














































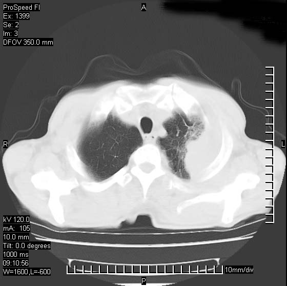
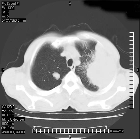
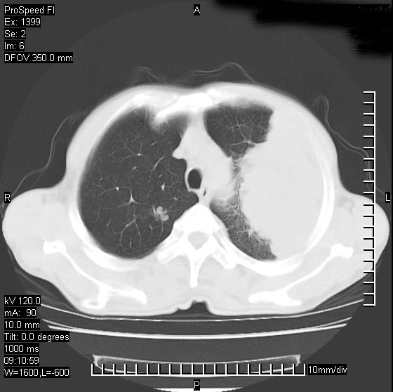
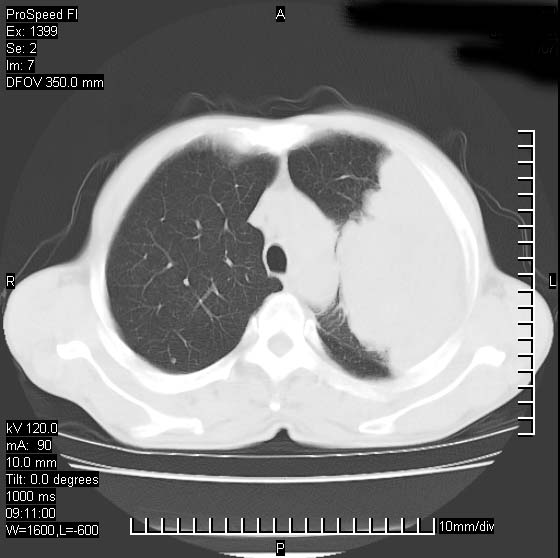
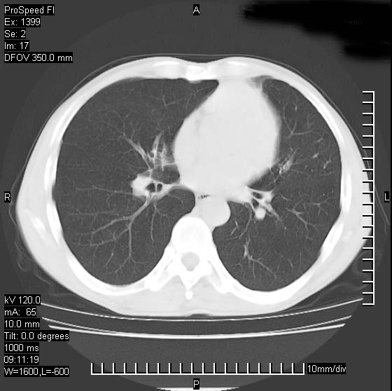
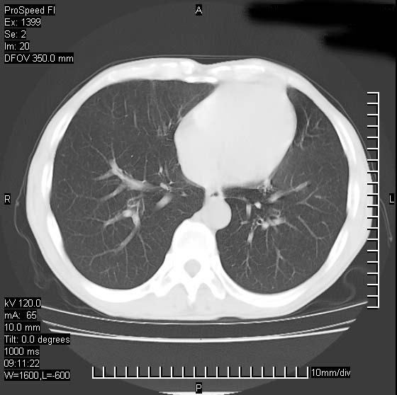
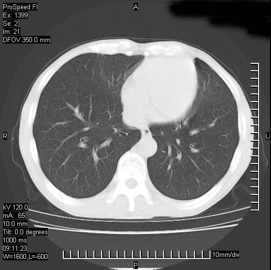
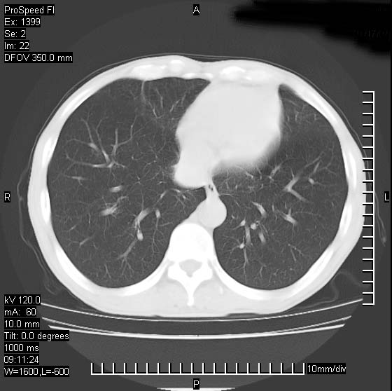
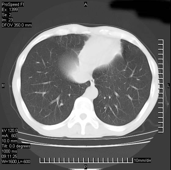
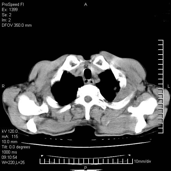
