医影在线

标题: CT6056:脑出血(血管畸形?) [打印本页]

作者: glyy    时间: 2007-1-14 00:30
标题: CT6056:脑出血(血管畸形?)
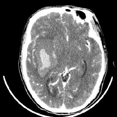
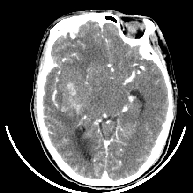
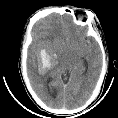
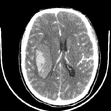
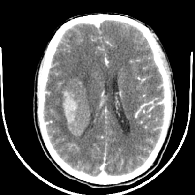
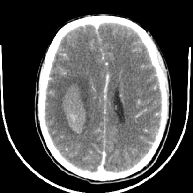
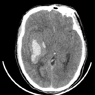
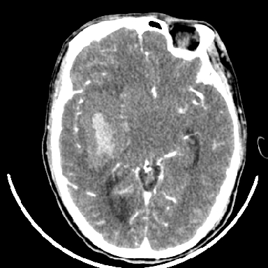
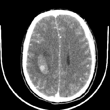
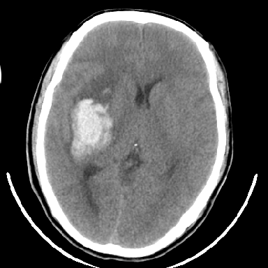
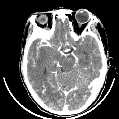
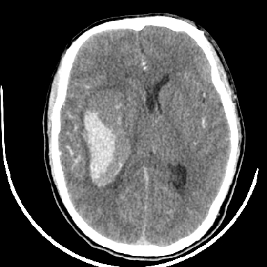
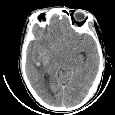
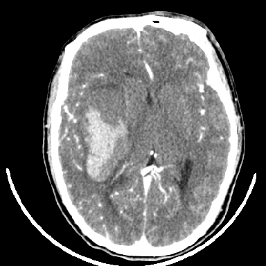
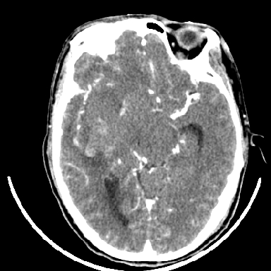
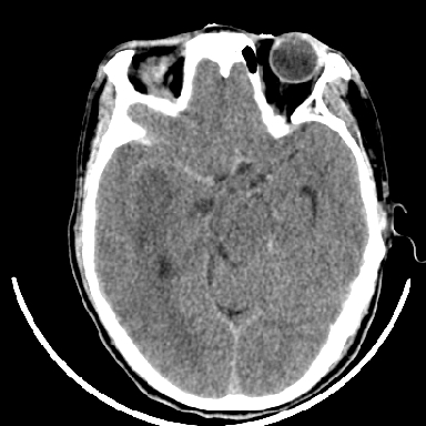
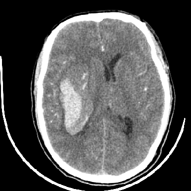
