医影在线
标题: CT5797:[原创]简单但不多见地窦腔高密度影 [打印本页]
作者: 应项雪 时间: 2006-12-26 03:08
标题: CT5797:[原创]简单但不多见地窦腔高密度影
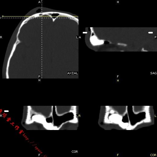
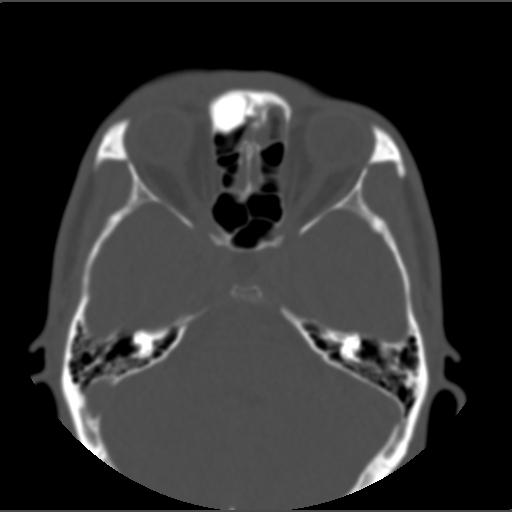
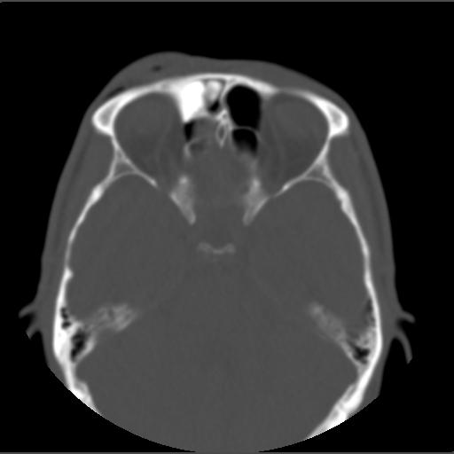
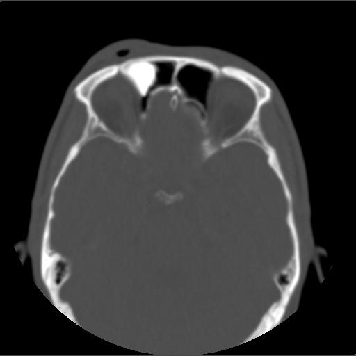
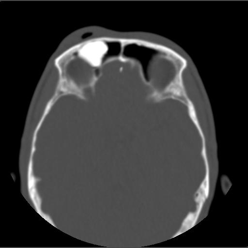
m49y外伤常规ct发现筛额窦右侧高密度块影 。








[本贴已被 jiajie 于 2006-12-25 20:14:04 修改过]
作者: hhcckk 时间: 2006-12-26 03:22
骨瘤
作者: jian-5587 时间: 2006-12-26 03:22
右侧额筛都内致密性高密度影,余骨皮质未见明显异常改变,右额皮下血肿伴少许积气,我想是致密影是骨瘤.
作者: 光线 时间: 2006-12-26 03:29
考虑骨瘤。
作者: dyqct 时间: 2006-12-26 03:29
致密型骨瘤。
作者: 张长宝 时间: 2006-12-26 03:41
右侧额筛窦内致密性骨瘤!
作者: wjzstar 时间: 2006-12-26 03:45
应该是骨瘤,没错
作者: sdllxu 时间: 2006-12-26 03:46
右侧额筛都内致密性高密度影,境界清楚,余骨皮质未见明显异常改变,符合骨瘤表现
作者: 晓杰 时间: 2006-12-26 03:54
右侧额筛窦内致密性骨瘤!
作者: 卜一 时间: 2006-12-26 03:59
致密型骨瘤_支持!
作者: wang20017 时间: 2006-12-26 04:07
考虑致密型骨瘤
作者: ilikect 时间: 2006-12-26 04:21
标题: 回复:ct5797:[原创]简单但不多见地窦腔高密度影
以下是引用hhcckk在2006-12-25 19:22:00的发言:[br]骨瘤
作者: 天南地北 时间: 2006-12-26 04:37
骨瘤
作者: zwx 时间: 2006-12-26 04:42
右侧额筛窦内致密性骨瘤!