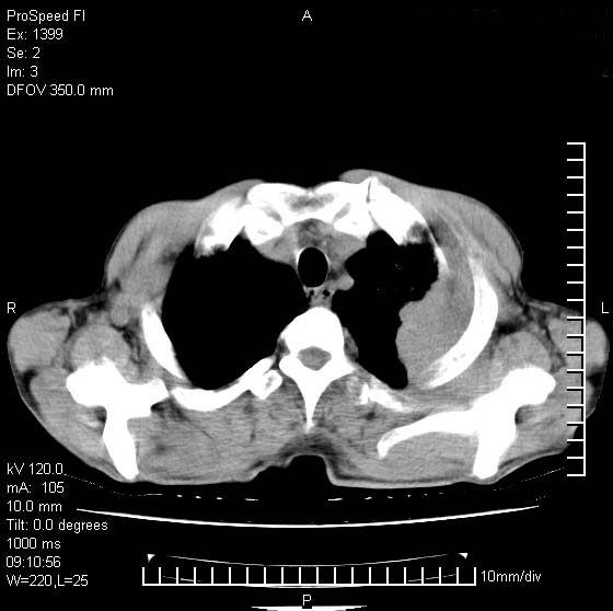
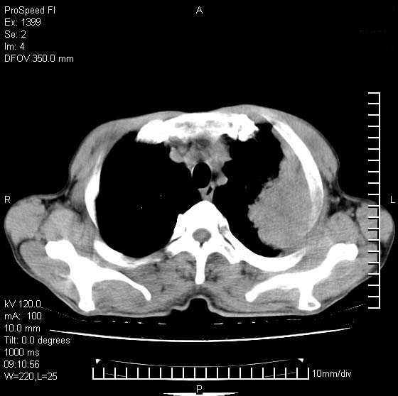
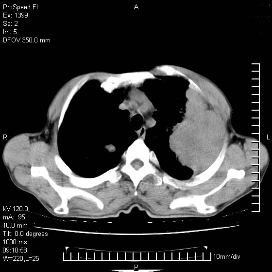
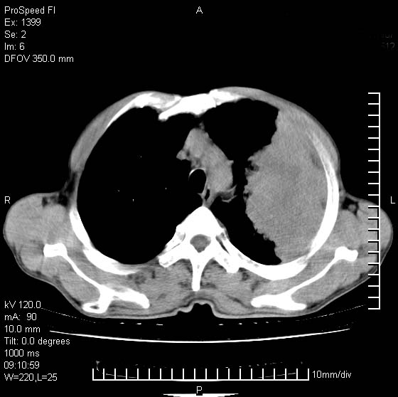
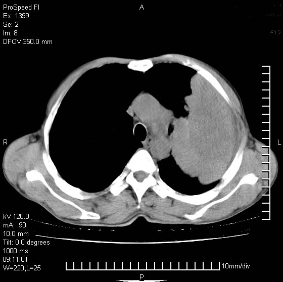
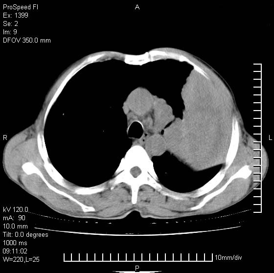
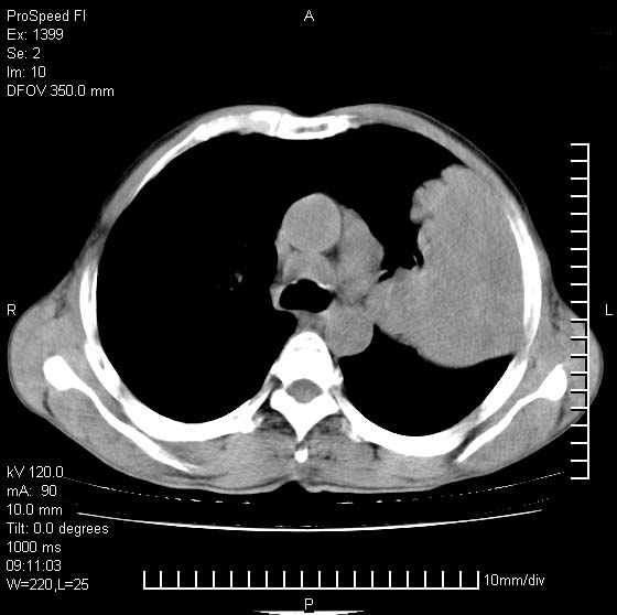
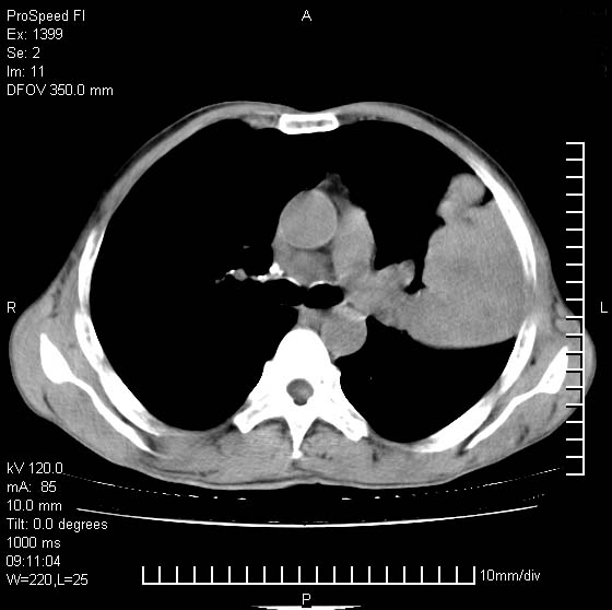
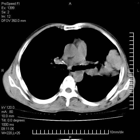
以下是引用卜一在2007-1-19 9:55:00的发言:[br]左肺沿胸膜下巨大肿块影,边缘呈分叶征,纵隔内见肿大淋巴结,右肺内另见一不规则结节影 .考虑:左肺周围性肺癌伴纵隔 右肺内转移.
