医影在线
标题: CT5830:盆腔,已手术。 [打印本页]
作者: 尚峰 时间: 2006-12-28 06:53
标题: CT5830:盆腔,已手术。
(结果公布:http://www.radida.com/bbs/forum.php?mod=viewthread&tid=19144)
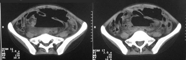
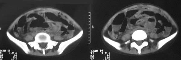
f-18y,腹痛,腹胀,停止排便排气4天,小便正常,四年前阑尾炎手术,病人已手术,明天上传结果。










[本贴已被 jiajie 于 2006-12-28 9:57:30 修改过]
[本贴已被 翁志蓬 于 2006-12-28 22:25:38 修改过]
作者: 宝天曼 时间: 2006-12-28 15:07
乙状结肠也扩张
是不是直肠的问题
作者: dyqct 时间: 2006-12-28 16:51
支持盆腔巨大脓肿。
作者: chen123 时间: 2006-12-28 17:10
肠梗阻表现,有手术史,考虑粘连性可能
作者: cefcmj 时间: 2006-12-28 17:11
标题: 回复:盆腔,已手术。

多考虑粘连性肠梗阻伴乙状结肠破裂可能。
作者: zyx168 时间: 2006-12-28 17:14
1,考虑盆腔巨大脓肿;
2,低位肠粘连并梗阻。
作者: wang20017 时间: 2006-12-28 18:41
标题: 回复:ct5830:盆腔,已手术。
以下是引用zyx168在2006-12-28 9:14:00的发言:[br]1,考虑盆腔巨大脓肿;[br]2,低位肠粘连并梗阻。
作者: haha215315 时间: 2006-12-28 19:51
1,考虑盆腔巨大脓肿;2,低位肠粘连并梗阻。
作者: yang123456 时间: 2006-12-28 20:45
支持楼上意见
作者: 拾荒者 时间: 2006-12-28 20:45
直肠左侧低密度模糊影,乙状结肠明显扩张,有宽大液平,下腹部肠袢欠规整,内有多发小液平,结合有阑尾炎手术史考虑:直肠周围脓肿,低位肠梗阻,肠粘连。
作者: chmb 时间: 2006-12-28 22:15
支持10楼意见
作者: liaoqiang 时间: 2006-12-29 00:22
1,考虑盆腔巨大脓肿;2,低位肠粘连并梗阻。
作者: 尚峰 时间: 2006-12-29 01:48
盆腔巨大脓肿,据术者讲,脓肿大部分壁是有肠管壁形成的,少部分有自己较厚的壁,子宫、附件都泡在脓液里,腹腔肠管广泛粘连,这个病例奇怪的是急性发病,追问不出慢性病史。
作者: dyqct 时间: 2006-12-29 05:45
结果收到,谢谢楼主!!
作者: yixianman001011 时间: 2006-12-29 06:08
考虑:肠粘连并低位肠梗阻;乙状结肠与回肠之间形成肠篓
作者: 拾荒者 时间: 2006-12-29 06:56
结果收到,谢谢楼主,对照结果,回过头看,乙状结肠后壁液性低密度影应该也是脓肿。
作者: 朱磊 时间: 2006-12-29 07:08
标题: 回复:ct5830:盆腔,已手术。
以下是引用尚峰在2006-12-28 17:48:00的发言:[br]盆腔巨大脓肿,据术者讲,脓肿大部分壁是有肠管壁形成的,少部分有自己较厚的壁,子宫、附件都泡在脓液里,腹腔肠管广泛粘连,这个病例奇怪的是急性发病,追问不出慢性病史。
谢谢楼主!!!
作者: jinguoji 时间: 2006-12-29 20:55
结果收到,学习了,谢谢!
作者: 一片云 时间: 2007-1-1 07:39
,考虑盆腔巨大脓肿;2,低位肠粘连并梗阻。
作者: zhuxinli 时间: 2007-1-5 20:09
请问楼主 巨大液平是脓肿吗
作者: venzasy 时间: 2007-1-5 20:41
谢谢楼主!
作者: zxczxc 时间: 2010-7-26 17:10
乙状结肠扭转。
作者: ZHONGXINMR 时间: 2010-7-26 17:18
谢谢,结果收到,盆腔巨大脓肿
| 欢迎光临 医影在线 (http://bbs.radida.com/bbs/) |
Powered by Discuz! X3.2 |