医影在线
标题: CT5874:头颅,请会诊 [打印本页]
作者: wangzhongliang 时间: 2007-1-1 00:41
标题: CT5874:头颅,请会诊
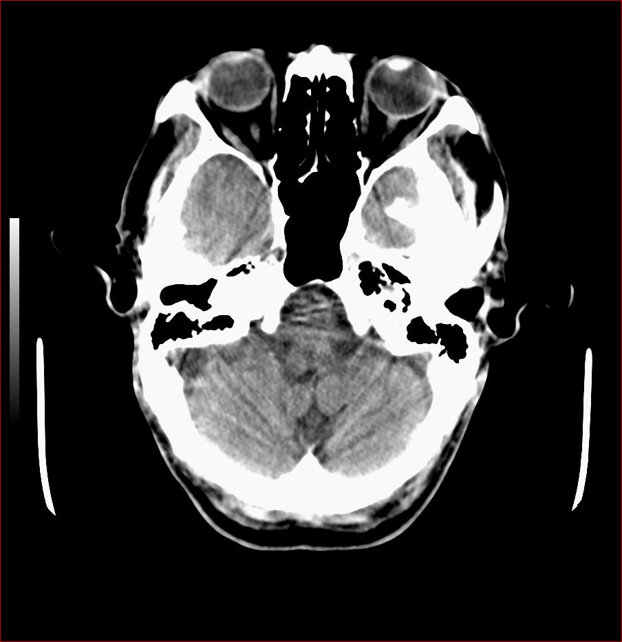
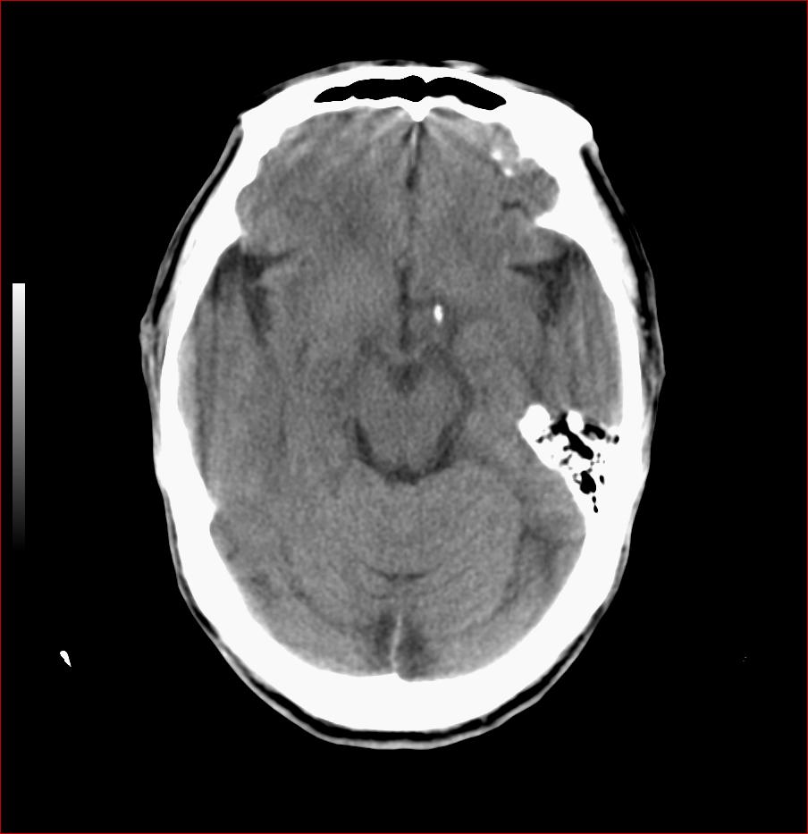
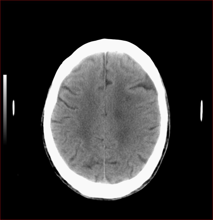
男,84岁,左下肢无力伴口角歪斜1天,血压160/80。请问一下双侧基底节区是脑梗塞吗?