以下是引用卜一在2007-1-19 9:55:00的发言:[br]左肺沿胸膜下巨大肿块影,边缘呈分叶征,纵隔内见肿大淋巴结,右肺内另见一不规则结节影 .考虑:左肺周围性肺癌伴纵隔 右肺内转移.
以下是引用卜一在2007-1-19 9:55:00的发言:[br]左肺沿胸膜下巨大肿块影,边缘呈分叶征,纵隔内见肿大淋巴结,右肺内另见一不规则结节影 .考虑:左肺周围性肺癌伴纵隔 右肺内转移.
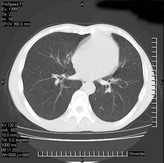
以下是引用卜一在2007-1-19 9:55:00的发言:[br]左肺沿胸膜下巨大肿块影,边缘呈分叶征,纵隔内见肿大淋巴结,右肺内另见一不规则结节影 .考虑:左肺周围性肺癌伴纵隔 右肺内转移.
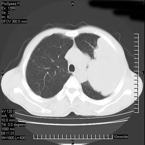
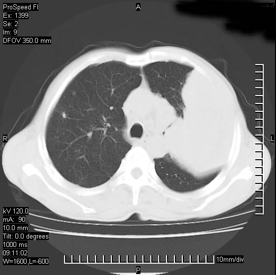
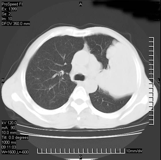
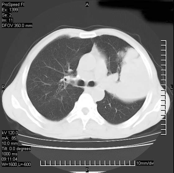
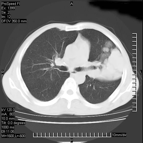
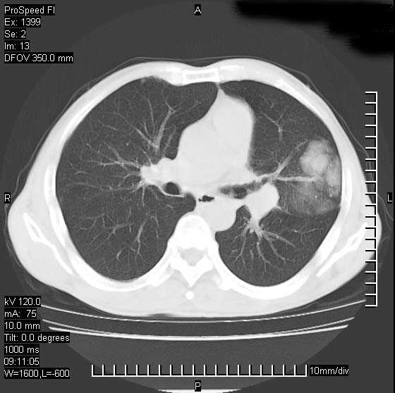
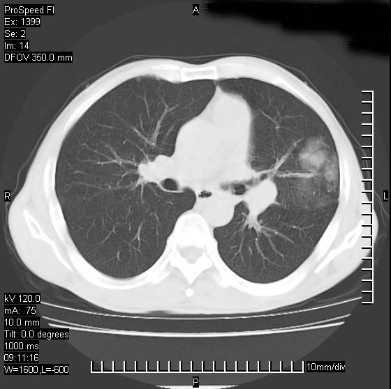
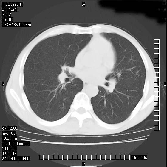
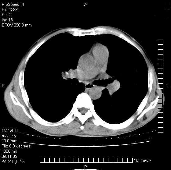
