医影在线
标题: CT5994:[原创]上腹部CT平扫+增强 [打印本页]
作者: wpf 时间: 2007-1-10 17:54
标题: CT5994:[原创]上腹部CT平扫+增强
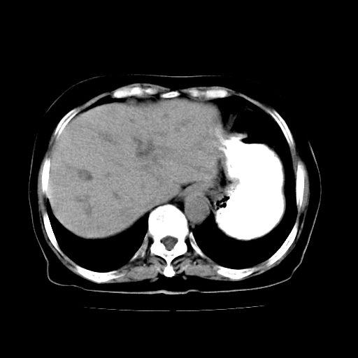
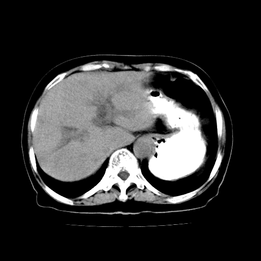
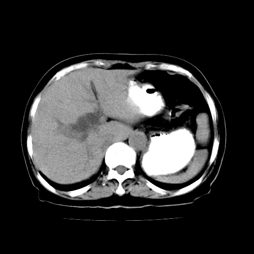
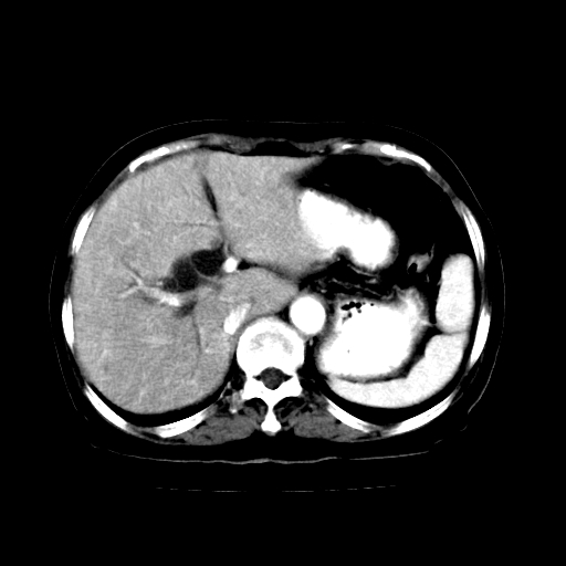
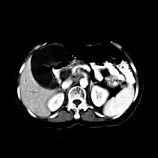
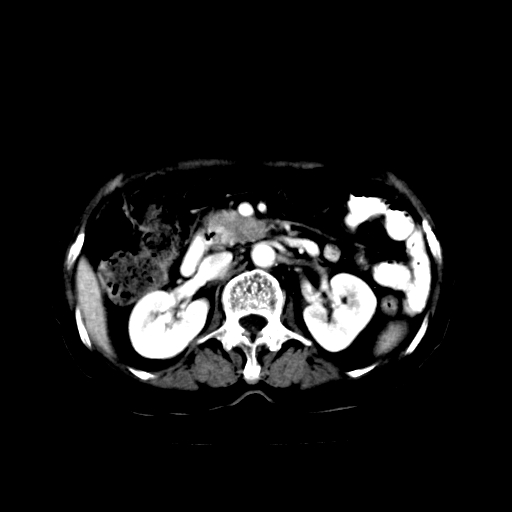
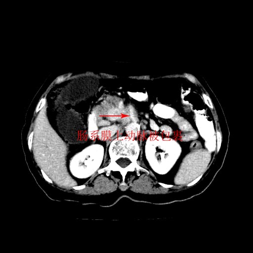
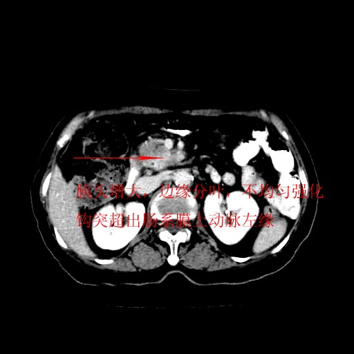
女,74岁,上腹部不适、腹胀两月余,黄染四天。请大家看看肿块周围血管情况。








































