医影在线
标题: DSA0070:棘手的肝癌,不得已的选择! [打印本页]
作者: lzdyjg 时间: 2007-1-12 08:14
标题: DSA0070:棘手的肝癌,不得已的选择!
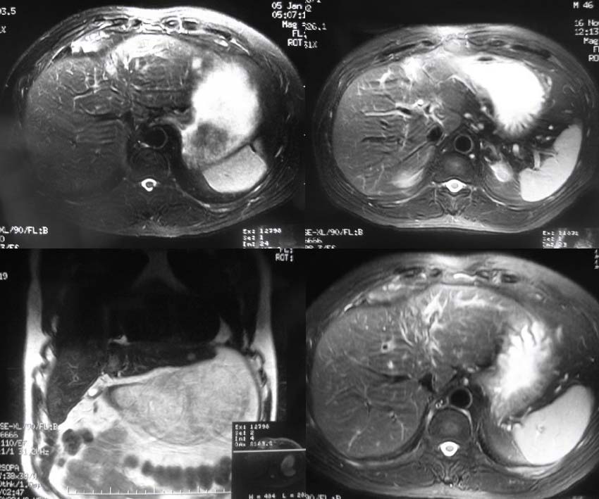
男性46岁,2005年5月份因原发性肝癌在上海中山医院手术,术后2个月即在手术周围新生肿瘤组织,在我院行介入治疗,治疗后5个月后随访在栓塞病灶的周围再次出现新病灶,患者再次奔赴中山医院手术,术后8个月复查afp升高,于我院先后两次介入治疗,06年11月mr复查未见复发病灶,07年复查即发现新病灶(见mr片),本次介入术中欲分别超选肝左和肝右动脉,但超选择左肝动脉失败,缘由是从肝固有动脉发出后突然转向左下方,同时轻度旋转,为确保疗效,故采取不得已的办法:栓塞胃十二指肠动脉.
mr图像:

介入过程:



前几次介入图像待传
[本贴已被 翁志蓬 于 2007-1-12 0:35:15 修改过]
作者: zjzjr 时间: 2007-1-12 22:31
一般术后病人或多次tae后再介入治疗比较麻烦,此病人造影见肝固有动脉明显变细,分支减少(术后改变),肝左动脉呈直角从肝固有动脉发出,给超选择带来困难.可通过两种方法试解决.第1种就是楼主采用的方法,用钢圈或明胶海绵进行栓塞治疗.第二种就是采用3fsp微导管超选择治疗.两种方法相比第一种更经济。
作者: lzdyjg 时间: 2007-1-13 09:49
标题: 回复:dsa0070:棘手的肝癌,不得已的选择!
以下是引用zjzjr在2007-1-12 14:31:00的发言:[br]一般术后病人或多次tae后再介入治疗比较麻烦,此病人造影见肝固有动脉明显变细,分支减少(术后改变),肝左动脉呈直角从肝固有动脉发出,给超选择带来困难.可通过两种方法试解决.第1种就是楼主采用的方法,用钢圈或明胶海绵进行栓塞治疗.第二种就是采用3fsp微导管超选择治疗.两种方法相比第一种更经济。
此病例采用了微导管,由于胃十二指肠动脉与肝左动脉相隔很近,肝内血管分支又很细小,故出现释放碘化油时返流明显,因而采取了胃十二指肠动脉栓塞.

[本贴已被 lzdyjg 于 2007-1-13 1:50:14 修改过]
作者: zyx168 时间: 2007-1-16 18:24
谢谢楼主!学习了!
作者: jinguoji 时间: 2007-6-17 23:49
学习了!
作者: dr.yang 时间: 2012-10-10 21:40
学习了!
| 欢迎光临 医影在线 (http://bbs.radida.com/bbs/) |
Powered by Discuz! X3.2 |