医影在线
标题: CT5665:病例讨论 [打印本页]
作者: 一生 时间: 2006-12-17 21:38
标题: CT5665:病例讨论
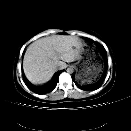
女,36岁,右上腹不适数天。5天后公布结果。







[本贴已被 jiajie 于 2006-12-17 17:32:50 修改过]
作者: hhcckk 时间: 2006-12-17 22:07
看上去象肾上腺囊肿,但内有钙化不好解释,难道是结核,肺上有病灶吗?建议拍个胸片排除结核
作者: 守望可可 时间: 2006-12-17 23:12
楼主老兄这是在玩儿深沉,呵呵
不过,没有增强,没有薄扫,还真的有点不太好分析。
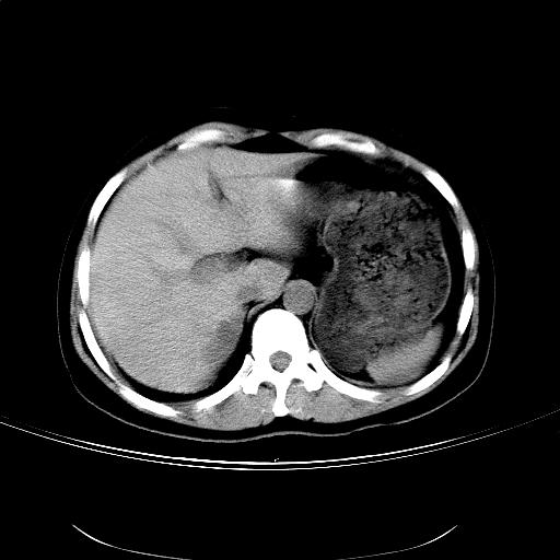
肝左叶有俩原形低密度,边缘光整,内密度均匀一致,考虑小囊肿。
右侧肾上腺区域不规则低密度占位性病变,似乎有俩病灶不完全相连。密度不均匀,内见钙化。首先考虑囊肿,建议增强薄层扫描。
作者: dyqct 时间: 2006-12-17 23:30
标题: 回复:病例讨论
以下是引用守望可可西里在2006-12-17 15:12:00的发言:[br][br] 楼主老兄这是在玩儿深沉,呵呵[br] 不过,没有增强,没有薄扫,还真的有点不太好分析。[br] 肝左叶有俩原形低密度,边缘光整,内密度均匀一致,考虑小囊肿。[br] 右侧肾上腺区域不规则低密度占位性病变,似乎有俩病灶不完全相连。密度不均匀,内见钙化。首先考虑囊肿,建议增强薄层扫描。
支持!!
作者: jiangjing 时间: 2006-12-17 23:36
支持1肝内小低密度灶考虑多系囊肿。2右侧肾上腺区低密度结节影,其内见两个小点状钙化灶,低密度影似有分叶或为两个,右肾上部显示不清。考虑右侧肾上腺良性占位病变,请结合临床及超声与增强检查。
作者: wqs571018 时间: 2006-12-18 00:05
1.肝左叶两个圆形低密度灶,缘清楚.....;支持:肝囊肿.2.肾上腺区分叶状低密度灶,建议增强.
作者: zjzjr 时间: 2006-12-18 00:12
肝囊右.肾上腺囊肿.
作者: jinguoji 时间: 2006-12-18 00:37
标题: 回复:病例讨论
以下是引用守望可可西里在2006-12-17 15:12:00的发言:[br][br] 楼主老兄这是在玩儿深沉,呵呵[br] 不过,没有增强,没有薄扫,还真的有点不太好分析。[br] 肝左叶有俩原形低密度,边缘光整,内密度均匀一致,考虑小囊肿。[br] 右侧肾上腺区域不规则低密度占位性病变,似乎有俩病灶不完全相连。密度不均匀,内见钙化。首先考虑囊肿,建议增强薄层扫描。
支持!
作者: shaling 时间: 2006-12-18 00:48
肝囊右.肾上腺囊肿.
