









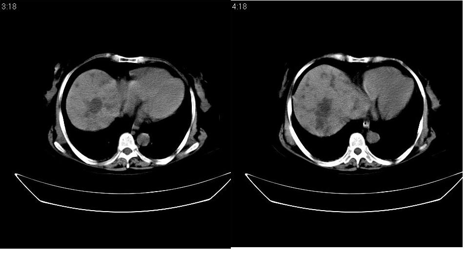
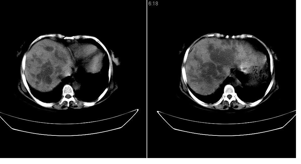
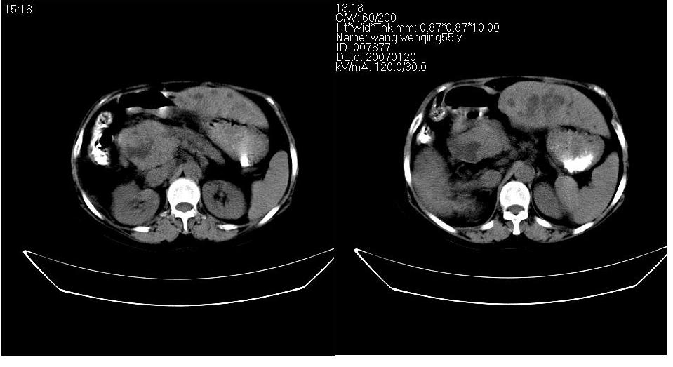
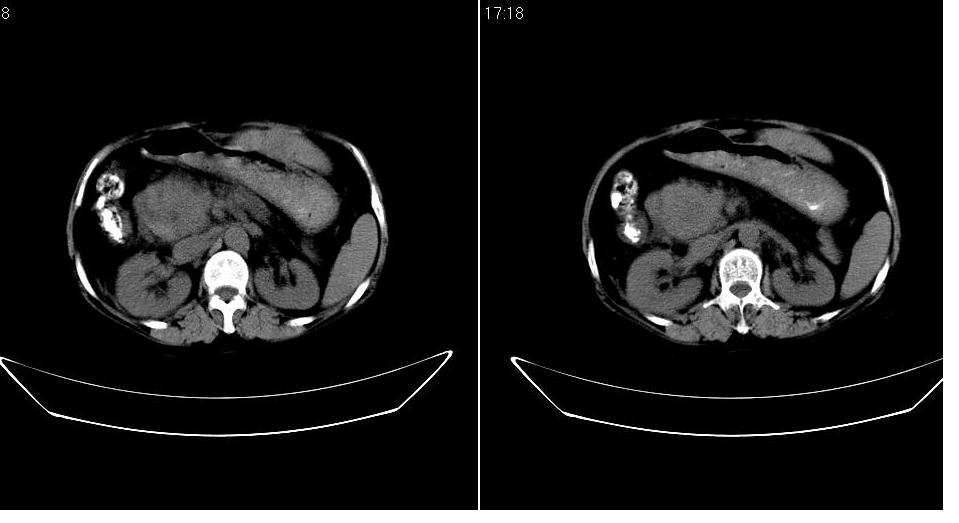
以下是引用天南地北在2007-1-20 23:22:00的发言:[br]1:按照肿块的位置及胆总管的形态:考虑胆总管(中下段)癌并肝内胆管扩张,累及胰头。2:不排除胰头癌并肝内胆管扩张。[br]肝内病灶看起来还是扩张的胆管,不考虑转移先。
以下是引用天南地北在2007-1-20 23:22:00的发言:[br]1:按照肿块的位置及胆总管的形态:考虑胆总管(中下段)癌并肝内胆管扩张,累及胰头。2:不排除胰头癌并肝内胆管扩张。[br]肝内病灶看起来还是扩张的胆管,不考虑转移先。
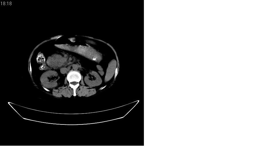
以下是引用守望可可西里在2007-1-20 23:09:00的发言:[br][br] 胰头癌,胆总管梗阻、截断,肝内外胆管重度扩张,肝内边缘部分的圆形低密度病灶多能与扩张的胆管较为连续,暂不考虑转移。病人没有黄疸吗?

以下是引用zyx168在2007-1-21 11:02:00的发言:[br][br]
| 欢迎光临 医影在线 (http://bbs.radida.com/bbs/) | Powered by Discuz! X3.2 |