医影在线
标题: CT5853:右额叶上部占位请会诊 [打印本页]
作者: ctkz987 时间: 2006-12-30 01:06
标题: CT5853:右额叶上部占位请会诊
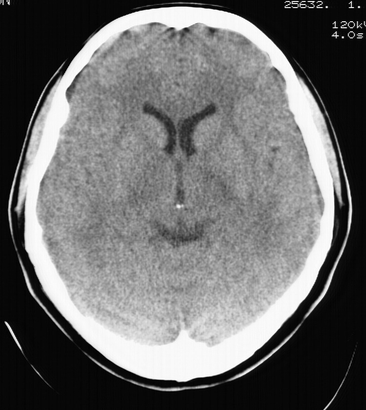
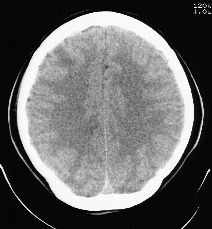
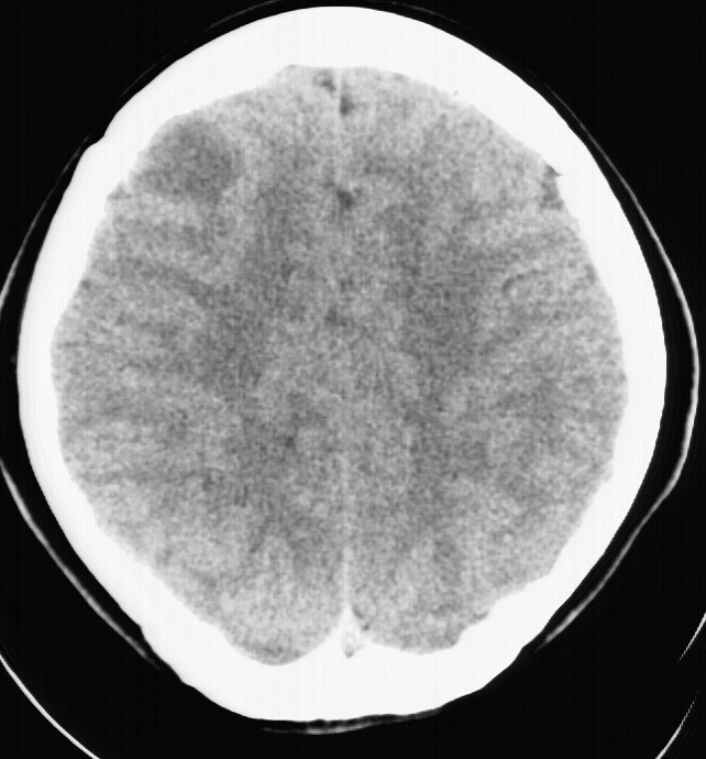
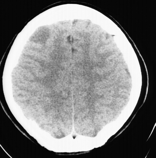
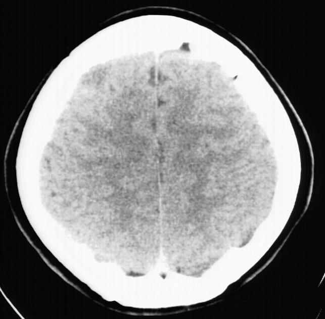
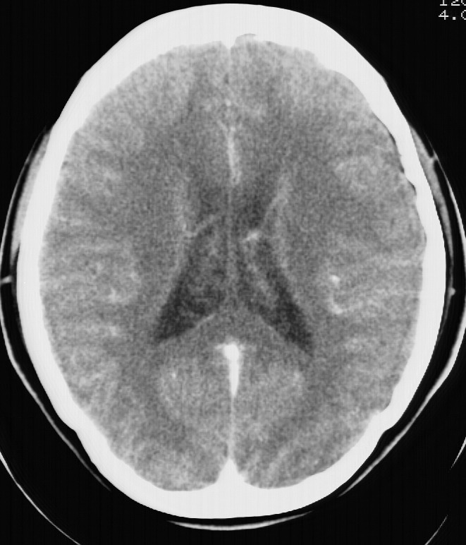
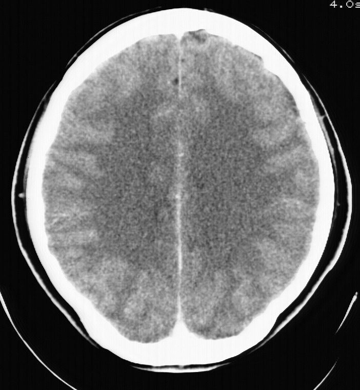
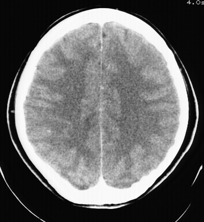
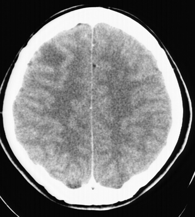
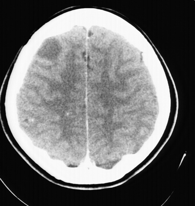
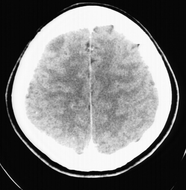
女,34岁,自述头晕胀2年,近期感精神恍惚,无发热,实验室检查阴性。



















[本贴已被 jiajie 于 2006-12-29 17:12:30 修改过]
作者: 杀手 时间: 2006-12-30 01:25
考虑 1 低级星型胶质细胞瘤 2 蛛网膜囊肿
作者: wangjj555 时间: 2006-12-30 01:43
1级星型细胞瘤的可能性大.
