医影在线
标题: DSA0073:肝转移性肿瘤、肝血管瘤DSA影像 [打印本页]
作者: lzdyjg 时间: 2007-1-17 02:57
标题: DSA0073:肝转移性肿瘤、肝血管瘤DSA影像
(结果公布:http://www.radida.com/bbs/forum.php?mod=viewthread&tid=20392)
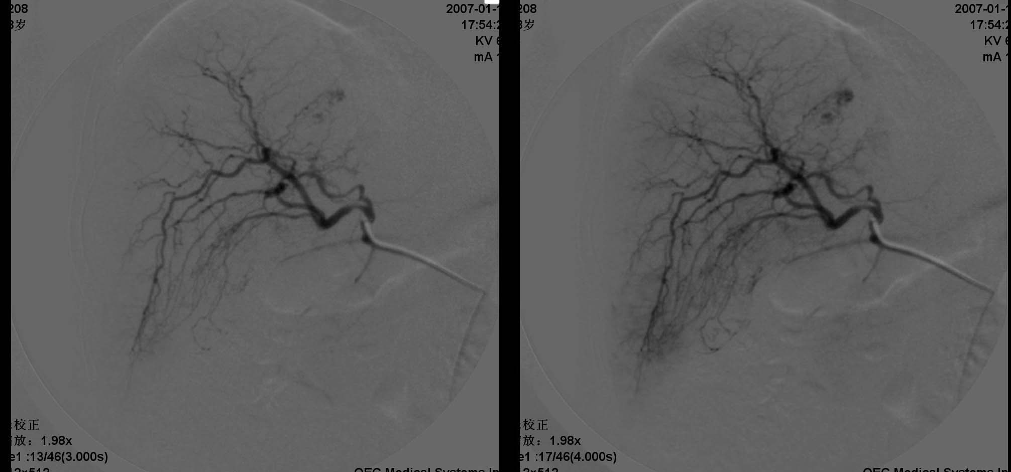
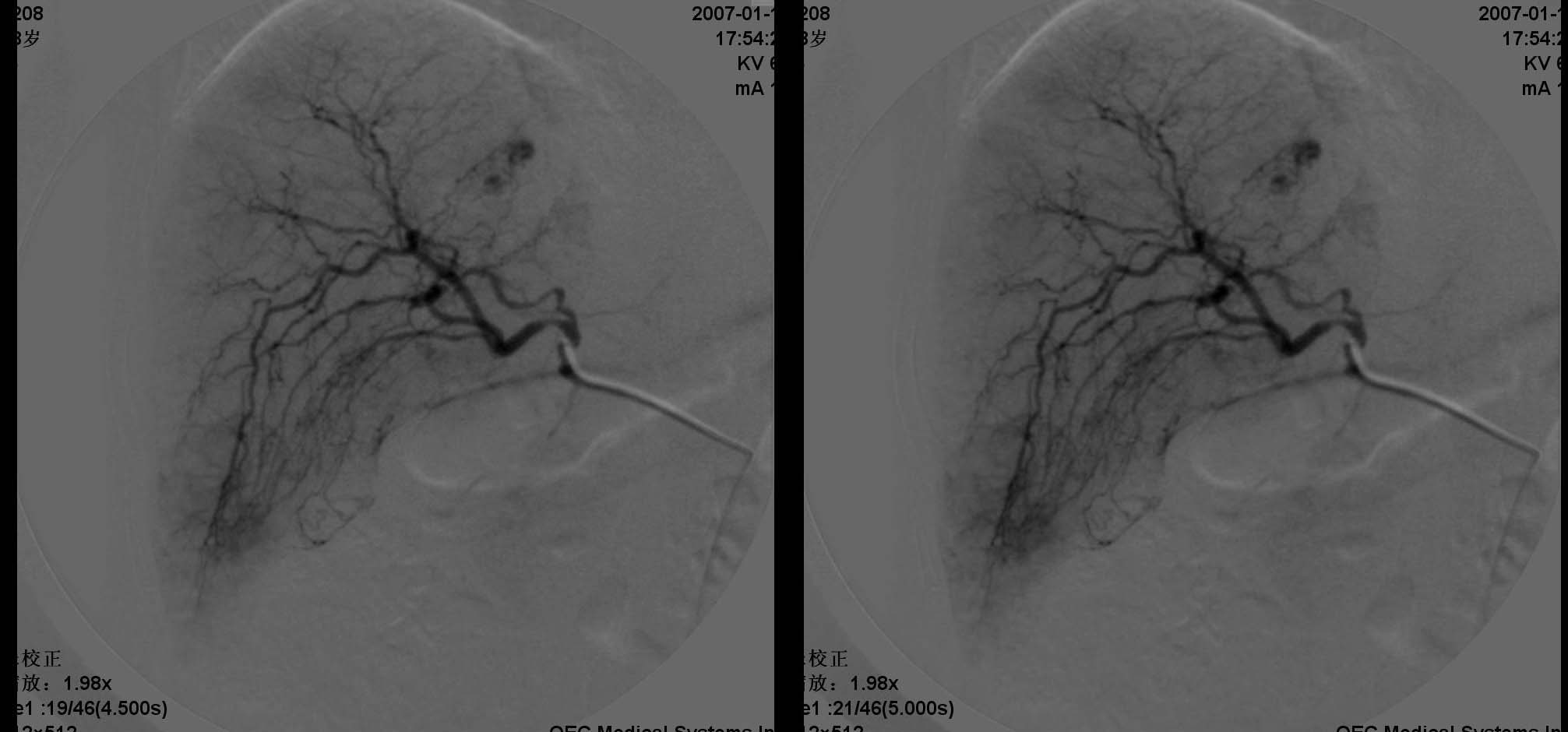
患者男性,38岁,因血便4天入院.查体:神请,颈无抵抗,心肺听诊无异常.腹部平软,肝肋下两指,轻度扣击痛,肠鸣音正常,神经系统无阳性发现.2006年6月份因结肠癌行右半结肠切除术.入院化验阳性结果:癌胚抗原增高.b超发现右肝两处异常,ct显示右肝及脾脏均为多个低密度病灶,肠镜显示降结肠息肉.
请分析肝\脾dsa表现及可能的诊断!






[本贴已被 翁志蓬 于 2007-1-18 0:37:02 修改过]
[本贴已被 lzdyjg 于 2007-1-27 23:55:13 修改过]
[本贴已被 翁志蓬 于 2007-1-28 13:41:19 修改过]
作者: zjzjr 时间: 2007-1-17 06:04
动脉期见肝右动脉稍增粗,实质期肝右叶可见两个类圆形染色区,以边缘部为著.脾脏病灶类似.首先考虑转移瘤.
作者: dyqct 时间: 2007-1-18 23:13
标题: 回复:dsa0073:肝肿瘤dsa影像表现---请分析!
以下是引用zjzjr在2007-1-16 22:04:00的发言:[br]动脉期见肝右动脉稍增粗,实质期肝右叶可见两个类圆形染色区,以边缘部为著.脾脏病灶类似.首先考虑转移瘤.
支持!!!
作者: lzdyjg 时间: 2007-1-28 07:53
标题: 回复:dsa0073:肝肿瘤dsa影像表现---请分析!
