医影在线
标题: CT5815:[原创][分享]颅脑,看看典型不? [打印本页]
作者: ysxyy 时间: 2006-12-27 02:40
标题: CT5815:[原创][分享]颅脑,看看典型不?
(结果公布:http://www.radida.com/bbs/forum.php?mod=viewthread&tid=19240)
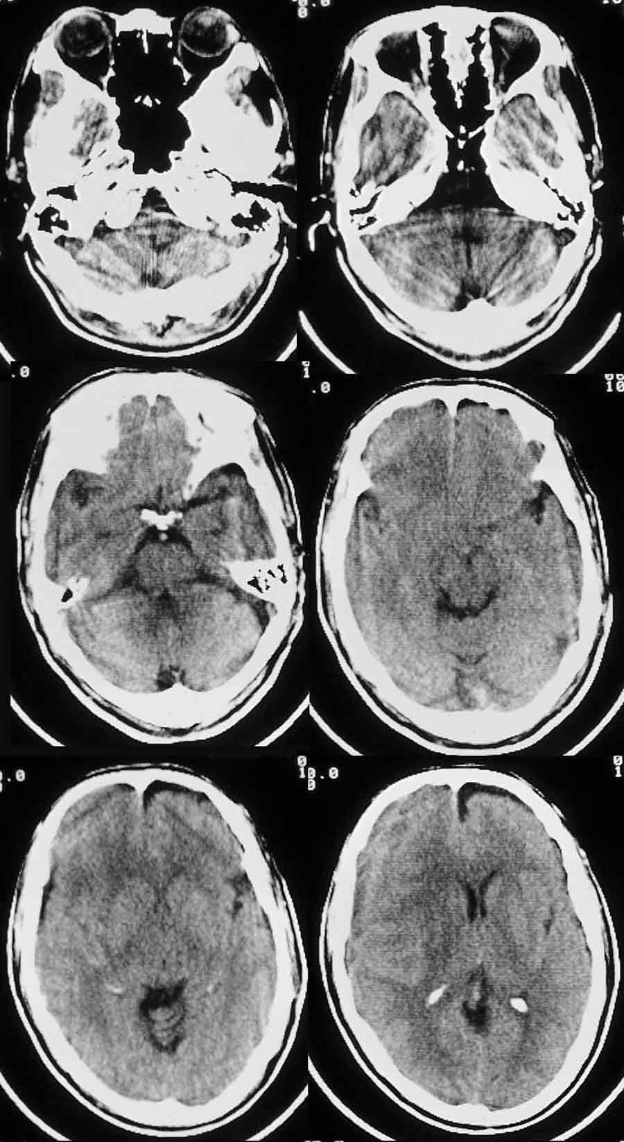
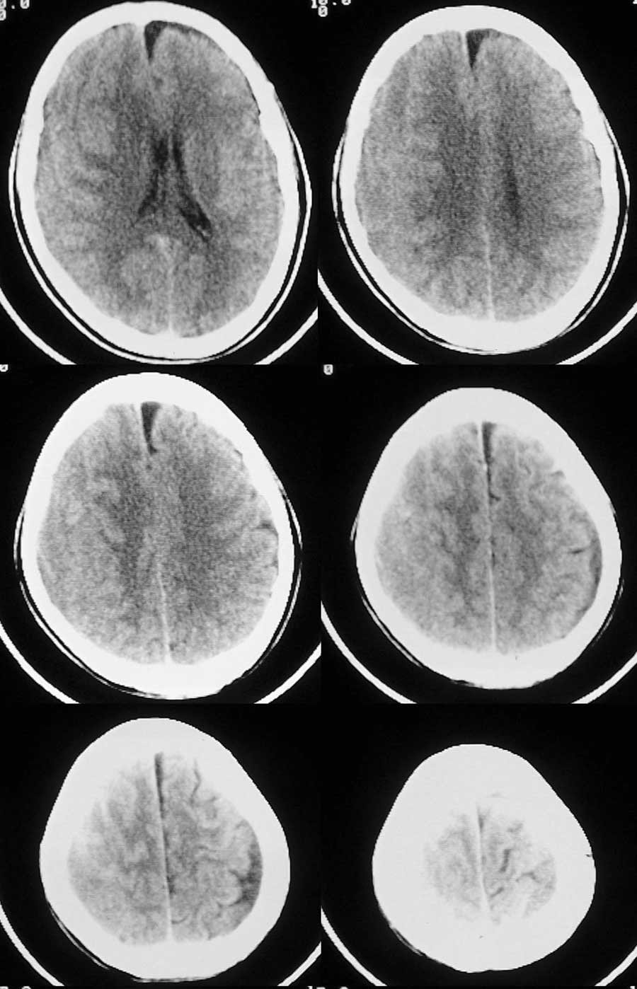
m/63岁,以左侧肢体麻木一周就诊;
10mm


5mm

[本贴已被 jiajie 于 2006-12-26 21:00:54 修改过]
[本贴已被 翁志蓬 于 2007-1-1 19:52:48 修改过]
作者: 815989 时间: 2006-12-27 02:44
右侧颞顶部亚急性硬膜下血肿
作者: 13081830109 时间: 2006-12-27 02:45
慢性硬膜下血肿
有外伤史?