作者: 余辉 时间: 2006-12-30 01:55
水肿及强化不明显,考虑低分级胶质细胞瘤可能性大
作者: zyx168 时间: 2006-12-30 01:57
标题: 回复:ct5853:右额叶上部占位请会诊

作者: only 时间: 2006-12-30 02:11
这个患者最好做mri检查一下,排除脑外表皮样囊肿.
作者: ssl1_1 时间: 2006-12-30 02:23
1级星型细胞瘤
作者: 橘子 时间: 2006-12-30 02:35
1级星型细胞瘤可能性大,建议mri检查
作者: jacsibank 时间: 2006-12-30 02:42
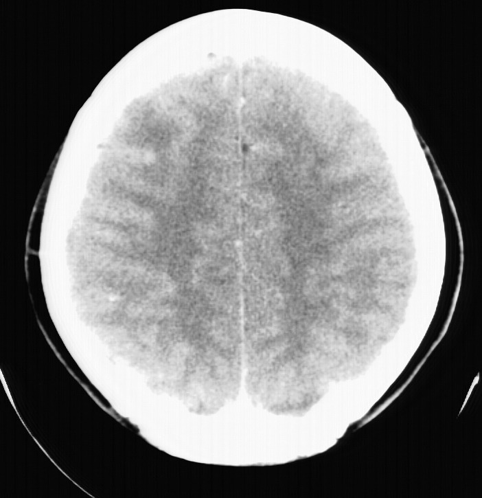
水肿及强化都不明显!也没见钙化影!考虑i级星型细胞瘤可能性大!
作者: 13081830109 时间: 2006-12-30 02:46
1级星型细胞瘤的可能性大.
作者: jian-5587 时间: 2006-12-30 03:02
强化后呈环状强化,支持1级星型细胞瘤可能.
作者: 卜一 时间: 2006-12-30 03:27
1级星型细胞瘤的可能性大.
作者: wj2039 时间: 2006-12-30 03:34
1级星型细胞瘤可能.
作者: 求知若渴 时间: 2006-12-30 04:09
1级星型细胞瘤的可能性大
作者: zwx 时间: 2006-12-30 04:14
1级星型细胞瘤的可能性大.
作者: gjy_163 时间: 2006-12-30 04:29
支持低级星形细胞瘤.