诊断:1)肝转移瘤;2)肝血管瘤。
肝转移瘤的表现多种多样,血供丰富的肝转移瘤常呈现与肝细胞癌相似的表现,肝动脉增粗、扭曲,分支血管增多、紊乱呈网状,血管僵硬、受压移位等.巨块型转移灶实质期肿瘤染色还可见到较明显的中心性坏死所显示的中央低密度区。少血供者,肿瘤血管常较稀少、纤细、僵直或包绕,实质期肿瘤染色淡薄或不显影,而在肝实质染色衬托下形成低密度充盈缺损区。中血供之表现介于上述两者之间。在门静脉期,无论是多、中、少血供肝转移瘤,均显示与转移灶在动脉晚期和实质期类似的肿瘤染色。
一、肝转移瘤的血供来源
肝脏是恶性肿瘤最容易发生转移的脏器之一,原发癌主要为消化系肿瘤、乳腺癌、鼻咽癌、肺癌等,多数肝转移瘤的血供较差。转移性肝癌的血液供应问题,一般认为肝转移灶具双重供血性,且以肝动脉供血为主,门静脉供血次之。
二、肝转移瘤与原发性肝癌的dsa鉴别
肝转移瘤与原发性肝癌的血管造影表现在有些方面相似。在原发性肝癌中,动静脉瘘及门静脉癌栓的发生率是比较高的。肝转移瘤中少血供者占大部分,血管表现为纤细、稀少、僵硬,肿瘤染色较浅;而在原发性肝癌中,血管表现多为增粗、扩张、扭曲,分支血管增多、紊乱等。
肝内多发肿块是肝转移瘤的特征,而原发性肝癌一般常为单发或仅出现少量病灶。右叶多发少血供占位病变可首先考虑转移瘤。
三、肝转移瘤的表现及与原发病灶
腺癌瘤灶无论血供如何,在动脉晚期及以后,大部分病例显示为单发或多发环状或不规则环状染色,中央有囊状透亮区,周边血管可有包绕、受压、移位;鳞癌病例较少,dsa不具特征性表现。
四、肝转移瘤介入治疗问题
目前认为手术切除疗效最好,但由于原发病灶的病理特点和可切除性以及转移病灶的部位和数目不等,实际能切除者不多。对于多、中血供的肝转移瘤,其治疗原则和原发性肝癌类似,在肝动脉灌注化疗同时,尽可能实施栓塞,阻断肿瘤的血供;对少血供肝转移瘤,则以肝区域灌注化疗为主,若能行肝动脉药盒导管系统(pcs)则更便于连续灌注化疗。
五、血管瘤
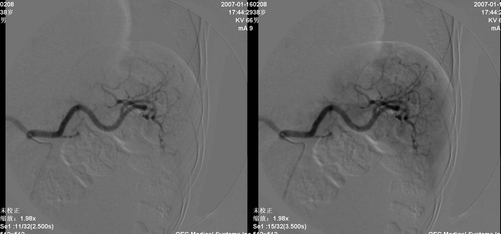
血管瘤的dsa诊断与ct诊断同一理论,但通常出现“枝头挂果征”象或“腊梅征象”,征象出现一般见于较大血管瘤,较大血管瘤也可出现动静脉短路(avs),此例血管瘤较小,“枝头挂果征”不明显。
六、脾脏由于ct上低密度病灶很小,dsa并没有显示明确转移性肿瘤的染色区域或低密度区域。
治疗:介入中将微导管亚段选择性进入右肝环状染色区域主干动脉分支,将5-fu750mg、ddp60mg做tai,再将超液态碘化油6ml+mmc20mg +平阳霉素8mg做tae,术中适当调整微导管位置,将碘化油+平阳霉素适量定向飘向血管瘤区域,再将5f rh 导管转向脾门方向,将5-fu250mg、ddp20mg做脾动脉灌注治疗。
[本贴已被 lzdyjg 于 2007-1-27 23:58:28 修改过]
作者: jinguoji 时间: 2007-1-29 04:07
支持首先考虑转移瘤.
作者: jssqcdm 时间: 2007-3-26 06:53
考虑转移瘤
作者: qc80012345 时间: 2007-4-8 11:44
动脉期见肝右动脉稍增粗,实质期肝右叶可见两个类圆形染色区,以边缘部为著.脾脏病灶类似.首先考虑转移瘤.
作者: drzhang8888 时间: 2007-6-1 07:13
学习了!。。。
作者: dr.yang 时间: 2012-9-16 20:42
学习了
| 欢迎光临 医影在线 (http://bbs.radida.com/bbs/) |
Powered by Discuz! X3.2 |