医影在线
标题: CT5666:胆系病变 [打印本页]
作者: 乡医 时间: 2006-12-18 01:18
标题: CT5666:胆系病变
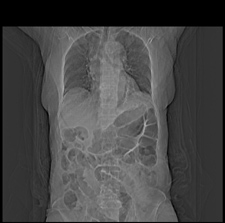
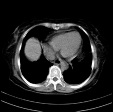
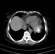
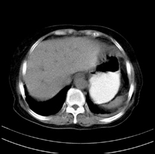
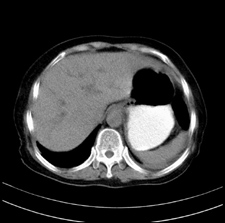
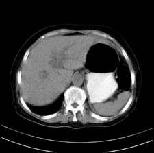
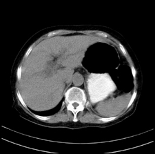
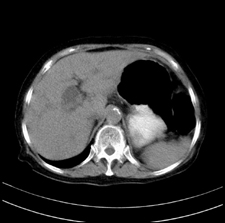
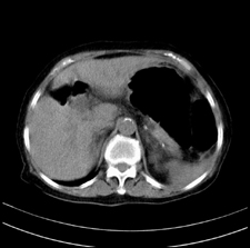
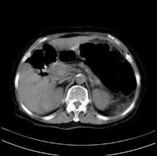
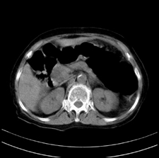
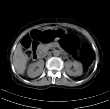
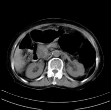
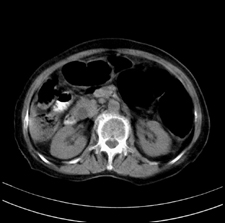
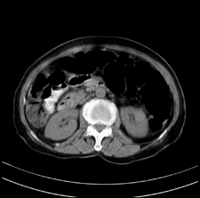
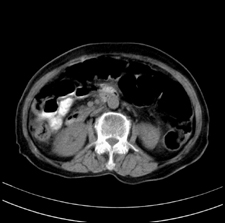
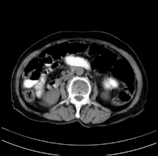
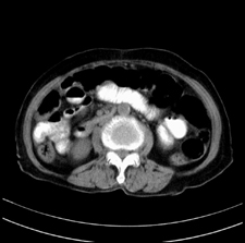
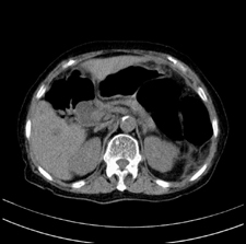
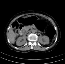
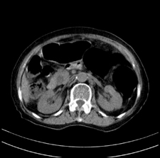
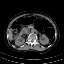
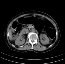
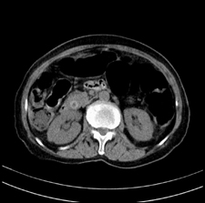
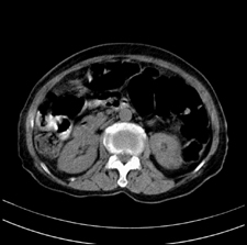
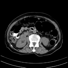
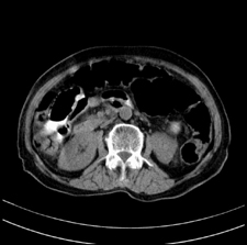
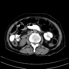
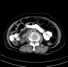
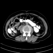
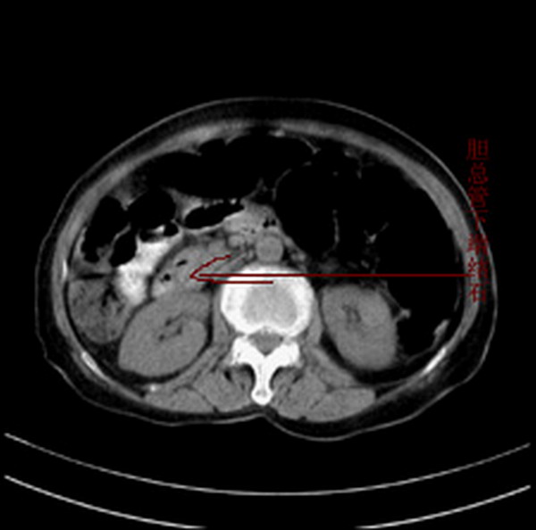
患者,女,75岁。腹痛,体黄5日,膝胸位时腹痛缓解。肝功能明日出来。彩超提示胆总管占位,未见血流信号。心电图提示s-t段改变。患者体质较弱,未能增强。








































