医影在线

标题: CT6011:[讨论][原创]右上腹包块,左肝占位 [打印本页]

作者: venzasy    时间: 2007-1-11 22:22
标题: CT6011:[讨论][原创]右上腹包块,左肝占位
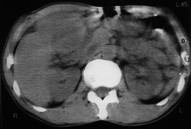
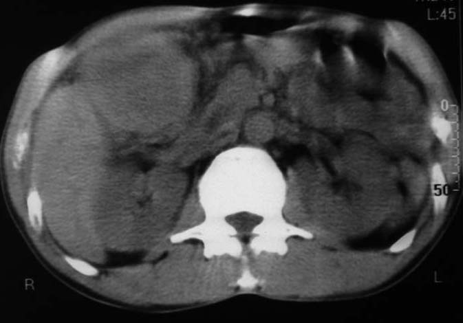
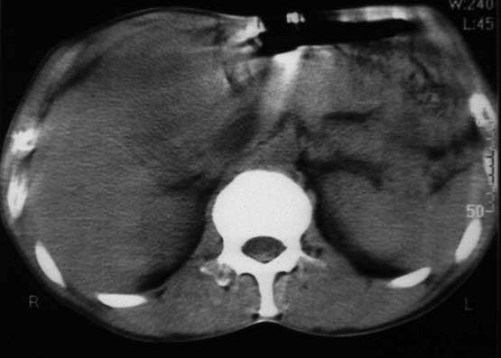
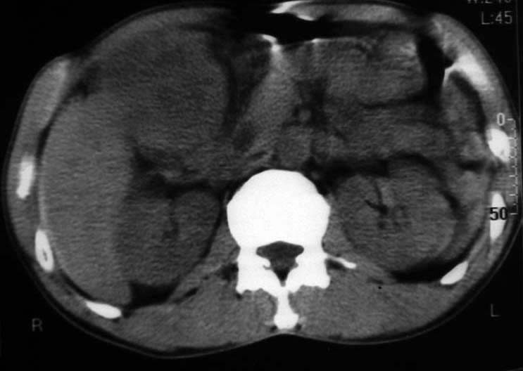
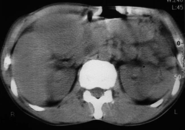
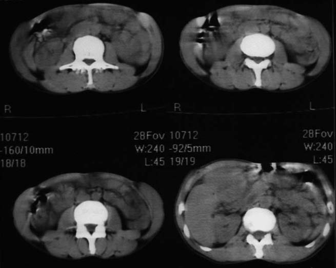
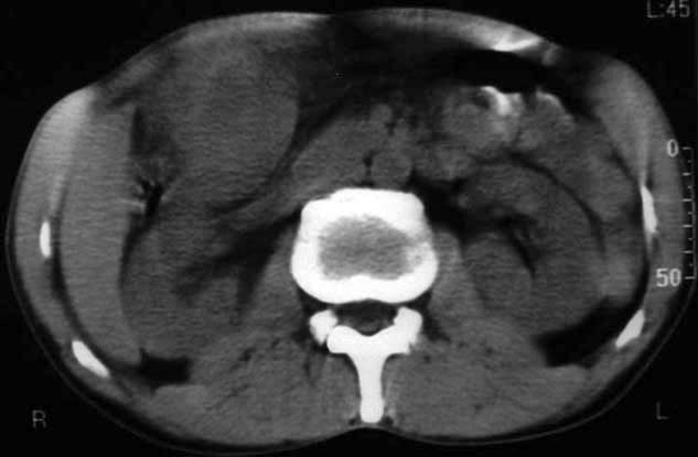
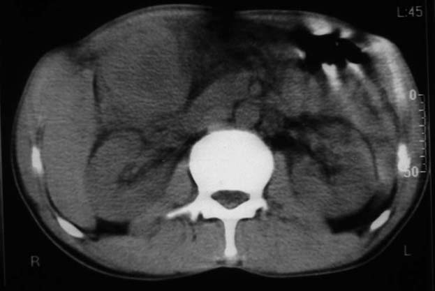
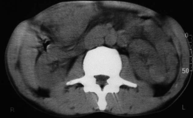
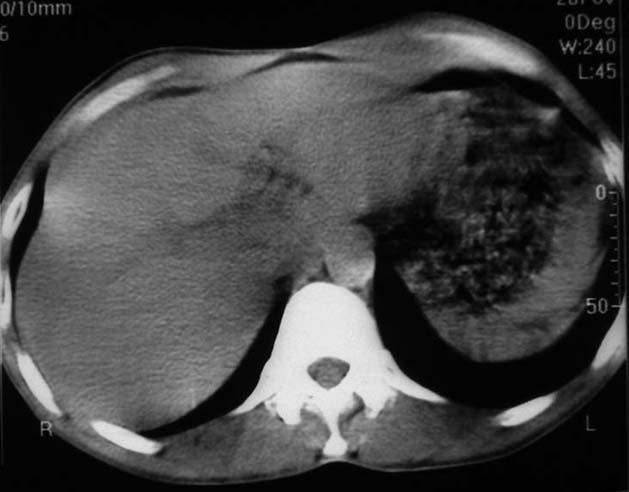
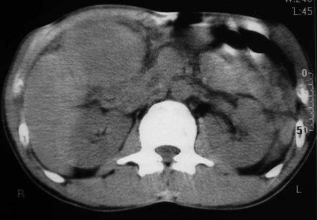
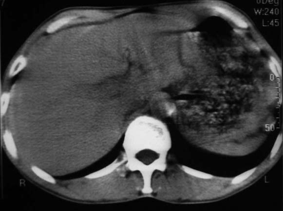
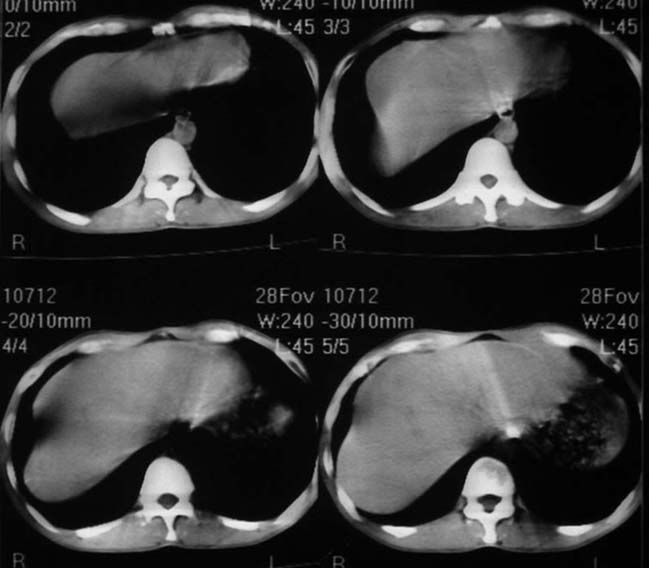
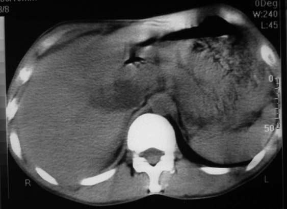
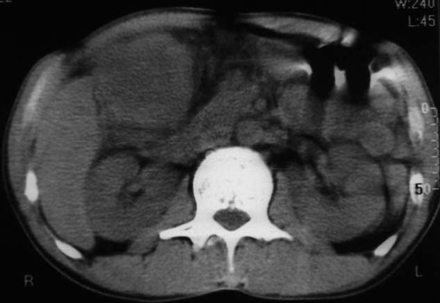
男,50y,右上腹包块痛10天,查:右上腹饱满,右肋下触及6*6cm大小包块,质硬,压痛。患者诉:10天前感冒胸闷,痛,后痛及右上腹部,既往有肝炎病史。























