






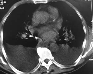
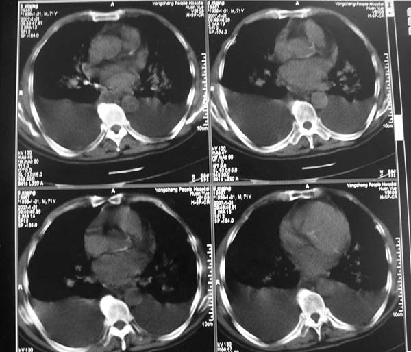
以下是引用陈维松c在2007-1-21 13:45:00的发言:[br]心衰肺水肿,胸腔积液。
以下是引用守望可可西里在2007-1-21 14:53:00的发言:[br][br]
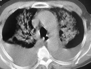
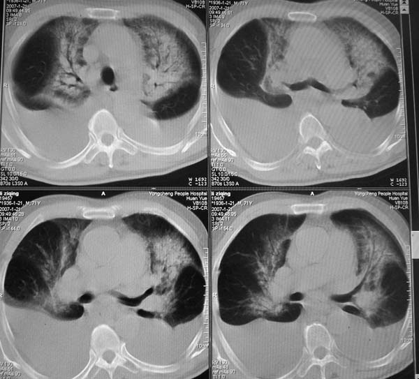
以下是引用zyx168在2007-1-21 17:08:00的发言:[br]男,71岁,咳嗽、胸闷10天余,咯血1天。[br]两肺大片状密度均匀影,充气支气管征象明显,左房增大,双侧胸腔内新月形液性密度影。[br]考虑:1,心源性肺水肿伴双侧胸腔中等量积液;[br] 2,两肺肺炎?
| 欢迎光临 医影在线 (http://bbs.radida.com/bbs/) | Powered by Discuz! X3.2 |