[本贴已被 jiajie 于 2006-12-17 17:36:48 修改过]
作者: hhcckk 时间: 2006-12-18 01:41
标题: 回复:ct5666:胆系病变

作者: ILIKECT 时间: 2006-12-18 01:43
胆总管结石
作者: hryspan 时间: 2006-12-18 01:57
胆总管多发结石
作者: cyr123456 时间: 2006-12-18 02:23
符合胆总管结石
作者: dyqct 时间: 2006-12-18 02:43
标题: stone
胆总管多发结石伴肝内外胆管轻度扩张。

[本贴已被 dyqct 于 2006-12-17 18:44:22 修改过]
作者: 乡医 时间: 2006-12-18 02:50
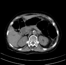
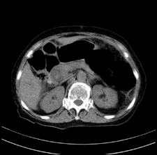
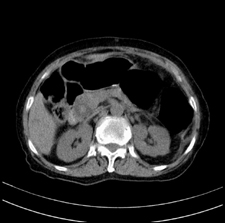
胆总管上段,腔内有软组织密度影 ,ct值36-44hu。大家看有没有胆管癌的可能。
作者: YUTIRA 时间: 2006-12-18 02:54
胆总管蛔虫有可能吗?
作者: w_jianhua 时间: 2006-12-18 02:54
支持楼上
作者: yemin92007 时间: 2006-12-18 02:58
胆管结石没的说,楼主考虑胆管癌,就手里这点儿资料有点勉强!
作者: shuangjidao111 时间: 2006-12-18 03:02
胆总管结石
2楼所说胰腺内钙化不像,象脾脏血管的钙化
作者: zyyths 时间: 2006-12-18 03:04
典型胆总管多发结石;增强扫描前后ct值是否发生改变是鉴别结石与占位的依据。
作者: 宝天曼 时间: 2006-12-18 03:06
胆总管多发结石
作者: yuhg 时间: 2006-12-18 03:39
胆总管结石
作者: 胡生启 时间: 2006-12-18 03:46
肝囊右.肾上腺囊肿
作者: zwx 时间: 2006-12-18 03:54
胆总管多发结石伴肝内外胆管轻度扩张。
作者: 拾荒者 时间: 2006-12-18 04:26
典型的胆总管多发结石。在没有增强的情况下,暂不考虑其他。
作者: zjzjr 时间: 2006-12-18 04:26
胆总管多发结石伴肝内外胆管扩张。
作者: fengdongdong 时间: 2006-12-18 04:43
胆管没有鼠尾征,还是考虑结石
作者: lizhenhua_00 时间: 2006-12-18 04:46
胆管结石并发胆管炎。
作者: liuyue 时间: 2006-12-18 05:04
符合胆总管结石
作者: 漫步云端 时间: 2006-12-18 05:07
支持六楼……
作者: ssmmxx 时间: 2006-12-18 05:20
符合胆总管结石
作者: 1983 时间: 2006-12-18 05:23
胆管结石
作者: huiluizhi 时间: 2006-12-18 06:49
还是考虑结石
作者: jiangjing 时间: 2006-12-18 07:02
支持 胆总管结石,左侧胸膜增厚,心包膜增厚。
作者: 守望可可 时间: 2006-12-18 07:51
标题: 回复:ct5666:胆系病变
以下是引用乡医在2006-12-17 18:50:00的发言:[br]胆总管上段,腔内有软组织密度影 ,ct值36-44hu。大家看有没有胆管癌的可能。

作者: 卜一 时间: 2006-12-18 14:14
支持:胆总管多发结石,至于胆总管癌,若无法做增强,只好观察了。
作者: zyx168 时间: 2006-12-18 17:17
标题: 回复:ct5666:胆系病变
胆总管多发结石伴肝内外胆管轻度扩张。
作者: jinguoji 时间: 2006-12-18 17:53
胆总管多发结石伴肝内外胆管轻度扩张。
作者: wangjj555 时间: 2006-12-18 19:30
胆总管多发结石,
作者: 求知若渴 时间: 2006-12-19 01:47
标题: 回复:ct5666:胆系病变
以下是引用yemin92007在2006-12-17 18:58:00的发言:[br]胆管结石没的说,楼主考虑胆管癌,就手里这点儿资料有点勉强!

作者: 欧阳双全 时间: 2006-12-19 23:51
环形结石
作者: zylcq608 时间: 2006-12-20 01:12
胆管癌并结石。
作者: shibing 时间: 2015-7-15 10:03
胆总管上段,腔内有软组织密度影 ,ct值36-44hu。大家看有没有胆管癌的可能。
| 欢迎光临 医影在线 (http://bbs.radida.com/bbs/) |
Powered by Discuz! X3.2 |