幼时反复感染,引起骨头营养障碍所致
作者: dyqct 时间: 2006-12-17 23:40
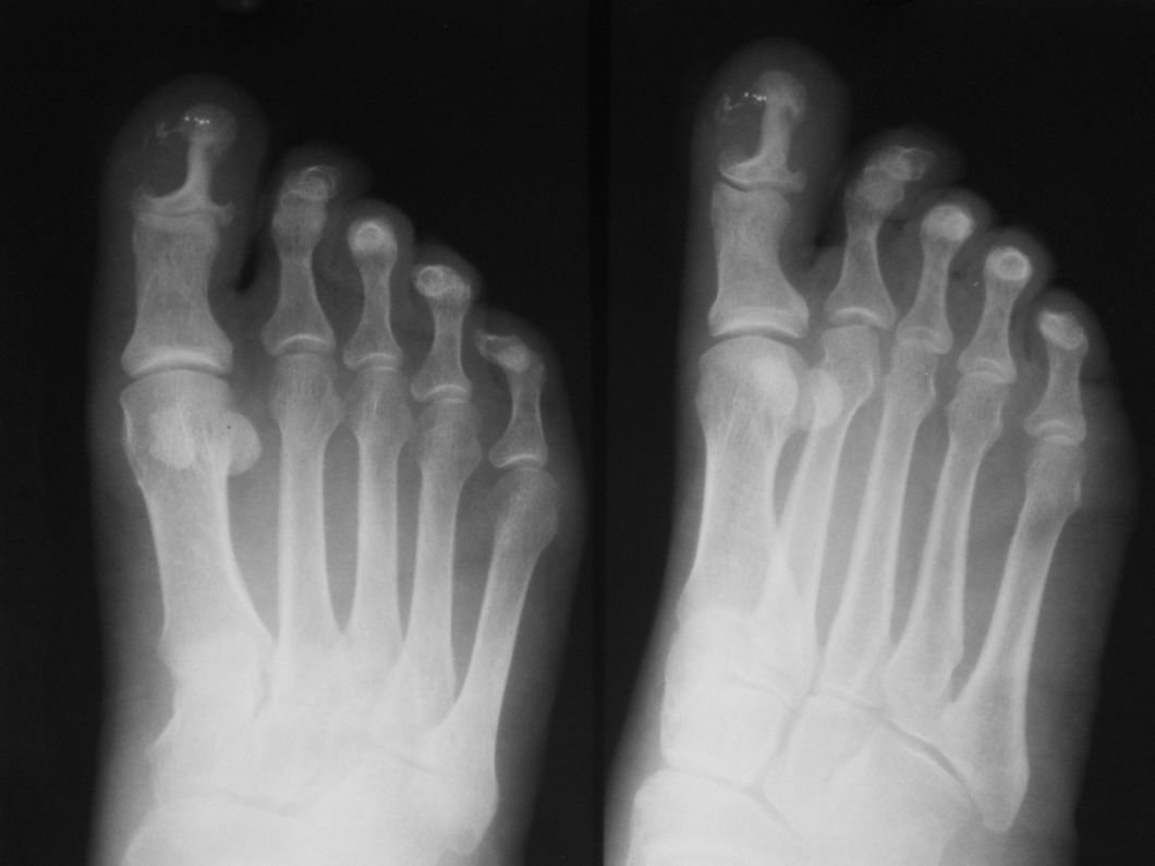
左母趾末节呈哑铃状改变,边缘光滑,残存骨除密度略增高外,无明显破坏征象。内前方见少许小点状高密度影,可能为外来物重叠所致。
考虑:左母趾末节良性病变,可能来源于软组织肿瘤压迫所致(血管球瘤?)。
作者: wll79500 时间: 2006-12-18 00:10
1、趾骨表皮样囊肿?
2、血管瘤?
作者: wll79500 时间: 2006-12-18 00:19
1、趾骨表皮样瘤?
2、血管瘤?
