医影在线

标题: DSA0075:[原创]肾囊肿穿刺硬化术 [打印本页]

作者: zhaochen    时间: 2007-1-21 04:06
标题: DSA0075:[原创]肾囊肿穿刺硬化术





[本贴已被 翁志蓬 于 2007-1-20 22:14:42 修改过]

作者: 余辉    时间: 2007-1-21 04:10
已阅
作者: xclzq_910    时间: 2007-1-21 04:15
什么意思?看过了
作者: dyqct    时间: 2007-1-21 04:23
不错,针好象应再深些。
作者: 尚峰    时间: 2007-1-21 04:24
穿的很准。
作者: zjzjr    时间: 2007-1-21 20:11
图像太少,没有见到硬化剂,肾囊肿治疗为安全起见应常规造影.
作者: zhaochen    时间: 2007-1-22 01:59
标题: 回复:dsa0075:[原创]肾囊肿穿刺硬化术




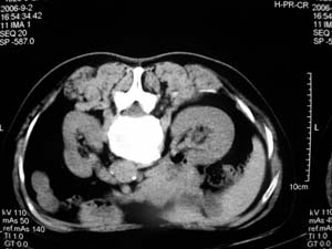
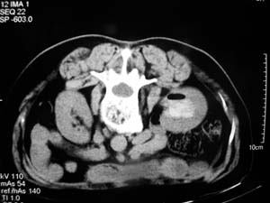
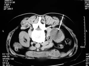
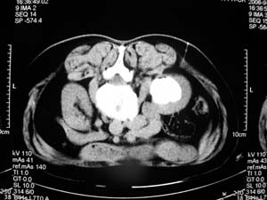
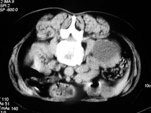
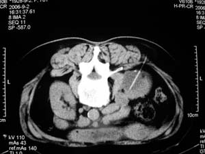
再传几张图片.
我们主要在ct引导下进行各种囊肿的穿刺引流,对于肾囊肿治疗的较多.穿刺成功后尽量抽尽囊液并且记录数量,抽尽后注入造影剂看看是否与尿路相通,然后用1/4的比例注入无水酒精进行硬化.跟踪观察治愈率达98%以上.
作者: jssht0891    时间: 2007-2-4 21:45
已阅,谢谢
作者: jssqcdm    时间: 2007-3-26 06:49
已阅,谢谢
作者: drzhang8888    时间: 2007-6-1 07:19
见识了
作者: jinguoji    时间: 2007-6-8 21:54
学习了!
作者: cxc1971101    时间: 2009-9-25 06:27
学习了!
作者: 林林林    时间: 2009-11-1 03:35
已阅,谢谢
作者: lirenxiong    时间: 2009-11-19 03:19
造影剂是?能吸收吗?
作者: dr.yang    时间: 2012-11-7 23:22
学习了。




欢迎光临 医影在线 (http://bbs.radida.com/bbs/) Powered by Discuz! X3.2