医影在线
标题: CT6170::胸部 [打印本页]
作者: rf 时间: 2007-1-22 18:47
标题: CT6170::胸部
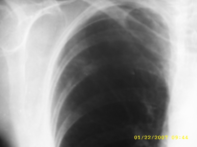
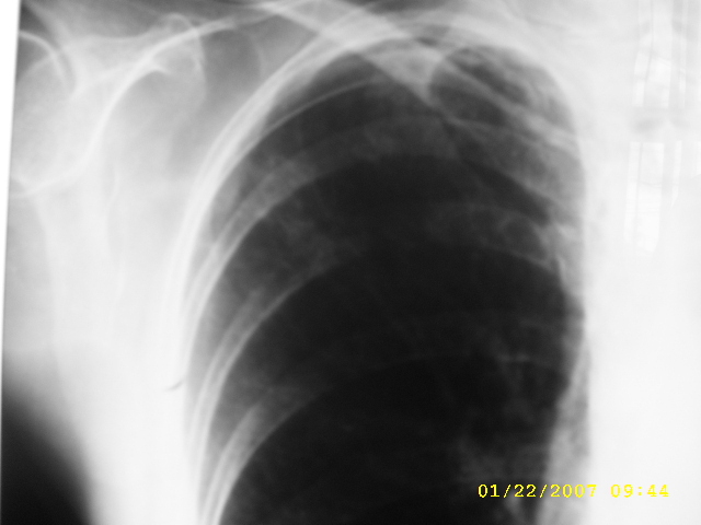
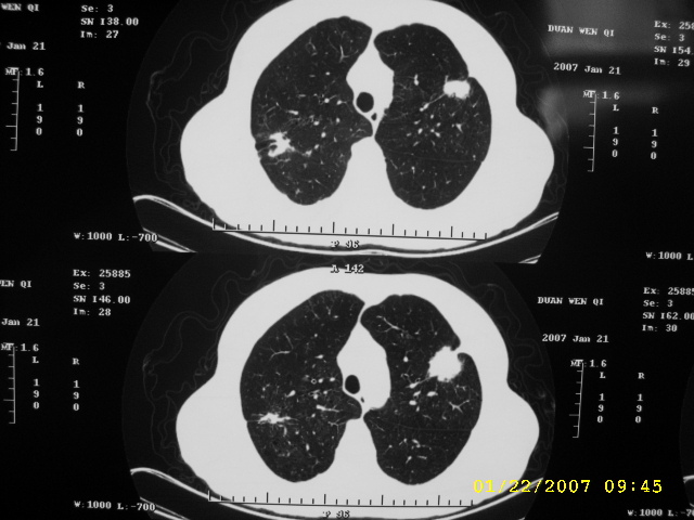
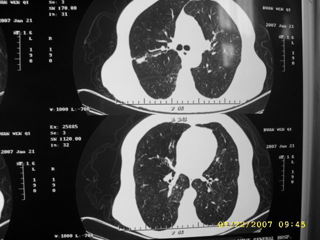
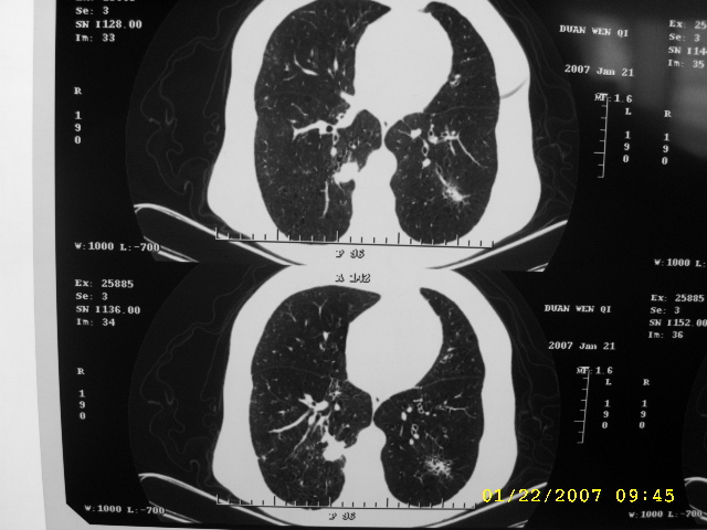
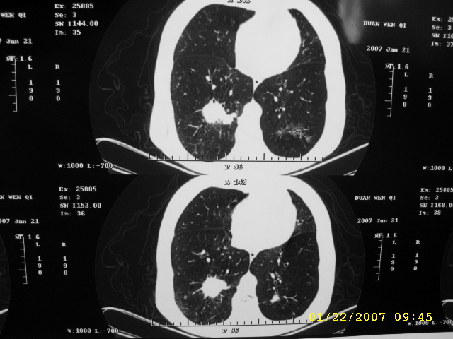
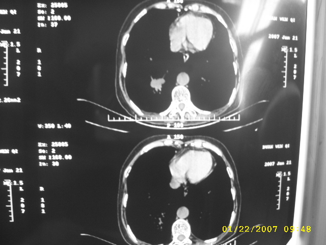
女,75.胸痛。
03,04.


