医影在线

标题: CT5872:头颅 [打印本页]

作者: 13081830109    时间: 2006-12-31 19:51
标题: CT5872:头颅
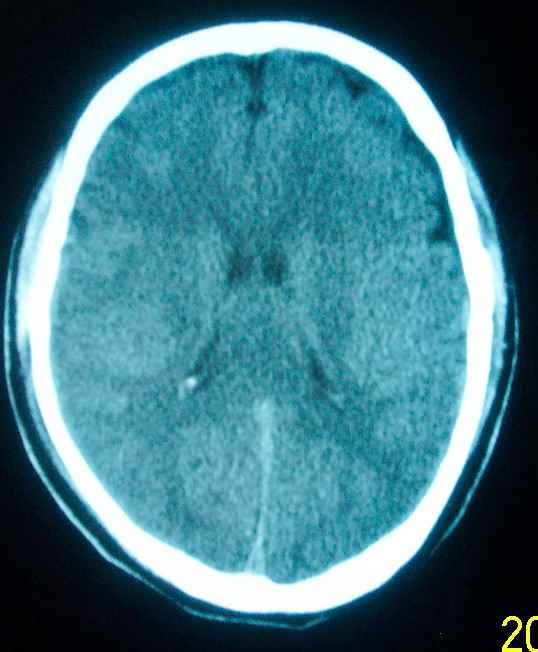
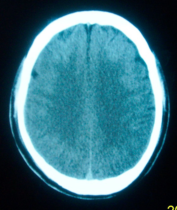
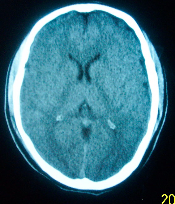
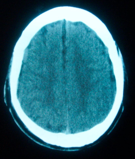
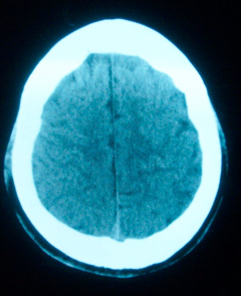
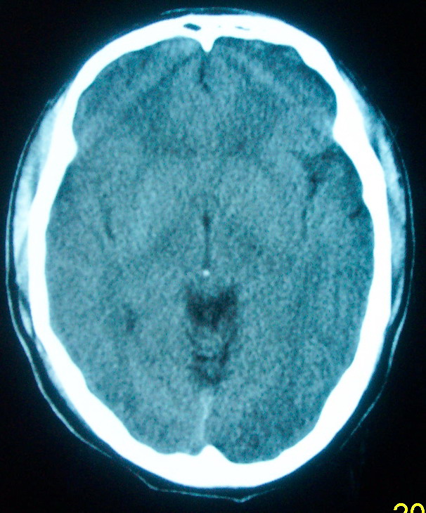
m     29    外伤1天   ct发现左额脑沟异常   请分析








[本贴已被 jiajie 于 2006-12-31 12:59:12 修改过]

作者: xiaoniu    时间: 2006-12-31 19:55
兄弟,鄙人眼拙,没有看出有啥呀!
作者: syfszcw    时间: 2006-12-31 20:09
未见明显异常!请赐教!
作者: wj2039    时间: 2006-12-31 20:46
未见明显异常!
作者: lijifeng5432    时间: 2006-12-31 21:03
未见异常
作者: ssmmxx    时间: 2006-12-31 21:23
未见明显异常!
作者: haha215315    时间: 2006-12-31 21:50
未见明显异常!
作者: dyqct    时间: 2006-12-31 23:23
未见异常。
作者: 卜一    时间: 2006-12-31 23:31
未见异常。
作者: 眼睛    时间: 2006-12-31 23:41
未见异常
只是有点不对称
作者: 清风照影来    时间: 2006-12-31 23:44
未见异常
作者: wangzhongliang    时间: 2007-1-1 01:07
未见异常。
作者: 游侠    时间: 2007-1-1 01:40
未见异常
作者: yang123456    时间: 2007-1-1 02:05
未见异常
作者: 拾荒者    时间: 2007-1-1 02:19
未见异常 。
作者: lsb120    时间: 2007-1-1 02:29
未见异常。
作者: 宝天曼    时间: 2007-1-1 02:45
未见明显异常!
作者: 余辉    时间: 2007-1-1 03:02
去色后再看看?
作者: 同    时间: 2007-1-1 04:20
未见明显异常
作者: zwx    时间: 2007-1-1 05:17
未见异常。
作者: jinguoji    时间: 2007-1-1 05:27
未见异常。
作者: aa811122    时间: 2007-1-1 05:45
????????????????????????????????????????????/
作者: liuyue    时间: 2007-1-1 08:59
未见明显异常,如果可疑巨脑回请做mri
作者: 胡生启    时间: 2007-1-1 16:17
未见外伤性改变
作者: 守望可可    时间: 2007-1-1 16:44
我认为仅仅是左侧额叶脑回局部发育不良,脑沟与蛛网膜下腔略扩大而已没有巨脑回、硬膜下积液等情况。
作者: shibing    时间: 2015-7-19 07:45
未见异常





欢迎光临 医影在线 (http://bbs.radida.com/bbs/) Powered by Discuz! X3.2