[本贴已被 jiajie 于 2006-12-31 22:01:45 修改过]
作者: 清风照影来 时间: 2007-1-1 00:46
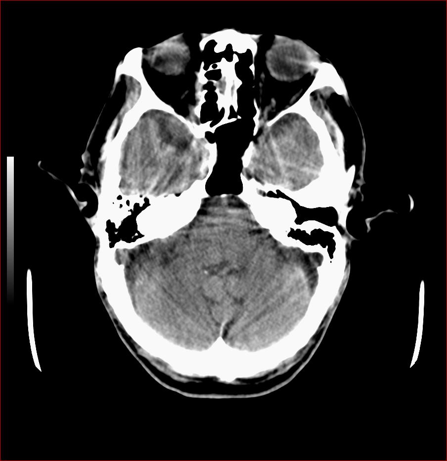
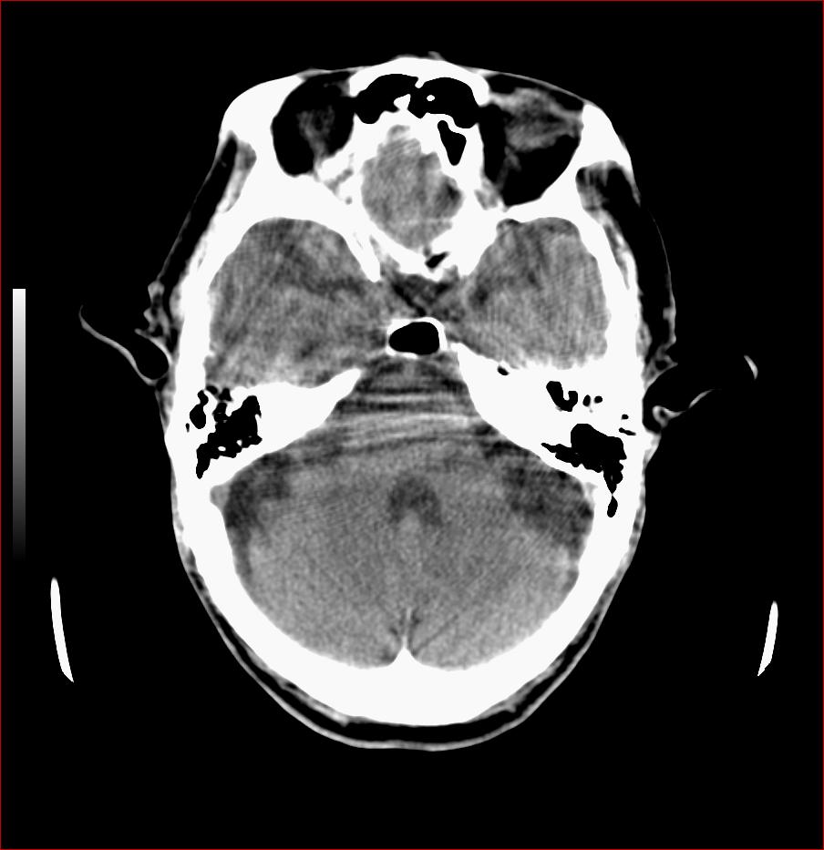
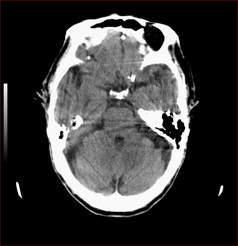
双侧基底节腔梗,脑痿缩
作者: yang123456 时间: 2007-1-1 02:00
基底节区脑梗塞,脑萎缩,左侧小脑脑梗塞
作者: lnlysj13 时间: 2007-1-1 02:20
多发脑梗塞,白质疏松,脑萎缩
作者: 拾荒者 时间: 2007-1-1 02:32
右侧基底节区斑片状低密度影,边缘模糊,结合临床考虑:1.右侧基底节区脑梗塞;2.老年性脑改变。
作者: 余辉 时间: 2007-1-1 02:42
双侧基底节多发腔梗,皮层下动脉硬化性脑病
作者: dyqct 时间: 2007-1-1 03:23
标题: 回复:头颅,请会诊
以下是引用余辉在2006-12-31 18:42:00的发言:[br]双侧基底节多发腔梗,皮层下动脉硬化性脑病
支持!!