微创的适应病例(2cm的针,以右枕顶为穿刺点,保留24小时,注意冲洗预防继续渗血)
[本贴已被 13081830109 于 2006-12-26 18:52:10 修改过]
作者: 吴克权 时间: 2006-12-27 02:49
右侧等密度硬膜下血肿???有脑疝形成吗?
作者: 聂新建 时间: 2006-12-27 03:14
病史不清,也可能就是急性等密度硬膜下血肿,也可能就是慢性硬膜下血肿。
作者: winter 时间: 2006-12-27 03:22
m/63岁,以左侧肢体麻木一周就诊;
右侧外侧裂、右侧脑沟均较窄,右侧灰白质均向左移位,中线结构亦左移。右侧颅板下见与皮层等或略低密度的条形影。
考虑:右侧亚急性硬膜下血肿。
作者: 胡生启 时间: 2006-12-27 03:40
右侧颞顶部亚急性硬膜下血肿
作者: kjgj 时间: 2006-12-27 03:57
标题: 回复:[原创][分享]颅脑,看看典型不?
以下是引用winter在2006-12-26 19:22:00的发言:[br]m/63岁,以左侧肢体麻木一周就诊;[br]右侧外侧裂、右侧脑沟均较窄,右侧灰白质均向左移位,中线结构亦左移。右侧颅板下见与皮层等或略低密度的条形影。[br]考虑:右侧亚急性硬膜下血肿。
同意!!!
作者: 求知若渴 时间: 2006-12-27 04:26
右侧脑沟裂消失,皮髓质交界点内移,右侧脑室受压,慢性硬膜下血肿
作者: 22222222 时间: 2006-12-27 04:28
1右额颞顶部慢性硬膜下血肿,2左硬膜下积液
作者: guoyisheng 时间: 2006-12-27 04:33
右侧额';,颞,顶颅骨内板下可见弧低密度影,脑灰质移位,右侧外侧裂池及侧脑室,大脑半球脑沟变窄,应该是个慢性硬膜下血肿
作者: 宝天曼 时间: 2006-12-27 04:33
右侧颞顶部亚急性硬膜下血肿
左额叶慢性硬膜下积液
作者: zwx 时间: 2006-12-27 04:44
右侧颞顶部亚急性硬膜下血肿
作者: zhlb808 时间: 2006-12-27 05:19
标题: 回复:ct5815:[原创][分享]颅脑,看看典型不?
以下是引用22222222在2006-12-26 20:28:00的发言:[br]1右额颞顶部慢性硬膜下血肿,2左硬膜下积液
支持
作者: shuangjidao111 时间: 2006-12-27 05:31
1、右侧额颞部亚急性硬膜下血肿 2、左侧额部硬膜下积叶
作者: ssmmxx 时间: 2006-12-27 05:43
慢性硬膜下血肿
作者: ellise5 时间: 2006-12-27 05:44
右侧额顶亚急性硬膜下血肿,等密度
作者: gejunjian 时间: 2006-12-27 05:47
有些硬膜下出血特别是老人多表现为等或略低密度,有时不易辨别,需用窄窗技术观察,大家平时工作中要提高警惕!
作者: 同 时间: 2006-12-27 05:49
右侧颞顶部慢性硬膜下血肿。
作者: dyqct 时间: 2006-12-27 05:54
支持右侧额颞顶部亚急性硬膜下血肿.
作者: manhaton 时间: 2006-12-27 06:21
标题: 回复:ct5815:[原创][分享]颅脑,看看典型不?
以下是引用winter在2006-12-26 19:22:00的发言:[br]m/63岁,以左侧肢体麻木一周就诊;[br]右侧外侧裂、右侧脑沟均较窄,右侧灰白质均向左移位,中线结构亦左移。右侧颅板下见与皮层等或略低密度的条形影。[br]考虑:右侧亚急性硬膜下血肿。
作者: x-man 时间: 2006-12-27 06:44
右侧额颞顶部亚急性硬膜下血肿.
