医影在线
标题: DSA0066:选择性肾动脉栓塞术 [打印本页]
作者: lzdyjg 时间: 2006-12-23 20:07
标题: DSA0066:选择性肾动脉栓塞术
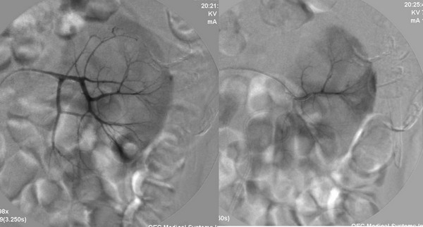
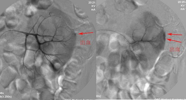
男性,45岁,因左输尿管与肾盂结合部结石住院治疗,经皮肾镜治疗失败后,改做开放手术.手术后3天出现血尿,5天保守治疗仍不能止血,申请肾动脉dsa,见下图片,发帖目的在于请各位分析判断出血部位.


[本贴已被 cefcmj 于 2006-12-23 13:19:22 修改过]
[本贴已被 翁志蓬 于 2006-12-24 0:39:06 修改过]
介入治疗过程:




注:图5\6文字标示应为".....再次证实出血部位"
[本贴已被 lzdyjg 于 2006-12-26 20:35:45 修改过]
作者: cefcmj 时间: 2006-12-23 21:18
标题: 回复:肾血管造影__分析判断病灶部位(请保留3天后转dsa与

作者: zjzjr 时间: 2006-12-23 21:32
标题: 回复:x1379:肾血管造影__分析判断病灶部位(请保留3天后转d

作者: tjbdlcr 时间: 2006-12-23 23:17
请问版主,延时像有吗?
如果是伤口轻度渗血,动脉期看不到。
再问楼上2位:肾周出血如何进入输尿管?
作者: zjzjr 时间: 2006-12-23 23:49
标题: 回复:x1379:肾血管造影__分析判断病灶部位(请保留3天后转d
病史已说明肾盂和输尿管交界处结石,穿刺时首先经过包膜--肾实质--肾盂,这样就会有一潜在的通道,包膜下的出血可以延着通道渗入至肾盂、输尿管,所以就有血尿了。
作者: zjzjr 时间: 2006-12-23 23:52
出血超过0.5ml/秒,dsa就应该有阳性征象.
作者: 呆子 时间: 2006-12-24 04:43
病史已说明肾盂和输尿管交界处结石,穿刺时首先经过包膜--肾实质--肾盂,这样就会有一潜在的通道,包膜下的出血可以延着通道渗入至肾盂、输尿管,所以就有血尿了。
作者: 清风无痕 时间: 2006-12-24 18:09
支持7楼的意见
作者: 仲景传人 时间: 2006-12-25 04:44
多谢学习了,来自基层。
作者: zhangxiangjun 时间: 2006-12-25 07:46
学习le
作者: wangjj555 时间: 2006-12-26 05:18
好片了,学习了.
作者: zhangxiangjun 时间: 2006-12-26 06:09
主要 只有就是学习了!
作者: lzdyjg 时间: 2006-12-27 04:13
标题: 回复:dsa0066:选择性肾动脉栓塞术
以下是引用wangjj555在2006-12-25 21:18:00的发言:[br]好片了,学习了.
谢谢大家的精彩讨论!!!!!!!
准确的出血部位请参考\"介入治疗过程\"图片标示!
[本贴已被 lzdyjg 于 2006-12-27 13:37:19 修改过]
作者: jinguoji 时间: 2007-6-18 00:10
学习了,谢谢!
| 欢迎光临 医影在线 (http://bbs.radida.com/bbs/) |
Powered by Discuz! X3.2 |