作者: 宝天曼 时间: 2006-12-18 03:04
肝囊右.肾上腺囊肿.
作者: zyyths 时间: 2006-12-18 03:08
比较典型的右侧肾上腺囊肿;肝脏左外叶上段小囊肿。
作者: 胡生启 时间: 2006-12-18 03:44
右肾上腺囊肿
作者: yuhg 时间: 2006-12-18 03:48
增强扫描
作者: 拾荒者 时间: 2006-12-18 04:19
肝左叶外上段小囊肿,肾上腺低密度灶首先考虑囊肿,只是钙化不好解释。期待结果。
作者: lizhenhua_00 时间: 2006-12-18 04:48
肾上腺囊肿. 肝囊肿。
作者: liuyue 时间: 2006-12-18 05:08
肝囊肿;肾上腺囊肿 。
作者: ssmmxx 时间: 2006-12-18 05:17
以下是引用守望可可西里在2006-12-17 15:12:00的发言:
楼主老兄这是在玩儿深沉,呵呵
不过,没有增强,没有薄扫,还真的有点不太好分析。
肝左叶有俩原形低密度,边缘光整,内密度均匀一致,考虑小囊肿。
右侧肾上腺区域不规则低密度占位性病变,似乎有俩病灶不完全相连。密度不均匀,内见钙化。首先考虑囊肿,建议增强薄层扫描。
作者: 1983 时间: 2006-12-18 05:25
支持1肝内小低密度灶考虑多系囊肿。2右侧肾上腺区低密度结节影,其内见两个小点状钙化灶,低密度影似有分叶或为两个,右肾上部显示不清。考虑右侧肾上腺良性占位病变,请结合临床及超声与增强检查。
作者: dingjun 时间: 2006-12-18 06:57
肝内低密度影考虑囊肿,右肾上腺区病灶要是有增强就好了。
作者: 卜一 时间: 2006-12-18 14:08
肝囊肿.肾上腺囊肿,建议增强,
作者: zyx168 时间: 2006-12-18 17:14
标题: 回复:ct5665:病例讨论
肝左叶有俩原形低密度,边缘光整,内密度均匀一致,考虑小囊肿。[br] 右侧肾上腺区域不规则低密度占位性病变,似乎有俩病灶不完全相连。密度不均匀,内见钙化。首先考虑囊肿
作者: sdllxu 时间: 2006-12-18 18:08
肝囊肿,右肾上腺腺瘤
作者: haha215315 时间: 2006-12-18 19:08
肝内小低密度灶考虑多系囊肿,右侧肾上腺良性占位病变.
作者: hqr123 时间: 2006-12-18 19:12
标题: 回复:ct5665:病例讨论
以下是引用jiangjing在2006-12-17 15:36:00的发言:[br]支持1肝内小低密度灶考虑多系囊肿。2右侧肾上腺区低密度结节影,其内见两个小点状钙化灶,低密度影似有分叶或为两个,右肾上部显示不清。考虑右侧肾上腺良性占位病变,请结合临床及超声与增强检查。
作者: 西凡 时间: 2006-12-18 19:21
以下是引用守望可可西里在2006-12-17 15:12:00的发言:
楼主老兄这是在玩儿深沉,呵呵
不过,没有增强,没有薄扫,还真的有点不太好分析。
肝左叶有俩原形低密度,边缘光整,内密度均匀一致,考虑小囊肿。
右侧肾上腺区域不规则低密度占位性病变,似乎有俩病灶不完全相连。密度不均匀,内见钙化。首先考虑囊肿,建议增强薄层扫描。
作者: 9876543210 时间: 2006-12-18 20:13
建议增强薄层扫描
作者: hanbo100800 时间: 2006-12-18 22:05
肝外侧缘怎么有一圈稍高密度影,是伪影吗?
作者: 一生 时间: 2006-12-23 19:59
结果:肾上腺囊肿。
作者: shibing 时间: 2015-7-15 10:03
建议拍个胸片排除结核
| 欢迎光临 医影在线 (http://bbs.radida.com/bbs/) |
Powered by Discuz! X3.2 |