医影在线

标题: CT5696:[原创]盆腔超级经典病例!请大家欣赏!分析! [打印本页]

作者: wnlyq8688    时间: 2006-12-20 04:35
标题: CT5696:[原创]盆腔超级经典病例!请大家欣赏!分析!
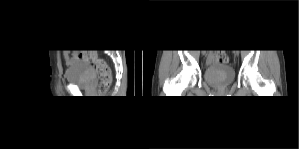
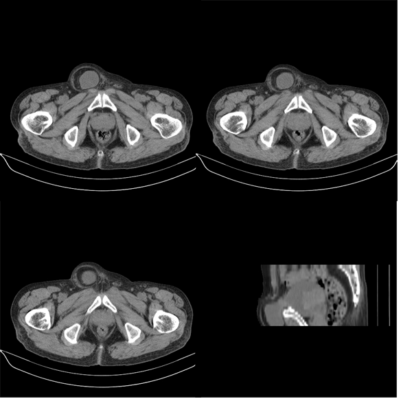
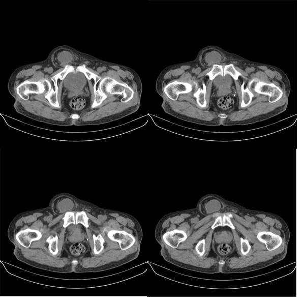
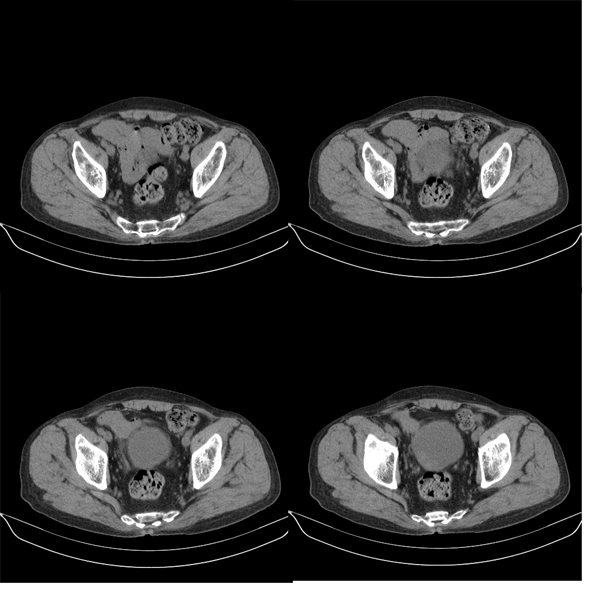
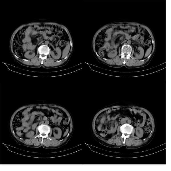
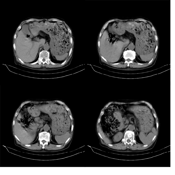
m79y自述30年前做过疝手术,20年前间断出现尿血,每次经抗炎治疗后即好转,近一月来又出现尿血但抗炎后仍尿血.现做双肾+盆腔ct:
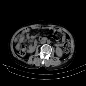
双肾10mm扫描




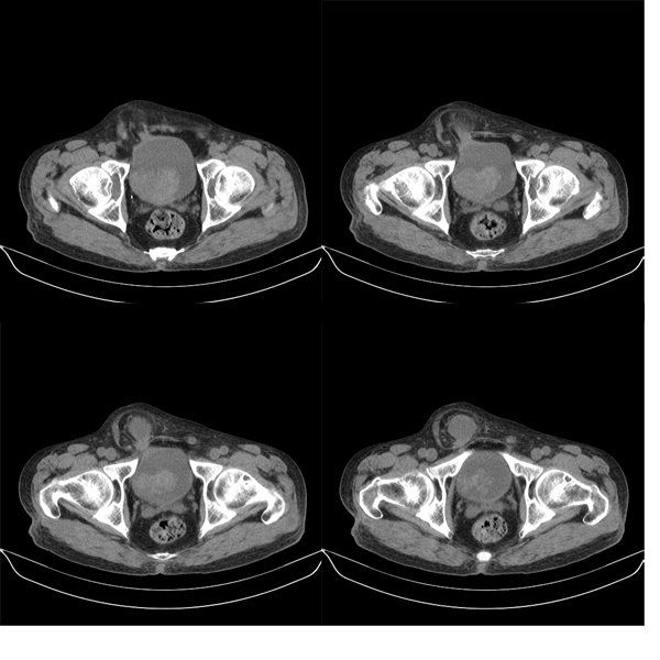
盆腔5mmct扫描






该病人年龄过大故放弃了增强.ct做完后本人检查病人发现病人耻骨联合上稍偏右见一突出的包块影,质地柔软,平卧位手压后可以回缩.站立位突出明显!