作者: 拾荒者 时间: 2006-12-27 07:01
支持右侧额颞顶部亚急性硬膜下血肿.
作者: jiangjing 时间: 2006-12-27 07:08
m/63岁,以左侧肢体麻木一周就诊;
右侧外侧裂、右侧脑沟均较窄,右侧灰白质均向左移位,中线结构亦左移。右侧颅板下见与皮层等或略低密度的条形影。
诊断:右侧亚急性慢性硬膜下血肿
作者: wangzhanshuang 时间: 2006-12-27 07:24
右侧颞顶部亚急性硬膜下血肿
作者: 守望可可 时间: 2006-12-27 08:05
标题: 回复:ct5815:[原创][分享]颅脑,看看典型不?
以下是引用winter在2006-12-26 19:22:00的发言:[br]m/63岁,以左侧肢体麻木一周就诊;[br]右侧外侧裂、右侧脑沟均较窄,右侧灰白质均向左移位,中线结构亦左移。右侧颅板下见与皮层等或略低密度的条形影。[br]考虑:右侧亚急性硬膜下血肿。
支持右侧亚急性硬膜下血肿(等密度)!
补充:左侧额叶前边低密度考虑是硬膜下积液,对应脑组织有受压变圆钝,脑回消失;左侧顶叶低密度考虑是局限性脑萎缩 ,局部脑回正常,脑组织无受压迹象。
作者: 9876543210 时间: 2006-12-27 08:06
图像质量太不好了。
作者: hhcckk 时间: 2006-12-27 17:06
标题: 回复:ct5815:[原创][分享]颅脑,看看典型不?

作者: cefcmj 时间: 2006-12-27 17:25
支持右侧额颞顶部慢性硬膜下血肿。
作者: zyx168 时间: 2006-12-27 18:21
标题: 回复:ct5815:[原创][分享]颅脑,看看典型不?
右侧颞顶部亚急性硬膜下血肿
作者: haha215315 时间: 2006-12-27 18:21
考虑:右侧亚急性硬膜下血肿。
作者: 迎客松abc 时间: 2006-12-27 20:51
支持右侧额颞顶部亚急性硬膜下血肿.
作者: jinguoji 时间: 2006-12-27 21:34
支持右侧额颞顶部亚急性硬膜下血肿.
作者: 红樱枪 时间: 2006-12-28 00:05
右侧颞顶部慢性硬膜下血肿。
作者: 我爱影像 时间: 2006-12-28 00:08
右侧颞顶部亚急性硬膜下血肿
作者: wj2039 时间: 2006-12-28 00:23
标题: 回复:ct5815:[原创][分享]颅脑,看看典型不?
以下是引用jinguoji在2006-12-27 13:34:00的发言:[br]支持右侧额颞顶部亚急性硬膜下血肿.
作者: haogandian 时间: 2006-12-28 00:28
图像不太清楚,但也够典型的慢性硬膜下血肿。
作者: 卜一 时间: 2006-12-28 00:57
慢性硬膜下血肿
作者: zhanglixian1985 时间: 2006-12-28 01:12
支持右侧额颞顶部亚急性硬膜下血肿.
作者: wansheng 时间: 2006-12-28 02:41
典型的右侧慢性硬膜下血肿。
作者: 光线 时间: 2006-12-28 03:18
右侧亚急性硬膜下血肿。
作者: 狙击手 时间: 2006-12-28 04:14
标题: 回复:ct5815:[原创][分享]颅脑,看看典型不?
以下是引用求知若渴在2006-12-26 20:26:00的发言:[br]右侧脑沟裂消失,皮髓质交界点内移,右侧脑室受压,慢性硬膜下血肿
作者: zyx168 时间: 2006-12-31 18:15
结果收到!学习了!
作者: 余辉 时间: 2006-12-31 18:25
脑沟裂消失,皮髓交界区内移,中线结构左移考虑右额颞顶部慢性硬膜下血肿
作者: zwx 时间: 2007-1-1 05:31
右侧颞顶部亚急性硬膜下血肿
作者: kannan 时间: 2007-1-1 05:44
慢性硬膜下血肿,很典型
作者: zxczxc 时间: 2010-7-26 16:40
右侧颞顶部硬膜下血肿,左额部硬膜下积液。
作者: ZHONGXINMR 时间: 2010-7-26 17:47
谢谢,典型病例
| 欢迎光临 医影在线 (http://bbs.radida.com/bbs/) |
Powered by Discuz! X3.2 |