作者: 流星1234 时间: 2006-12-30 04:37
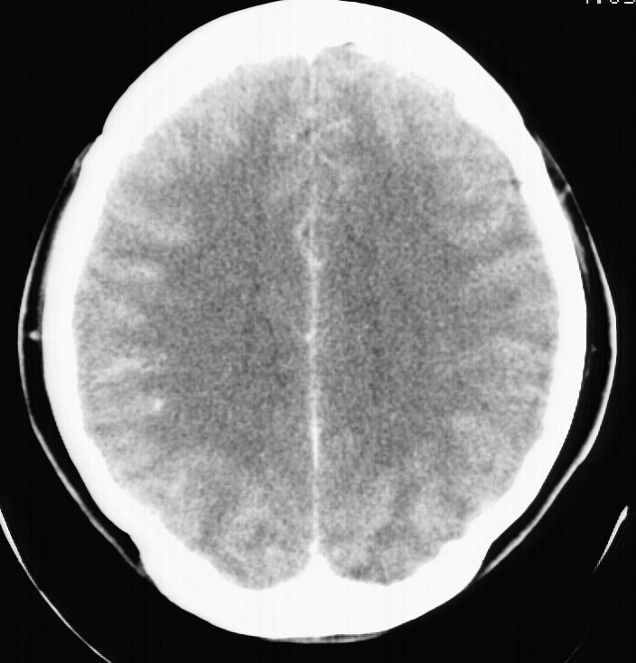
右额叶低密度灶,脑回分离,无水肿及强化,考虑脑脓肿,建议mri检查
作者: 拾荒者 时间: 2006-12-30 04:58
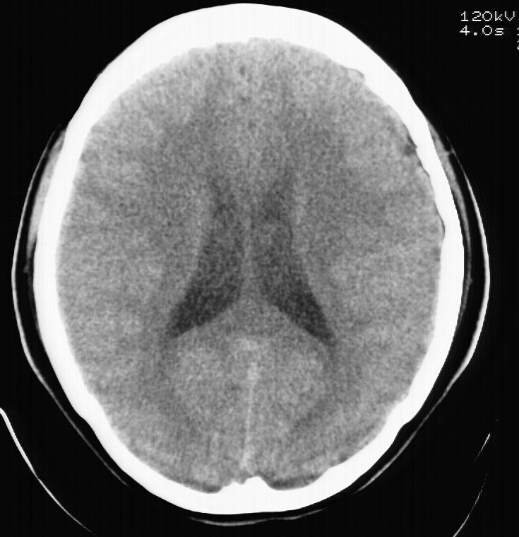
右顶叶靠近脑表面圆形低密度灶,周围无水肿及占位效应,增强病灶无明显强化,考虑:右顶叶低分级星型细胞瘤。
作者: yixianman001011 时间: 2006-12-30 05:33
i级星型细胞瘤可能性大
作者: dyqct 时间: 2006-12-30 05:43
右额叶上部皮质区见类圆形低密度区,边界不清,无强化,无钙化。
支持大多数战友的意见,1级星形细胞瘤。
作者: 天南地北 时间: 2006-12-30 05:44
标题: 回复:ct5853:右额叶上部占位请会诊
以下是引用dyqct在2006-12-29 21:43:00的发言:[br]右额叶上部皮质区见类圆形低密度区,边界不清,无强化,无钙化。[br]支持大多数战友的意见,1级星形细胞瘤。
支持
作者: jiazh 时间: 2006-12-30 06:20
支持i级星形细胞瘤
作者: kbzyycm 时间: 2006-12-30 06:46
1级星型细胞瘤的可能性大
作者: chmb 时间: 2006-12-30 06:46
考虑囊性胶质瘤
作者: jiangjing 时间: 2006-12-30 07:51
考虑 1级星型细胞瘤可能性大,建议mri
作者: lingzihui 时间: 2006-12-30 08:00
1级星形细胞瘤可能性大
作者: 宝天曼 时间: 2006-12-30 14:40
1级星型细胞瘤可能性大,建议mri检查
作者: zjzjr 时间: 2006-12-30 16:44
1级星型细胞瘤的可能性大.
作者: 守望可可 时间: 2006-12-30 17:16
标题: 回复:ct5853:右额叶上部占位请会诊
以下是引用橘子在2006-12-29 18:35:00的发言:[br]1级星型细胞瘤可能性大,建议mri检查
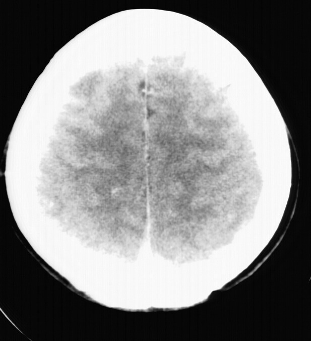
病灶没有明显的强化,支持囊性星形细胞瘤!不过它的形态倒是比较象肉芽肿的,还是做个mri检查吧
作者: wangzhongliang 时间: 2006-12-30 17:21
1级星型细胞瘤的可能性大.
作者: 红樱枪 时间: 2006-12-30 17:27
支持囊性星形细胞瘤!还是做个mri检查排除其它病变。
作者: haha215315 时间: 2006-12-30 17:32
1级星型细胞瘤可能性大,建议mri检查
作者: wqs571018 时间: 2006-12-31 00:53
1级星型细胞瘤可能性大.建议mri
作者: lkc8963 时间: 2006-12-31 18:56
能不能传个骨窗看看?
作者: shibing 时间: 2015-7-16 17:06
1级星型细胞瘤的可能性大.
| 欢迎光临 医影在线 (http://bbs.radida.com/bbs/) |
Powered by Discuz! X3.2 |