[本贴已被 wpf 于 2007-1-10 11:37:17 修改过]
[本贴已被 jiajie 于 2007-1-10 20:16:49 修改过]
作者: xiaoqvnmin 时间: 2007-1-10 18:28
肝内外胆管增粗,梗阻点位于胰头部,胰头增大,轻度不均性强化(较正常胰腺强化低,胰体尾呈退化';羽毛状';),孝虑为胰头ca.
作者: 卜一 时间: 2007-1-10 18:44
标题: 回复:[原创]上腹部ct平扫+增强
肝内外胆管 胆囊及胆总管明显扩张,胆总管末端逐渐变细,并见不规则软组织肿块,明显强化.考虑:胆总管末端占位_首先考虑胆总管癌.

作者: qiuleiyu 时间: 2007-1-10 20:19
支持胰头癌伴胆总管及肝内胆管扩张.
作者: zyx168 时间: 2007-1-10 20:31
考虑胆管下段癌伴肝内外胆管及胆囊扩张,
作者: liuyue 时间: 2007-1-10 21:21
肝内外胆管和胰管扩张,胆囊明显增大,胰头外形增大,无强化,考虑:胰头癌伴肝内外胆管、胆囊扩张积液。
作者: 小桥流水 时间: 2007-1-10 21:43
caroli氏病?
作者: hhcckk 时间: 2007-1-10 22:46
标题: 回复:[原创]上腹部ct平扫+增强

作者: 乡医 时间: 2007-1-10 22:52
支持楼上
作者: dyqct 时间: 2007-1-10 23:27
标题: 回复:[原创]上腹部ct平扫+增强
以下是引用hhcckk在2007-1-10 14:46:00的发言:[br]
[br]
支持!另外还有胆囊积水。
作者: wqs571018 时间: 2007-1-10 23:39
胰头癌伴肝内外胆管扩张,胆囊积液.
作者: 拾荒者 时间: 2007-1-11 04:23
肝内外胆管和胰管扩张,胆囊明显增大,胰头外形增大,无强化,考虑:胰头癌伴肝内外胆管、胆囊扩张积液。
作者: 晓杰 时间: 2007-1-11 04:34
标题: 回复:ct5994:[原创]上腹部ct平扫+增强
以下是引用hhcckk在2007-1-10 14:46:00的发言:[br]
[br]
作者: 余辉 时间: 2007-1-11 04:59
肝内外胆管增粗,梗阻点位于胰头部,胰头增大不均性明显强化,胰体尾部萎缩,胰管显影,虑为胰头ca.
作者: 行云有影 时间: 2007-1-11 17:30
肝内外胆管及胆囊扩张,胰管扩张,但“双管征”不明显,胆总管下段内见软组织有强化影,肠系膜上静脉推移不是很明显,考虑胆总管下段癌可能大。
作者: 宝天曼 时间: 2007-1-12 05:52
胰头癌伴肝内外胆管扩张,胆囊积液.
作者: 求知若渴 时间: 2007-1-13 04:57
标题: 回复:ct5994:[原创]上腹部ct平扫+增强


胆总管.胰管扩张
胰头癌
作者: 老爱克斯 时间: 2007-1-13 05:25
胆囊胆总管扩张,胰头与十二指肠间似有一软组织密度灶,胰头增强不均,1壶腹癌,2胰头癌
作者: 老爱克斯 时间: 2007-1-13 05:27
胆囊胆总管扩张,胰头与十二指肠间似有一软组织密度灶,胰头增强不均,1壶腹癌,2胰头癌
| 欢迎光临 医影在线 (http://bbs.radida.com/bbs/) |
Powered by Discuz! X3.2 |