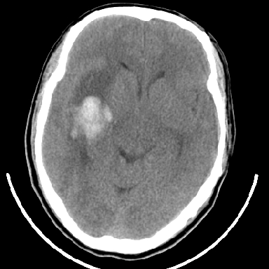
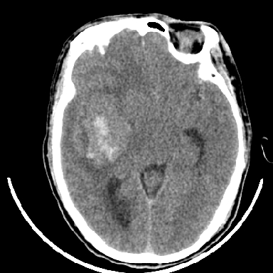
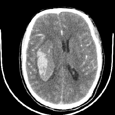
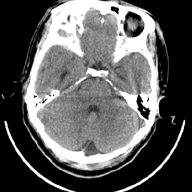
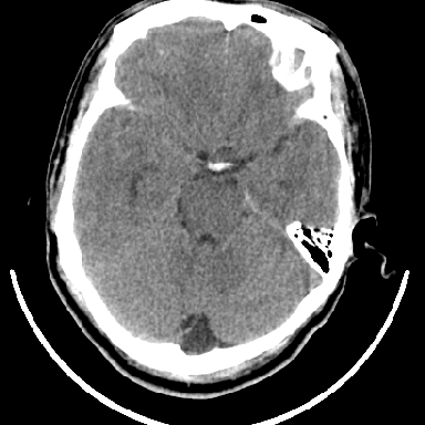
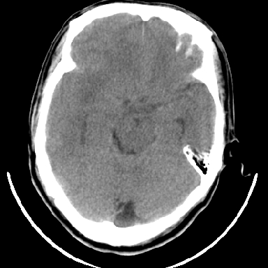
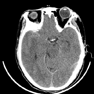
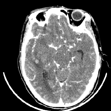
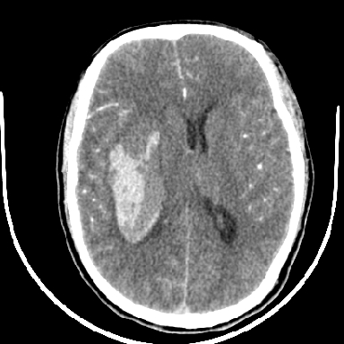
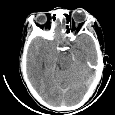
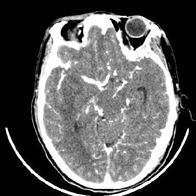
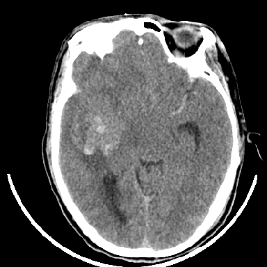
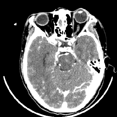
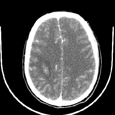
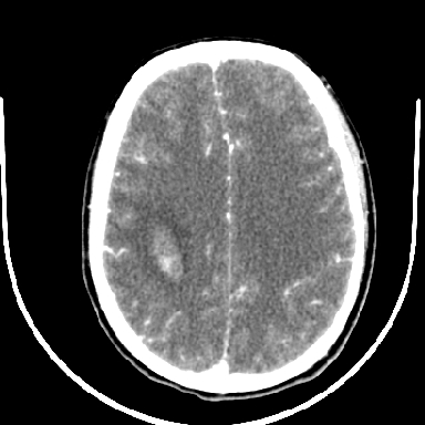
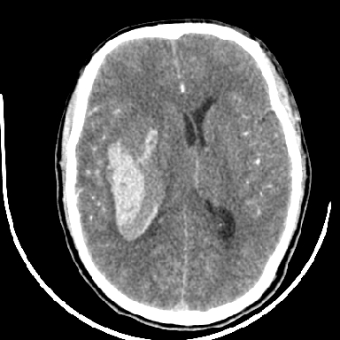
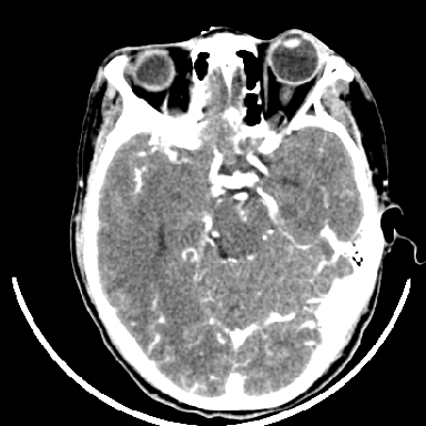
m 40突发头痛左侧偏瘫3小时







































