作者: 游侠 时间: 2006-12-26 04:55
右侧额筛都内致密性高密度影,境界清楚,余骨皮质未见明显异常改变,考虑额筛窦内生性骨瘤.
作者: jiazh 时间: 2006-12-26 04:57
骨瘤,典型
作者: rjg199343 时间: 2006-12-26 04:58
右侧额筛窦内致密性骨瘤
作者: manhaton 时间: 2006-12-26 05:06
标题: 回复:ct5797:[原创]简单但不多见地窦腔高密度影
以下是引用sdllxu在2006-12-25 19:46:00的发言:[br]右侧额筛都内致密性高密度影,境界清楚,余骨皮质未见明显异常改变,符合骨瘤表现
作者: xclzq_910 时间: 2006-12-26 05:21
副鼻窦内也是骨瘤的好发部位.支持致密型骨瘤
作者: 拾荒者 时间: 2006-12-26 05:34
致密型骨瘤_支持!
作者: huangxun4321 时间: 2006-12-26 05:38
现在称骨质异常增生.
作者: zhlk5352 时间: 2006-12-26 05:48
颅面部骨瘤一般密度致密,多发额骨及鼻窦腔壁,呈扁丘样改变.边界清楚,大部分密度均一.
此片应与验证纤维化做一区分
作者: muxinhua 时间: 2006-12-26 06:19
右侧额筛窦内致密性骨瘤
作者: 同 时间: 2006-12-26 06:30
标题: 回复:ct5797:[原创]简单但不多见地窦腔高密度影
以下是引用sdllxu在2006-12-25 19:46:00的发言:[br]右侧额筛都内致密性高密度影,境界清楚,余骨皮质未见明显异常改变,符合骨瘤表现
作者: 玲玲 时间: 2006-12-26 07:40
致密型骨瘤。
作者: ysxyy 时间: 2006-12-26 07:44
的确不多见,多谢;
作者: kitten0102 时间: 2006-12-26 08:11
骨瘤
作者: 宝天曼 时间: 2006-12-26 14:38
考虑骨瘤。
作者: jinguoji 时间: 2006-12-26 16:46
右侧额筛窦内致密性骨瘤!
作者: zjzjr 时间: 2006-12-26 16:50
1、致密型骨瘤。2、右额部头皮挫裂伤。
作者: wangjj555 时间: 2006-12-26 17:09
支持骨瘤
作者: zyx168 时间: 2006-12-26 17:21
标题: 回复:ct5797:[原创]简单但不多见地窦腔高密度影

作者: wj2039 时间: 2006-12-26 17:54
标题: 回复:ct5797:[原创]简单但不多见地窦腔高密度影
右额窦至密性骨瘤,右额骨皮下软组织挫伤拌积气.
作者: ym 时间: 2006-12-26 19:23
右侧额筛窦内致密性骨瘤,支持
作者: haha215315 时间: 2006-12-26 20:07
考虑骨瘤。
作者: 迎客松abc 时间: 2006-12-26 20:29
骨瘤
作者: juwen73 时间: 2006-12-26 20:31
致密型骨瘤
作者: yang123456 时间: 2006-12-26 20:58
考虑致密性骨瘤
作者: 好 时间: 2006-12-26 21:16
符合骨瘤表现
作者: xyqh2006 时间: 2006-12-26 22:53
支持致密性骨瘤
作者: 求知若渴 时间: 2006-12-27 05:37
致密型骨瘤
作者: ping2 时间: 2006-12-27 06:42
骨瘤啊
作者: 清风照影来 时间: 2006-12-27 17:54
致密型骨瘤
作者: 悬壶济世 时间: 2007-11-13 06:32
同意骨瘤
作者: zyyzzy 时间: 2007-11-13 07:03
典型骨瘤,不少见
作者: dzhq8766 时间: 2007-11-15 07:07
致密型骨瘤。
作者: 红樱枪 时间: 2007-11-15 18:15
致密型骨瘤
作者: shibing 时间: 2015-7-16 17:04
致密型骨瘤
| 欢迎光临 医影在线 (http://bbs.radida.com/bbs/) |
Powered by Discuz! X3.2 |