

















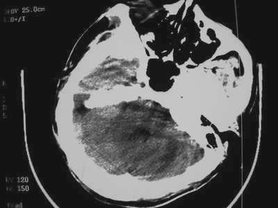
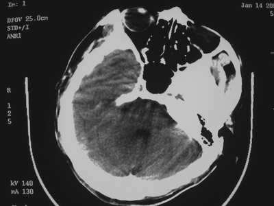
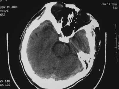
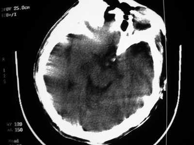
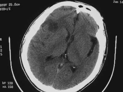
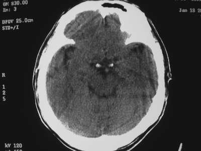
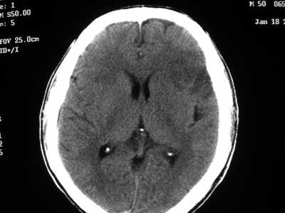
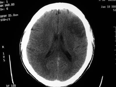
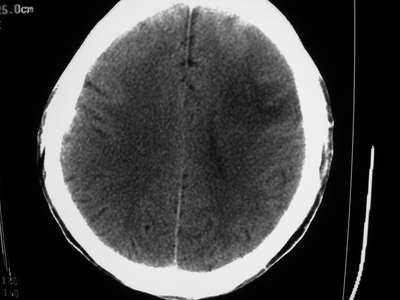
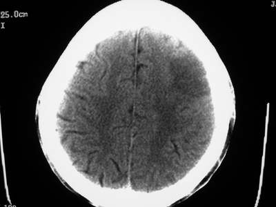
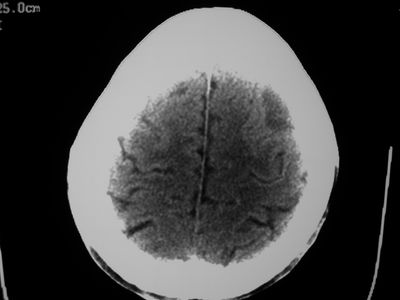
以下是引用卜一在2007-1-19 15:29:00的发言:[br]治疗前:1月14日右侧额叶皮质下低密度影,而治疗后:1月18日右侧阴影消失,新近出现左侧额叶侧脑室前角旁大片状低密度影,边缘模糊。支持—双侧额叶后部缺血性脑梗塞。
以下是引用zjzjr在2007-1-19 16:55:00的发言:[br]支持双侧额叶后部缺血性脑梗塞。
以下是引用dyqct在2007-1-19 15:11:00的发言:[br]支持双侧额叶后部缺血性脑梗塞。
以下是引用卜一在2007-1-19 15:29:00的发言:[br]治疗前:1月14日右侧额叶皮质下低密度影,而治疗后:1月18日右侧阴影消失,新近出现左侧额叶侧脑室前角旁大片状低密度影,边缘模糊。支持—双侧额叶后部缺血性脑梗塞。
| 欢迎光临 医影在线 (http://bbs.radida.com/bbs/) | Powered by Discuz! X3.2 |