[本贴已被 jiajie 于 2007-1-13 18:51:12 修改过]

作者: 医博云天    时间: 2007-1-14 01:17
胶质母细胞瘤可能性大
作者: 卜一    时间: 2007-1-14 01:36
瘤卒中
作者: 黑金    时间: 2007-1-14 03:01
脑出血
作者: 林林林    时间: 2007-1-14 03:06
支持胶质瘤并出血
作者: zhangchunxi    时间: 2007-1-14 03:15
有没有高血压等病史?还是象脑出血
作者: hhcckk    时间: 2007-1-14 03:56
标题: 回复:ct6056:脑出血(血管畸形?)

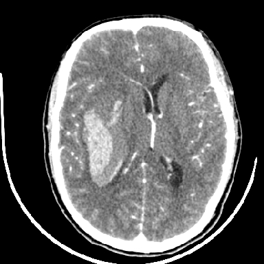
考虑高血压性脑出血,依据:
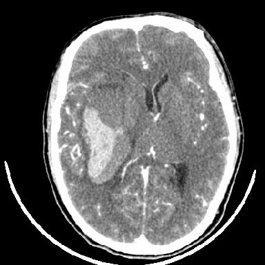
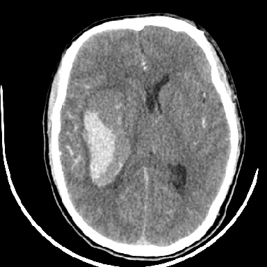
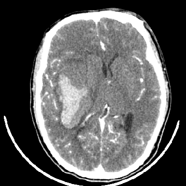
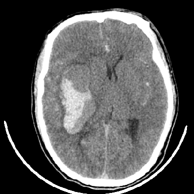
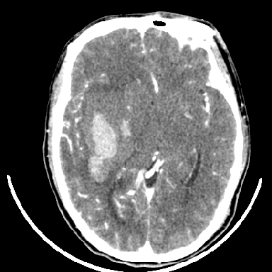
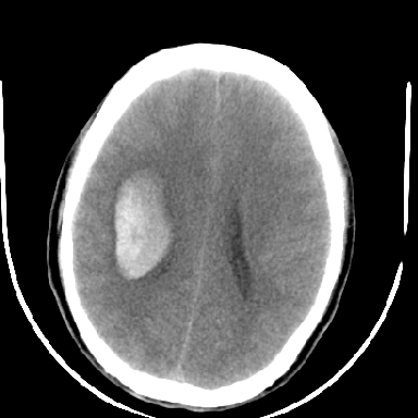
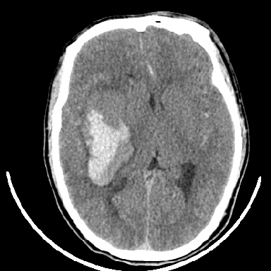
1是高血压性脑出血的好发部位,形态呈肾形,是高血压性脑出血的常见形状
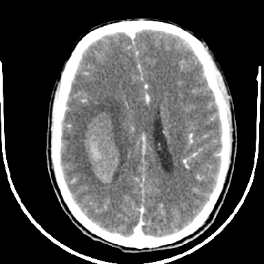
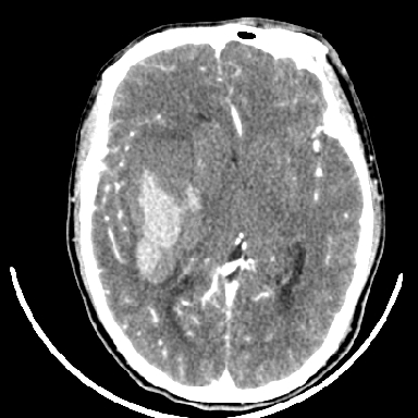
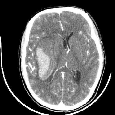
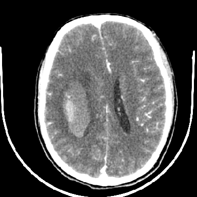
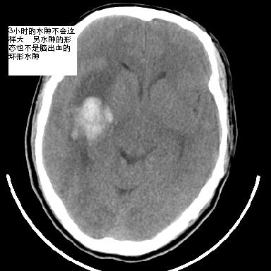
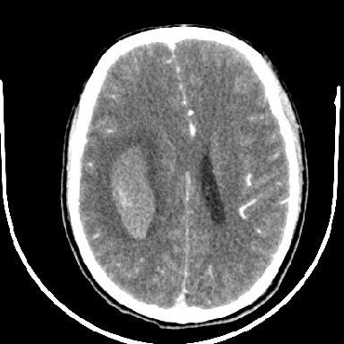
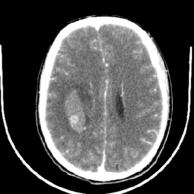
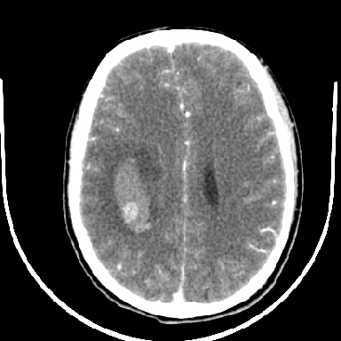
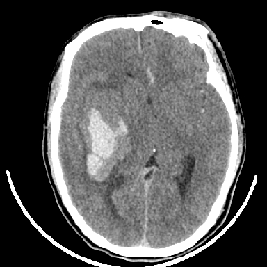
2增强时占位效应加重了,考虑出血还没有停止
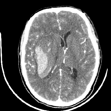
3病灶周围水肿不是太厉害,一般肿瘤出血水肿多非常明显
4病灶周围的‘软组织’影没有明显的强化
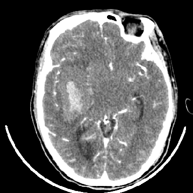
5至于脑血管畸形引起的出血,暂时没有看到明显的畸形血管影,也不太支持
作者: 13081830109    时间: 2007-1-14 03:58
标题: 回复:ct6056:脑出血(血管畸形?)