03.03.


03.11


04.03.


07.01.17.

07.01.21.












[本贴已被 rf 于 2007-1-22 10:56:37 修改过]
[本贴已被 jiajie 于 2007-1-22 14:29:54 修改过]
作者: haha215315 时间: 2007-1-22 19:48
考虑肺癌.
作者: qian 时间: 2007-1-22 20:37
双肺癌?
作者: zjzjr 时间: 2007-1-22 20:40
1、周围型肺癌。2、慢性支气管炎、肺气肿、肺心病。
作者: 迎客松abc 时间: 2007-1-22 20:43
双肺周围型肺癌。
作者: 同 时间: 2007-1-22 21:43
双侧周围型肺癌 .慢支肺气肿 .肺心病 .
作者: yang123456 时间: 2007-1-22 22:24
肺癌并肺内转移。
作者: 守望可可 时间: 2007-1-22 22:48
标题: 回复:[胸部
以下是引用同在2007-1-22 13:43:00的发言:[br]双侧周围型肺癌 .慢支肺气肿 .肺心病 .
支持!另2007.1.15胸片还是显示有双肺的纤维条索状影,考虑合并有陈旧性肺结核。
作者: hhcckk 时间: 2007-1-22 22:59
标题: 回复:ct6170::胸部


作者: swyyy2007 时间: 2007-1-22 23:09
明显的不规则形肿块,分叶、短毛刺、胸膜刺激征,血管扭曲征等周围型肺癌的征象明显,应首先考虑周围型肺癌。应与肺多发结核球相鉴别
作者: jinning 时间: 2007-1-23 00:15
1.肺癌;2.肺结核;3.肺气肿
作者: dyqct 时间: 2007-1-23 00:21
支持双原发周围型肺癌;慢支合并肺气肿。
作者: jinguoji 时间: 2007-1-23 00:33
双原发周围型肺癌;慢支合并肺气肿。
作者: 游侠 时间: 2007-1-23 01:02
双侧周围型肺癌 .慢支肺气肿 .肺心病 .
作者: 老爱克斯 时间: 2007-1-23 01:06
双侧肺内块状病灶,均见分叶毛刺,左肺见典型胸膜凹陷,双侧双原发癌.
作者: wqs571018 时间: 2007-1-23 01:30
1.双侧周围性肺癌;2.慢支.肺气肿.
作者: 天南地北 时间: 2007-1-23 01:32
支持双原发周围型肺癌;慢支合并肺气肿
作者: zyx168 时间: 2007-1-23 01:33
双侧周围型肺癌 .慢支肺气肿 .肺心病 .
作者: 张CT 时间: 2007-1-23 02:26
双肺多发肿瘤少见,应先考虑tb。建议抗tb治疗后复查。
作者: 杀手 时间: 2007-1-23 02:29
支持 双侧肺癌
作者: 拾荒者 时间: 2007-1-23 03:29
明显的不规则形肿块,分叶、短毛刺、胸膜刺激征,血管扭曲征等周围型肺癌的征象明显,应首先考虑周围型肺癌。应与肺多发结核球相鉴别
作者: 黑金 时间: 2007-1-23 04:07
支持
作者: 求知若渴 时间: 2007-1-23 06:02
1.双肺上叶及右肺下叶结节,周围散在卫星灶,接近4年的病史,纵隔无肿大淋巴结,考虑结核
2.桶状胸,慢支,肺气肿
作者: yuhg 时间: 2007-1-24 01:52
结核
作者: 宝天曼 时间: 2007-1-24 04:32
双侧周围型肺癌 .慢支肺气肿 .肺心病 .
作者: sunxb1010 时间: 2007-1-27 01:18
周围型肺癌,肺气肿
作者: 眼睛 时间: 2007-1-27 01:31
双肺周围型肺癌
| 欢迎光临 医影在线 (http://bbs.radida.com/bbs/) |
Powered by Discuz! X3.2 |