作者: jinguoji 时间: 2006-12-18 00:31
血管球瘤可能
作者: jiangjing 时间: 2006-12-18 00:38
左母趾末节呈哑铃状改变,边缘光滑,残存骨除密度略增高外,无明显破坏征象。内前方见少许小点状高密度影,可能钙化影。
考虑1血管球瘤。2皮样囊肿
作者: 731208 时间: 2006-12-18 02:12
血管球瘤可能大
作者: xiazhuzhu 时间: 2006-12-18 02:20
标题: 回复:x1349:[原创]男五十岁,,母趾胀痛二十余年,,来院外
以下是引用731208在2006-12-17 18:12:00的发言:[br]血管球瘤可能大
作者: 宝天曼 时间: 2006-12-18 03:09
1、趾骨表皮样瘤?
2、血管瘤?
作者: jamoe 时间: 2006-12-18 03:33
血管球瘤以中心破坏多见,
后者须仔细询问病史后,如从事工作,
外伤史,是否有炎症表现?
作者: zhangxiangjun 时间: 2006-12-18 04:29
左母趾末节呈哑铃状改变,边缘光滑,残存骨除密度略增高外,无明显破坏征象。内前方见少许小点状高密度影,可能为外来物重叠所致。
考虑:左母趾末节良性病变,可能来源于软组织肿瘤压迫所致(血管球瘤?)。
外伤应不像 多在第二节趾骨 且影象也不像。。。
作者: 冰雪阳光 时间: 2006-12-18 05:21
同意5楼意见。
作者: daiyong_1203 时间: 2006-12-18 05:57
血管球瘤可能
作者: ssmmxx 时间: 2006-12-18 06:39
血管球瘤
作者: szssd123 时间: 2006-12-18 07:49
支持4楼意见
作者: zyx168 时间: 2006-12-18 17:38
标题: 回复:x1349:[原创]男五十岁,,母趾胀痛二十余年,,来院外
考虑:左母趾末节良性病变,可能来源于软组织肿瘤压迫所致(血管球瘤?)。
作者: hnyzdjb 时间: 2006-12-18 19:06
血管球瘤?
作者: chaocheng 时间: 2006-12-18 20:39
外生软骨瘤可能性大。
作者: elity69 时间: 2006-12-18 21:22
左母趾末节呈哑铃状改变,边缘光滑,残存骨除密度略增高外,无明显破坏征象。内前方见少许小点状高密度影,可能钙化影。
考虑1血管球瘤。2皮样囊肿
作者: 迎客松abc 时间: 2006-12-18 22:05
血管球瘤可能
作者: ztbzyp 时间: 2006-12-18 22:59
支持血管球瘤。
作者: zhangkening 时间: 2006-12-19 02:34
应该是血管瘤吧,因为这是外缘性肿物压迫导致骨质硬化的表现.
作者: 清风无痕 时间: 2006-12-19 03:20
血管球瘤可能大.
作者: 仲景传人 时间: 2006-12-19 04:05
标题: 回复:x1349:[原创]男五十岁,,母趾胀痛二十余年,,来院外
以下是引用dyqct在2006-12-17 15:40:00的发言:[br]左母趾末节呈哑铃状改变,边缘光滑,残存骨除密度略增高外,无明显破坏征象。内前方见少许小点状高密度影,可能为外来物重叠所致。[br]考虑:左母趾末节良性病变,可能来源于软组织肿瘤压迫所致(血管球瘤?)。
作者: zhw974247 时间: 2006-12-19 04:15
标题: 回复:x1349:[原创]男五十岁,,母趾胀痛二十余年,,来院外
以下是引用ztbzyp在2006-12-18 14:59:00的发言:[br]支持血管球瘤。
作者: wlq66556 时间: 2006-12-19 06:29
支持血管球瘤。
作者: 流星1234 时间: 2006-12-19 06:38
血管球瘤可能性大
作者: haha215315 时间: 2006-12-19 18:57
趾骨表皮样囊肿
作者: wuxin7374 时间: 2006-12-19 20:52
远端高密度如果是钙化,就应考虑软骨瘤.
作者: shibing 时间: 2012-12-31 10:08
血管球瘤可能
| 欢迎光临 医影在线 (http://bbs.radida.com/bbs/) |
Powered by Discuz! X3.2 |