作者: 同    时间: 2007-1-14 04:21
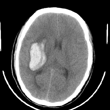
支持右侧基底节脑出血
作者: wj2039    时间: 2007-1-14 04:31
右侧基底节区脑出血.
作者: dyqct    时间: 2007-1-14 04:36
支持右侧基底节区(主要为外囊区)原发性脑出血。
作者: 天南地北    时间: 2007-1-14 05:06
支持右侧基底节区(主要为外囊区)原发性脑出血
作者: 如醉卧风    时间: 2007-1-14 05:41
标题: 回复:ct6056:脑出血(血管畸形?)
以下是引用林林林在2007-1-13 19:06:00的发言:[br]支持胶质瘤并出血

作者: jiangjing    时间: 2007-1-14 06:42
支持右侧基底节区(主要为外囊区)原发性脑出血----有无血管畸形及动脉瘤或说出血原因待查
作者: 拾荒者    时间: 2007-1-14 07:01
支持右侧基底节区(主要为外囊区)原发性脑出血----有无血管畸形及动脉瘤或说出血原因待查。
作者: 中山医    时间: 2007-1-14 07:09
标题: 回复:ct6056:脑出血(血管畸形?)
以下是引用拾荒者在2007-1-13 23:01:00的发言:[br]支持右侧基底节区(主要为外囊区)原发性脑出血----有无血管畸形及动脉瘤或说出血原因待查。

但脑出血早期做增强是不是有点太冒险了?
作者: wnlyq8688    时间: 2007-1-14 07:29
右侧基底节区脑出血.
作者: 郭亮    时间: 2007-1-14 08:33
支持7楼
作者: 守望可可    时间: 2007-1-14 09:15
标题: 回复:ct6056:脑出血(血管畸形?)

另附部分资料:“血液溢出血管外形成血肿,其内含有大量血红蛋白、血浆白蛋白,球蛋白,因这些蛋白对x线的吸收系数高于脑质,故ct呈现高密度阴影,ct值达40~90h,最初高密度灶呈非均匀一致性,中心密度更高,新鲜出血灶边缘不清。基底节区血肿多为“肾”型,内侧凹陷,外侧膨隆,因外侧裂阻力较小,故向外凸,其它部位血肿多呈尖圆形或不规则形”
作者: tanjiuzhe313    时间: 2007-1-14 09:55
支持守望可可西里老师的看法有理有据这种认真的态度值得学习。
作者: glyy    时间: 2007-1-14 16:50
标题: 回复:ct6056:脑出血(血管畸形?)
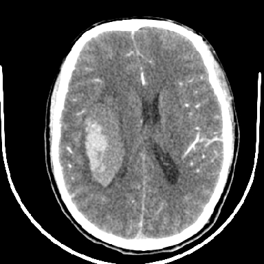
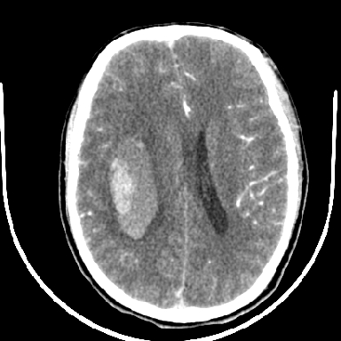
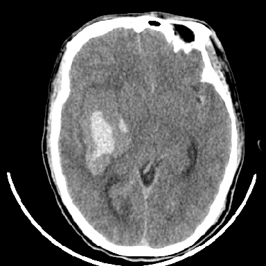
术中抽出40ml陈旧血液,血肿底部似见一条索血管影
作者: wangjj555    时间: 2007-1-14 18:16
支持守望可可西里老师的看法有理有据这种认真的态度值得学习。
作者: 光线    时间: 2007-1-15 07:35
支持脑出血,赶快手术吧。
作者: dr.yang    时间: 2008-11-19 07:05
支持19楼这样的分析。




欢迎光临 医影在线 (http://bbs.radida.com/bbs/) Powered by Discuz! X3.2