[本贴已被 翁志蓬 于 2006-12-19 20:46:20 修改过]

作者: gaoxiao    时间: 2006-12-20 04:50
考虑膀胱ca,右侧腹股沟斜疝。
作者: 晓杰    时间: 2006-12-20 04:50
1、膀胱内占位性病变,膀胱癌可能性大。
2、腹部沟斜疝。
作者: 余辉    时间: 2006-12-20 05:00
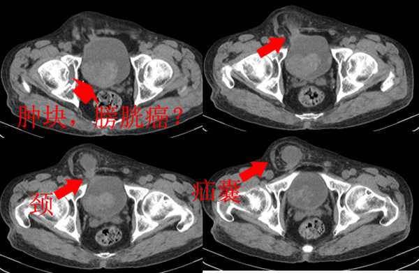
膀胱三角区右侧可见较大软组织肿块,分叶状,内可见更低密度区,ct做完后本人检查病人发现病人耻骨联合上稍偏右见一突出的包块影,质地柔软,平卧位手压后可以回缩.站立位突出明显!考虑腹股沟斜疝,疝内容物为膀胱.膀胱内肿物考虑1炎性赘生物2平滑肌肉瘤(有多年血尿史,本次加重且抗炎不好转)3膀胱癌
作者: yuhg    时间: 2006-12-20 05:01
不错
作者: 袁张锋    时间: 2006-12-20 05:07
1.膀胱内软组织肿快,有点状钙化,前列腺不大.膀胱癌.
2.右侧腹股沟斜疝。
3.双肾平扫未见异常.
作者: zbx160    时间: 2006-12-20 05:23
考虑膀胱ca,右侧腹股沟斜疝
作者: qian    时间: 2006-12-20 05:46
膀胱癌+疝气
作者: 小楼    时间: 2006-12-20 05:50
同意膀胱癌,但还是希望看到增强的效果!
作者: 守望可可    时间: 2006-12-20 06:01
  盆腔超级经典病例--膀胱癌+膀胱疝出引起的右侧腹股沟斜疝膀胱疝,果然名不虚传!谢谢楼主!   “m79y自述30年前做过疝手术,20年前间断出现尿血,每次经抗炎治疗后即好转”,这是因为膀胱的疝入甚至短暂或部分嵌顿以及由此引起的炎症所造成,当然抗炎治疗后好转;“近一月来又出现尿血但抗炎后仍尿血”,这就是膀胱癌在作怪了,呵呵。
作者: 胡生启    时间: 2006-12-20 06:05
考虑膀胱ca,右侧腹股沟斜疝
作者: 同    时间: 2006-12-20 06:06
支持膀胱癌,右侧腹股沟斜疝。
作者: yixianman001011    时间: 2006-12-20 06:10
首先,膀胱癌可以肯定,右侧斜疝内内容物是什么?好象和膀胱相连,我看象是膀胱憩室,患者多年血尿病史也支持.当然要是增强了就可以确诊.
作者: dyqct    时间: 2006-12-20 06:40
标题: 回复:ct5696:[原创]盆腔超级经典病例!请大家欣赏!分析!
以下是引用袁张锋在2006-12-19 21:07:00的发言:[br]1.膀胱内软组织肿快,有点状钙化,前列腺不大.膀胱癌.[br]2.右侧腹股沟斜疝。[br]3.双肾平扫未见异常.

支持!
作者: jiazh    时间: 2006-12-20 06:45
1、右侧腹股沟斜疝,疝内容物为膀胱;2、膀胱右后壁肿块,考虑膀胱癌
作者: 光线    时间: 2006-12-20 07:36
是了 是了。
作者: 清风照影来    时间: 2006-12-20 08:35
好看
作者: ysxyy    时间: 2006-12-20 08:46
标题: 回复:ct5696:[原创]盆腔超级经典病例!请大家欣赏!分析!

作者: 宝天曼    时间: 2006-12-20 15:12
膀胱癌+疝气
作者: jinguoji    时间: 2006-12-20 16:09
膀胱ca,右侧腹股沟斜疝
作者: zjzjr    时间: 2006-12-20 16:10
膀胱ca,右侧腹股沟斜疝
作者: lxd5856    时间: 2006-12-20 17:28
可能是膀胱癌+滑疝
作者: 卜一    时间: 2006-12-20 17:31
1、膀胱内占位性病变,膀胱癌可能性大。
2、腹部沟斜疝。
作者: 红樱枪    时间: 2006-12-20 17:52
典型:膀胱ca,右侧腹股沟斜疝
作者: zyx168    时间: 2006-12-20 18:13
标题: 回复:ct5696:[原创]盆腔超级经典病例!请大家欣赏!分析!

作者: haha215315    时间: 2006-12-20 19:03
考虑膀胱ca,右侧腹股沟斜疝。
作者: 迎客松abc    时间: 2006-12-20 20:47
1、膀胱内占位性病变,膀胱癌可能性大。
2、腹部沟斜疝。
作者: 青莲居士    时间: 2006-12-20 23:55
同上谢谢你了,为我们提供了着摸好的片子
作者: 求知若渴    时间: 2006-12-21 05:27
标题: 回复:ct5696:[原创]盆腔超级经典病例!请大家欣赏!分析!
以下是引用ysxyy在2006-12-20 0:46:00的发言:[br][br]

作者: 拾荒者    时间: 2006-12-21 06:17
支持膀胱癌,右侧斜疝,经典!谢谢!
作者: elity69    时间: 2007-1-17 21:35
1.膀胱内软组织肿快,有点状钙化,前列腺不大.膀胱癌.
2.右侧腹股沟斜疝。
3.双肾平扫未见异常.
作者: shibing    时间: 2015-7-16 09:27
同意膀胱癌,但还是希望看到增强的效果!




欢迎光临 医影在线 (http://bbs.radida.com/bbs/) Powered by Discuz! X3.2