医影在线
标题: CL0340:【】肾上腺囊肿,比较典型。 [打印本页]
作者: 147258lzg 时间: 2006-12-20 19:25
标题: CL0340:【】肾上腺囊肿,比较典型。
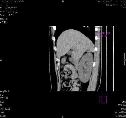
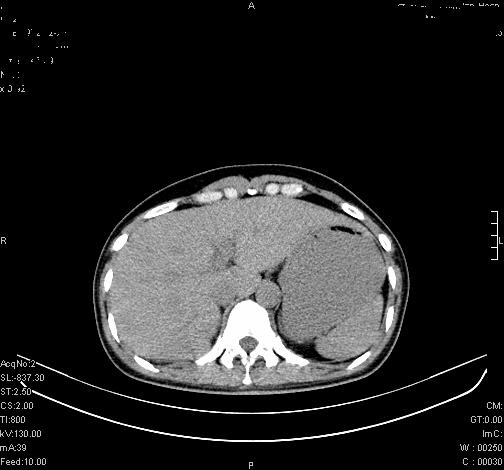
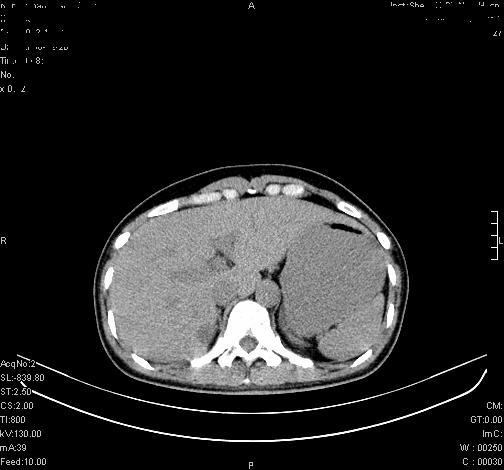
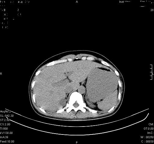
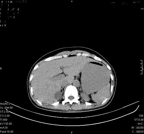
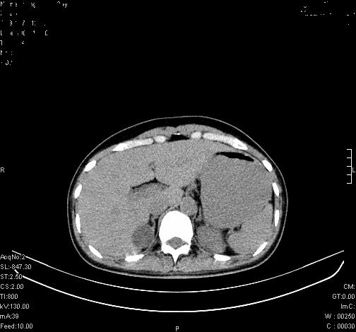
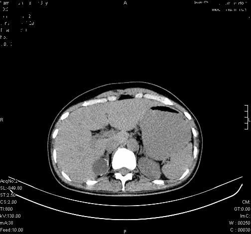
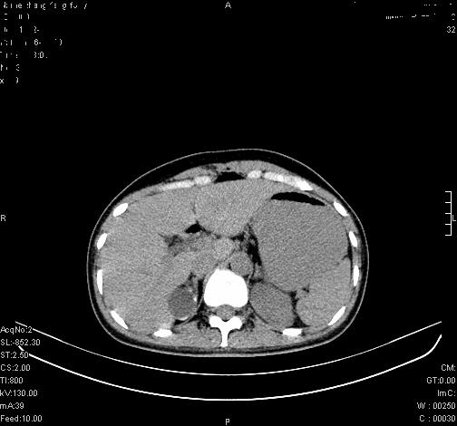
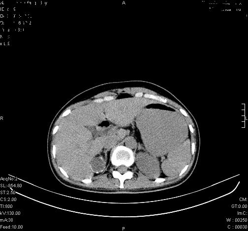
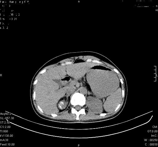
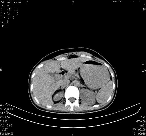
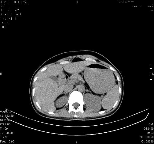
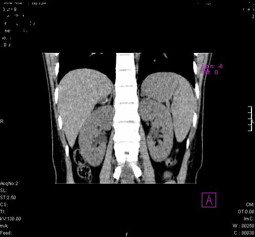
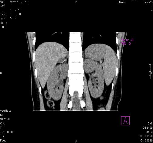
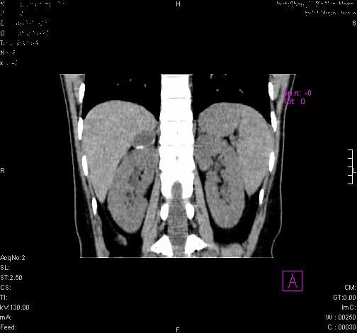
患者为年轻女性,查体发现右侧肾上腺囊性占位。无临床体征。


























[本贴已被 翁志蓬 于 2008-10-1 0:50:39 修改过]
作者: wansheng 时间: 2006-12-20 19:36
这么漂亮的图像,一看一目了然。典型的右侧肾上腺囊肿,周围有钙化。感谢搂主!