[本贴已被 jiajie 于 2007-1-11 19:38:50 修改过]

作者: dyqct    时间: 2007-1-11 23:00
没有增强!只能考虑左叶内侧段巨块型肝癌(外生型)可能性大;胆囊呢?不除外胆囊癌累及肝脏。
作者: 晓杰    时间: 2007-1-11 23:04
支持楼上分析:左叶内侧段巨块型肝癌(外生型)可能性大
作者: 卜一    时间: 2007-1-11 23:15
支持楼上分析:左叶内侧段巨块型肝癌(外生型)可能性大
建议增强.
作者: zjzjr    时间: 2007-1-12 01:03
没有增强!只能考虑左叶内侧段巨块型肝癌(外生型)可能性大;胆囊呢?不除外胆囊癌累及肝脏
作者: xyqh2006    时间: 2007-1-12 01:15
我倒是先考虑胆囊癌(肿块型)肝脏受侵可能性大,做个c+
作者: xiaoqvnmin    时间: 2007-1-12 01:20
胆囊癌可能........6秒一层,精神可佳
作者: w_jianhua    时间: 2007-1-12 02:00
病变位于胆囊窝内,其内密度不均,肝总管及胆总管扩张,胃里面没有清水充盈,不解为什么楼主不做好了准备再做呢,支持:“左叶内侧段巨块型肝癌(外生型)可能性大;不除外胆囊癌累及肝脏”建议增强吧。
作者: venzasy    时间: 2007-1-12 02:12
标题: 回复:[讨论][原创]右上腹包块,左肝占位
谢谢各位老师的指导学生还有几处不明白,请教。



作者: meng-msp001    时间: 2007-1-12 02:12
没有增强!只能考虑左叶内侧段巨块型肝癌(外生型)可能性大;胆囊呢?不除外胆囊癌累及肝脏
作者: 捉水    时间: 2007-1-12 02:19
没有增强,恐怕只能说是有占位性病变。
上过当,学乖了
作者: wqs571018    时间: 2007-1-12 02:34
考虑:肝左内叶巨块型癌,主动脉旁淋巴结转移.(有一层面似见胆囊受压.)
作者: 高相    时间: 2007-1-12 02:44
支持一楼的分析
作者: 宝天曼    时间: 2007-1-12 04:18
考虑:
     左叶内侧段巨块型肝癌(外生型)可能性大
作者: 拾荒者    时间: 2007-1-12 04:26
标题: 回复:ct6011:[讨论][原创]右上腹包块,左肝占位
以下是引用w_jianhua在2007-1-11 18:00:00的发言:[br]病变位于胆囊窝内,其内密度不均,肝总管及胆总管扩张,胃里面没有清水充盈,不解为什么楼主不做好了准备再做呢,支持:“左叶内侧段巨块型肝癌(外生型)可能性大;不除外胆囊癌累及肝脏”建议增强吧。

支持。
作者: mengyi20    时间: 2007-1-12 04:40
首先考虑左叶内侧段巨块型肝癌(外生型),建议c+
作者: 朱磊    时间: 2007-1-12 04:59
没有增强!只能考虑左叶内侧段巨块型肝癌(外生型)可能性大
作者: wxy7406    时间: 2007-1-12 05:09
我跟认为胆囊病变的可能性大,肠道准备不好,带来相关解剖结构的部位清晰。
作者: 狙击手    时间: 2007-1-12 06:11
胆囊ca的可能性较大
作者: venzasy    时间: 2007-1-13 02:32
患者做完之后就走了,不愿做增强,也无法追踪病史真是抱歉。




欢迎光临 医影在线 (http://bbs.radida.com/bbs/) Powered by Discuz! X3.2