医影在线
标题: CT6016:讨论一下这是什么 [打印本页]
作者: 辽西 时间: 2007-1-11 23:44
标题: CT6016:讨论一下这是什么
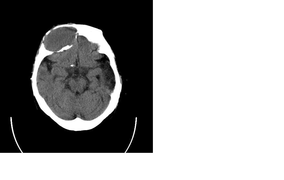
女,77岁,渐进性突眼2年,无其他明显症状


















[本贴已被 jiajie 于 2007-1-11 19:40:18 修改过]
作者: xclzq_910 时间: 2007-1-12 00:21
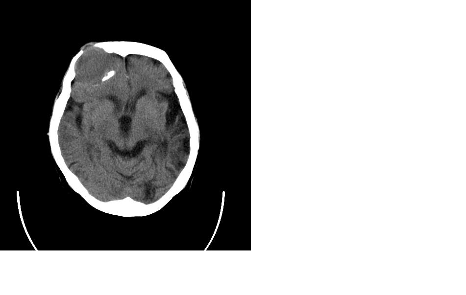
病变位于起源于右侧筛窦,右侧眼球受压移位,右侧大脑半球额叶白质受压塌陷,水肿不明显.额骨呈压迫性骨质吸收变薄.考虑脑膜瘤,建议增强吧
作者: 卜一 时间: 2007-1-12 00:22
右侧额部软组织密度肿块,界限不清,明显向前下方增长,占位效应明显,内见钙化,局部颅骨明显吸收.考虑:右额叶脑膜瘤.建议:增强
作者: 小桥流水 时间: 2007-1-12 00:31
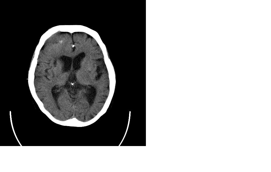
右额窦粘液囊肿,向前累及筛窦并进入眼眶使眼球前突;向下进入颅内右额叶脑质及侧脑室受压
作者: xiaoqvnmin 时间: 2007-1-12 00:39
病变应起源于右侧额窦/或额骨板障,肿块周围骨包壳尚完整,呈膨胀挤压改变,右侧眼球受压移位,右侧大脑半球额叶白质受压塌陷,水肿不明显.考虑为良性病变,骨纤维瘤/或骨嗜酸性肉芽肿? 建议增强吧
作者: only 时间: 2007-1-12 00:49
我也考虑,黏液囊肿.
向前、后破坏颅骨,向后进入颅内,下破坏眶上板进入眶窝,压迫眼球前移,向前内破坏筛窦。
我认为做mri检查。对定位,切结合ct定性有一定帮助。
作者: dyqct 时间: 2007-1-12 00:50
标题: 肿瘤
支持:病变的起源我乐意定在右额窦。右额窦粘液囊肿或粘液腺癌累及筛窦、眼眶使眼球前突;向下进入颅内右额叶脑质及侧脑室受压变形。
[本贴已被 dyqct 于 2007-1-11 16:53:23 修改过]
作者: xyqh2006 时间: 2007-1-12 01:03
标题: [原创]
右侧筛窦类圆形实质性肿块向颅内呈膨胀性生长,边缘较为光滑,其内似见囊性低密度影,边缘骨壁受压变薄移位,部分骨质缺损破坏
考虑为神经鞘瘤可能性大,建议c+
[本贴已被 xyqh2006 于 2007-1-11 17:05:08 修改过]
作者: zjzjr 时间: 2007-1-12 02:04
额骨右侧呈明显膨胀性骨质破坏,内外板明显变薄.考虑骨巨细胞瘤或动脉瘤样骨囊肿的可能性大。
作者: wqs571018 时间: 2007-1-12 02:36
标题: 回复:讨论一下这是什么
以下是引用卜一在2007-1-11 16:22:00的发言:[br]右侧额部软组织密度肿块,界限不清,明显向前下方增长,占位效应明显,内见钙化,局部颅骨明显吸收.考虑:右额叶脑膜瘤.建议:增强
作者: 黑金 时间: 2007-1-12 03:10
只想到了脑膜瘤 期待结果
作者: 火眼 时间: 2007-1-12 03:37
综合大家意见:脑膜瘤
作者: 宝天曼 时间: 2007-1-12 04:34
脑膜瘤 期待结果
作者: 老爱克斯 时间: 2007-1-12 05:28
起原右筛窦或额窦肿块有骨质破坏,1粘液囊肿,2纤维血管瘤待除外.
作者: 胡生启 时间: 2007-1-12 05:32
病变应起源于右侧额窦/或额骨板障,肿块周围骨包壳尚完整,呈膨胀挤压改变,右侧眼球受压移位,右侧大脑半球额叶白质受压塌陷,水肿不明显.考虑为良性病变,骨纤维瘤/或骨嗜酸性肉芽肿? 建议增强吧
作者: mengyi20 时间: 2007-1-12 05:45
\\起原右筛窦或额窦肿块有骨质破坏,1粘液囊肿,2纤维血管瘤待除外.
支持!!
作者: 拾荒者 时间: 2007-1-12 06:50
标题: 回复:ct6016:讨论一下这是什么
以下是引用xiaoqvnmin在2007-1-11 16:39:00的发言:[br]病变应起源于右侧额窦/或额骨板障,肿块周围骨包壳尚完整,呈膨胀挤压改变,右侧眼球受压移位,右侧大脑半球额叶白质受压塌陷,水肿不明显.考虑为良性病变,骨纤维瘤/或骨嗜酸性肉芽肿? 建议增强吧
作者: 狙击手 时间: 2007-1-12 06:56
支持楼上
作者: jiangjing 时间: 2007-1-12 09:06
病变应起源于右侧额窦/或额骨板障,肿块周围骨包壳尚完整,呈膨胀挤压改变,右侧眼球受压移位,右侧大脑半球额叶白质受压塌陷,水肿不明显.考虑为良性病变,额窦囊肿或皮样囊肿类,骨嗜酸性肉芽肿? 建议增强吧
作者: qyyjh 时间: 2007-1-12 16:37
还是考虑黏液囊肿可能大,而且比较典型的表现
作者: liaoqiang 时间: 2007-1-12 17:43
考虑额窦粘液囊肿。
作者: wang20017 时间: 2007-1-12 17:55
考虑额窦粘液囊肿,期待结果
作者: sdllxu 时间: 2007-1-12 18:04
定位:来源右额窦。定性:良性占位—额窦黏液囊肿。理由1、病灶中心位于右额窦区,侵及筛窦并向下向前压迫眼球2、骨质呈膨胀性改变,骨质弓形变薄但骨壳完整,如为恶性骨质应为侵蚀性破坏3、黏液囊肿好发于筛窦、额窦。
作者: ctkz987 时间: 2007-1-12 18:55
支持病变来源右侧额窦考虑骨纤维瘤或粘液囊腺瘤。
| 欢迎光临 医影在线 (http://bbs.radida.com/bbs/) |
Powered by Discuz! X3.2 |