作者: 同 时间: 2007-1-1 04:26
双侧基底节区腔隙性脑梗塞.支持.
作者: WJ2039 时间: 2007-1-1 04:35
双侧基底节多发腔梗,皮层下动脉硬化性脑病
作者: kannan 时间: 2007-1-1 04:41
多发腔隙性梗死,轻度小脑萎缩。
作者: 卜一 时间: 2007-1-1 05:07
老年性三联症_多发腔隙性梗死 脑萎缩 脱髓鞘变性.
作者: jinguoji 时间: 2007-1-1 05:21
支持 双侧基底节多发腔梗,皮层下动脉硬化性脑病
作者: 9876543210 时间: 2007-1-1 05:24
双侧基底节多发腔梗,皮层下动脉硬化性脑病
作者: hxchang 时间: 2007-1-1 06:01
双侧基底节多发腔隙性脑梗塞;脑白质蔬松;脑萎缩。
作者: jiangjing 时间: 2007-1-1 08:42
皮层下动脉硬化病
作者: liuyue 时间: 2007-1-1 08:52
支持 双侧基底节多发腔梗,皮层下动脉硬化性脑病
作者: 胡生启 时间: 2007-1-1 16:36
以下是引用余辉在2006-12-31 18:42:00的发言:
双侧基底节多发腔梗,皮层下动脉硬化性脑病
作者: 九九 时间: 2007-1-1 16:48
1.两侧基底节区及右顶深部脑梗塞。2.右侧外囊区脑软化灶。3.脑萎缩。4.脑白质脱髓鞘改变。
作者: 守望可可 时间: 2007-1-1 16:52
标题: 回复:ct5874:头颅,请会诊
以下是引用九九在2007-1-1 8:48:00的发言:[br]1.两侧基底节区及右顶深部脑梗塞。2.右侧外囊区脑软化灶。3.脑萎缩。4.脑白质脱髓鞘改变。
比较全面,支持小九九!
作者: jacsibank 时间: 2007-1-1 16:56
双侧基底节多发性脑梗塞,皮层动脉硬化下脑病,脑萎缩.
作者: haha215315 时间: 2007-1-1 17:11
右侧基底节区斑片状低密度影,边缘模糊,结合临床考虑:1.右侧基底节区脑梗塞;2.老年性脑改变
作者: radio8201 时间: 2007-1-1 18:46
多发腔梗
作者: zjzjr 时间: 2007-1-1 21:53
双侧基底节腔梗,脑痿缩
作者: tao772 时间: 2007-1-1 22:05
支持三楼
作者: wqs571018 时间: 2007-1-1 22:45
1.双基底节区及双顶深部脑梗塞;2.右外囊区软化灶;3.皮层下动脉硬化性脑病.
作者: zyx168 时间: 2007-1-2 00:26
标题: 回复:ct5874:头颅,请会诊
1,双侧基底节多发腔梗,2,皮层下动脉硬化性脑病
作者: 橘子 时间: 2007-1-2 01:16
1 两侧基底节区脑梗塞;
2 右侧壳核区脑软化灶;
3 脑白质脱髓鞘;
4 脑萎缩。
作者: shibing 时间: 2015-7-19 07:44
多发腔隙性梗死,轻度小脑萎缩。
| 欢迎光临 医影在线 (http://bbs.radida.com/bbs/) |
Powered by Discuz! X3.2 |