作者: tao772 时间: 2006-12-20 19:54
请教大家一个问题,ct扫描中图像重建失败,为什么?黑屏没有图像.
作者: qian 时间: 2006-12-20 20:29
典型肾上腺囊肿,图象很漂亮!
作者: haiyei 时间: 2006-12-20 20:55
漂亮!
作者: 迎客松abc 时间: 2006-12-20 20:57
一定是肾上腺囊肿吗,不会是肾上腺腺瘤吗.
作者: xclzq_910 时间: 2006-12-20 21:52
最好做个增强,进一步明确为佳
作者: 守望可可 时间: 2006-12-20 22:27
标题: 肾上腺囊肿的组织学分型
谢谢楼主的好病例!
“肾上腺囊肿组织学分为4类:1)内皮细胞性,2)假性囊肿,3)寄生虫性,4)上皮细胞性。其中内皮细胞性最为常见。假性囊肿多为肾上腺内出血后遗留囊腔,囊壁无上皮细胞。寄生虫性多为包虫病引起。上皮性则很少见。”
这么明显的弧形钙化,多考虑包虫病所致的寄生虫性囊肿。
已收录到“影像文摘”中
[本贴已被 翁志蓬 于 2008-10-1 0:50:00 修改过]
作者: zhanglixian1985 时间: 2006-12-20 22:28
这么漂亮的图像,一看一目了然。典型的右侧肾上腺囊肿,周围有钙化。感谢搂主
作者: 清风照影来 时间: 2006-12-20 22:46
图漂亮,一目了然
作者: 红樱枪 时间: 2006-12-20 22:59
右侧肾上腺囊性密度灶囊壁有钙化。考虑肾上腺囊肿,结核?
作者: zyx168 时间: 2006-12-20 23:01
标题: 回复:肾上腺囊肿,比较典型。

作者: 晓杰 时间: 2006-12-20 23:08
典型肾上腺囊肿
作者: haha215315 时间: 2006-12-20 23:37
右侧肾上腺囊肿,周围有钙化。
作者: dyqct 时间: 2006-12-20 23:41
典型。图像也漂亮。
作者: 高神医 时间: 2006-12-21 00:35
肾上腺囊肿
作者: 拾荒者 时间: 2006-12-21 02:22
典型的右侧肾上腺囊肿;图像漂亮。
作者: LIMMM 时间: 2006-12-21 05:08
漂亮!最好做个增强及上传ct值,进一步明确为佳 。
作者: radio8201 时间: 2006-12-22 22:53
支持楼主!
作者: 山青水碧 时间: 2006-12-26 05:43
增强一下最放心啊
作者: elity69 时间: 2006-12-27 05:13
图漂亮,一目了然
作者: hexue 时间: 2009-6-20 08:12
谢谢 学习了
作者: yuhongjun 时间: 2010-1-2 17:38
典型肾上腺囊肿,图象很漂亮!
作者: shibing 时间: 2012-6-10 08:58
肾上腺囊肿
| 欢迎光临 医影在线 (http://bbs.radida.com/bbs/) |
Powered by Discuz! X3.2 |