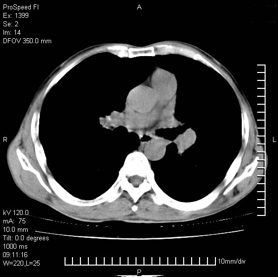
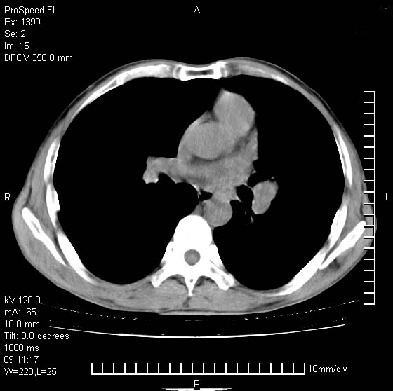
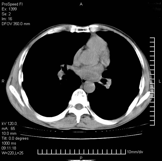
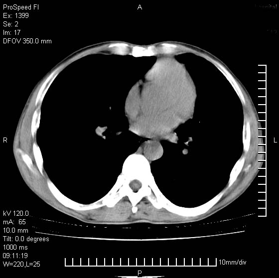
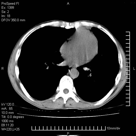
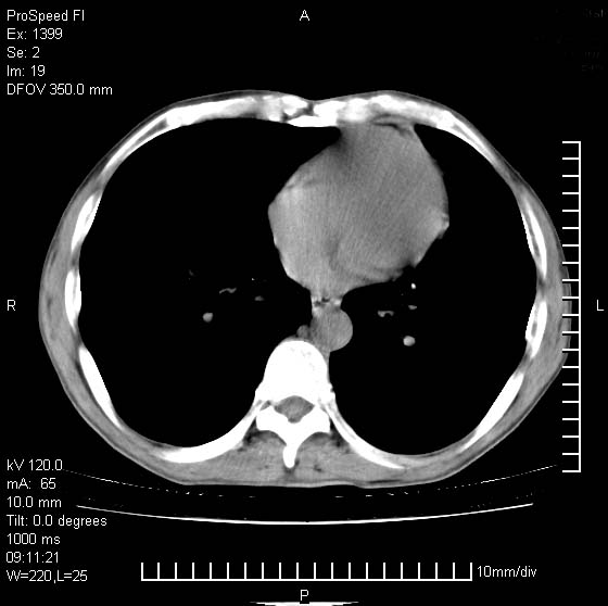
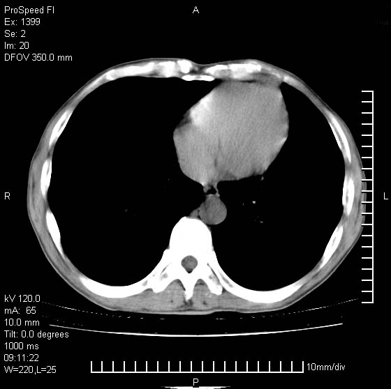
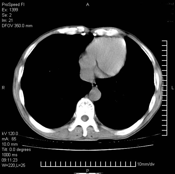
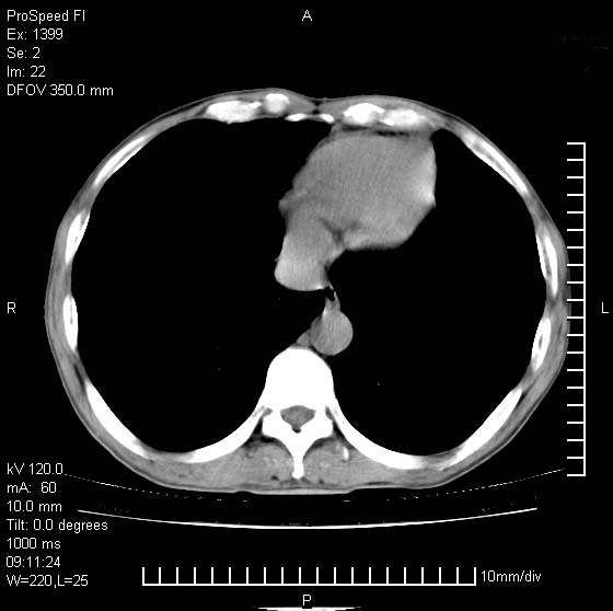
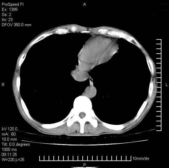
以下是引用rgsyyf在2007-1-19 11:05:00的发言:[br]左肺上叶见形态不规则巨大软组织肿块影,边缘呈分叶征,纵隔内隆突下见肿大淋巴结,右肺内另见一不规则结节影 .考虑:左肺周围性肺癌伴纵隔即右肺内转移.
以下是引用卜一在2007-1-19 9:55:00的发言:[br]左肺沿胸膜下巨大肿块影,边缘呈分叶征,纵隔内见肿大淋巴结,右肺内另见一不规则结节影 .考虑:左肺周围性肺癌伴纵隔 右肺内转移.
| 欢迎光临 医影在线 (http://bbs.radida.com/bbs/) | Powered by Discuz! X3.2 |